Keywords
CNS lymphoma, Meningioma, Collision tumor
CNS lymphoma, Meningioma, Collision tumor
The incidence of two distinct primary intracranial pathologies is an exceedingly rare phenomenon. The reported incidence of such an occurrence is approximately 1 in a million annually (Lee et al., 2002). Although meningiomas, given their benign and slow-growing nature, are well known to coexist with other primary intracranial malignancies such as glioblastoma, metastases, adenomas, there are only nine reported cases of a meningioma occurring simultaneously with primary CNS lymphoma (PCNSL) in the literature (Gordon et al., 2011; Slowik & Jellinger, 1990). Here, we report a case of a woman who sustained multiple injuries due to two distinct intracranial pathologies, however, lateralizing signs were unrecognized for two weeks prior to her final diagnosis.
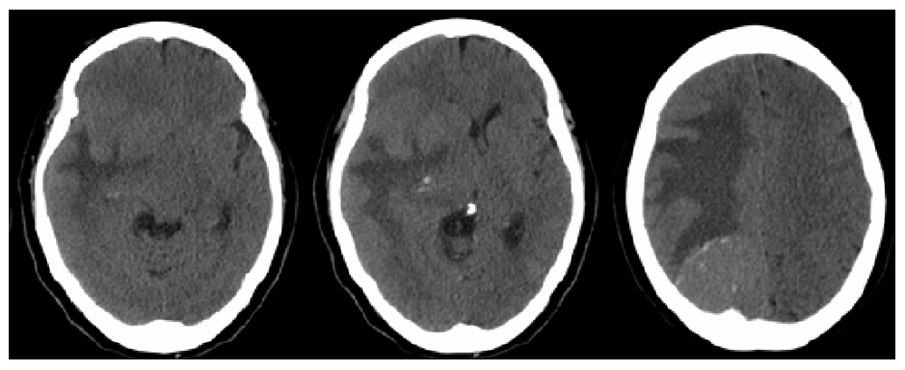
A 64-year-old Hispanic female with a past medical history of type 2 diabetes mellitus and hypertension presented with a chief complaint of left hemiparesis and paresthesias and was activated as a code stroke. History was limited due to the patient being Spanish-speaking only. She did not receive tPA because she stated her left-sided symptoms were not new and she had progressively worsening clumsiness of her left side and that she had been falling to her left. She presented to urgent care two weeks prior to presentation after sustaining a mechanical fall at home. She was diagnosed with a left bimalleolar fracture, placed in a cast, and scheduled for outpatient follow up with orthopedics for surgical evaluation. Computed tomography (CT) of head revealed a right occipital mass with significant vasogenic edema causing 12mm of midline shift (Figure 1).

The patient was alert and oriented to person, place and time in Spanish. Cranial nerve exam revealed no deficits and no evidence of visual field cut. Motor examination revealed left hemiparesis (4+/5 in the upper and lower extremities), but was limited by the previous casting of her distal left malleolar fracture. Sensory examination revealed slight diminished sensation in the left upper and lower extremities with similar limitations as motor examination.
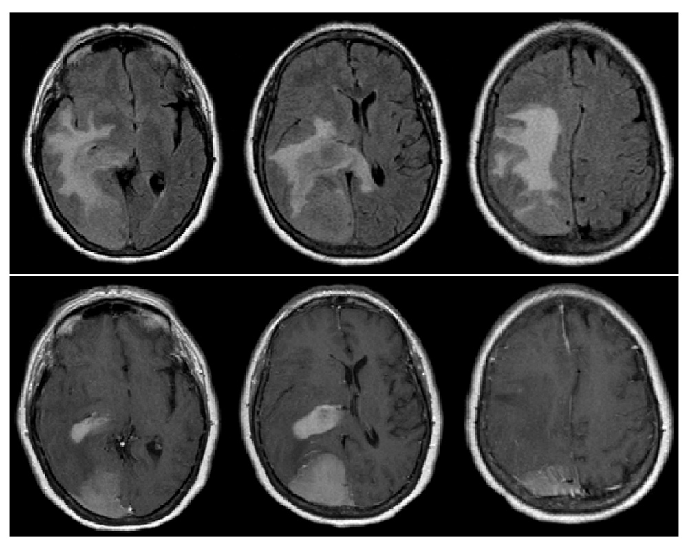
The patient was started on dexamethasone 6mg every 6 hours and admitted to the ICU. A STAT MRI brain with and without contrast revealed two homogeneously contrast-enhancing lesions: a 4.8.×6.1×3cm right parieto-occipital extra-axial mass with dural-based attachment, as well as a 3.4×1.8×2.2cm homogenously contrast-enhancing lesion adjacent to the right posterolateral ventricle. FLAIR signal changes were also appreciated and were noted to extend across the splenium of the corpus callosum, raising concerns for a high-grade glial process (Figure 2).

