Keywords
low back pain, CLBP, back, spine
low back pain, CLBP, back, spine
Low back pain (LBP) is the most common musculoskeletal condition affecting the adult population, with a prevalence of up to 84%1. Chronic LBP (CLBP) is a chronic pain syndrome in the lower back region, lasting for at least 12 weeks2. Many authors suggest defining chronic pain as pain that lasts beyond the expected period of healing, avoiding this close time criterion. This definition is very important, as it underlines the concept that CLBP has well-defined underlying pathological causes and that it is a disease, not a symptom. CLBP represents the leading cause of disability worldwide and is a major welfare and economic problem1. Given this complexity, the diagnostic evaluation of patients with LBP can be very challenging and requires complex clinical decision-making. Answering the question, “what is the pain generator?” among the several structures potentially involved in CLBP is a key factor in the management of these patients, since a mis-diagnosis can lead to therapeutic mistakes. This article aims to provide a brief clinical guide that could help in the identification of pain generators through a careful anatomical description, thereby directing clinicians towards the correct diagnosis and therapeutic approach.
LBP represents a major social and economic problem. The prevalence of CLBP is estimated to range from 15 to 45% in French healthcare workers3; the point prevalence of CLBP in US adults aged 20–69 years old was 13.1%4. The general population prevalence of CLBP is estimated to be 5.91% in Italy5. The prevalence of acute and CLBP in adults doubled in the last decade and continues to increase dramatically in the aging population, affecting both men and women in all ethnic groups6. LBP has a significant impact on functional capacity, as pain restricts occupational activities and is a major cause of absenteeism7–9. Its economic burden is represented directly by the high costs of health care spending and indirectly by decreased productivity7,9. These costs are expected to rise even more in the next few years. According to a 2006 review, the total costs associated with LBP in the United States exceed $100 billion per year, two-thirds of which are a result of lost wages and reduced productivity10.
LBP symptoms can derive from many potential anatomic sources, such as nerve roots, muscle, fascial structures, bones, joints, intervertebral discs (IVDs), and organs within the abdominal cavity. Moreover, symptoms can also spawn from aberrant neurological pain processing causing neuropathic LBP11,12. The diagnostic evaluation of patients with LBP can be very challenging and requires complex clinical decision-making. Nevertheless, the identification of the source of the pain is of fundamental importance in determining the therapeutic approach13. Furthermore, during the clinical evaluation, a clinician has to consider that LBP can also be influenced by psychological factors, such as stress, depression, and/or anxiety14,15. History should also include substance use exposure, detailed health history, work, habits, and psychosocial factors16. Clinical information is the leading element that drives the initial impression, while magnetic resonance imaging (MRI) should be considered only in the presence of clinical elements that are not definitely clear or in the presence of neurological deficits or other medical conditions17. The recommendation of the American College of Radiology is not to do imaging for LBP within the first 6 weeks unless red flags are present. They include recent significant trauma or milder trauma at age older than 50 years, unexplained weight loss, unexplained fever, immunosuppression, history of cancer, intravenous drug use, prolonged use of corticosteroids or osteoporosis, age older than 70 years, and focal neurologic deficit with progressive or disabling symptoms18,19.
Imaging findings are weakly related to symptoms. In one cross-sectional study of asymptomatic persons aged 60 years or older, 36% had a herniated disc, 21% had spinal stenosis, and more than 90% had a degenerated or bulging disc20.
Although a precise estimate is impossible, it is plausible that the direct medical and indirect costs of these conditions are in the range of more than $50 billion per annum and could be as high as $100 billion at the extreme21. A recent study estimated that lumbar radiography was performed 66 million times in the United States in 2004, with a cost of $54 for each exam22. Although estimates vary substantially depending on geographic location, insurance status, and other factors, costs of MRI seem to be 10 to 15 times higher22,23.
Consensus guidelines for the management of LBP recommend that the clinician use contemporary best practice for assessment and treatment and, if chronic, use a multimodal and multi-disciplinary approach to avoid mis-diagnosis and mis-management.
The lumbar spine consists of five vertebrae (L1–L5). The complex anatomy of the lumbar spine is a combination of these strong vertebrae, linked by joint capsules, ligaments, tendons, and muscles, with extensive innervation. The spine is designed to be strong, since it has to protect the spinal cord and spinal nerve roots. At the same time, it is highly flexible, providing for mobility in many different planes.
