Keywords
primary PCI, dialysis, acute myocardial infarction, STEMI, acute-on-chronic kidney disease
primary PCI, dialysis, acute myocardial infarction, STEMI, acute-on-chronic kidney disease
The incidence of acute-on-chronic kidney disease (ACKD) varies among patients with ST-segment elevation myocardial infarction (STEMI), ranging from 5% to 30%. The structural and functional changes in the kidneys leading to chronic kidney disease (CKD) is most likely to be caused by different pathological mechanisms, including renal hypoperfusion, ischemia, and nephrotoxicity. Despite the proper treatment of myocardial infarction, ACKD still leads to a higher risk of morbidity and mortality, particularly when dialysis is required.1
Octogenarian patients were rarely included in clinical investigations. Patients of advanced age possess the dilemma of revascularization therapy. Many clinicians fear that the risk-benefit ratio of doing the primary PCI is not worth it on elderly patients.2 Fox et al. states the risk of death in patient with ACS is increasing with age, but elderly patients may get an equal or greater benefit from primary PCI.3
An 80-year-old Asian woman, with no history of smoking and unremarkable medical history, was referred to the emergency room department with a complaint of typical chest pain. The pain began four hours before hospitalization. It further radiated to the back and was accompanied by cold sweats. In this regard, the patient had a history of hypertension. Blood pressure was 116/53 mmHg, pulse rate was 39 ×/min, respiration rate was 23 ×/min, body temperature was 36.7°C, and oxygen saturation was 96% with O2 nasal cannula 3 l/min. Her extremities were warm, with vesicular pulmonary arteries and with no crackles or wheezing.
The electrocardiogram (ECG) of the patient showed TAVB with a junctional escape rhythm of 39 times per minute and inferior STEMI (Figure 1). The laboratory results of the initial visit were within normal limits, except that the blood urea nitrogen (BUN) 138 mg/dL (normal range: 7 – 18 mg/dL), creatinine serum 8.1 mg/dL (normal range: 0.6 – 1.3 mg/dL), and troponin I increased to 30.6 ng/mL (normal range: ≤ 0.04 ng/mL).

From these data, we provided this patient with a diagnosis of inferior STEMI with total AV block and ACKD. She was administered with aspilet 300 mg and clopidogrel 75 mg per oral. Subsequently, a temporary pacemaker (TPM) was installed using local anesthesia with the heart rate at 70 ×/min, the sensitivity at 3 mV and the output at 3 V, and diagnostic coronary angiography (DCA) was performed.
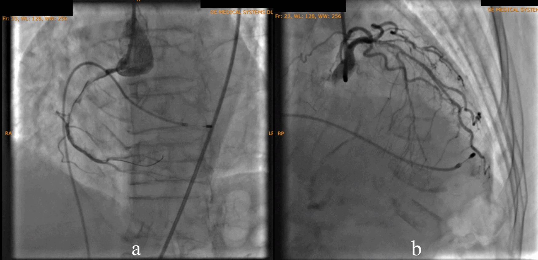
According to the DCA, the total occlusion was at the proximal right coronary artery (RCA) (Figure 2). There was insignificant stenosis in the proximal-mid left anterior descending artery. Besides, there were no stenosis on the left circumflex artery and the left main coronary artery. Primary PCI at the RCA was conducted using drug eluting stent (DES) promus and then thrombolysis in myocardial infarction (TIMI) grade 3 flow was shown at the RCA (Figure 3). Electrocardiography was also conducted after the installation of the pacemaker (Figure 4).


