Keywords
Q96CV9, OPTN, optineurin, antibody characterization, antibody validation, western blot, immunoprecipitation, immunofluorescence
This article is included in the YCharOS (Antibody Characterization through Open Science) gateway.
Optineurin (OPTN) is a multifunctional cytoplasmic adaptor protein implicated in maintaining neuronal homeostasis through its roles in selective autophagy, vesicle trafficking, and regulation of inflammatory signaling. Mutations in the OPTN gene are causally linked to several neurodegenerative diseases, including amyotrophic lateral sclerosis (ALS) and primary open-angle glaucoma. Here we have eight optineurin commercial antibodies for western blot, immunoprecipitation, and immunofluorescence using a standardized experimental protocol based on comparing read-outs in knockout cell lines and isogenic parental controls. These studies are part of a larger, collaborative initiative seeking to address antibody reproducibility issues by characterizing commercially available antibodies for human proteins and publishing the results openly as a resource for the scientific community. While the use of antibodies and protocols vary between laboratories, we encourage readers to use this report as a guide to select the most appropriate antibodies for their specific needs.
Q96CV9, OPTN, optineurin, antibody characterization, antibody validation, western blot, immunoprecipitation, immunofluorescence
Optineurin (OPTN) is a multifunctional cytoplasmic adaptor protein implicated in maintaining neuronal homeostasis through its roles in selective autophagy, vesicle trafficking, and regulation of inflammatory signaling.1 Mutations in the OPTN gene are causally linked to several neurodegenerative diseases, including amyotrophic lateral sclerosis (ALS) and primary open-angle glaucoma.2 In the nervous system, OPTN functions as a selective autophagy receptor, mediating the clearance of damaged mitochondria and protein aggregates by interacting with LC3 and ubiquitinated substrates.3 It also suppresses NF-κB signaling by sequestering polyubiquitin chains, thereby dampening neuroinflammation.4
Loss-of-function or pathogenic mutations in OPTN disrupt these critical pathways, leading to protein accumulation, mitochondrial dysfunction, and chronic inflammatory responses that contribute to neuronal death.5 Moreover, OPTN interacts with kinases such as TBK1, further linking it to the regulation of innate immune signaling in neurons and glial cells.6 These findings highlight OPTN as a central node in neurodegenerative pathophysiology, making it a promising target for therapeutic intervention in diseases marked by impaired proteostasis and neuroinflammation.
