ALL Metrics
-
Views
-
Downloads
Get PDF
Get XML
Cite
Export
Track
Research Article
Revised

Cytoplasmic changes in bone marrow cells as indicators of postmortem interval.

[version 2; peer review: 1 approved, 2 approved with reservations]
PUBLISHED 26 Dec 2025
Author details Author details
OPEN PEER REVIEW
REVIEWER STATUS

This article is included in the Health Services gateway.

Abstract

Background

Accurate estimation of the postmortem interval (PMI) remains one of the central challenges in forensic medicine. Traditional external markers are limited by environmental and individual variability. Bone marrow, owing to its protected anatomical location and slower decomposition rate, offers a potential histological substrate for PMI estimation.

Aim

This study aimed to evaluate cytoplasmic changes in sternal bone marrow cells and assess their correlation with Postmortem interval (PMI).

Methods

A descriptive cross-sectional study of 43 medico-legal autopsies with documented time of death. Sternal bone marrow aspirates were stained with Leishman stain and examined microscopically. Cytoplasmic changes were scored from 0 to 4 (intact morphology to complete dissolution) using a system adapted from Biradar G et al. Data were analyzed using ANOVA (p < 0.05).

Results

Mild cytoplasmic alterations (S1) were most frequent (51.1%), followed by moderate changes (S2, 25.6%) and severe dissolution (S4, 14%). Only 9.3% of cases showed no observable changes (S0). Mean PMI increased with the severity of cytoplasmic changes (S0: 8.5 h; S1: 14.1 h; S2: 10.5 h; S4: 15.0 h), although some overlap was seen, especially at S2, likely reflecting biological and environmental variability. The overall correlation was not statistically significant (p > 0.05).

Conclusion

Cytoplasmic autolysis in bone marrow appears to follow a progressive pattern, from early vacuolation to complete dissolution with increasing PMI. Although not statistically significant, observed trends suggest cytoplasmic scoring may aid early PMI estimation when combined with other markers.

Keywords

Bone Marrow Cytology, Forensic Pathology, Postmortem Interval (PMI)

Revised Amendments from Version 1

This version includes minor textual revisions to clarify the exploratory nature of the study and to ensure that interpretations are consistent with the reported non-significant statistical findings. The Discussion and Conclusion sections were refined to adopt a more cautious tone, avoiding overstatement of the results.
Additional clarifications were provided regarding methodological details and study limitations, particularly concerning observer assessment and the potential confounding effect of refrigeration. No changes were made to the study design, methodology, results, tables, or figures.

See the authors' detailed response to the review by Simona Sulis and Lenka Vorobeľová

Introduction

Thanatology, derived from the Greek word thanatos (meaning “death”), refers to the scientific study of death and its processes. It represents an interdisciplinary field encompassing significant elements of Anthropology, Pathology, Biochemistry, and Entomology.1

A forensic autopsy is a vital process that helps shed light on the circumstances of deaths that are suspicious, sudden, or legally disputed. It plays a crucial role in uncovering the truth and providing answers for families, investigators, and the judicial system. For forensic pathologists, the primary goals include establishing the identity of the deceased, determining the cause of death, and, importantly, estimating the post-mortem interval (PMI), often referred to as Time Since Death (TSD).2

Traditionally, Time since death (TSD) is calculated by looking at external physical changes such as body cooling (algor mortis), settling of blood (livor mortis), stiffening of muscles (rigor mortis), and the process of decomposition (putrefaction). Although these methods have been widely used, they are susceptible to numerous external influences, which complicates the precise determination of the time of death.3

Owing to these limitations, forensic practitioners have shifted attention to histological examination and blood-based biochemical assays, which often yield more reliable estimates of the TSD than external findings alone.4

Bone marrow has some unique advantages when it comes to postmortem studies, due to its protected anatomical location and slower rate of decomposition compared to soft tissues. This protected setting helps preserve the blood-forming (hematopoietic) cells inside, making bone marrow a valuable resource for understanding what happened after death.5

After death, the cells in the bone marrow start to break down in a predictable way, offering important clues for estimating the time since death. Once life stops, natural self-digesting (autolytic) processes start, disrupting the delicate balance of cellular homeostasis. The cytoplasm starts to undergo series of progressive morphological alterations, from early vacuolization to eventual dissolution, providing a biologically plausible progressive framework that may be correlated with elapsed time since death correlated with elapsed time since death.6

Understanding the morphological changes of cytoplasmic degeneration in bone marrow cells allows forensic experts to approximate PMI with improved accuracy, especially in the early postmortem period. This study aims to examine these cytoplasmic changes in bone marrow after death and assess their value as reliable biological markers for determining the time since death.

