Keywords
Echinococcosis, Tuberculosis, Co-infection, Hepatic cysts, Pulmonary cysts, Reactivation.
The co-infection of Pulmonary Tuberculosis (TB) and hydatid disease is rare. Diagnosis and treatment of this co-infection may be challenging as both diseases present with overlapping clinical manifestations, especially in war zones where the health system is destroyed. We are reporting a 45-year-old female police officer transferred to Sinnar Sudan due to ongoing conflict. She was admitted with chronic cough, shortness of breath, and weight loss. The preliminary diagnosis of pulmonary TB was made based on chest X-ray examination and sputum analysis. Further imaging showed cystic lesions in both the liver and the lungs, and thus a diagnosis of Echinococcosis was made. Surgical intervention was done successfully followed by the courses of Albendazole and anti-TB medication. The clinical condition of the patient improved, with the disappearance of all symptoms. This case represents the diagnostic dilemma of dual infections in the areas of their endemicity because of the symptomatology overlap that might occur and result in an erroneous diagnosis. It does demand an appropriate diagnostic approach, thus, with advanced imaging applications, and once more, emphasizes the interdisciplinary attitude in its treatment for the best possible result.
Echinococcosis, Tuberculosis, Co-infection, Hepatic cysts, Pulmonary cysts, Reactivation.
Echinococcosis is a disease that primarily affects developing nations with poor medical infrastructure, where cohabitation with domesticated animals is common.1 It poses distinct difficulties because of the complicated nature of its diagnosis and treatment; moreover, it can metastasize similarly to cancer due to its elevated recurrence rate after therapy.2
The simultaneous presence of tuberculosis (TB) and hydatid disease in a person with a healthy immune system is a very uncommon situation. Due to the overlapping symptoms and complications associated with both conditions, accurately diagnosing individuals who are coinfected can be challenging.3 Many factors may influence the co-infection of TB and parasitic diseases, including sociodemographic factors related to gender and age, underlying diseases, and residency in co-endemic areas with a higher prevalence of M. tuberculosis and parasitic infection.4 Further research into the immunological interactions between the two diseases is needed, with the hope of improving therapeutic strategies.
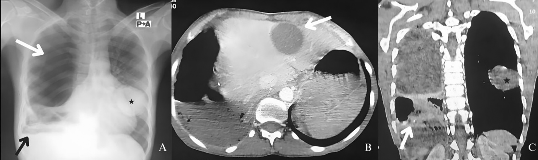
Due to the conflict in Khartoum, a 45-year-old woman was compelled to relocate to Sinnar, Sudan, an area known for its abundance of domestic animals such as sheep, dogs, and goats. After two months of residence, she began experiencing symptoms of shortness of breath, chronic cough, and weight loss. The patient presented with fever and was found to have an erythrocyte sedimentation rate of 130 mm per hour, a C-reactive protein level of 88 mg per liter, and a white blood cell count of 33750 per cubic millimeter with 88% neutrophils (Table 1). A lung abscess was detected on her chest X-ray, leading to empyema, pneumothorax, and pleural effusion in the right lung (Figure 1A). Additionally, an unidentified round-shaped lesion was observed in the left lung (Figure 1A). Due to the limited resources in the area, including a lack of radiologists, technicians, and reliable power supply, physicians diagnosed the patient clinically with pulmonary tuberculosis and this was further confirmed by sputum analysis yielding acid fast bacilli. The appropriate treatment was initiated, including intravenous antibiotics and chest tube insertion for draining the empyema. She was discharged with anti-tuberculous medication and advised to return for a follow-up in two weeks.

The patient was readmitted due to upper abdominal fullness and a palpable mass in the liver. Abdominopelvic ultrasound indicated the presence of a cystic lesion in the left liver lobe, which was further confirmed by computed tomography showing a solitary thin-walled cystic lesion at segments two and four (Figure 1B). Evaluation of chest Computed tomography (CT) revealed loculated pneumothorax, round lung collapse, and adjacent pleural thickening (Figure 1C). A test using enzyme-linked immunosorbent assay revealed an anti-echinococcus IgG antibody index of 16.8 in the patient’s serum supporting the diagnosis of Echinococcosis, as well as reactivation of pulmonary Tuberculosis. The patient responded well to Albendazole treatment, and her symptoms resolved. Surgical intervention was done, and a follow-up ultrasound sound showed no signs of recurrence. The possibility of pleural decortication was considered to facilitate lung re-expansion.