T1-post contrast reveals 2 distinct lesions – a homogenously enhancing extra-axial lesion in the right parietal lobe as well as a homogeneously enhancing periventricular lesion (bottom).
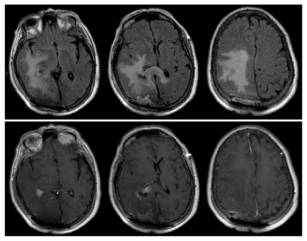
After preoperative clearance, a right occipital craniotomy was performed with anticipation for gross total resection of the right parieto-occipital lesion and biopsy with likely subtotal resection and biopsy of the second lesion. Preliminary pathology from intra-operative frozen specimen were consistent with meningioma (extra-axial lesion) and high-grade glioma (periventricular lesion). Gross total resection was performed for the extra-axial lesion and maximal, safe resection of the periventricular lesion was performed. She tolerated the procedure well and had an improved neurological exam postoperatively. Her left hemiparesis improved compared with pre-operative exam, however, she did have very minor left visual field deficits. Post-operative MRI demonstrated gross total resection of meningioma and subtotal resection of what was later confirmed to be diffuse large B-cell lymphoma (Figure 3). During this same admission, she also underwent open reduction, internal fixation (ORIF) of her left bimalleolar fracture without complication. She was discharged home in stable condition.

T1-post contrast reveals gross-total resection of the previously seen extra-axial lesion in the right parieto-occipital region as well as subtotal resection of right periventricular lesion (bottom). The midline shift is significantly improved from pre-operative MRI (Figure 2).
Extra-axial lesion: Meningothelial Meningioma
Periventricular lesion: Diffuse Large B-Cell Lymphoma (+CD20, +BCL-6, +BCL-2, +MUM-1, +KI67)
At one month clinic follow-up, she was noted to have an intact motor exam with stable visual field deficits on gross examination. She went into complete remission after a course of methotrexate, cytarabine, and Rituxan and 4 cycles of radiation therapy. She tolerated the treatment relatively well with minor symptoms. At one and two year follow-ups, she continues to be in remission with no signs of recurrence on imaging.
We report a rare case of a concurrent meningioma and primary CNS lymphoma (PCNSL), a rare occurrence entity that has only nine reported cases in the literature. The most common concurrent intracranial tumors reported in the literature are meningioma and glioblastoma (Zhang et al., 2018). It is rare to find two or more primary intracranial tumors simultaneously in patients without previous radiation therapy or underlying phacomatosis such as Neurofibromatosis-2 (NF2). The annual incidence of this phenomenon is estimated to be less than one per million (Gordon et al., 2011; Lee et al., 2002).
Accurate diagnosis is essential as the surgical management of these conditions are opposite of one another. One area in which the management in our patient could be improved is a more accurate history and neurological examination. This was likely affected by the fact that the was a non-English speaker and highlights the importance of accurate history taking with a translator to ensure optimal care. Surgical management of PCSNL is typically limited to biopsy if CSF analysis is inconclusive. This is because PCNSL is particularly chemo- and radiosensitive. Conversely, gross total resection is the gold standard in the management of meningiomas and gliomas (Baraniskin & Schroers, 2014; Gordon et al., 2011; Hoang-Xuan et al., 2015; Korfel & Schlegel, 2013; Muñiz et al., 2014). The same principle applies for steroid administration. The administration of glucocorticoids is not recommended in lymphoma as it could affect the diagnostic yield while it is a mainstay in the treatment of vasogenic edema (Hoang-Xuan et al., 2015). Interestingly in our case, the initiation of high-dose dexamethasone did not affect our diagnosis. The typical diagnostic workup for CNS lymphoma consists of CSF analysis for markers such as IL-10, CXCL13, CD19, CD20 or flow cytometry (Baraniskin et al., 2011; Baraniskin & Schroers, 2014; Muñiz et al., 2014; Rubenstein et al., 2013). Due to the mass effect that is exerted by meningiomas, CSF analysis is difficult without a craniotomy as a lumbar puncture would not be recommended in such a setting. MRI is the gold standard diagnostic modality for meningiomas, however, this is complicated by the fact that CNS lymphoma can mimic any and every intracranial pathology, making it difficult to discern whether lymphoma should be considered as a possibility (Bühring et al., 2001; George et al., 2007; Kulkarni et al., 2012).
