Keywords
Trauma, herniation, sign
Trauma, herniation, sign
Traumatic brain injury (TBI) is now a global epidemic1. The prognosis of patients with head injury is dependent on many clinical parameters but one of the major determinants is the time lapsed for appropriate management2. TBI has a significant impact not only on the patients and their relatives but also has a major influence on the health and socioeconomical status in the global arena. Thus, it is prudent to have clinical tools for early recognition of life threatening neurosurgical emergencies. Herein we discuss one such example: Frontalis sign for detecting early uncal herniation. This may be helpful for early referral of patients to tertiary care centres and for timely management of the same. It could therefore have a positive impact on these patients, resulting in a better outcome.
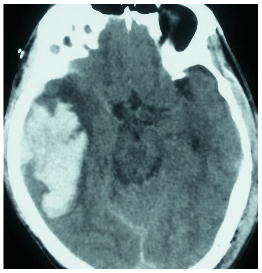
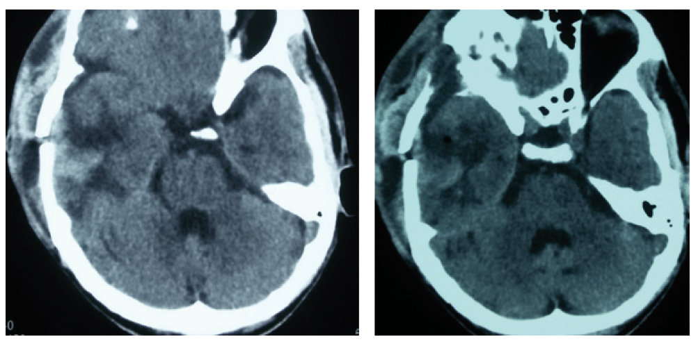
A 50-year-old male from Siraha, a distant village in Nepal, was referred to our neurosurgical centre following a road traffic accident after being hit by a speeding car. The patient had a brief loss of consciousness and a single episode of vomiting following the incident. There was no history of seizurogenic activity observed during the transfer. On arrival to the emergency department, his Glasgow coma scale (GCS) was E3M6V5 with no paucity in movement of any limbs. His vital parameters were within normal range with blood pressure of 130/90, pulse rate of 86/min and oxygen saturation of 99% in room air. It was difficult to assess differences in pupillary size as he had corneal opacity on the left eye, resulting from an injury sustained during his childhood. However, on close examination, we observed that there was prominence of the forehead wrinkles on the right half of his face especially when the patient was trying to open his eyes during conversation, which we termed as frontalis sign (Figure 1). The wrinkles on the contra lateral half were normal with no abnormal deviation of angle of the mouth dismissing the differential diagnosis of upper facial nerve palsy. Because of the finding, we suspected impending uncal herniation in the patient and thereby advised for an emergency computed tomography (CT) scan of the head. It revealed right sided huge temporo-parietal contusion with thin fronto-temporo-parietal subdural hematoma with features of uncal herniation (Figure 2). The condition was explained to his relatives and they were counseled for emergency evacuation of the hematoma. On their consent, we performed a craniotomy, evacuation of the subdural hematoma and removal of the contusion. Following the procedure, the brain was lax and pulsatile. The patient was extubated without any untoward events in the postoperative period. The frontalis sign diminished following the surgery (Figure 3). The post operative scan confirmed resolution of the mass effect and normalization of the cisternal anatomy (Figure 4). The patient was started on Levtiracetam 500 mg intravenously every 12 hours which was changed to oral medication after three days as seizure prophylaxis. The patient was discharged after suture removal on the 8th postoperative day. The patient followed up in the outpatient clinic 2 weeks later in sound health. Eye opening was near normal. The patient was advised for monthly follow up.


Levator palpebrae superioris supplied by the third nerve helps in elevation of the lid during eye opening4,5. However third nerve involvement due to uncal herniation weakens the muscle thereby restricting its action6. In order to compensate the deficits, the frontalis belly of the occipito-frontalis muscle supplied by the facial nerve, helps in elevation of the lid7,8. This leads to prominence of forehead wrinkles in the same side on comparison to the other half. This is termed frontalis sign. This can act as a reliable bedside marker for diagnosing impending herniation. There are other routine signs for impending uncal herniation such as anisocoria. But there may be inter-observer bias in assessing the same. Sometimes drugs such as Ipratropium Bromide used for nebulisation in the intensive care unit can cause anisocoria. It is also difficult to observe the size and reaction of the pupils in patients with severe eye lid swellings9. The frontalis sign can be used as an adjunct for diagnosing uncal herniation and thereby initiating the correct management. This is even more valuable for proper patient referral from peripheral and resource limited setups, especially in developing countries like ours who are still far behind implementing the guidelines for managing patients with TBI10.
The implications of the use of this simple bedside sign for early diagnosis of the uncal diagnosis can be influential in providing timely and correct therapeutic targets for patients with TBI. It can be a valuable adjunct to the present panoply of our armamentarium in diagnosis the traumatic cerebral herniation syndromes.
Written informed consent was obtained from the daughter of the patient for publication of this case report and any accompanying images and/or other details that could potentially reveal the patient’s identity.
SM reviewed the literature and formatted the paper. BB suggested, revised and edited the final format.
| Views | Downloads | |
|---|---|---|
| F1000Research | - | - |
|
PubMed Central
Data from PMC are received and updated monthly.
|
- | - |
Competing Interests: No competing interests were disclosed.
Competing Interests: No competing interests were disclosed.
Alongside their report, reviewers assign a status to the article:
| Invited Reviewers | ||
|---|---|---|
| 1 | 2 | |
|
Version 2 (revision) 04 Aug 16 |
read | |
|
Version 1 01 Feb 16 |
read | read |
Provide sufficient details of any financial or non-financial competing interests to enable users to assess whether your comments might lead a reasonable person to question your impartiality. Consider the following examples, but note that this is not an exhaustive list:
Sign up for content alerts and receive a weekly or monthly email with all newly published articles
Already registered? Sign in
The email address should be the one you originally registered with F1000.
You registered with F1000 via Google, so we cannot reset your password.
To sign in, please click here.
If you still need help with your Google account password, please click here.
You registered with F1000 via Facebook, so we cannot reset your password.
To sign in, please click here.
If you still need help with your Facebook account password, please click here.
If your email address is registered with us, we will email you instructions to reset your password.
If you think you should have received this email but it has not arrived, please check your spam filters and/or contact for further assistance.
Comments on this article Comments (0)