This research is part of a broader collaborative initiative in which academics, funders and commercial antibody manufacturers are working together to address antibody reproducibility issues by characterizing commercial antibodies for human proteins using standardized protocols, and openly sharing the data.7 It consists of identifying human cell lines with adequate target protein expression and the development/contribution of equivalent knockout (KO) cell lines, followed by antibody characterization procedures using most commercially available renewable antibodies against the corresponding protein.7 Here we characterized commercial optineurin antibodies, selected and donated by participant antibody manufacturers, for use in western blot, immunoprecipitation, and immunofluorescence (also referred to as immunocytochemistry), enabling biochemical and cellular assessment of optineurin properties and function. The platform for antibody characterization used to carry out this study was endorsed by a committee of industry academic representatives. The standardized consensus antibody characterization protocols are openly available on Protocol Exchange.7
The authors do not engage in result analysis or offer explicit antibody recommendations. Our primary aim is to deliver top-tier data to the scientific community, grounded in Open Science principles. This empowers experts to interpret the characterization data independently, enabling them to make informed choices regarding the most suitable antibodies for their specific experimental needs. Guidelines on how to interpret antibody characterization data found in this study are featured on the YCharOS gateway8 and in Table 4 of this data note.7
| Institution | Catalog number | RRID (Cellosaurus) | Cell line | Genotype |
|---|---|---|---|---|
| ATCC | HTB-96 | CVCL_0042 | U2OS | WT |
| Montreal Neurological Institute | - | CVCL_A6LN | U2OS | OPTN KO |
| Company | Catalog number | Lot number | RRID (Antibody Registry) | Clonality | Clone ID | Host | Concentration (μg/μl) | Vendors recommended applications |
|---|---|---|---|---|---|---|---|---|
| Abcam | ab213556** | 1028905-1 | AB_2890221 | recombinantmono | EPR20654 | rabbit | 0.5 | Wb,IP |
| Abcam | ab242146** | GR108770-5 | AB_2890222 | recombinantmono | EPR23059124 | rabbit | 0.5 | Wb |
| Bio-Techne | NBP3-19900** | 230464 | AB_3073768 | recombinantmono | S01-2C5 | rabbit | 0.3 | Wb |
| Cell Signaling Technology | 70928** | 1 | AB_3073769 | recombinantmono | E4P8C | rabbit | 0.2 | Wb,IP,IF |
| Proteintech | 60293-1-Ig* | 10001751 | AB_2881408 | monoclonal | 6C1H4 | mouse | 1.7 | Wb,IF |
| Structural Genomics Consortium | Z-OPTN-10**,a | YSOPTNA-c001 | - | recombinantmono | YSOPTNA-c001 | human | 1.0 | IP |
| Thermo Fisher Scientific | 702766** | 2248017 | AB_2723432 | recombinantmono | 22H12L20 | rabbit | 0.5 | Wb,IF |
| Thermo Fisher Scientific | 711879** | 2226080 | AB_2723433 | Recombinantpoly | - | rabbit | 0.5 | Wb,IF |
| Company | Secondary antibody | Catalog number | RRID (Antibody Registry) | Clonality | Concentration (μg/μL) | Working concentration (μg/mL) |
|---|---|---|---|---|---|---|
| Proteintech | HRP-Goat Anti-Rabbit Antibody (H+L) | RGAR001 | AB_3073505 | recombinant polyclonal | 1.0 | 0.05 |
| Proteintech | HRP-Goat Anti-Mouse Antibody (H+L) | RGAM001 | AB_3068333 | recombinant polyclonal | 1.0 | 0.5 |
| Cell Signaling Technology | Protein A, HRP conjugate | 12291 | NA | polyclonal | 0.125 | 0.5 |
| Millipore Sigma | Peroxidase-conjugated monoclonal anti-Flag M2 | A8592 | AB_439702 | monoclonal | 1.1 | 0.5 |
