ALL Metrics
-
Views
-
Downloads
Get PDF
Get XML
Cite
Export
Track
Clinical Practice Article
Revised

Amyloid goiter: A Tunisian case series

[version 2; peer review: 1 approved, 2 approved with reservations]
Previously titled: Amyloid goiter: A Tunisian case
PUBLISHED 20 Oct 2025
Author details Author details
OPEN PEER REVIEW
REVIEWER STATUS

Abstract

Introduction

Amyloidosis is a systemic disease caused by amyloid chain deposition. The thyroid is a very uncommon location. The prevalence of amyloid goiter is estimated to be 0.17.

Cases presentation

We report three cases of amyloid goiter (AG). Three men, aged between 30 and 42 years, were hospitalized in the medical department. Compressive signs were present in one patient. All the patients had normal thyroid hormone levels. Fine Needle Aspiration (FNA) revealed amyloid deposition in one case. All the patients underwent total thyroidectomy. All patients underwent surgery without complications and were treated with L thyroxine replacement therapy. A pathological examination confirmed the diagnosis of AG. A literature review was conducted using PubMed from 2019 to 2024.

Conclusion

Amyloid deposition is rarely associated with thyroid dysfunction. The discovery circumstance is generally thyroid enlargement and may be associated with compressive signs. Compressive and rapid enlargement of the thyroid may be an indication for surgery. FNA is generally less informative than core biopsy and surgery . Thyroidectomy is a therapeutic and diagnostic procedure. Clinicians should consider amyloid deposition in front of a growing goiter, particularly when systemic amyloidosis is known.

Keywords

Amyloid goiter, fine needle aspiration, thyroidectomy, pathological examination

Revised Amendments from Version 1

This revised version includes significant updates to better align the manuscript with the journal's standards. The title has been modified to accurately reflect the study's content, which now reports on three cases instead of one. Furthermore, the conclusions have been integrated into the main body of the text to ensure the paper now fully conforms to the IMRAD structure.

To read any peer review reports and author responses for this article, follow the "read" links in the Open Peer Review table.

Introduction

Amyloidosis is a systemic disorder characterized by extracellular deposition of amyloid fibrillary proteins.1 This is an aggregation of more than 20 proteins belonging to families that do not exhibit structural or functional relationships. It can affect any organ and can manifest in a localized form or as a generalized disease. The mechanisms underlying its pathogenesis are poorly understood.

Pathological studies can identify this deposition by its affinity to the Congo Red stain and yellow-green birefringence under polarized light.2 Several types of amyloidosis exist, which are distinguished by the type of protein and the localization of the deposit.

A histological study of amyloid deposition in the thyroid gland revealed its presence in 30%–80% of cases.3 However, the prevalence of amyloid goiter in multinodular goiters remains low with an estimated prevalence of 0.17.4 The potential to simulate thyroid cancer by its volume and progression is also a concern.5 The earliest documented case of amyloid goiter (AG) was reported by Beckman in 1858.6 This article presents a comprehensive review of three cases of AG, complemented by a thorough literature review. This study aimed to elucidate the clinical, therapeutic, and evolutionary characteristics of this rare entity.

Case report

Case 1

A 30-year-old patient with a medical history of bilateral bronchial dilation of unknown etiology presented to the endocrinology department for the evaluation of a compressive goiter that had been present for three years. The patient reported a significant weight loss. A thorough clinical examination revealed a heterogeneous goiter that was voluminous, avascular, and hard in consistency, accompanied by multiple nodules. Thyroid assessment (thyroid-stimulating hormone and free T4) was normal. Cervical ultrasound revealed a multinodular goiter with the largest thyroid nodule measuring 6 cm. No cervical lymphadenopathy was detected. Anti-thyroid antibodies (ATAb) and Koch bacillus tests were negative, and surgical intervention was deemed necessary because of compressive symptoms and suspicious nodules. The patient underwent total thyroidectomy, and a pathological study revealed AG. A labial biopsy with Congo red coloration was later performed, confirming the diagnosis of amyloidosis AA secondary to bronchial dilation. The patient was then placed in a Colchicine, and low blood pressure were observed during monitoring. Adrenal insufficiency was suspected and confirmed using a Synachtene stimulation test, with a peak cortisol level of 457 nmol/L (550 nmol/L). The patient was prescribed hydrocortisone. The diagnosis was peripheral adrenal insufficiency, likely due to amyloid deposition in the adrenal glands, which is related to systemic amyloidosis.