Materials and methodology

This observational study was designed as a descriptive, cross-sectional investigation conducted from June 2023 to November 2024 in the Department of Forensic Medicine at a tertiary care hospital in Mangalore, India.

Based on a previous study by Biradar G et al. (2016),7 which reported a standard deviation (σ) of 75.66, and using an acceptable margin of error (d) of 13.5 with a 99% confidence interval (Z = 2.58), the minimum calculated sample size was determined to be 43.

The inclusion criteria for this study were cases with a documented time of death based on inquest or hospital records, bodies stored in cold chambers maintained at approximately 4°C before autopsy, no history of hepatological malignancies or bone marrow disorders, and cases where informed consent and to publish clinical details and images was obtained from the legal next of kin of the deceased individuals. The exclusion criteria included cases with a history of hypothermia, those involving burns, neoplasms, or malnutrition, fractures of the sternum, significant pre-mortem blood loss, unknown or disputed time of death, exposure to extreme environmental conditions such as immersion, extreme heat, or freezing temperatures and individuals who had undergone chemotherapy, radiotherapy, or bone marrow transplantation before death.

Sample collection was carried out by first making an I-shaped incision according to standard medico-legal autopsy protocols, carefully exposing the sternum to avoid injury to major vessels. Bone marrow was then aspirated from the junction of the first and second parts of the sternum using a Salah bone marrow aspiration needle attached to either a 10 ml or 50 ml syringe, depending on the resistance ( Figure 1). The aspirated samples were promptly transferred into EDTA tubes to prevent clotting. For smear preparation and staining, the samples were placed on frosted slides using a sterile pipette and spread evenly to create uniform smears. Multiple smears were prepared for thorough analysis. These slides were air-dried at room temperature, fixed with absolute alcohol, and subsequently stained using Leishman stain (Romanowsky technique) to demonstrate cytoplasmic details. During microscopic examination, the stained slides were evaluated under an electronic compound microscope, with particular attention given to cytoplasmic changes such as membrane breaks, vacuolation, and eventual dissolution. All bone marrow smears were examined and scored by a single observer to maintain uniformity; inter- and intra-observer reliability testing was not performed.

Table 1. Scoring system for cytoplasmic changes.7

Score Cytoplasmic changes
0No observable changes in the cytoplasmic membrane.
1Breaks or discontinuities in the membrane.
2Small cytoplasmic vacuoles present.
3Large vacuoles indicating advanced degeneration.
4Complete loss of cytoplasmic structure.
c8ccb3bf-f062-46b0-9fea-2b6c8f8dfc7c_figure1.gif

Figure 1. Aspiration procedure - aspirated using a Salah bone marrow aspiration needle.

The scoring system used to assess cellular changes in the bone marrow was adopted from the study by Biradar G, SatishBabu BS, Bakkannavar S, Pradeep Kumar G, Shaila B. Estimation of time since death from cytoplasm changes of bone marrow cells (2016)”.7

Ethical consideration

This study was conducted after obtaining approval from the Institutional Ethics Committee, K. S. Hegde Medical Academy, Nitte (Deemed to be University), Mangalore (Approval No: INST.EC/EC/131/2023, REG. NO: EC/NEW/INST/2022/KA/0174, dated 15th May 2023).

Consent to publish: Written informed consent to publish clinical details and images was obtained from the legal next of kin of the deceased individuals who are included in this study. Consent was granted to the authors by the next of kin, and all efforts were made to anonymize data and images.

Data collection

The time of death issued by the treating physician was collected from the hospital file.

Data entry and coding were done in Microsoft Excel.

Data analysis

Descriptive analysis such as frequencies, percentages, mean and standard deviation was done. Statistical analysis was performed using SPSS version 25. The Analysis of Variance (ANOVA) test was conducted to determine whether there were statistically significant differences among the means of multiple groups. p<0.05 considered as statistically significant.

Results

A total of 43 cases were included in this study, with a clear predominance of males (79.1%) compared to females (20.9%) ( Table 2).

