Keywords
Spontaneous Pneumothorax; Pneumothorax; multiple myeloma; rib fracture; dyspnea.
Spontaneous Pneumothorax; Pneumothorax; multiple myeloma; rib fracture; dyspnea.
Multiple myeloma is the second common malignant hemopathy.1 This disease consists in the development of a plasma cell malignancy which still incurable despite intensive treatment including a high-dose chemotherapy and autologous stem cell transplantation.2 We present a case of a sternal fracture associated with multiple bilateral rib fractures which caused a pneumothorax with severe acute respiratory insufficiency complicating the initial presentation of multiple myeloma.
Spontaneous pneumothorax can be caused by trauma, infection, pulmonary disease or neoplasm.3 This is one of the few case reports of spontaneous pneumothorax as first manifestation of multiple myeloma.
A 58-year-old patient was referred to the emergency department complaining of dyspnea and a right-sided chest pain. She did not suffer from any trauma. She was known to have hypertension, diabetes and atrial fibrillation.
On examination, the patient had bilateral rib tenderness. She was apyretic, the respiratory rate was 30 breaths/min and the oxygen saturation was 88%. The chest physical exam revealed unequal breath sounds, an hyperresonance with percussion and decreased wall movement on the right side. The pulse rate was 110 beats/min and her blood pressure was 150/70 mmHg. Cardiac auscultation was normal.
The analysis of arterial blood gas revealed hypoxemia (arterial oxygen tension: 7.59 kPa) and hypercapnia (arterial carbon dioxide tension: 5.99 kPa).
Conventional oxygen therapy was delivered as acute treatment.
Laboratory data showed a raised C reactive protein level (133.8 mg/L), hyper-calcemia (serum calcium: 12.18 mg/dL) and a decreased plasma albumin level (31.9 g/L).
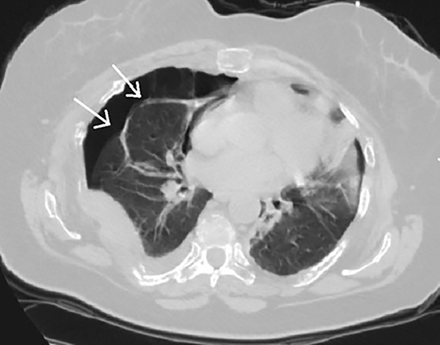
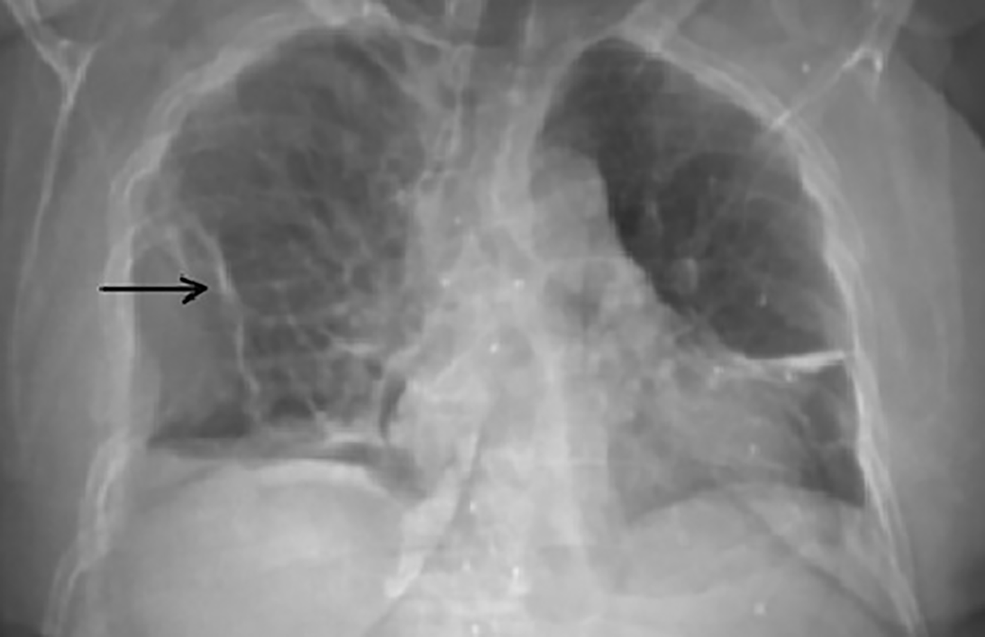
Chest radiography and thoracic computed tomography revealed multiple ribs and sternum fractures leading to a partial pneumothorax on the right side (Figures 1, 2). She also had objective spine fractures localized in the T8, T9 and T10 vertebrae.

Subsequent workup for multiple myeloma showed elevated levels of immunoglobulin (Ig). The results of initial laboratory tests revealed an IgG gamma paraprotein, a urine protein electrophoresis of 1450 mg/24 hours and a β-2 microglobulin rate of 3.35. The diagnosis of multiple myeloma was confirmed with a bone marrow infiltration of 20% of atypical plasmatic cells. Cytogenetic investigations did not show any chromosomal abnormalities, especially the t (4,14) translocation.