The most common association of two primary intracranial tumors is that of meningioma and glioma (>40 reported cases), however given that these tumors are two of the most common primary intracranial tumors this is thought by many to be coincidental, however associations between the two pathologies have been proposed (Ruiz et al., 2015; Slowik & Jellinger, 1990; Suzuki et al., 2010; Zhang et al., 2018). In a report of two patients with concurrent meningioma and high grade gliomas, Ruiz et al. reported a mutation in K409Q of the KLF4 gene within the meningiomas (Ruiz et al., 2015). Suzuki et al. reported an oncogenic effect due to overexpression of platelet-derived growth factor (PDGF) receptors (Suzuki et al., 2010).
Simultaneous presentations tend to affects adults and have a female predominance due to the nature of meningiomas and their apparent relationship with progesterone and estrogen receptors (Pravdenkova et al., 2006). Since meningiomas typically have an indolent course, this is likely why they are often found concurrently with another primary intracranial pathology. In the setting of simultaneous extra-axial and intra-axial lesions, primary CNS lymphoma must remain a consideration to ensure accurate diagnosis and treatment.
The patient and her family gave written informed consent for presenting all pertinent clinical information in this case report.
All data underlying the results are available as part of the article and no additional source data are required.
| Views | Downloads | |
|---|---|---|
| F1000Research | - | - |
|
PubMed Central
Data from PMC are received and updated monthly.
|
- | - |
Is the background of the case’s history and progression described in sufficient detail?
Partly
Are enough details provided of any physical examination and diagnostic tests, treatment given and outcomes?
Yes
Is sufficient discussion included of the importance of the findings and their relevance to future understanding of disease processes, diagnosis or treatment?
Partly
Is the case presented with sufficient detail to be useful for other practitioners?
Yes
Competing Interests: No competing interests were disclosed.
Reviewer Expertise: Neurooncology
Is the background of the case’s history and progression described in sufficient detail?
Yes
Are enough details provided of any physical examination and diagnostic tests, treatment given and outcomes?
Partly
Is sufficient discussion included of the importance of the findings and their relevance to future understanding of disease processes, diagnosis or treatment?
Yes
Is the case presented with sufficient detail to be useful for other practitioners?
Partly
Competing Interests: No competing interests were disclosed.
Reviewer Expertise: International expert in primary CNS lymphoma and co-author of European Guidelines in 2015.
Alongside their report, reviewers assign a status to the article:
| Invited Reviewers | |||
|---|---|---|---|
| 1 | 2 | 3 | |
|
Version 2 (revision) 28 Aug 19 |
read | read | |
|
Version 1 25 Jan 19 |
read | read | |
Provide sufficient details of any financial or non-financial competing interests to enable users to assess whether your comments might lead a reasonable person to question your impartiality. Consider the following examples, but note that this is not an exhaustive list:
Sign up for content alerts and receive a weekly or monthly email with all newly published articles
Already registered? Sign in
The email address should be the one you originally registered with F1000.
You registered with F1000 via Google, so we cannot reset your password.
To sign in, please click here.
If you still need help with your Google account password, please click here.
You registered with F1000 via Facebook, so we cannot reset your password.
To sign in, please click here.
If you still need help with your Facebook account password, please click here.
If your email address is registered with us, we will email you instructions to reset your password.
If you think you should have received this email but it has not arrived, please check your spam filters and/or contact for further assistance.
Comments on this article Comments (0)