Keywords
Sarcoidosis, liver, lung,hilar lymphadenopathy
Sarcoidosis, liver, lung,hilar lymphadenopathy
Sarcoidosis is a granulomatous disease with unknown cause that can vary from an asymptomatic condition to being life-threatening1. Almost half of the patients with sarcoidosis have no symptoms. In some cases, with the help of chest radiography findings looking for other pathologies, it is diagnosed. Since the lungs are often involved, patients usually come to the clinic with lung complaints (such as shortness of breath, cough)2,3. Some of the clinical manifestations of sarcoidosis have a poor prognosis, including treatment-resistant lung sarcoidosis (pulmonary fibrosis, pulmonary hypertension), cardiac sarcoidosis, neurosarcoidosis, and multiple organ sarcoidosis. These clinical manifestations are often not diagnosed until the end stage of the disease, and their response to treatment is low. The incidence of severe sarcoidosis is the most common cause of death4. On time diagnosis, treatment and follow-up of patients reduces mortality. In this article, we describe a sarcoidosis patient with lung and liver involvement, which may be misdiagnosed as cancer metastasis.
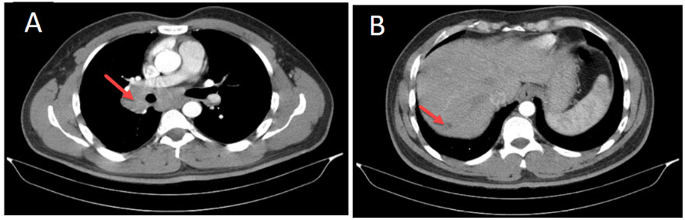
A 39-year-old man, taxi driver, known to have hypothyroidism (being treated with levothyroxine) presented to the emergency ward with dyspnea and coughing after exposure to detergents in a closed environment. The patient was smoker (3 pack/year). The only in clinical examinations except for wheezing in the right side of chest. The patient's chest radiography identified a mass. For further investigation, a spiral computerized tomography (CT) scan was performed. Lymph nodes were enlarged on the right side of the trachea, measuring about 23 mm with a mass of 70 × 77 mm, in the vicinity of the right lung hilum. A hypodense nodule in the posterior part of the liver, suspected to be malignant, was also reported (Figure 1). The lesions were suspected to be metastatic tumors, therefore, a biopsy of the mass was performed via bronchoscopy. The biopsy results were reported as chronic inflammation and mucosal hyperplasia without malignancy, which did not conform to the CT report. The CT has repeated again, and confirmed the previous CT report. A CT guided mass biopsy was performed for pathological evaluation. The result showed chronic granulomatous inflammation, the two most likely causes being tuberculosis (TB) and sarcoidosis. Sputum smear, culture, and PCR were performed to test for TB, and angiotensin-converting enzyme (ACE) levels were measured for sarcoidosis. The results ruled out TB and showed high levels of ACE (ACE = 88 (normal 8-53)). Two months after the first visit, sarcoidosis was diagnosed and treatment started with prednisolone. Ophthalmology test for eye evaluation, echocardiography for cardiac evaluation and EMG/NCV (Electromyogram test and nerve conduction study) for evaluation of the nervous system were also performed to determine if there was any extra-pulmonary sarcoidosis, however, no lesions were found. After treatment by corticosteroid the symptoms of the patient subsided. Now the patient is on follow-up. Figure 2 show the CT scan of patient after treatment.

CT scan in-patient with sarcoidosis-(A) Pulmonary lymphadenopathy and (B) granulomatous lesion in Liver involvement.