| Millipore Sigma | Cy3-conjugated monoclonal anti-Flag M2 | A9594 | AB_439700 | monoclonal | 1.1 | 0.5 |
| Thermo Fisher Scientific | Alexa Fluor™ 555-Goat anti-Rabbit IgG (H+L) | A-21429 | AB_2535850 | polyclonal | 2.0 | 0.5 |
| Thermo Fisher Scientific | Alexa Fluor™ 555-Goat anti-Mouse IgG (H+L) | A-21424 | AB_141780 | polyclonal | 2.0 | 0.5 |
Our standard protocol involves comparing readouts from wild type (WT) and KO cell lines.9,10 The first step was to identify a cell line(s) that expresses sufficient levels of a given protein to generate a measurable signal using antibodies. To this end, we examined the DepMap (Cancer Dependency Map Portal, RRID:SCR_017655) transcriptomics database to identify all cell lines that express the target at levels greater than 2.5 log2 (transcripts per million “TPM” + 1), which we have found to be a suitable cut-off.11 U2OS expresses the protein optineuron transcript at 0.89 log2 TPM+1 and was identified as a suitable cell line and was modified with CRISPR/Cas9 to KO the corresponding OPTN gene ( Table 1).
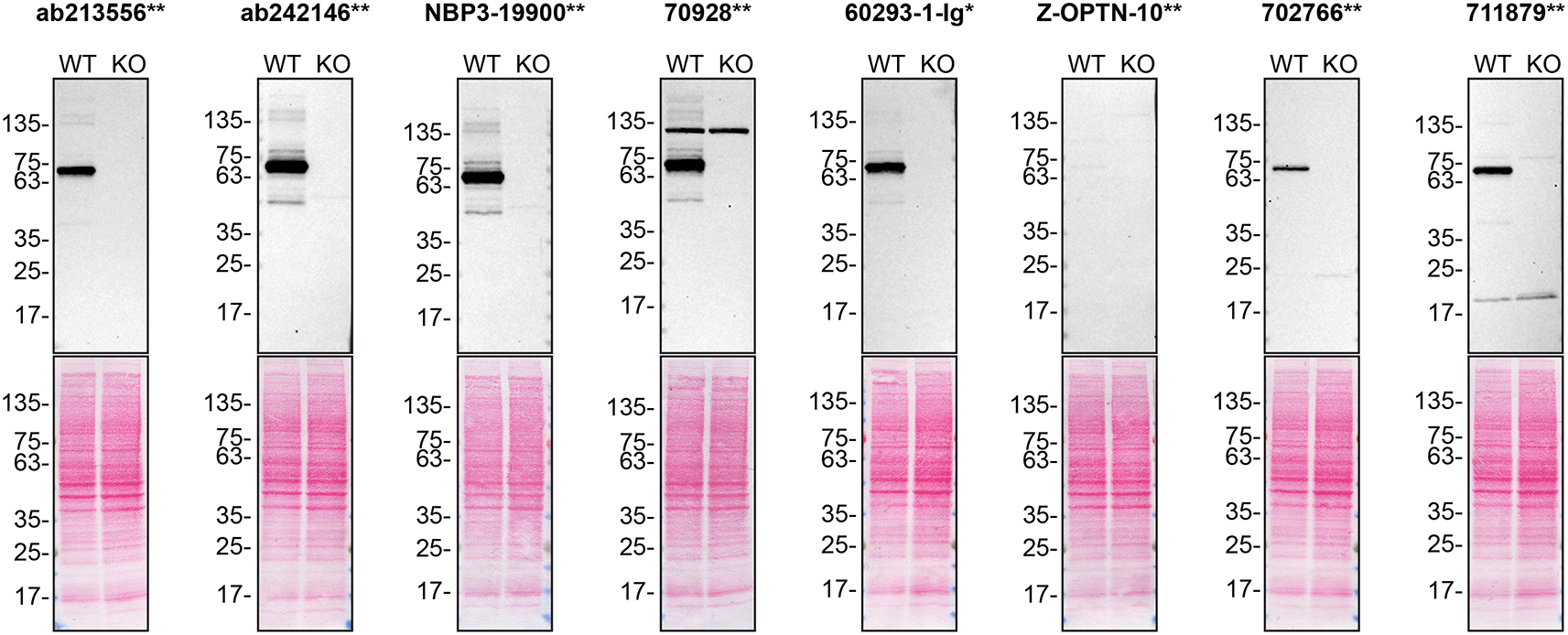
To screen all eight antibodies by western blot, U2OS WT and OPTN KO protein lysates were ran on SDS-PAGE, transferred onto nitrocellulose membranes, and then probed with eight antibodies in parallel ( Figure 1).

Lysates of U2OS WT and OPTN KO were prepared, and 35 μg of protein were processed for western blot with the indicated optineurin antibodies. The Ponceau stained transfers of each blot are presented to show equal loading of WT and KO lysates and protein transfer efficiency from the 4-20% Tris-Glycine polyacrylamide gels to the nitrocellulose membrane. Antibody dilutions were chosen according to the recommendations of the antibody supplier. Antibody dilutions used: ab213556** at 1/5000, ab242146** at 1/1000, NBP3-19900** at 1/1000, 70928** at 1/1000, 60293-1-Ig* at 1/5000, Z-OPTN-10** at 1/1000, 702766** at 1/200, 711879** at 1/5000, were titrated as the signal was too weak or too strong when following the supplier’s recommendations. Predicted band size: 66 kDa. ** = recombinant antibody, * = monoclonal antibody.
We then assessed the capability of all eight antibodies to capture optineurin from U2OS protein extracts using immunoprecipitation techniques, followed by western blot analysis. For the immunoblot step, a specific optineurin antibody identified previously (refer to Figure 1) was selected. Equal amounts of the starting material (SM) and the unbound fractions (UB), as well as the whole immunoprecipitate (IP) eluates were separated by SDS-PAGE ( Figure 2).

U2OS lysates were prepared, and immunoprecipitation was performed using 1 mg of lysate and 2.0 μg of the indicated optineurin antibodies pre-coupled to Dynabeads protein A or protein G or Flag-M2 magnetic beads. Samples were washed and processed for western blot with the optineurin antibody ab242146** used at 1/1000. The Ponceau stained transfers of each blot are shown. SM = 4% starting material; UB = 4% unbound fraction; IP = immunoprecipitate, HC = antibody heavy chain, LC = antibody light chain. ** = recombinant antibody, * = monoclonal antibody.