Table 2. Gender wise distribution of the participants (N=43).

GenderN %
Female920.9
Male3479.1
Total43100.0

The mean age of the cases was 45.67 years with a standard deviation of 16.21. The mean time difference was 12.74 with a standard deviation of 6.02 ( Table 3).

Table 3. Descriptive statistics for age and time difference.

NMinimumMaximumMean Std. Deviation
Age4317.077.045.67416.2095
Time difference4332612.746.022

Overall, road traffic accidents (51.2%) were the most common cause of death among the cases, followed by fall from height (20.90%), poisoning (14%) and the least common was sudden death (13.90%).

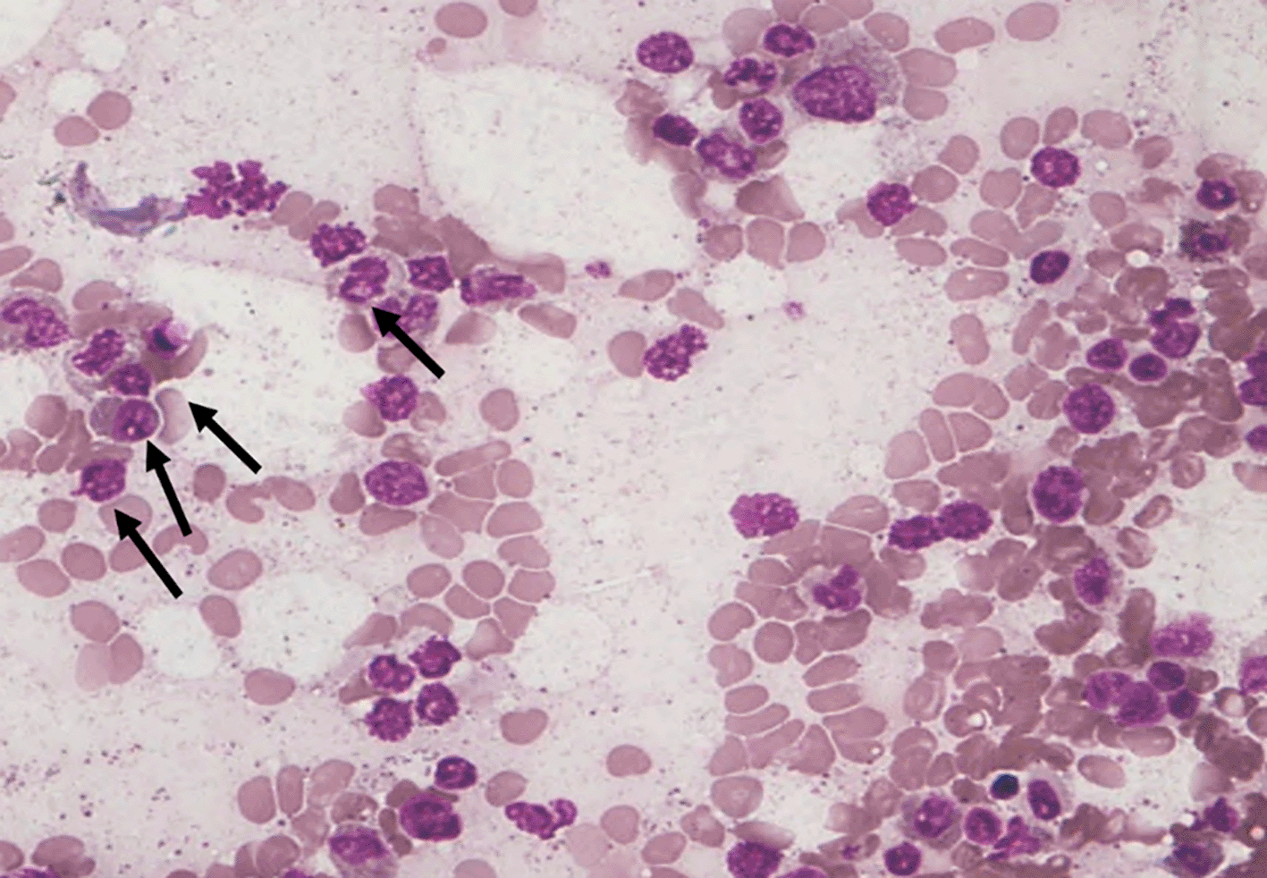
Among the 43 cases studied, cytoplasmic alterations in the bone marrow cells were graded based on the established scoring system. As shown in Table 4. The majority of cases (51.1%) exhibited mild cytoplasmic changes (S1) ( Figure 3). A smaller proportion (25.6%) demonstrated moderate changes (S2) ( Figure 4), while extensive cytoplasmic dissolution (S4) ( Figure 5) was observed in 14.0% of the cases. Notably, 9.3% of the cases (4 out of 43) showed no observable cytoplasmic alterations (S0) ( Figure 2). No cases demonstrated large vacuolation (S3 stage), hence this category is not represented in the figures.