The mobility of the vertebral column is provided by the symphyseal joints between the vertebral bodies, with an IVD in between. The facet joints are located between and behind adjacent vertebrae, contributing to spine stability. They are found at every spinal level and provide about 20% of the torsional (twisting) stability in the neck and low back segments24. Ligaments aid in joint stability during rest and movement, preventing injury from hyperextension and hyperflexion. The three main ligaments are the anterior longitudinal ligament (ALL), posterior longitudinal ligament (PLL), and ligamentum flavum (LF). The canal is bordered by vertebral bodies and discs anteriorly and by laminae and LF posteriorly. Both the ALL and PLL run the entire length of the spine, anteriorly and posteriorly, respectively. Laterally, spinal nerves and vessels come out from the intervertebral foramen. Beneath each lumbar vertebra, there is the corresponding foramen, from which spinal nerve roots exit. For example, the L1 neural foramina are located just below the L1 vertebra, from where the L1 nerve root exits.
IVDs are located between vertebrae. They are compressible structures able to distribute compressive loads through osmotic pressurization. In the IVD, the annulus fibrosus (AF), a concentric ring structure of organized lamellar collagen, surrounds the proteoglycan-rich inner nucleus pulposus (NP). Discs are avascular in adulthood, except for the periphery. At birth, the human disc has some vascular supply but these vessels soon recede, leaving the disc with little direct blood supply in the healthy adult25. Hence, metabolic support of much of the IVD is dependent on the cartilaginous endplates adjacent to the vertebral body. A meningeal branch of the spinal nerve, better known as the recurrent sinuvertebral nerve, innervates the area around the disc space26.
The lumbar spine is governed by four functional groups of muscles, split into extensors, flexors, lateral flexors, and rotators. The lumbar vertebrae are vascularized by lumbar arteries that originate in the aorta. Spinal branches of the lumbar arteries enter the intervertebral foramen at each level, dividing themselves into smaller anterior and posterior branches27. The venous drainage parallels the arterial supply28.
Typically, the end of the spinal cord forms the conus medullaris within the lumbar spinal canal at the lower margin of the L2 vertebra29. All lumbar spinal nerve roots stem from the connection between the dorsal or posterior (somatic sensory) root from the posterolateral aspect of the spinal cord and the ventral or anterior (somatic motor) root from the anterolateral aspect of the cord29. The roots then flow down through the spinal canal, developing into the cauda equina, before exiting as a single pair of spinal nerves at their respective intervertebral foramina. Cell bodies of the motor nerve fibers can be found in the ventral or anterior horns of the spinal cord, whereas those of the sensory nerve fibers are in the dorsal root ganglion (DRG) at each level. One or more recurrent meningeal branches, known as the sinuvertebral nerves, run out from the lumbar spinal nerves. The sinuvertebral nerve, or Luschka’s nerve, is a recurrent branch created from the merging of the grey ramus communicans (GRC) with a small branch coming from the proximal end of the anterior primary ramus of the spinal nerve. This polisegmentary mixed nerve directly re-enters the spinal canal and gives off ascending and descending anastomosing branches comprising both somatic and autonomic fibers for the posterolateral annulus, the posterior vertebral body and the periostium, and the ventral meninges30,31. The sinuvertebral nerves connect with branches from radicular levels both above and below the point of entry, in addition to the contralateral side, meaning that localizing pain from involvement of these nerves is challenging32. Also, the facet joints receive two-level innervation comprising somatic and autonomic components. The former convey a well-defined local pain, while the autonomic afferents transmit referred pain.
