ALL Metrics
-
Views
-
Downloads
Get PDF
Get XML
Cite
Export
Track
Clinical Practice Article

Breaking point: Case series of tendon ruptures in Hemodialysis patients

[version 1; peer review: 3 approved with reservations]
PUBLISHED 03 Oct 2024
Author details Author details
OPEN PEER REVIEW
REVIEWER STATUS

Abstract

Introduction

Spontaneous tendon ruptures in end stage kidney disease patients have the potential to cause long- term morbidity, and timely intervention is required to prevent complications that can severely affect the functional status of the patient

Case presentation

A series of six tendons (two triceps tendons and two bilateral quadriceps tendons) in three patients with ESKD undergoing hemodialysis is discussed in this case series. Patients were aged 61, 44 and 26 years, and on hemodialysis for 5, 5 and 10 years, respectively.

Conclusion

End -stage kidney disease is associated with a multitude of physiological changes, and the musculoskeletal system is no exception to this. Spontaneous tendon rupture is a multifactorial complication of ESKD, with serious implications for mobility and quality of life. As a result, these patients require a multifaceted approach to ensure optimum results and an early return to activity. We report a series of 6 spontaneous tendon ruptures in 3 patients with ESKD at our institution. We would like to outline the methods of repair for each case and further attempt to assess biochemical parameters that may have contributed to the disease process.

Keywords

ESRD, Quadriceps, Hyperparathyroidism, Tendon rupture, Hemodialysis, Case series

Introduction

Spontaneous tendon rupture is rare in the general population. Most cases of tendon rupture occur secondary to trauma or degenerative changes resulting from obesity or old age. Other etiologies of tendon rupture include pathological alterations in the substance of the tendon itself, such as gout,1 autoimmune arthritis,1 and end stage renal disease.2 Long-term use of drugs such as statins, quinolones and steroids3 constitute yet another often implicated cause of spontaneous tendon ruptures.

Literature on spontaneous tendon ruptures in patients with ESKD undergoing hemodialysis is uncommon and studies on the exact underlying mechanism and management guidelines for such patients are sparse.

The objective of this case series was to report a series of patients on hemodialysis for ESKD who experienced spontaneous tendon ruptures with emphasis on the methods and results of surgical management. An assessment of laboratory parameters was also performed to identify risk factors for the same.