For immunofluorescence, eight antibodies were screened using a mosaic strategy. First, U2OS WT and OPTN KO cells were labelled with different fluorescent dyes in order to distinguish the two cell lines, and the optineurin antibodies were evaluated. Both WT and KO lines imaged in the same field of view to reduce staining, imaging and image analysis bias ( Figure 3). Quantification of immunofluorescence intensity in hundreds of WT and KO cells was performed for each antibody tested, and the images presented in Figure 3 are representative of this analysis.7

U2OS WT and OPTN KO cells were labelled with a green or a far-red fluorescent dye, respectively. WT and KO cells were mixed and plated to a 1:1 ratio on coverslips. Cells were stained with the indicated optineurin antibodies and with the corresponding Alexa-fluor 555 coupled secondary antibody including DAPI. Acquisition of the blue (nucleus-DAPI), green (WT), red (antibody staining) and far-red (KO) channels was performed. Representative images of the blue and red (grayscale) channels are shown. WT and KO cells are outlined with green and magenta dashed line, respectively. When an antibody was recommended for immunofluorescence by the supplier, we tested it at the recommended dilution. The rest of the antibodies were tested at 1 and 2 μg/ml, and the final concentration was selected based on the detection range of the microscope used and a quantitative analysis not shown here. Antibody dilutions used: Antibody dilution used: ab213556** at 1/500, ab242146** at 1/1000, NBP3-19900** at 1/300, 70928** at 1/400, 60293-1-Ig* at 1/1500, Z-OPTN-10** at 1/1500, 702766** at 1/500, 711879** at 1/250. Bars = 10 μm. ** = recombinant antibody, * = monoclonal antibody.
In conclusion, we have screened eight optineurin commercial antibodies by western blot, immunoprecipitation, and immunofluorescence by comparing the signal produced by the antibodies in human U2OS WT and OPTN KO cells. To assist users in interpreting antibody performanyce, Table 4 outlines various scenarios in which antibodies may perform in all three applications.11 High-quality and renewable antibodies that successfully detect optineurin were identified in all applications. Researchers who wish to study optineurin in a different species are encouraged to select high-quality antibodies, based on the results of this study, and investigate the predicted species reactivity of the manufacturer before extending their research.
Inherent limitations are associated with the antibody characterization platform used in this study. Firstly, the YCharOS project focuses on renewable (recombinant and monoclonal) antibodies and does not test all commercially available optineurin antibodies. YCharOS partners provide approximately 80% of all renewable antibodies, but some top-cited polyclonal antibodies may not be available through these partners. We encourage readers to consult vendor documentation to identify the specific antigen each antibody is raised against, where such information is available.
Secondly, the YCharOS effort employs a non-biased approach that is agnostic to the protein for which antibodies have been characterized. The aim is to provide objective data on antibody performance without preconceived notions about how antibodies should perform or the molecular weight that should be observed in western blot. As the authors are not experts in oprineurin, only a brief overview of the protein’s function and its relevance in disease is provided. Optineurin experts are invited to analyze and interpret observed banding patterns in western blots and subcellular localization in immunofluorescence.
Thirdly, YCharOS experiments are not performed in replicates primarily due to the use of multiple antibodies targeting various epitopes. Once a specific antibody is identified, it validates the protein expression of the intended target in the selected cell line, confirms the lack of protein expression in the KO cell line and supports conclusions regarding the specificity of the other antibodies. Moreover, the same antibody clones are donated by 2-3 manufacturers (cross-licensed antibodies), effectively serving as replicates and enabling the validation of test reproducibility. All experiments are performed using master mixes, and meticulous attention is paid to sample preparation and experimental execution. In IF, the use of two different concentrations serves to evaluate antibody specificity and can aid in assessing assay reliability. In instances where antibodies yield no signal, a repeat experiment is conducted following titration. Additionally, our independent data is performed subsequently to the antibody manufacturers internal validation process, therefore making our characterization process a repeat.
Lastly, as comprehensive and standardized procedures are respected, any conclusions remain confined to the experimental conditions and cell line used for this study. The use of a single cell type for evaluating antibody performance poses as a limitation, as factors such as target protein abundance significantly impact results. Additionally, the use of cancer cell lines containing gene mutations poses a potential challenge, as these mutations may be within the epitope coding sequence or other regions of the gene responsible for the intended target. Such alterations can impact the binding affinity of antibodies. This represents an inherent limitation of any approach that employs cancer cell lines.
The standardized protocols used to carry out this KO cell line-based antibody characterization platform was established and approved by a collaborative group of academics, industry researchers and antibody manufacturers. The detailed materials and step-by-step protocols used to characterize antibodies in western blot, immunoprecipitation and immunofluorescence are openly available on Protocols.io (protocols.io/view/a-consensus-platform-for-antibody-characterization ).7 Brief descriptions of the experimental setup used to carry out this study can be found below.