Case 2

A 45-year-old patient with ankyloarthropathy was admitted to our hospital with a diagnosis of chronic glomerular nephropathy, as indicated by lower limb edema and pure nephrotic syndrome. Upon clinical examination, the patient exhibited macroglossia and diminished osteotendinous reflexes. Renal biopsy confirmed the diagnosis of renal amyloidosis. The patient was prescribed colchicine (1 mg/day). Thyroid examination revealed a multinodular goiter, as confirmed by subsequent cervical ultrasound. No compressive signs were identified during clinical examination or ultrasound imaging. The patient exhibited no clinical signs of thyroid dysfunction, and the biochemical assessment of the thyroid gland was within normal limits. Ultrasound-guided fine-needle aspiration (FNA) was performed, which confirmed the presence of amyloidosis. The patient underwent total thyroidectomy and was treated with l-thyroxine replacement therapy.

Case 3

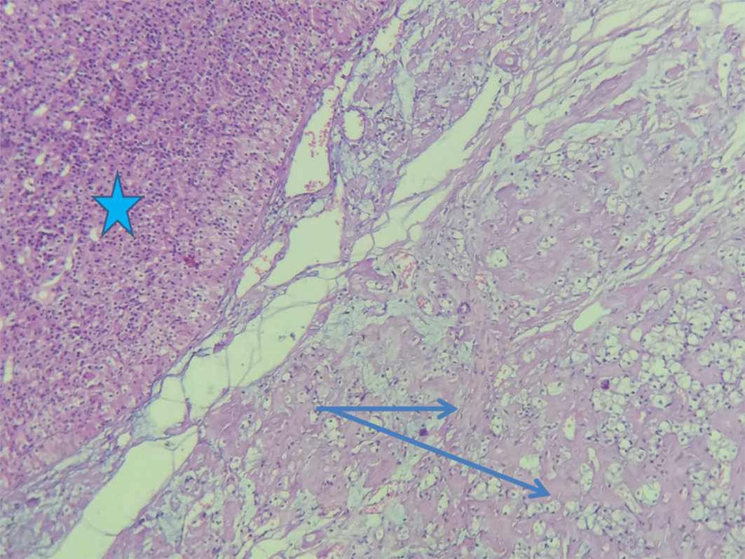
A 32-year-old patient with a medical history of chronic osteitis complicated by repeated skin infections was admitted to the hospital with impure nephrotic syndrome, which was associated with high blood pressure, hematuria, and renal failure. Biopsy of the accessory salivary glands was performed, confirming the diagnosis of amyloidosis. Subsequently, the patient developed a goiter with endothoracic extension without thyroid dysfunction or compressive signs. The thyroid assessment was normal, and ATAb was negative for anti-ATAb. The patient underwent a cervicothoracic CT scan, which showed a goiter extending beyond the upper cervical canal (18 mm to the right and left), without compressive signs. FNA revealed the presence of a few colloidal clusters. Total thyroidectomy was performed, and pathological examination revealed histological features of an amyloid goiter. Intraoperative investigations revealed a parathyroid nodule that was surgically removed. The histological study indicated parathyroid localization of amyloidosis. Additionally, the phosphocalcic assessment was within normal limits prior to surgery ( Figure 1).

8316419e-eead-4407-9dac-6cd5be8b39a5_figure1.gif

Figure 1. Histological study of thyroidectomy speciemen: Hematoxylin Eosine stain (Case number 3).