Case reports

Case 1

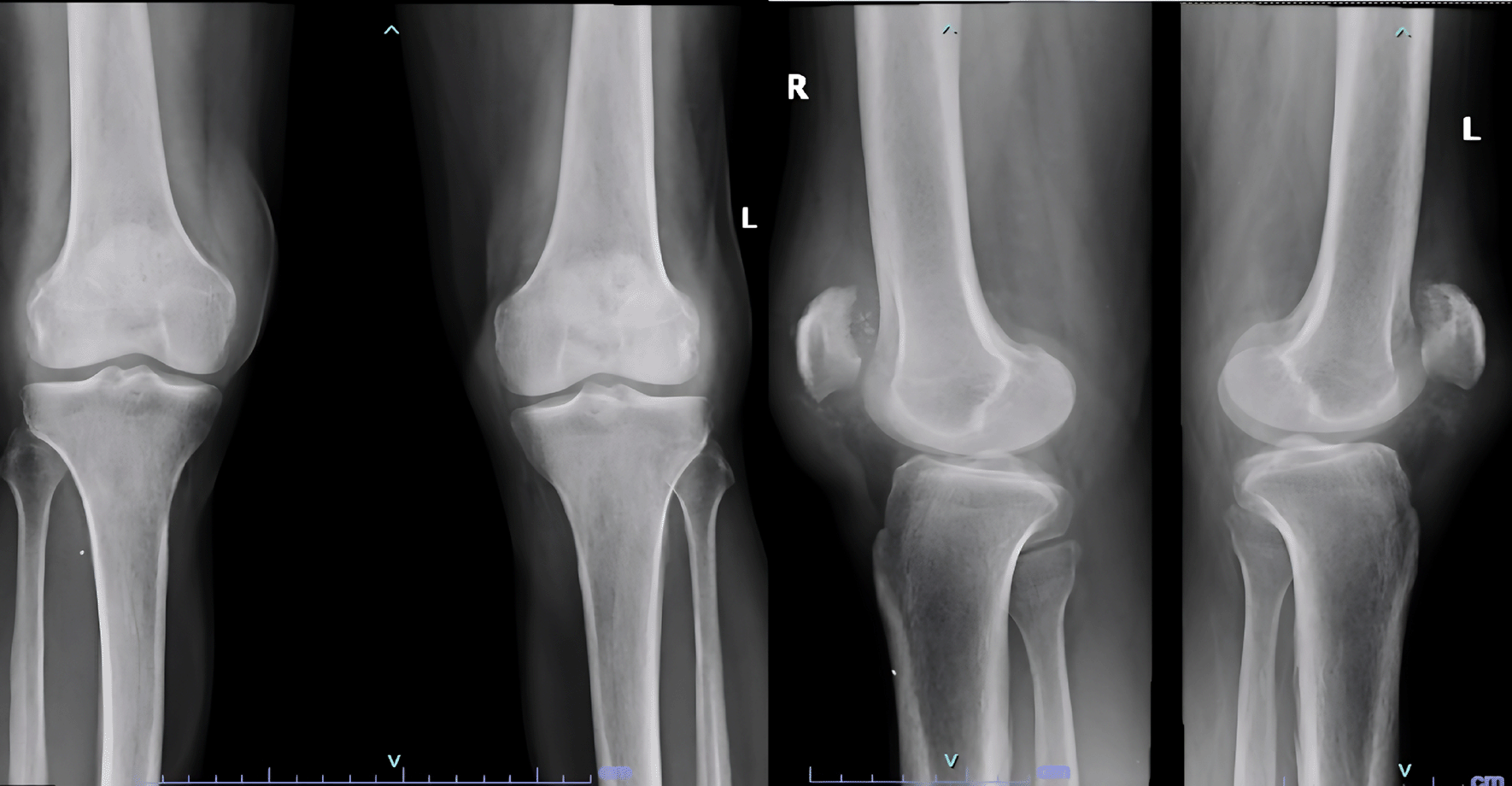
A 61 year old male suffering with ESKD due to nephrosclerosis on hemodialysis for the last 5 years presented to the emergency department with complaints of acute onset pain and swelling in both knees while attempting to stand up from a sitting position. Examination revealed effusion in both knees with a palpable defect in the bilateral patellar tendons and bilateral extension lag. Lateral radiographs showed bilateral patella alta with calcified patellar tendons (Figure 1).

ba2523aa-b24d-4010-a34b-e26e289433e9_figure1.gif

Figure 1. Patella alta noted with calcified patellar tendon.

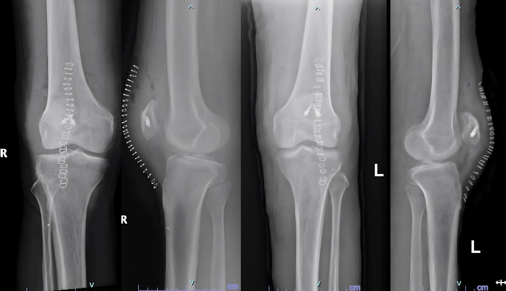
Surgical repair was performed in a staged fashion with an interval of 2.5 weeks in view of his physiological status. Surgical exploration revealed friable tendon edges with partial avulsion and mid substance tear patterns. The degenerated tissue was excised, and the ends of the tendon were reattached to the patella using suture anchors and non-absorbable sutures, followed by closure of the defects in the medial and lateral paratenon using bioabsorbable sutures (Figure 2).

ba2523aa-b24d-4010-a34b-e26e289433e9_figure2.gif

Figure 2. Post operative radiographs after fixation of tendons with suture anchors.

Post operatively the knees were immobilized in full extension for 6 weeks. DVT prophylaxis was administered using low molecular weight heparin (40 mg, sub-cutaneous injections, once daily) during the hospital stay and Rivaroxaban on Discharge. He was started on active Knee ROM and quadriceps strengthening exercises at six weeks.