Pain is mediated by nociceptors, specialized peripheral sensory neurons that alert us to potentially damaging stimuli at the skin by transducing these stimuli into electrical signals that are relayed to higher brain centers33. Nociceptors are pseudo-unipolar primary somatosensory neurons with their neuronal body located in the DRG. They are bifurcate axons: the peripheral branch innervates the skin and the central branches synapse on second-order neurons in the dorsal horn of the spinal cord34. The second-order neurons project to the mesencephalon and thalamus, which project to somatosensory and anterior cingulate cortices to drive sensory-discriminative and affective-cognitive aspects of pain, respectively. The spinal dorsal horn is a major site of integration of somatosensory information and is composed of several interneuron populations forming descending inhibitory and facilitatory pathways, able to modulate the transmission of nociceptive signals35. If the noxious stimulus persists, processes of peripheral and central sensitization can occur, converting pain from acute to chronic. Central sensitization is characterized by the increase in the excitability of neurons within the central nervous system, so that normal inputs begin to produce abnormal responses36. It is responsible for tactile allodynia, that is pain evoked by light brushing of the skin, and for the spread of pain hypersensitivity beyond an area of tissue damage. Central sensitization occurs in a number of chronic pain disorders, such as temporomandibular disorders, LBP, osteoarthritis, fibromyalgia, headache, and lateral epicondylalgia37. Despite improved knowledge of the processes leading to central sensitization, it is still difficult to treat38,39. Peripheral and central sensitization have a key role in LBP chronification. In fact, minimal changes in posture could easily drive long-lasting inflammation in the joints, ligaments, and muscles involved in the stability of the low back column, contributing to both peripheral and central sensitization. Furthermore, joints, discs, and bone are richly innervated by A delta fibers whose continuous stimulation could easily contribute to central sensitization.
In spite of the hard work done by the International Association for the Study of Pain39, there remains a degree of confusion in the medical community regarding the definitions of back pain, referred pain, radicular pain, and radiculopathy. Nevertheless, a precise diagnostic assessment is necessary to indicate the right treatment. Mis-diagnosis and mis-management of CLBP can also be influenced by other considerations, such as insufficient knowledge or appreciation of the common structure for specific pain referral patterns, inadequate clinical reasoning, unsuitable referral, and a preference for popular management approaches. Mostly, LBP is considered to be nonspecific40, and the mistaken idea that the cause of 80 to 90% of LBP cases is unknown has persisted for decades41–45.
Muscle tension and spasm are among the most common reasons for LBP, for example, in patients with fibromyalgia. In other cases, LBP can be attributed to different pain generators, with specific characteristics, such as radicular, facet joint, sacro-iliac, and discogenic pain, as well as spinal stenosis.
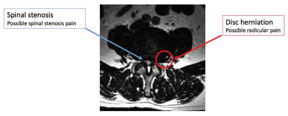
Radicular pain is pain evoked by ectopic discharges emanating from an inflamed or lesioned dorsal root or its ganglion; generally, the pain radiates from the back and buttock into the leg in a dermatomal distribution44. Disc herniation is the most common cause, and inflammation of the affected nerve rather than its compression is the most common pathophysiological process. Radicular pain is pain irradiated along the nerve root without neurological impairment. Even though it is nociceptive pain, it is distinguished from usual nociception because in radicular pain the axons are not stimulated along their course or in their peripheral terminals but from the perinevrium40,46. Radicular pain differs from radiculopathy in several aspects. Radiculopathy is a neurological state in which conduction is impaired along a spinal nerve or its roots. When sensory fibers are impaired, numbness is the main symptom and sign, whereas when motor fibers are blocked weakness ensues. Diminished reflexes can occur as a result of either sensory or motor block. The numbness is dermatomal in distribution and the weakness is myotomal. Although radiculopathy and radicular pain often accompany one another, radiculopathy has been observed in the absence of pain, and radicular pain may happen in the absence of radiculopathy46,47. It is important to underline that, contrary to popular belief, it is not possible to make a distinction among the patterns of L4, L5, and S1 radicular pain48,49. In fact, only when radiculopathy is seen together with radicular pain can segments be estimated. In such cases, the dermatomal distribution of numbness indicates the segment of origin rather than the distribution of pain. Lumbar disc herniation with radiculopathy can be diagnosed during clinical examination using manual muscle testing, supine straight leg raise, Lasègue sign, and crossed Lasègue sign.