The cell lines, primary and secondary antibodies used in this study are listed in Table 1, 2, and 3, respectively. To ensure consistency with manufacturer recommendations and account for proprietary formulations (where antibody concentrations are not disclosed), antibody usage is reported as dilution ratios rather than absolute concentrations. To facilitate proper citation and unambiguous identification, all cell lines and antibodies are referenced with their corresponding Research Resource Identifiers (RRIDs).12,13 U2OS KO clone corresponding to the OPTN was generated with low passage cells at Source. Two guide RNAs were used to induce a stop codon in the U2OS gene (sequence guide 1: CUAAAUAAUCAAGCCAUGAA, sequence guide 2: GAGAAAUUGAAGGAAGAGCU). All cell lines used in this study were regularly tested for mycoplasma contamination and were confirmed to be mycoplasma-free.
U2OS WT and OPTN KO cells were collected in RIPA buffer (25 mM Tris-HCl pH 7.6, 150mM NaCl, 1% NP-40, 1% sodium deoxycholate, 0.1% SDS) (Thermo Fisher Scientific, cat. number 89901) supplemented with 1x protease inhibitor cocktail mix (MilliporeSigma, cat. number P8340). Lysates were sonicated briefly and incubated 30 min on ice. Lysates were spun at ~110,000 x g for 15 min at 4°C and equal protein aliquots of the supernatants were analyzed by SDS-PAGE and western blot. BLUelf prestained protein ladder (GeneDireX, cat. number PM008-0500) was used.
Western blots were performed with precast midi 4-20% Tris-Glycine polyacrylamide gels (Thermo Fisher Scientific, cat. number WXP42012BOX) ran with Tris/Glycine/SDS buffer (Bio-Rad, cat. number 1610772), loaded in Laemmli loading sample buffer (Thermo Fisher Scientific, cat. number AAJ61337AD) and transferred on nitrocellulose membranes. Proteins on the blots were visualized with Ponceau S staining (Thermo Fisher Scientific, cat. number BP103-10) which is scanned to show together with individual western blot. Blots were blocked with 5% milk for 1 hr, and antibodies were incubated O/N at 4°C with 5% milk in TBS with 0,1% Tween 20 (TBST) (Cell Signalling Technology, cat. number 9997). Following three washes with TBST, the peroxidase conjugated secondary antibody was incubated at a dilution of ~0.2 μg/ml in TBST with 5% milk for 1 hr at room temperature followed by three washes with TBST. Membranes were incubated with Pierce ECL (Thermo Fisher Scientific, cat. number 32106) prior to detection with iBright™ CL1500 Imaging System (Thermo Fisher Scientific, cat. number A44240).
Antibody-bead conjugates were prepared by adding 2 μg to 500 μl of Pierce IP Lysis Buffer from Thermo Fisher Scientific (cat. number 87788) in a microcentrifuge tube, together with 30 μl of Dynabeads protein A- (for rabbit antibodies) or protein G- (for mouse and rat goat antibodies) (Thermo Fisher Scientific, cat. number 10002D and 10004D, respectively) or anti-Flag M2 magnetic beads (MilliporeSigma, cat. number M8823). Tubes were rocked for ~1 h at 4°C followed by two washes to remove unbound antibodies.
U2OS WT lysates were collected in Pierce IP buffer (25 mM Tris-HCl pH 7.4, 150 mM NaCl, 1 mM EDTA, 1% NP-40 and 5% glycerol) supplemented with protease inhibitor. Lysates were rocked 30 min at 4°C and spun at 110,000 x g for 15 min at 4°C. 0.5 ml aliquots at 1 mg/ml of lysate were incubated with an antibody-bead conjugate for ~1 h at 4°C. The unbound fractions were collected, and beads were subsequently washed three times with 1.0 ml of IP buffer and processed for SDS-PAGE and western blot on precast midi 4-20% Tris-Glycine polyacrylamide gels. Protein A: HRP was used as a secondary detection system at a concentration of 2.0 μg/ml.