He complained of left elbow extension weakness in his review for suture removal on the second knee, and further evaluation revealed a spontaneous rupture of the triceps tendon. This was likely caused by sustained forces while using a walker to assist ambulation. He has been advised to undergo surgical repair, for which he is yet to be reported.

Follow-up examinations at 8 and 8.5-months post-op respectively, examination revealed a knee ROM of 0-120 degrees with bilateral full extension and no residual weakness in the quadriceps mechanism.

End stage renal disease was managed by our nephrology department with thrice weekly hemodialysis sessions and regular monitoring of renal parameters.

Case 2

A 44-yr old male with ESRD secondary to immunoglobinA nephropathy with a history of allograft rejection during three weekly hemodialysis sessions for 10 years presented with complaints of right elbow extension weakness following trivial trauma. Physical examination revealed swelling of the right elbow with grade 0 power in the elbow extensor mechanism. Radiographs showed an avulsed triceps tendon (Figure 3).

ba2523aa-b24d-4010-a34b-e26e289433e9_figure3.gif

Figure 3. Anteroposterior and lateral radiographs of Case 2 with avulsed triceps tendon.

He underwent open repair of the triceps tendon with a suture anchor inserted in the olecranon after excision of the devitalized tongue of the tissue (Figure 4). The elbow was immobilized in an above elbow slab at approximately 110° for 6 weeks, after which active mobilization was started. The last follow-up at 7 months revealed grade 5/5 power with full elbow ROM.

ba2523aa-b24d-4010-a34b-e26e289433e9_figure4.gif

Figure 4. Post-operative radiographs after fixation of tensons using suture anchors.

Case 3

A 26-year-old male, suffering from lupus nephritis presented to ER with acute loss of extension in both knees and inability to ambulate following a fall while descending stairs at his house. The treatment history was significant for the intake of methylprednisolone for the last 3 months and twice weekly hemodialysis for ESKD.

Examination revealed bilateral patella alta and boggy swelling in both knees with grade 0 power in bilateral knee extension. Imaging revealed isolated patella alta without any avulsed bony edges (Figure 5).

ba2523aa-b24d-4010-a34b-e26e289433e9_figure5.gif

Figure 5. Patella Alta noted in case 3 due to quadriceps rupture.

He was diagnosed with bilateral patellar tendon rupture and underwent open repair during which severe fraying of the tendons was noted (Figure 6). Robust repair was performed using non-absorbable sutures in a mattress pattern (Figure 7). He was given bilateral long knee immobilizers for 6 weeks to protect the repair, following which he was started on assisted ambulation with walker support over the next 4 weeks. At the final review at 6 months, he had grade 5/5 power in both his knee extensors with no appreciable lag on either side.

ba2523aa-b24d-4010-a34b-e26e289433e9_figure6.gif

Figure 6. Frayed ends of patellar tendon noted in case 3.

ba2523aa-b24d-4010-a34b-e26e289433e9_figure7.gif

Figure 7. Post operative radiographs of 3 after patellar tendon repair.

Discussion

Normal tendons are strong, with Ultimate Tensile Strengths ranging from 45 to 125 MPa which exceed three times the strain caused by muscle contraction.4 The tendency for spontaneous tendon ruptures in patients with ESKD has often been attributed to five main factors:

  • 1) elastosis secondary to chronic acidosis,5

  • 2) chronically elevated blood urea levels,1

  • 3) amyloidosis with beta 2 microglobulin deposition,6

  • 4) increased cortical bone resorption because of secondary hyperparathyroidism,2

  • 5) high circulating calcium levels resulting in dystrophic calcification of the tendon.7

This contrasts with other cases of spontaneous tendon rupture, which is a condition of middle-aged overweight patients, with bilaterality being an exception rather than the norm.8

A quick diagnosis is paramount because early surgical intervention is a key factor in ensuring optimal results.9 This rare diagnosis should always be considered when dealing with sudden unexplained motor deficits in the lower limbs. Hemarthrosis can further complicate the matter by making it difficult to identify infrapatellar defects. Such cases warrant the use of incongruous techniques, such as ultrasound and MRI to confirm the diagnosis.