The patient was given therapy with dual antiplatelet aspirin 1 × 100 mg per oral and clopidogrel 1 × 75 mg per oral, atorvastatin 1 × 20 mg per oral, fluimucyl 3 × 200 mg per oral, packed red cell (PRC) transfusion of one bag per day, and TPM. On the third day of the treatment, electrocardiographic imaging indicated that the atrial fibrillation rhythm had a rapid ventricular response of 95–120 times per minute (Figure 5). As a consequence, the patient was given additional treatment with digoxin 0.5 mg through intravenous infusion. Additionally, she was considered by the internist for haemodialysis (HD) to do contrast clearing. This consideration was made based on the amount of BUN 138 mg/dL (normal range: 7 – 18 mg/dL) and serum creatinine 8.1 mg/dL (normal range: 0.6 – 1.3 mg/dL) from the earlier laboratory results. The internist ultimately decided to administer HD using ultrafiltration 2000 ml to this patient on the fourth day of treatment. The patient did not complain about chest pain on the next (fifth) day. The post-HD laboratory results showed that BUN reduced to 34 mg/dL, serum creatinine to 1.05 mg/dL (eGFR 50 mL/min/1.73 m2). Afterwards, removal of the TPM was attempted on the ninth day (Figure 6). In this case, the patient was given additional therapy of salbutamol 2 mg per oral three times a day. Later, the patient was discharged from the hospital on the fifteenth day.

After three weeks of leaving the hospital, the patient was asked to undergo echocardiography. The results of this examination demonstrated that there was moderate mitral regurgitation with normal cardiac chamber dimensions. The left ventricular systolic function seemed normal with ejection fraction by Teich being 68%, as did the left ventricular diastolic function with E/A being 0.87 (Figure 7). On the other hand, the right ventricular systolic function appeared normal with tricuspid annular plane systolic excursion accounting for 1.8 cm.
STEMI patients who have previously had kidney diseases or have recently suffered from kidney diseases as a result from STEMI have a worse prognosis. The renal insufficiency of patients with STEMI will increase the mortality and morbidity of cardiovascular diseases.4
Atherosclerotic coronary plaque can cause coronary arterial disease (CAD) in the general population, but for patients with CKD, the pathophysiology of vascular diseases is different, due to a number of new risk factors, e.g., endothelium dysfunction, CKD-related mineral bone diseases, increased oxidative stress, and inflammation. In CKD, atherosclerosis often occurs in form of calcification of the lining of the blood vessels, which is regularly observed on peripheral vessels like the tibial and femoral arteries and on small epicardial blood vessels that contribute to microcirculation. There are many contributing factors to the incidence of chronic inflammation, such as increased oxidation and disrupted antioxidant system. These are particularly linked to hypoalbuminemia and malnutrition. Because of the deterioration of the renal function, the levels of pro-inflammatory cytokines and inflammatory mediators in the plasma will increase, thus leading to blood vessel calcification.4–6
The recent guidelines recommend that aspirin should be administered immediately after suspected acute coronary syndrome (ACS) and continued without a predetermined time, except if there is contraindication.7 Following that patients with renal insufficiency have an increased risk of bleeding, some doubt exists about the use of therapeutic antiplatelet therapy to such patients. According to the data collected, aspirin is safe and effective for ACS patients with CKD and recommended to be used in these patients to reduce mortality risk and vascular incidence.8
P2Y12 inhibitors are one of the common therapies given to patients with ACS. Various studies have shown the effectiveness of prasugrel and ticagrelor in the management of ACS. Although the risk of bleeding is relatively high, these drugs have a higher potential ratio of decreasing ischemic risk in CKD patients. The lack of alternative therapies related to the interaction of renal function allows clopidogrel to be considered as a treatment in patients with decreased renal function. For patients aged over 75 years old, clopidogrel can be administered at a loading dose of 75 mg and followed with a dose of 75 mg/day for maintenance.9
A number of studies suggested that statins should be used to treat ACS in order to reduce death risk or vascular incidence. American Heart Association guidelines recommend that statins should be given without seeing the initial levels of low-density lipoprotein in ACS patients without any contraindications.8
The use of lipid-lowering therapy, especially with statins, in patients with CKD remains a controversy to date. The potential of a statin-based treatment to decrease the number of vascular events will become much smaller due to a decrease in eGFR. The KDIGO guidelines propose that statins should be used in CKD patients over 50 years old, but not in dialysis patients. This recommendation is mainly based on two studies, namely 4D (Deutsche Diabetes Dialyse Studie) and AURORA (Rosuvastatin use evaluation). Nonetheless, statins still function as the foundation of the lipid management of CKD patients with CAD. In other words, giving statins to ACS patients with CKD is highly recommended.4,8,10
Whether patients with the symptoms of CKD and/or end-stage renal disease should be treated with medical therapy or revascularization through either PCI or coronary artery bypass grafting is still debatable. In many cases, STEMI patients with CKD undergo the same invasive treatment as STEMI patients with no CKD. This is adherent to the fact that no specific clinical trial has been conducted of patients with CKD. Although the research appears to be more supportive of initial invasive treatment than of initial conservative treatment, there is no survival benefit from early intervention in CKD patients within a range of Grade 3a to Grade 5 (<60 ml/min/1.73 m2) in non-ST-segment-elevation randomized controlled trials of myocardial infarction.10
There is no contraindication observed in the thrombolytic therapy in this case. Nevertheless, when the worsened CKD and the in-hospital mortality rate are taken into account as a result from myocardial infarction, primary PCI should be chosen.10–12
This case presents a new successfully reperfusion therapy in octogenarian patient with kidney disease. The limitation of this case is that we did not perform further diagnostic tests to find out the underlying disease that had caused the kidney disease.
