Keywords
caecal volvulus, whirl sign, caecopexy, caecectomy
caecal volvulus, whirl sign, caecopexy, caecectomy
Volvulus is commonly defined as a twisted loop of the intestinal bowel and associated mesentery around a fixed point at its base. Caecal volvulus (CV) is a rare cause of intestinal obstruction, defined by an axial torsion of the caecum, ascending colon, and terminal ileum around the mesenteric vascular pedicles.1
Preoperative diagnosis can be difficult due to its unspecific symptoms. As a result, CV is a surgical emergency and any delay in management can be associated with complications mainly bowel ischemia eventually leading to perforation and peritonitis.
We report this case of CV to highlight the rarity of this pathology, the difficulty of clinical diagnosis, and to report the success of caecostomy as a surgical option against right colectomy.
A 20-year-old Tunisian woman, unemployed, with no significant medical history, was admitted for generalized abdominal pain evolving for three days, along with constipation and abdominal distension, but with no vomiting. Physical examination showed a generalized abdominal tenderness with no rigidity or rebound tenderness, associated with abdominal distension and tympanic upon percussion. Laboratory findings were within normal limits.
Abdominal X-rays were taken, and they revealed distension of a loop of the large bowel, with its long axis extending from the right lower quadrant to the epigastrium or left upper quadrant. Colonic haustral pattern was absent (Figure 1).

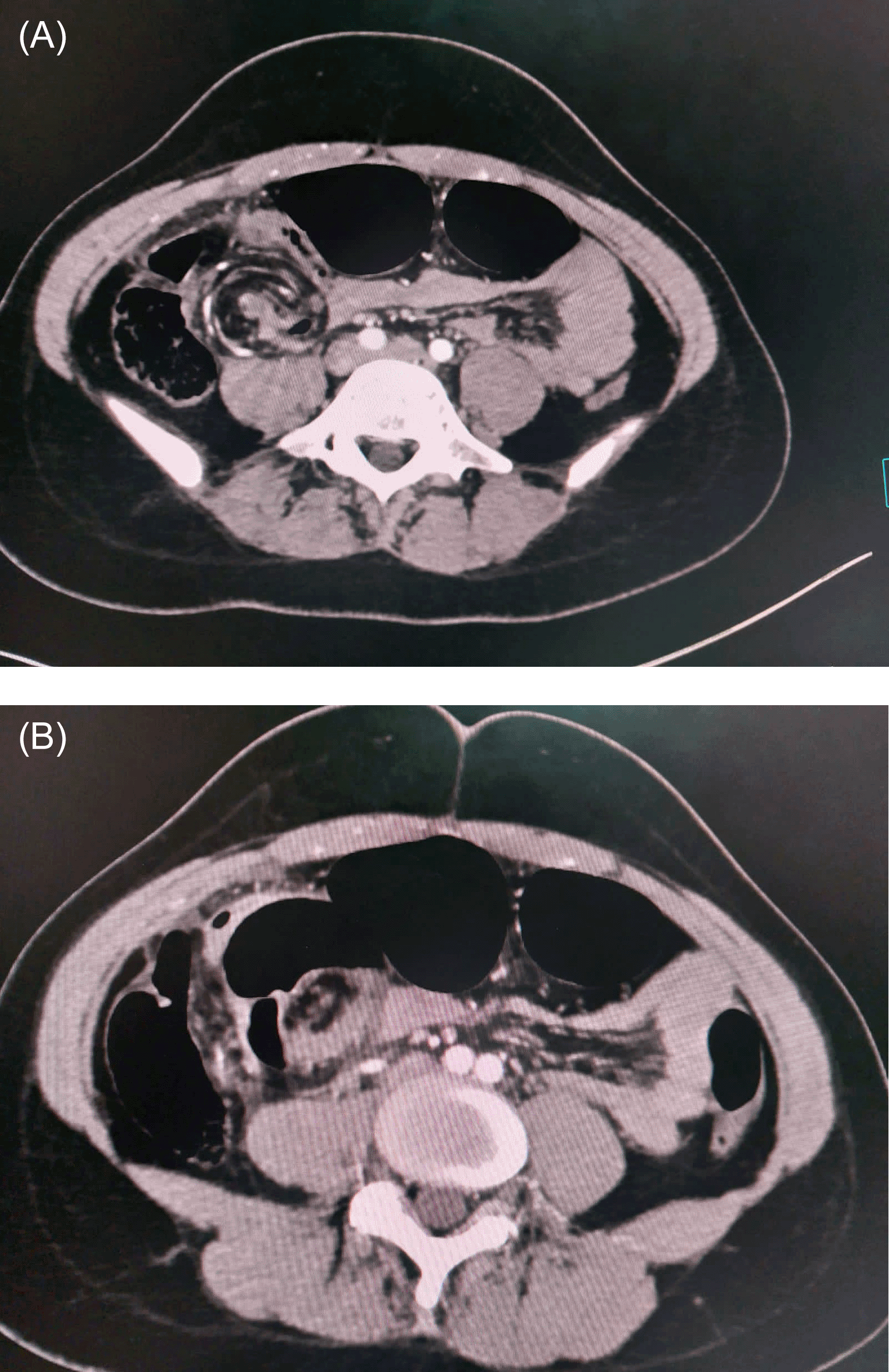
An abdominal computed tomography (CT) scan showed a rounded focal collection of air-distended bowel with haustral creases in the upper left quadrant. In addition, spiralled loops of collapsed cecum (giving a whirl sign) were noted, with low-attenuating fatty mesentery from the twisted bowel (Figure 2).

The patient was kept for six hours under observation, with nothing by mouth, nasogastric tube suction, and IV fluids. At the end of the evaluation period (six hours post suction), the patient underwent an emergency laparotomy.
During the operation, the caecum in the left hypochondrium was hugely distended and contained signs of pre-perforation, such as bowel deperitonization lesions (Figure 3). CV was seen, and clockwise de-rotation of volvulus was performed. After CV was diagnosed, a caecectomy was performed using GEA 80 charges.

The patient had an adequate postoperative evolution. Antibiotics prophylaxis was given for 48 hours post-operatively with amoxicillin (Ac. Clavulanique intravenously at the dosage of 1gr three times a day). Venous thromboembolism prophylaxis was given using enoxaparin subcutaneously at a dosage of 4000 UI once a day. A liquid diet was initiated 48 h after surgery. The patient had no clinical signs of leakage. On day 5, the patient was discharged. After two weeks, the final histopathological examination was performed, reporting caecal necrosis without underlying lesions.
In the postoperative assessment after two months, the patient was found to be tolerating oral intake, was asymptomatic, and did not have any signs of weight loss.
CV is an infrequent cause of colon obstruction.2 It is the second most frequent location of colonic volvulus and accounts for up to 60% of cases according to several studies.3 To be diagnosed with CV, two conditions must be met: an abnormal mobile caecum associated with the lack of attachment of the mesenterium, caecum, or right colon to the posterior peritoneum3–5; and a fixed point around which the caecum can twist.6