U2OS WT and OPTN KO cells were labelled with a green and a far-red fluorescence dye, respectively (Thermo Fisher Scientific, cat. number C2925 and C34565). The nuclei were labelled with DAPI (Thermo Fisher Scientific, cat. Number D3571) fluorescent stain. WT and KO cells were plated on 96-well plate with optically clear flat-bottom (Perkin Elmer, cat. number 6055300) as a mosaic and incubated for 24 hrs in a cell culture incubator at 37oC, 5% CO2. Cells were fixed in 4% paraformaldehyde (PFA) (VWR, cat. number 100503-917) in phosphate buffered saline (PBS) (Wisent, cat. number 311-010-CL). Cells were permeabilized in PBS with 0,1% Triton X-100 (Thermo Fisher Scientific, cat. number BP151-500) for 10 min at room temperature and blocked with PBS with 5% BSA, 5% goat serum (Gibco, cat. number 16210-064) and 0.01% Triton X-100 for 30 min at room temperature. Cells were incubated with IF buffer (PBS, 5% BSA, 0,01% Triton X-100) containing the primary optineurin antibodies overnight at 4°C. Cells were then washed 3 × 10 min with IF buffer and incubated with corresponding Alexa Fluor 555-conjugated secondary antibodies in IF buffer at a dilution of 1.0 μg/ml for 1 hr at room temperature with DAPI. Cells were washed 3 × 10 min with IF buffer and once with PBS.
Images were acquired on an ImageXpress micro confocal high-content microscopy system (Molecular Devices), using a 20x NA 0.95 water immersion objective and scientific CMOS cameras, equipped with 395, 475, 555 and 635 nm solid state LED lights (lumencor Aura III light engine) and bandpass filters to excite DAPI, Cellmask Green, Alexa-555 and Cellmask Red, respectively. Images had pixel sizes of 0.68 x 0.68 microns, and a z-interval of 4 microns. For analysis and visualization, shading correction (shade only) was carried out for all images. Then, maximum intensity projections were generated using 3 z-slices. Segmentation was carried out separately on maximum intensity projections of Cellmask channels using CellPose 1.0, and masks were used to generate outlines and for intensity quantification.14 Figures were assembled with Adobe Illustrator.
Zenodo: Dataset for the optineurin antibody screening study https://doi.org/10.5281/zenodo.7776013.
Data are available under the terms of the Creative Commons Attribution 4.0 International license (CC-BY 4.0).
We would like to thank the NeuroSGC/YCharOS/EDDU collaborative group for their important contribution to the creation of an open scientific ecosystem of antibody manufacturers and KO cell line suppliers, for the development of community-agreed protocols, and for their shared ideas, resources, and collaboration. Members of the group can be found below. We would also like to thank the Advanced BioImaging Facility (ABIF) consortium for their image analysis pipeline development and conduction (RRID:SCR_017697). Members of each group can be found below.
NeuroSGC/YCharOS/EDDU collaborative group: Thomas M. Durcan, Aled M. Edwards, Peter S. McPherson, Chetan Raina and Wolfgang Reintsch.
ABIF consortium: Claire M. Brown and Joel Ryan.
Thank you to the Structural Genomics Consortium, a registered charity (no. 1097737), for your support on this project. The Structural Genomics Consortium receives funding from Bayer AG, Boehringer Ingelheim, Bristol-Myers Squibb, Genentech, Genome Canada through Ontario Genomics Institute (grant no. OGI-196), the EU and EFPIA through the Innovative Medicines Initiative 2 Joint Undertaking (EUbOPEN grant no. 875510), Janssen, Merck KGaA (also known as EMD in Canada and the United States), Pfizer and Takeda.
| Views | Downloads | |
|---|---|---|
| F1000Research | - | - |
|
PubMed Central
Data from PMC are received and updated monthly.
|
- | - |
Is the rationale for creating the dataset(s) clearly described?
Yes
Are the protocols appropriate and is the work technically sound?
Yes
Are sufficient details of methods and materials provided to allow replication by others?
Yes
Are the datasets clearly presented in a useable and accessible format?
Yes
Competing Interests: No competing interests were disclosed.
Reviewer Expertise: Antibody characterization and validation
Alongside their report, reviewers assign a status to the article:
| Invited Reviewers | |
|---|---|
| 1 | |
|
Version 1 17 Oct 25 |
read |
Provide sufficient details of any financial or non-financial competing interests to enable users to assess whether your comments might lead a reasonable person to question your impartiality. Consider the following examples, but note that this is not an exhaustive list:
Sign up for content alerts and receive a weekly or monthly email with all newly published articles
Already registered? Sign in
The email address should be the one you originally registered with F1000.
You registered with F1000 via Google, so we cannot reset your password.
To sign in, please click here.
If you still need help with your Google account password, please click here.
You registered with F1000 via Facebook, so we cannot reset your password.
To sign in, please click here.
If you still need help with your Facebook account password, please click here.
If your email address is registered with us, we will email you instructions to reset your password.
If you think you should have received this email but it has not arrived, please check your spam filters and/or contact for further assistance.
Comments on this article Comments (0)