The prognosis of patients with decreased renal function and acute myocardial infarction is relatively poor, considering that these two conditions worsen each other. An increased rate of major adverse cardiovascular events, heart failure, and chest pain are seen in line with decreased eGFR rate. In this study, we reported the treatment of a patient of 80 years old suffering from acute myocardial infarction with ACKD and TAVB. The patient, with inferior STEMI, complicated by complete heart block, was treated with coronary angioplasty and hemodialysis. The primary PCI and dialysis post-primary PCI were performed successfully. The complaint of ischemic chest pain was resolved, and renal function was improved. In this regard, serum creatinine decreased from 8 mg/dL to 1.05 mg/dL, with eGFR being 50 mL/min/1.73 m2.
All data underlying the results are available as part of the article and no additional source data are required.
Written informed consent for publication of their clinical details and/or clinical images was obtained from the patient.
| Views | Downloads | |
|---|---|---|
| F1000Research | - | - |
|
PubMed Central
Data from PMC are received and updated monthly.
|
- | - |
Is the background of the case’s history and progression described in sufficient detail?
Yes
Are enough details provided of any physical examination and diagnostic tests, treatment given and outcomes?
Yes
Is sufficient discussion included of the importance of the findings and their relevance to future understanding of disease processes, diagnosis or treatment?
Yes
Is the case presented with sufficient detail to be useful for other practitioners?
Yes
Competing Interests: No competing interests were disclosed.
Reviewer Expertise: Preventive Cardiology; Hypertension; Hypertensive Heart Failure; Echocardiography
Is the background of the case’s history and progression described in sufficient detail?
Partly
Are enough details provided of any physical examination and diagnostic tests, treatment given and outcomes?
Partly
Is sufficient discussion included of the importance of the findings and their relevance to future understanding of disease processes, diagnosis or treatment?
No
Is the case presented with sufficient detail to be useful for other practitioners?
Partly
Competing Interests: No competing interests were disclosed.
Reviewer Expertise: My area of interest is cardiovascular medicine.
Alongside their report, reviewers assign a status to the article:
| Invited Reviewers | ||
|---|---|---|
| 1 | 2 | |
|
Version 3 (revision) 12 May 22 |
read | read |
|
Version 2 (revision) 09 Feb 22 |
read | |
|
Version 1 01 Apr 21 |
read | read |
Provide sufficient details of any financial or non-financial competing interests to enable users to assess whether your comments might lead a reasonable person to question your impartiality. Consider the following examples, but note that this is not an exhaustive list:
Sign up for content alerts and receive a weekly or monthly email with all newly published articles
Already registered? Sign in
The email address should be the one you originally registered with F1000.
You registered with F1000 via Google, so we cannot reset your password.
To sign in, please click here.
If you still need help with your Google account password, please click here.
You registered with F1000 via Facebook, so we cannot reset your password.
To sign in, please click here.
If you still need help with your Facebook account password, please click here.
If your email address is registered with us, we will email you instructions to reset your password.
If you think you should have received this email but it has not arrived, please check your spam filters and/or contact for further assistance.
Comments on this article Comments (0)