Sarcoidosis occurs mainly in people aged 20 – 40 years and more common in females5. Diagnosis is based on medical history, granuloma manifestations in at least two different structures, staining and negative culture for acid-fast bacilli, a lack of occupational and internal exposure to toxins and absence of drug-related illnesses. It is difficult to determine the prevalence and incidence of sarcoidosis without clinical symptoms. In countries where Mycobacterium tuberculosis is common, sarcoidosis may not be detected5–7. The first evaluation of patients suspected of sarcoidosis include; cell blood count, serum biochemistry including creatinine, calcium, liver enzymes, alkaline phosphates, urine analysis, serum protein electrophoresis, inflammatory markers, lactate dehydrogenase, level of enzyme (ACE), and Complete Pulmonary Function Tests that should be performed in patients with respiratory symptoms or abnormalities of the lung parenchyma. In all cases, Mycobacterium and fungal disease should be considered, as it has a similar history (chronic cough) and clinical image (pulmonary lymphadenopathy)8. A few clinical case report has shown that sarcoidosis is less common in smokers9,10. Sarcoidosis has many clinical manifestations and affects all organs of the body. The lung is involved in at least 90% of sarcoidosis patients. Skin, eyes, liver and peripheral lymph nodes, with a frequency of 10 to 30% for other involved organs10. Cardiac involvement occurs in 25% of cases, but only causes clinical problems in 5% of cases, although it may suddenly be fatal, so it is important to examine all patients for cardiac sarcoidosis11,12. All patients should also be screened for eye involvement as it can cause visual impairment13. Sarcoidosis, like drugs, poisons, viral infections, and flukes induce liver dysfunction14,15. Up to 35% patients have abnormal liver function tests that are not related to the degree of disease16,17. Serum levels of ACE are increased in 60% of patients and have been shown to correlate with the level of disease activity. This test is non-invasive and is highly effective because the enzyme is produced by epithelial granuloma cells and its serum level reflecting the entire granulomatous activity in the body8,18. Fatigue was reported in over 50% of patients, which has a major effect on the quality of life. Pain was reported in 70% of patients. Arthralgia is the most common type of pain; a headache and chest pain also being reported.7,19. In terms of treatment, Corticosteroids are a selective therapeutic drug, and methotrexate and hydroxychloroquine are often alternative drugs20–22. Our patient had no abnormal blood counts, liver test dysfunction, and non-specific inflammatory markers abnormalities, only an increased titer of ACE with addition liver symptoms that included itching, jaundice, fever and abdominal pain.
In hilar lymphadenopathy of lung, sarcoidosis is an importance differential diagnosis that should be considered and prior to biopsy of lymph nodes and any invasive procedures, ACE enzyme levels should be measured.
No data is associated with this article.
Written informed consent was obtained from the patient for the publication of the patient’s clinical details and accompanying images.
| Views | Downloads | |
|---|---|---|
| F1000Research | - | - |
|
PubMed Central
Data from PMC are received and updated monthly.
|
- | - |
Is the background of the case’s history and progression described in sufficient detail?
Yes
Are enough details provided of any physical examination and diagnostic tests, treatment given and outcomes?
Partly
Is sufficient discussion included of the importance of the findings and their relevance to future understanding of disease processes, diagnosis or treatment?
Yes
Is the case presented with sufficient detail to be useful for other practitioners?
Yes
Competing Interests: No competing interests were disclosed.
Reviewer Expertise: Immunology of sarcoidosis
Is the background of the case’s history and progression described in sufficient detail?
Yes
Are enough details provided of any physical examination and diagnostic tests, treatment given and outcomes?
Partly
Is sufficient discussion included of the importance of the findings and their relevance to future understanding of disease processes, diagnosis or treatment?
Yes
Is the case presented with sufficient detail to be useful for other practitioners?
Partly
Competing Interests: No competing interests were disclosed.
Alongside their report, reviewers assign a status to the article:
| Invited Reviewers | ||
|---|---|---|
| 1 | 2 | |
|
Version 2 (revision) 04 Jun 18 |
read | |
|
Version 1 07 Mar 18 |
read | read |
Provide sufficient details of any financial or non-financial competing interests to enable users to assess whether your comments might lead a reasonable person to question your impartiality. Consider the following examples, but note that this is not an exhaustive list:
Sign up for content alerts and receive a weekly or monthly email with all newly published articles
Already registered? Sign in
The email address should be the one you originally registered with F1000.
You registered with F1000 via Google, so we cannot reset your password.
To sign in, please click here.
If you still need help with your Google account password, please click here.
You registered with F1000 via Facebook, so we cannot reset your password.
To sign in, please click here.
If you still need help with your Facebook account password, please click here.
If your email address is registered with us, we will email you instructions to reset your password.
If you think you should have received this email but it has not arrived, please check your spam filters and/or contact for further assistance.
Comments on this article Comments (0)