We reported a case of co-infection with Echinococcosis and TB, this combination of Echinococcosis and reactivated TB is definitely a diagnostic challenge and requires comprehensive diagnostic strategies in endemic areas.5 Overlapping clinical manifestations include cough and systemic symptoms which would render the differential diagnosis very extensive with the aid of imaging and microbiological investigations.6 Immunosuppressive effects due to parasitic infections are one of the predisposing factors for the reactivation of TB.7 Patients with risk factors for immunodeficiency conditions or those taking immunosuppressive drugs have a greater risk of opportunistic infection or coexistence. Co-infections should always be considered by physicians and investigated in those whose symptoms are resistant to treatment.4
Many Civilians in Sudan suffer from malnutrition due to the ongoing war there which started in 2023, malnutrition heightens the likelihood of contracting tuberculosis (TB) and can lead to the reactivation of dormant pulmonary TB. Conversely, TB is known to contribute to malnutrition. Assessing the nutritional health and anemia of patients with active tuberculosis is a crucial aspect of managing the disease.8
Treatment should be done for both the infections simultaneously, keeping drug interactions and their adverse effects in mind: Albendazole-a benzimidazole acting against Echinococcosis9 and standard ATT given for TB. Monitoring for hepatotoxicity is an important issue in view of hepatic involvement and drug interaction.10
The medical imaging modalities provide the keystones to diagnose the hydatid cysts. Among all, first line diagnosis, differential diagnosis, staging, establishing the role in interventional management, and follow-up is given by high-resolution ultrasound imaging. Unenhanced CT is useful where or when the ultrasound is unsatisfactory, as may be seen with chest and brain hydatid cysts, detection of calcification, and in obese patients.11 These modalities delivery may further deteriorate and become unavailable, especially in war-torn areas. Areas affected by conflict usually face a lack of radiologists and equipment, a situation worsened by violent events. This is contrary to the increasing need for radiology services during such conflicts.,12 which in turn makes confirming the diagnosis more difficult.
This case brings into consideration the importance of recognition of co-infection in the endemic regions. Interdisciplinary management and vigilant follow-up may result in successful clinical outcomes therapeutically. Further research in immunological interplay between these two infections could provide better therapeutic approaches.
| Views | Downloads | |
|---|---|---|
| F1000Research | - | - |
|
PubMed Central
Data from PMC are received and updated monthly.
|
- | - |
Is the background of the case’s history and progression described in sufficient detail?
Partly
Are enough details provided of any physical examination and diagnostic tests, treatment given and outcomes?
Partly
Is sufficient discussion included of the importance of the findings and their relevance to future understanding of disease processes, diagnosis or treatment?
Partly
Is the case presented with sufficient detail to be useful for other practitioners?
Partly
Competing Interests: No competing interests were disclosed.
Reviewer Expertise: Thoracic Surgery
Is the background of the case’s history and progression described in sufficient detail?
Yes
Are enough details provided of any physical examination and diagnostic tests, treatment given and outcomes?
Partly
Is sufficient discussion included of the importance of the findings and their relevance to future understanding of disease processes, diagnosis or treatment?
Yes
Is the case presented with sufficient detail to be useful for other practitioners?
Partly
Competing Interests: No competing interests were disclosed.
Reviewer Expertise: General Surgery, Liver Surgery, Hydatid Abdominal Surgery, Oncological Surgery, Laparoscopy
Alongside their report, reviewers assign a status to the article:
| Invited Reviewers | |||
|---|---|---|---|
| 1 | 2 | 3 | |
|
Version 2 (revision) 22 Apr 25 |
read | read | |
|
Version 1 22 Nov 24 |
read | read | |
Provide sufficient details of any financial or non-financial competing interests to enable users to assess whether your comments might lead a reasonable person to question your impartiality. Consider the following examples, but note that this is not an exhaustive list:
Sign up for content alerts and receive a weekly or monthly email with all newly published articles
Already registered? Sign in
The email address should be the one you originally registered with F1000.
You registered with F1000 via Google, so we cannot reset your password.
To sign in, please click here.
If you still need help with your Google account password, please click here.
You registered with F1000 via Facebook, so we cannot reset your password.
To sign in, please click here.
If you still need help with your Facebook account password, please click here.
If your email address is registered with us, we will email you instructions to reset your password.
If you think you should have received this email but it has not arrived, please check your spam filters and/or contact for further assistance.
Comments on this article Comments (0)