A mobile caecum is an anatomical variant, present in 25% of the general population according to some studies.7 It is believed that a mobile caecum is caused by deficient colonic fixation to the peritoneum or colon elongation resulting from over-rotation during embryologic development.8 Clinical presentation is exceedingly variable, but the most common symptoms are abdominal, accompanied by nausea, vomiting, and abdominal distension.9
In general, CV can be presented in three clinical syndromes: recurring intermittent pain, acute abdominal obstruction, and devastating acute obstruction.2 In recurring intermittent volvulus, patients experience pain in their lower right quadrant associated with abdominal dilation partially relived by gas release, such as the case of our patient.10,11 For acute obstruction by caecal volvulus, it is hard to differentiate it clinically from obstruction of the small bowel; therefore, radiological exams are needed.3 If not treated on time, an acute obstruction may progress into a devastating acute obstruction associated with severe abdominal pain, sepsis, and peritoneal irritation caused by necrosis and intestinal perforation due to obstruction and twisted mesenteric vessels.12,13
In terms of diagnosis, CT is the imaging technique of choice, allowing not only confirmation of the diagnosis, but also ruling out other causes of acute obstruction. Coffee bean, bride beak, and whirl signs are the most common observations identified during CT.14
Surgery is the main course of treatment for CV, ranging from simple detorsion to right colectomy.7 If gangrene, necrosis, or perforation are identified, resection is mandatory, and the current method of choice is right colectomy with primary anastomosis or ileostomy depending on perioperative factors.12 Three main procedures are described in the literature following caecum detorsion with no suspicion regarding its viability: isolated detorsion, caecopexy, and caecostomy.8 Isolated detorsion without caecopexy or cecostomy is associated with a high risk of recurrence; therefore, it should not be used anymore.15 Caecopexy is obtained by attaching the right colon to the parietal peritoneum with a recurrence rate of up to 40%. Cecostomy is associated with a higher risk of complications, including caecum gangrene, fistula, and leakage. In this case, our patient was young with signs of caecal pre perforation and not prepared for a right colectomy; as a result, we choose to perform a caecostomy. Compared to caecopexy, caecostomy has a higher rate of morbidity and mortality. As a result, caecopexy is recommended for patients with viable intestines not tolerating right colectomy and those suffering from mobile caecum syndrome.8,11,16 This, in conjunction with modern-day laparoscopic evolution, has decreased mortality, and post-operative results have markedly improved.3
Caecal volvulus is a rare cause of bowel obstruction, mainly caused by an exceedingly mobile caecum. Early diagnosis can be difficult due to its unspecific symptoms. Computed tomography plays a major role in a positive diagnosis. The main course of treatment is surgical, and modalities depend on various factors such as patient status and perioperative findings. Nowadays laparoscopic evolution continues to reduce postoperative morbidity.