The patient was diagnosed with multiple myeloma stage IIIA according to Durie–Salmon classification. Appropriate treatment with oxygen therapy and systemic analgesic was started, associated with a cure of zoledronic acid in order to decrease the calcium level.
The evolution was characterized by the complete resolution of the pneumothorax in 7 days and the normalization of the calcium level. Autologous stem cell transplant represents the treatment of choice for this patient. So, we started the induction treatment with a clinical trial using Endoxan (cyclophosphamide), thalidomide and dexamethasone. The follow up was marked by the decrease of the level of gamma paraprotein and the patient was relieved of chest pain.
The main interest of this case consists in the diagnosis of multiple myeloma revealed by a pneumothorax. To the best of our knowledge, it is the first case reported in the literature.
Multiple myeloma is an hemopathy with excessive bone resorption, leading to single or multiple osteolytic lesions.4 About 85% of patients with Multiple myeloma show some degree of osteopenia at the moment of diagnosis. The severity of bone destruction is frequently correlated with the tumor burden and the Multiple myeloma prognosis.5 In our case, the rib fractures were the cause of a pneumothorax leading to an acute respiratory failure. These rib fractures were characterized by a periosteal callus which was predominant in the ventral side of the chest. The same appearance of rib fracture has been shown in an autopsy study in fatal child abuse cases.6 It has been suggested that the mechanism of this pneumothorax is due to the bending of the rib against the transverse process, acting as a fulcrum and leading to spontaneous rib fracture. Also, such fractures suggest that the mechanism of injury is not a direct trauma.7 Although, as reported in thoracic injury from blunt force trauma, rib fracture can puncture the lungs and the pleural sac, leading to a pneumothorax, a life-threatening complication.7
In addition to the difficulty of breathing, rib fracture is associated with significant pain. In fact, the chest wall is innervated by the intercostal nerves. So, it is important to provide enough pain relief in order to improve pulmonary mechanics and clearance of secretions. For pain management, many approaches exist, such as systemic analgesia and regional techniques.8
Generally, pneumothorax following trauma that is visible on chest radiography should be treated using an intercostal drain. However, in occult pneumothorax, a conservative treatment with a careful follow up seems to be the most reasonable approach, such as in the case of our patient who was relieved from dyspnea, pain and hypercalcemia after one week and so was satisfied with the treatment modality.
We suggest that the cases of spontaneous pneumothorax observed in elderly patients should be carefully evaluated in more detailed studies, and further investigations must be carried out with suspicion of underlying pulmonary malignancy or spontaneous rib fracture that due to multiple myeloma.9
Written informed consent for publication of their clinical details was obtained from the patient.
| Views | Downloads | |
|---|---|---|
| F1000Research | - | - |
|
PubMed Central
Data from PMC are received and updated monthly.
|
- | - |
Is the background of the case’s history and progression described in sufficient detail?
Partly
Are enough details provided of any physical examination and diagnostic tests, treatment given and outcomes?
Partly
Is sufficient discussion included of the importance of the findings and their relevance to future understanding of disease processes, diagnosis or treatment?
Partly
Is the case presented with sufficient detail to be useful for other practitioners?
Partly
References
1. Peters F, Cathomas G, Rothen M, Thurnheer R, et al.: Simultaneous bilateral spontaneous pneumothorax in a patient with recurrent, extraosseous multiple myeloma.Postgrad Med J. 2003; 79 (928): 106-7 PubMed Abstract | Publisher Full TextCompeting Interests: No competing interests were disclosed.
Reviewer Expertise: Pulmonary parenchymal diseases
Is the background of the case’s history and progression described in sufficient detail?
Yes
Are enough details provided of any physical examination and diagnostic tests, treatment given and outcomes?
Partly
Is sufficient discussion included of the importance of the findings and their relevance to future understanding of disease processes, diagnosis or treatment?
Partly
Is the case presented with sufficient detail to be useful for other practitioners?
Yes
Competing Interests: No competing interests were disclosed.
Reviewer Expertise: Plasma cell disorder, especially multiple myeloma
Alongside their report, reviewers assign a status to the article:
| Invited Reviewers | ||
|---|---|---|
| 1 | 2 | |
|
Version 2 (revision) 15 Nov 23 |
read | |
|
Version 1 05 Jun 23 |
read | read |
Provide sufficient details of any financial or non-financial competing interests to enable users to assess whether your comments might lead a reasonable person to question your impartiality. Consider the following examples, but note that this is not an exhaustive list:
Sign up for content alerts and receive a weekly or monthly email with all newly published articles
Already registered? Sign in
The email address should be the one you originally registered with F1000.
You registered with F1000 via Google, so we cannot reset your password.
To sign in, please click here.
If you still need help with your Google account password, please click here.
You registered with F1000 via Facebook, so we cannot reset your password.
To sign in, please click here.
If you still need help with your Facebook account password, please click here.
If your email address is registered with us, we will email you instructions to reset your password.
If you think you should have received this email but it has not arrived, please check your spam filters and/or contact for further assistance.
Comments on this article Comments (0)