Table 4. Distribution of cytoplasmic changes observed among the cases (N=43).

Cytoplasm changesFrequency Percent
S049.3
S12251.1
S21125.6
S4614.0
Total43100.0
c8ccb3bf-f062-46b0-9fea-2b6c8f8dfc7c_figure2.gif

Figure 2. S0 - No change in the cytoplasmic membrane.

c8ccb3bf-f062-46b0-9fea-2b6c8f8dfc7c_figure3.gif

Figure 3. S1 - Break in the cytoplasmic membrane.

c8ccb3bf-f062-46b0-9fea-2b6c8f8dfc7c_figure4.gif

Figure 4. S2 - Small vacuoles in cytoplasm.

c8ccb3bf-f062-46b0-9fea-2b6c8f8dfc7c_figure5.gif

Figure 5. S4 - Complete loss of cytoplasm.

An analysis was performed to examine the relationship between the degree of cytoplasmic changes and the time difference (used as an estimate of PMI), as presented in Table 5.

  • The four cases classified under S0 (no cytoplasmic changes) had the shortest mean time difference, averaging 8.50 ± 6.56 hours, with a range from 3 to 18 hours.

  • The 21 cases with mild cytoplasmic changes (S1) had a mean time difference of 14.09 ± 6.34 hours, ranging from 6 to 26 hours.

  • The 11 cases showing moderate changes (S2) displayed a mean of 10.48 ± 4.31 hours, spanning 5 to 17 hours.

  • The 6 cases with extensive cytoplasmic changes (S4) had the longest mean time difference, recorded at 14.97 ± 5.84 hours, with values ranging from 7 to 22 hours.

Table 5. Relationship between time difference and cytoplasmic changes.

(p<0.05**).

Cytoplasmic changesNMeanStd. Deviation (p)Minimum Maximum
S048.506.557318
S12214.096.344626
S21110.484.307517
S4614.975.849722
Total4312.746.022326

** Statistically significant.

While a trend suggesting increasing cytoplasmic changes with longer post-mortem intervals was noted, variability was observed across categories, and no statistically significant correlation was found between time difference and cytoplasm changes (p>0.05).

Discussion

The estimation of the post-mortem interval (PMI) remains a cornerstone of forensic practice, guiding both legal and investigative processes. While traditional markers such as rigor mortis, hypostasis, and core body temperature are routinely employed, their reliability diminishes under certain circumstances, including when bodies have been refrigerated or environmental conditions vary significantly. In this context, microscopic evaluation of internal tissues, particularly bone marrow, the primary hematopoietic site, is relatively protected and decomposes more slowly than most soft tissues, so its cytoplasmic and nuclear autolytic changes provide a sequential, biologically plausible framework for PMI estimation.8

Tattoli et al. (2014) emphasised the slower autolysis of bone marrow compared to other tissues, highlighting its potential utility in PMI estimation, especially in the early post-mortem period when traditional markers may yield equivocal results. Although our study did not find a statistically significant correlation, the observable pattern of progressive cytoplasmic changes supports this notion, reinforcing the potential role of bone marrow cytology as a complementary tool in forensic time since death estimation.9

Biradar et al. (2016) observed the onset of cytoplasmic vacuolation at 5–7 hours postmortem, with advanced lysis beyond 16 hours.7 Our study aligns with this timeline, showing mild cytoplasmic changes (S1) in over half the cases (51.1%) and extensive dissolution (S4) most commonly beyond 14–15 hours.