Written informed consent to publish this case report and any associated images was obtained from the patient.
All data underlying the results are available as part of the article and no additional source data are required.
| Views | Downloads | |
|---|---|---|
| F1000Research | - | - |
|
PubMed Central
Data from PMC are received and updated monthly.
|
- | - |
Is the background of the case’s history and progression described in sufficient detail?
Yes
Are enough details provided of any physical examination and diagnostic tests, treatment given and outcomes?
Partly
Is sufficient discussion included of the importance of the findings and their relevance to future understanding of disease processes, diagnosis or treatment?
Partly
Is the case presented with sufficient detail to be useful for other practitioners?
Yes
Competing Interests: No competing interests were disclosed.
Reviewer Expertise: Gastrointestinal Surgery
Is the background of the case’s history and progression described in sufficient detail?
Yes
Are enough details provided of any physical examination and diagnostic tests, treatment given and outcomes?
Yes
Is sufficient discussion included of the importance of the findings and their relevance to future understanding of disease processes, diagnosis or treatment?
Yes
Is the case presented with sufficient detail to be useful for other practitioners?
Yes
Competing Interests: No competing interests were disclosed.
Reviewer Expertise: surgery
Is the background of the case’s history and progression described in sufficient detail?
Yes
Are enough details provided of any physical examination and diagnostic tests, treatment given and outcomes?
Yes
Is sufficient discussion included of the importance of the findings and their relevance to future understanding of disease processes, diagnosis or treatment?
Yes
Is the case presented with sufficient detail to be useful for other practitioners?
Yes
Competing Interests: No competing interests were disclosed.
Alongside their report, reviewers assign a status to the article:
| Invited Reviewers | |||
|---|---|---|---|
| 1 | 2 | 3 | |
|
Version 2 (revision) 02 Nov 22 |
read | ||
|
Version 1 12 Jul 22 |
read | read | read |
Provide sufficient details of any financial or non-financial competing interests to enable users to assess whether your comments might lead a reasonable person to question your impartiality. Consider the following examples, but note that this is not an exhaustive list:
Sign up for content alerts and receive a weekly or monthly email with all newly published articles
Already registered? Sign in
The email address should be the one you originally registered with F1000.
You registered with F1000 via Google, so we cannot reset your password.
To sign in, please click here.
If you still need help with your Google account password, please click here.
You registered with F1000 via Facebook, so we cannot reset your password.
To sign in, please click here.
If you still need help with your Facebook account password, please click here.
If your email address is registered with us, we will email you instructions to reset your password.
If you think you should have received this email but it has not arrived, please check your spam filters and/or contact for further assistance.
Comments on this article Comments (0)