A prolonged duration of hemodialysis appears to be a reliable risk factor for the development of spontaneous tendon ruptures.10 The markedly elevated PTH and ALP levels in our patients were also concurrent with the existing literature and explain the avulsed tendon ends noted both intraoperatively and radiographically in 2 cases in our series (Table 1).

Table 1. Lab results of cases showing elevated PTH and ALP levels.

ParameterCase 1Case 2Case 3Normal range
Hemoglobin7.611.28.413-16 g/dL
Calcium8.28.38.18.6-10.2 mg/dL
PTH11011826122015-65 pg/mL
Phosphorous5.54.54.92.7-4.5 mg/dL
Albumin3.24.43.33.5-5.2 g/dL
ALP200139986640-129 U/L

The repairs were performed as soon as fitness could be obtained, in view of the compromised physiological status of the patients. No additional procedures were required to compensate for retraction or shortening of tendons. Repair was performed using suture anchors and heavy non absorbable sutures. The patients attained full active extension in all cases at an average of 2 months from the date of surgery with no re-ruptures or residual weakness at a minimum 6 months follow up.

Although the exact mechanism of injury remains unknown, most existing studies implicate sub-tendon bone resorption due to secondary hyperparathyroidism,2 in addition to chronic inflammation, as evidenced by reduced serum hemoglobin and albumin levels, which was noted in 50% of cases.

Conclusion

Spontaneous tendon rupture in patients with ESKD remains a significant complication with considerable potential to cause disability. Robust repair with adequate immobilization and protection during the healing phase is instrumental in ensuring reliable results. Moreover, these patients require cautious physio rehabilitation, including careful walker- assisted mobilization to prevent further tendon ruptures during the postoperative period.

Optimization of renal parameters, such as hyperparathyroidism and hypoalbuminemia, may help improve outcomes and prevent recurrence. Overall, a high index of suspicion for spontaneous tendon rupture is advised in patients with ESKD presenting with acute-onset limb weakness to prevent long-term morbidity.

Consent

The patients have given their informed consent for the case series to be published. Written consent was obtained for the same.

Comments on this article Comments (1)

Version 2
VERSION 2 PUBLISHED 12 Dec 2024
Revised
Version 1
VERSION 1 PUBLISHED 03 Oct 2024
Discussion is closed on this version, please comment on the latest version above.
  • Reviewer Response 12 Nov 2024
    Nijil Vasukutty, United Lincolnshire Hospitals NHS Trust, Lincoln, UK
    12 Nov 2024
    Reviewer Response
    Informative and useful paper highlighting a lesser  known issue and how the biochemical changes of renal disease affect musculoskeletal system. 
    Good variety of upper and lower limb cases and adequate ... Continue reading
  • Discussion is closed on this version, please comment on the latest version above.
Author details Author details
Competing interests
Grant information
Copyright
Download
 
Export To
metrics
Views Downloads
F1000Research - -
PubMed Central
Data from PMC are received and updated monthly.
- -
Citations
CITE
how to cite this article
Nazeer ME, Haphiz DA, Nazeer DM et al. Breaking point: Case series of tendon ruptures in Hemodialysis patients [version 1; peer review: 3 approved with reservations]. F1000Research 2024, 13:1121 (https://doi.org/10.12688/f1000research.155799.1)
NOTE: If applicable, it is important to ensure the information in square brackets after the title is included in all citations of this article.
track
receive updates on this article
Track an article to receive email alerts on any updates to this article.