Anhistic, finely cracked amyloid deposit (arrows) within the parathyroid parenchyma (star).

Discussion

Amyloidosis is characterized by the deposition of amyloid, an insoluble, beta-pleated sheet protein. It can occur because of chronic inflammation in cases of secondary amyloidosis, which may be associated with rheumatoid arthritis, ankylosing spondylitis, and Familial Mediterranean Fever (FMF). In the present case series, three patients had a known chronic inflammatory disease. Conversely, amyloidosis can manifest as a primary condition without an identified underlying disease. The occurrence of amyloid goiter is rare, with case reports in the literature primarily focusing on adults between the ages of 40 years and 50. However, there have been reports of cases in children and elderly individuals, indicating no clear predilection for age or sex. Amyloidosis is most often a secondary complication of an underlying inflammatory disease.7,8

Progressive enlargement of the thyroid was observed clinically, and compressive signs have been documented in numerous cases in the literature. In our case, this was reported in one patient and was the primary symptom that motivated her to consult. This rapid enlargement may be attributed to the inflammation of the thyroid gland. In most cases, surgical intervention is performed to exclude malignancy. Amyloid deposition is rarely associated with thyroid dysfunctions. Our three patients exhibited clinical and biological euthyroidism, and the literature on the subject reported only a few cases of thyroid dysfunction.9

FNA has been demonstrated to be a valuable diagnostic tool in several cases; however, it does not appear to be a reliable indicator of amyloidosis. In our experience, FNA was performed in two cases, and amyloid deposition was identified on cytological examination in one. Nonetheless, as reported in some cases in the literature, core biopsy was more informative and amyloid deposition was revealed when it was performed. Definitive histological examinations remain the gold standard for diagnosis. Thyroidectomy serves a dual role as both a therapeutic and a diagnostic modality. Notably, amyloid deposition has the potential to affect other endocrine systems. As detailed in this report, one patient exhibited parathyroid amyloid deposits, which were substantiated through pathological examination despite normal calcium and phosphorus levels in the assessment. Adrenal amyloid deposition was suspected in another patient who presented with primary adrenal insufficiency. Patel et al. have also documented parathyroid amyloid deposits.8

The patient with amyloidosis secondary to FMF was diagnosed with adrenal insufficiency. We hypothesized that the patient’s adrenal amyloid deposition or a condition associated with FMF was the underlying cause. To expand on this finding, a comprehensive literature review was conducted using the term “amyloid goiter” in PubMed. The search was limited to publications published between 2019 and 2024. The results of this review are summarized in Table 1.

Table 1. Characteristics of patients with amyloid goiter reported in the literature.