Similarly, Babu et al. (2015) documented progressive vacuolation and cytoplasmic breakdown with increasing PMI, findings echoed in the present work.10 More recently, Sakr et al. (2024) described minimal cytoplasmic changes at 6 hours, with substantial loss of cellular detail by 10–12 hours and necrosis beyond 18 hours.11 The present results concur, showing that while early PMI cases exhibited intact or mildly altered cytoplasm, progressive vacuolation and dissolution became evident after 12 hours.

Michalova et al. (2011) further demonstrated that hematopoietic stem cells remained viable for 2–12 hours within the intact femur, with marrow cell suspensions preserving viability for up to two days at 37°C and four days at 4°C.12 Although our study did not examine stem cell–specific survival, the general cytoplasmic changes we observed beginning at 6–12 hours and advancing by 20 hours are consistent with these findings. Taken together, this highlights the influence of storage conditions, particularly refrigeration, in delaying marrow cell autolysis and thereby extending the preservation window for cytoplasmic morphology.

Although a general trend of increasing cytoplasmic alteration with longer PMIs was observed, statistical correlation was not significant. This variability is likely attributable to confounding factors such as environmental conditions, cold storage, cause of death, and individual biological differences, all of which influence the rate of cytoplasmic autolysis. Nevertheless, the consistency of trends across multiple studies reinforces the potential of cytoplasmic changes as supportive markers for PMI estimation, particularly in the early postmortem period when external indicators are unreliable.

Conclusion

This study observes a gradual progression of cytoplasmic autolysis in sternal bone marrow cells with increasing post-mortem intervals, from early vacuolation to complete dissolution. Although no statistically significant correlation with PMI was established, likely due to biological variability, environmental influences, and a modest sample size, the observed trends highlight bone marrow cytology as a potential supportive adjunct for PMI estimation. Its simplicity, cost-effectiveness, and relative resistance of bone marrow to decomposition, cytoplasmic evaluation can strengthen forensic assessments when interpreted alongside other morphological, biochemical, and circumstantial evidence to strengthen accuracy and medico-legal reliability.

Limitations

The study was limited by a small sample size, a single-centre setting, and restriction to sternal marrow, which may limit generalizability. Variability in refrigeration, environmental factors, and individual biological differences also influenced cytoplasmic autolysis. Additionally, interobserver subjectivity in smear interpretation may have introduced variability.

Recommendations

Future studies should adopt standardised scoring systems, larger and multicentric samples, and comparative analyses with other organs. Incorporating molecular tests, enzyme assays, and immunohistochemistry may improve sensitivity and precision. Such refinements could enhance the reliability of bone marrow cytology as a supportive tool for postmortem interval estimation.

Comments on this article Comments (0)

Version 2
VERSION 2 PUBLISHED 22 Sep 2025
Comment
Author details Author details
Competing interests
Grant information
Copyright
Download
 
Export To
metrics
Views Downloads
F1000Research - -
PubMed Central
Data from PMC are received and updated monthly.
- -
Citations
CITE
how to cite this article
Shetty M, Guru V, HL KP and S Shetty S. Cytoplasmic changes in bone marrow cells as indicators of postmortem interval. [version 2; peer review: 1 approved, 2 approved with reservations]. F1000Research 2025, 14:964 (https://doi.org/10.12688/f1000research.169755.2)
NOTE: If applicable, it is important to ensure the information in square brackets after the title is included in all citations of this article.
track
receive updates on this article
Track an article to receive email alerts on any updates to this article.