Open Peer Review

Current Reviewer Status: ?
Key to Reviewer Statuses VIEW
ApprovedThe paper is scientifically sound in its current form and only minor, if any, improvements are suggested
Approved with reservations A number of small changes, sometimes more significant revisions are required to address specific details and improve the papers academic merit.
Not approvedFundamental flaws in the paper seriously undermine the findings and conclusions
Version 1
VERSION 1
PUBLISHED 03 Oct 2024
Views
8
Cite
Reviewer Report 12 Nov 2024
Matthew Abramowitz, Albert Einstein College of Medicine, Bronx, New York, USA 
Approved with Reservations
VIEWS 8
This case series brings attention to the risk of tendon rupture in patients with ESKD. There are several areas in which it could be strengthened:
1.    To improve the generalizability of this report to other patients with ESKD, it ... Continue reading
CITE
CITE
HOW TO CITE THIS REPORT
Abramowitz M. Reviewer Report For: Breaking point: Case series of tendon ruptures in Hemodialysis patients [version 1; peer review: 3 approved with reservations]. F1000Research 2024, 13:1121 (https://doi.org/10.5256/f1000research.171011.r335309)
NOTE: it is important to ensure the information in square brackets after the title is included in all citations of this article.
Views
9
Cite
Reviewer Report 07 Nov 2024
Luis Marcelo Malta, Universidade Federal Fluminense, Rio de Janeiro, Brazil 
Approved with Reservations
VIEWS 9
The authors show their experience with a series of tendon ruptures on regular-based hemodialysis patients, addressing aspects of surgical treatment and functional results.
Despite the fact that it is a case series, giving it a less favorable view in ... Continue reading
CITE
CITE
HOW TO CITE THIS REPORT
Malta LM. Reviewer Report For: Breaking point: Case series of tendon ruptures in Hemodialysis patients [version 1; peer review: 3 approved with reservations]. F1000Research 2024, 13:1121 (https://doi.org/10.5256/f1000research.171011.r335311)
NOTE: it is important to ensure the information in square brackets after the title is included in all citations of this article.
Views
11
Cite
Reviewer Report 06 Nov 2024
Sandeep Vijayan, Additional Professor, Department of Orthopaedics, Kasturba Medical College Manipal,, Manipal Academy of Higher Education, Manipal, India 
Approved with Reservations
VIEWS 11
Abstract – case presentation: better to mention as 'patellar tendon' as the involved part is infrapatellar and not suprapatellar.

Page 3- case 2: I am not sure if it is correct to say grade 0 power. Here ... Continue reading
CITE
CITE
HOW TO CITE THIS REPORT
Vijayan S. Reviewer Report For: Breaking point: Case series of tendon ruptures in Hemodialysis patients [version 1; peer review: 3 approved with reservations]. F1000Research 2024, 13:1121 (https://doi.org/10.5256/f1000research.171011.r332004)
NOTE: it is important to ensure the information in square brackets after the title is included in all citations of this article.

Comments on this article Comments (1)

Version 2
VERSION 2 PUBLISHED 12 Dec 2024
Revised
Version 1
VERSION 1 PUBLISHED 03 Oct 2024
Discussion is closed on this version, please comment on the latest version above.
  • Reviewer Response 12 Nov 2024
    Nijil Vasukutty, United Lincolnshire Hospitals NHS Trust, Lincoln, UK
    12 Nov 2024
    Reviewer Response
    Informative and useful paper highlighting a lesser  known issue and how the biochemical changes of renal disease affect musculoskeletal system. 
    Good variety of upper and lower limb cases and adequate ... Continue reading
  • Discussion is closed on this version, please comment on the latest version above.
Alongside their report, reviewers assign a status to the article:
Approved - the paper is scientifically sound in its current form and only minor, if any, improvements are suggested
Approved with reservations - A number of small changes, sometimes more significant revisions are required to address specific details and improve the papers academic merit.
Not approved - fundamental flaws in the paper seriously undermine the findings and conclusions
Sign In
If you've forgotten your password, please enter your email address below and we'll send you instructions on how to reset your password.

The email address should be the one you originally registered with F1000.

Email address not valid, please try again

You registered with F1000 via Google, so we cannot reset your password.

To sign in, please click here.

If you still need help with your Google account password, please click here.

You registered with F1000 via Facebook, so we cannot reset your password.

To sign in, please click here.

If you still need help with your Facebook account password, please click here.

Code not correct, please try again
Email us for further assistance.
Server error, please try again.