Cases/YearAgeGenderClinical featuresThyroid testUSFNA/Core biopsyEtiology of amyloidosisTreatmentPathological examination
1Gonzalez et al 20241064FThyroid enlargementHyperthyroidismGoiterCore Biopsy: amyloid deposit-Anti thyroid medication-
2Larenjeira et al 20241175FDysphagiaEuthyroidGoiter
Nodules 11mm
FNA: benign cyst and follicular lesion of undetermined significanceHeavy chain amyloidosisChemotherapy-
3Denizmen et al 202412Biopsy: Amyloid substance
4George et al 20241351FThyroid enlargementHyperthyroidism--Primary amyloidosisTotal thyroidectomyAmorphous material Papillary carcinoma
5Gokbulut et al 20241426FNeck painEuthyroid-Core biopsy: Amyloid depositFMF--
6Khan et al 20231538FHoersenessEuthyroid-FNA: Bethesda II-Total thyroidectomyEosinophilic amorphous substance
7Khader et al 20231642MThyroid enlargementHyperthyroidismHeterogenous goiter, no nodulesFNA: no malignancy signsBehçet diseaseTotal thyroidectomyEosinophilic amorphous fibrillary material+ fatty metaplasia
8Moreno et al 20231721FCompressive signsEuthyroidDiffuse thyroid enlargementFNA: fibro inlammatory lesionsFMFTotal thyroidectomyAmyloid deposition
9Chihiro et al 20221860FAutopsy---Rhymatoid arthritis-Eosinophilic amorphous deposits with parenchymal cell destruction
10Patel et al 2022873MDysphagia HoersenessEuthyroidGoiter NodulesFNA: Bethesda IMultiple myelomaTotal thyroidectomyAmyloid deposition
11Morado da silva et al 20221954FDysphagia
Hoerseness
EuthyroidGoiter
Nodule 28mm
FNA: Bethesda IVchronic pyelonephritis and bronchiectasisTotal thyroidectomyPapillary carcinoma Eosnophilic amprphous material
12Chincholi et al 20222036FThyroid enlargement DysphagiaEuthyroidGoiter Nodules FNA: Bethesda IILocalized AA amyloidosisTotal thyroidectomyEosinophilic amorphous material
13Cavaco et al 20212146MThyroid enlargementEuthyroidGoiter Nodulesfollicular lesion of undetermined significance-Total thyroidectomyEosinophilic amorphous material
14Ledesma et al 20212266MAutopsyEuthyroid--Primary amyloidosis-Amyloid deposition
15Şeker et al 20202355MDysphagiaEuthyroidGoiter
Nodules: the largest 50mm
FNA: benign thyroid cytologyRhumatoid arthritisTotal ThyroidectomyAmyloid desposition
16Lari et al 20202453MThyroid enlargementEuthyroidHomogenous goiterFNA: benign cytologyPrimary AmyloidosisTotal thyroidectomyEosinophilic amorphous deposition
17Jacubovic et al 20202540MDyspnea HoarsenessEuthyroidEnlargement gland, cystic nodulesFNA: non diagnostic Biopsy: amyloid depositsOsteomyelitisTotal thyroidectomyEosinophilic amorphous material
18Abukhalaf et al 20202623MThyroid enlargementEuthyroidEnlargement glandFNA: suggestive amyloidosisFMFColchicine-
19Orrego et al 20192770MThyroid enlargementEuthyroidGoiter, Nodules the largest 39mmFNA: Bethesda IIIPrimary amyloidosisLobectomyAmyloid deposition
20Lopez et al 20192848FDysphagiaSubclinical hyperthyroidismEnlargement glandCore biopsy: eosinophilic amyloid depositRhumatoid arthritisTotal thyroidectomyAmyloid deposition

Conclusions

Amyloid goiter is a rare entity. It is typically discovered due to thyroid enlargement, which may present with compressive symptoms. It can rarely be associated to thyroid dysfunction. Rapid growth or significant compression often necessitates surgery. While fine-needle aspiration (FNA) is usually less informative, core biopsy or surgery provides a definitive diagnosis. Thyroidectomy thus serves both diagnostic and therapeutic purposes. Clinicians should suspect amyloid deposition in cases of a progressively enlarging goiter, especially in patients with a known history of systemic amyloidosis.

Ethics and consent

Ethical approval and consent were not required.

Consent to published

Written informed consent for the publication of the report and associated images was obtained from the patients prior to submission.

Comments on this article Comments (0)

Version 2
VERSION 2 PUBLISHED 25 Mar 2025
Comment
Author details Author details
Competing interests
Grant information
Copyright
Download
 
Export To
metrics
Views Downloads
F1000Research - -
PubMed Central
Data from PMC are received and updated monthly.
- -
Citations
CITE
how to cite this article
Laamouri R, Ben Nacef I, Tbini M et al. Amyloid goiter: A Tunisian case series [version 2; peer review: 1 approved, 2 approved with reservations]. F1000Research 2025, 14:324 (https://doi.org/10.12688/f1000research.162724.2)
NOTE: If applicable, it is important to ensure the information in square brackets after the title is included in all citations of this article.
track
receive updates on this article
Track an article to receive email alerts on any updates to this article.