Open Peer Review

Current Reviewer Status: ?
Key to Reviewer Statuses VIEW
ApprovedThe paper is scientifically sound in its current form and only minor, if any, improvements are suggested
Approved with reservations A number of small changes, sometimes more significant revisions are required to address specific details and improve the papers academic merit.
Not approvedFundamental flaws in the paper seriously undermine the findings and conclusions
Version 2
VERSION 2
PUBLISHED 26 Dec 2025
Revised
Views
5
Cite
Reviewer Report 29 Jan 2026
Matteo Nioi, University of Cagliari, Cagliari, Italy 
Approved with Reservations
VIEWS 5
This manuscript presents a descriptive, cross-sectional forensic pathology study investigating cytoplasmic autolytic changes in sternal bone marrow cells as a potential correlate of the postmortem interval (PMI). The authors analyzed 43 medico-legal autopsy cases with documented times of death, applying ... Continue reading
CITE
CITE
HOW TO CITE THIS REPORT
Nioi M. Reviewer Report For: Cytoplasmic changes in bone marrow cells as indicators of postmortem interval. [version 2; peer review: 1 approved, 2 approved with reservations]. F1000Research 2025, 14:964 (https://doi.org/10.5256/f1000research.194256.r445335)
NOTE: it is important to ensure the information in square brackets after the title is included in all citations of this article.
Version 1
VERSION 1
PUBLISHED 22 Sep 2025
Views
7
Cite
Reviewer Report 12 Nov 2025
Shankar Bakkannavar, Kasturba Medical College Hospital, Manipal Academy of Higher Education, Manipal, India 
Approved
VIEWS 7
Overall comments:
The manuscript is well written addresses an important and less explored area of forensic pathology wherein bone marrow cytology is used for postmortem interval (PMI) estimation. It demonstrates clear structure, methodological transparency, and responsible scientific reporting. ... Continue reading
CITE
CITE
HOW TO CITE THIS REPORT
Bakkannavar S. Reviewer Report For: Cytoplasmic changes in bone marrow cells as indicators of postmortem interval. [version 2; peer review: 1 approved, 2 approved with reservations]. F1000Research 2025, 14:964 (https://doi.org/10.5256/f1000research.187128.r425571)
NOTE: it is important to ensure the information in square brackets after the title is included in all citations of this article.
Views
32
Cite
Reviewer Report 28 Oct 2025
Simona Sulis, Department of Anthropology, Comenius University Bratislava, Bratislava, Slovakia 
Lenka Vorobeľová, Department of Anthropology, Comenius University Bratislava, Bratislava, Slovakia 
Approved with Reservations
VIEWS 32
This descriptive cross-sectional study investigates the relationship between cytoplasmic autolytic changes in sternal bone marrow cells and postmortem interval estimation. The authors analysed 43 medico-legal autopsy cases with recorded times of death, scoring cytoplasmic changes from 0 (intact morphology) to ... Continue reading
CITE
CITE
HOW TO CITE THIS REPORT
Sulis S and Vorobeľová L. Reviewer Report For: Cytoplasmic changes in bone marrow cells as indicators of postmortem interval. [version 2; peer review: 1 approved, 2 approved with reservations]. F1000Research 2025, 14:964 (https://doi.org/10.5256/f1000research.187128.r420291)
NOTE: it is important to ensure the information in square brackets after the title is included in all citations of this article.
  • Author Response 17 Nov 2025
    Vinoth Guru, Resident, Nitte (Deemed to be University), KS Hegde Medical Academy (KSHEMA), Department of Forensic Medicine and Toxicology, Mangalore, India
    17 Nov 2025
    Author Response
    Author Response 
    We thank the reviewers for their constructive feedback and valuable observations.
    This study was specifically designed to examine histopathological (cytoplasmic) changes in bone marrow cells in relation to ... Continue reading
COMMENTS ON THIS REPORT
  • Author Response 17 Nov 2025
    Vinoth Guru, Resident, Nitte (Deemed to be University), KS Hegde Medical Academy (KSHEMA), Department of Forensic Medicine and Toxicology, Mangalore, India
    17 Nov 2025
    Author Response
    Author Response 
    We thank the reviewers for their constructive feedback and valuable observations.
    This study was specifically designed to examine histopathological (cytoplasmic) changes in bone marrow cells in relation to ... Continue reading

Comments on this article Comments (0)

Version 2
VERSION 2 PUBLISHED 22 Sep 2025
Comment
Alongside their report, reviewers assign a status to the article:
Approved - the paper is scientifically sound in its current form and only minor, if any, improvements are suggested
Approved with reservations - A number of small changes, sometimes more significant revisions are required to address specific details and improve the papers academic merit.
Not approved - fundamental flaws in the paper seriously undermine the findings and conclusions
Sign In
If you've forgotten your password, please enter your email address below and we'll send you instructions on how to reset your password.

The email address should be the one you originally registered with F1000.

Email address not valid, please try again

You registered with F1000 via Google, so we cannot reset your password.

To sign in, please click here.

If you still need help with your Google account password, please click here.

You registered with F1000 via Facebook, so we cannot reset your password.

To sign in, please click here.

If you still need help with your Facebook account password, please click here.

Code not correct, please try again
Email us for further assistance.
Server error, please try again.