Open Peer Review

Current Reviewer Status: ?
Key to Reviewer Statuses VIEW
ApprovedThe paper is scientifically sound in its current form and only minor, if any, improvements are suggested
Approved with reservations A number of small changes, sometimes more significant revisions are required to address specific details and improve the papers academic merit.
Not approvedFundamental flaws in the paper seriously undermine the findings and conclusions
Version 2
VERSION 2
PUBLISHED 20 Oct 2025
Revised
Views
4
Cite
Reviewer Report 24 Dec 2025
José L. Paz-Ibarra, Universidad Nacional Mayor de San Marcos, Lima, Peru 
Approved with Reservations
VIEWS 4
I respectfully offer the following comments to strengthen the clarity, scientific impact, and academic rigor of your work.
Expand the differential diagnosis reasoning

To enhance clinical relevance, consider discussing:

What competing diagnoses ... Continue reading
CITE
CITE
HOW TO CITE THIS REPORT
Paz-Ibarra JL. Reviewer Report For: Amyloid goiter: A Tunisian case series [version 2; peer review: 1 approved, 2 approved with reservations]. F1000Research 2025, 14:324 (https://doi.org/10.5256/f1000research.189864.r425640)
NOTE: it is important to ensure the information in square brackets after the title is included in all citations of this article.
Views
6
Cite
Reviewer Report 08 Dec 2025
Maria M Picken, Loyola University Chicago, Chicago, USA 
Approved with Reservations
VIEWS 6
Laamouri et al describe 3 patients with amyloid goiter and provide a literature review on this subject.  This is a revised version and the reviewer has a few suggestions for further improvement as follows:
In the introduction: “Amyloidosis is ... Continue reading
CITE
CITE
HOW TO CITE THIS REPORT
Picken MM. Reviewer Report For: Amyloid goiter: A Tunisian case series [version 2; peer review: 1 approved, 2 approved with reservations]. F1000Research 2025, 14:324 (https://doi.org/10.5256/f1000research.189864.r430137)
NOTE: it is important to ensure the information in square brackets after the title is included in all citations of this article.
Views
2
Cite
Reviewer Report 12 Nov 2025
Najla Bchir, Hôpital militaire de Tunis, Tunis, Tunisia 
Approved
VIEWS 2
1. Summary of the case
This report presents three male patients with AG; one had compressive symptoms. All had normal thyroid function. Fine Needle Aspiration identified amyloid in only one case. All patients underwent total thyroidectomy and received ... Continue reading
CITE
CITE
HOW TO CITE THIS REPORT
Bchir N. Reviewer Report For: Amyloid goiter: A Tunisian case series [version 2; peer review: 1 approved, 2 approved with reservations]. F1000Research 2025, 14:324 (https://doi.org/10.5256/f1000research.189864.r425634)
NOTE: it is important to ensure the information in square brackets after the title is included in all citations of this article.

Comments on this article Comments (0)

Version 2
VERSION 2 PUBLISHED 25 Mar 2025
Comment
Alongside their report, reviewers assign a status to the article:
Approved - the paper is scientifically sound in its current form and only minor, if any, improvements are suggested
Approved with reservations - A number of small changes, sometimes more significant revisions are required to address specific details and improve the papers academic merit.
Not approved - fundamental flaws in the paper seriously undermine the findings and conclusions
Sign In
If you've forgotten your password, please enter your email address below and we'll send you instructions on how to reset your password.

The email address should be the one you originally registered with F1000.

Email address not valid, please try again

You registered with F1000 via Google, so we cannot reset your password.

To sign in, please click here.

If you still need help with your Google account password, please click here.

You registered with F1000 via Facebook, so we cannot reset your password.

To sign in, please click here.

If you still need help with your Facebook account password, please click here.

Code not correct, please try again
Email us for further assistance.
Server error, please try again.