If a patient’s history and physical examination findings indicate lumbar disc herniation with radiculopathy, the most suitable noninvasive test to confirm this could be an MRI. This is particularly important if it is necessary to proceed with an invasive treatment or to better define the neurological impairment. The next most appropriate test to evaluate the presence of lumbar disc herniation is computed tomography (CT) or CT myelography, which would be suitable for those individuals unable to have an MRI because it is contraindicated or those for whom MRI is inconclusive. Also, diagnosis of nerve root compression may be achieved by electrodiagnostic studies, although they are not able to distinguish between lumbar disc herniation and other causes of nerve root compression. Unfortunately, we have to remark that radiculopathy could be present without radicular pain and vice versa. For these reasons, electrodiagnostic tests are not recommended as a first-line approach but only as a second-line one in order to define if there is a concomitant presence of peripheral neuropathy or neuralgia or to follow up the impairment of the lesioned nerve50.
The lumbar zygapophyseal joints are the posterior articular process of the lumbar column. They are formed from the inferior process of upper vertebra and the superior articular process of lower vertebra51. They are supplied by the medial branches of the dorsal rami (MBN). These joints have a large amount of free and encapsulated nerve endings52 that activate nociceptive afferents and that are also modulated by sympathetic efferent fibers53. Lumbar zygapophyseal or “facet” joint pain has been estimated to account for up to 30% of CLBP cases54, with nociception originating in the synovial membrane, hyaline cartilage, bone, or fibrous capsule of the facet joint55.
Diagnosis of facet joint syndrome is often difficult and requires a careful clinical assessment and an accurate analysis of radiological exams. Patients usually complain of LBP with or without somatic referral to the legs terminating above the knee, often radiating to the thigh or to the groin. There is no radicular pattern. Back pain tends to be off-center and the pain intensity is worse than the leg pain; pain increases with hyperextension, rotation, lateral bending, and walking uphill. It is exacerbated when waking up from bed or trying to stand after prolonged sitting. Finally, patients often complain of back stiffness, which is typically more evident in the morning56,57. Jackson identified seven factors significantly correlated with facet pain: older age, previous history of LBP, normal gait, maximal pain with lumbar extension, absence of leg pain, absence of muscle spasm, and absence of exacerbation with Valsalva maneuver58.
There are no pathognomonic radiological findings for the diagnosis of lumbar facet syndrome. With MRI, we can find non-specific signs of arthrosis, osteophytes, and hypertrophy of flaval ligaments. However, if we want to better study arthrosis problems, CT is the preferred imaging method, even if radiation exposure should be kept in mind56. One of the most important exams is provided by X-rays, especially dynamic projections, that can show column instability (listhesis that could be increased with flexion and extension of the low back column) with a clear overload of these joints58. In conclusion, despite the contribution from neuroimaging, history and clinical examination remain fundamental steps in the diagnosis of facet joint syndromes.
The sacroiliac joints (SIJs) are highly specialized joints that permit stable (yet flexible) support to the upper body59,60. Sacral movement involves the SIJs and also directly influences the discs and most likely the higher lumbar joints as well. Its innervation is still not well known; innervation by branches from the ventral lumbopelvic rami has been reported61 but not verified. Conversely, innervation of the SIJ by small branches from the posterior rami has been reported by numerous authors62,63. In 2012, Patel et al.63 reported successful attenuation of SIJ pain using neurotomy of the L5 dorsal primary ramus and lateral branches of the dorsal sacral rami from S1 to S3. Hence, there is sufficient evidence that this procedure has an important value for establishing diagnosis and prognosis. The SIJ is well recognized as a source of pain in many patients who present with CLBP64,65. Theories of pain generation include ligamentous or capsular tension, extraneous compression or shear forces, hypomobility or hypermobility, aberrant joint mechanics, and imbalances in the myofascial or kinetic chain that result in inflammation and pain66. Intra-articular sources of SIJ pain include osteoarthritis; extra-articular sources include enthesis/ligamentous sprain and primary enthesopathy. In addition, ligamentous, tendinous, or fascial attachment and other cumulative soft tissue injuries that may occur posterior to the dorsal aspect of the SIJ may be a source of discomfort. In physical examination, it is important to examine the movement of the joint, for example with a stress test, consisting of pressing down on the iliac crest (pelvis) or upper thigh, which may reproduce the patient’s pain.
SIJ pain is often underdiagnosed. It has to be considered in every situation in which the patient complains of postural LBP that worsens in a sitting position and with postural changes. Furthermore, it is possible that SIJ pain is often strictly related to facet joint syndromes as both are related to postural problems.
Finally, it is important to consider that SIJ pain could also be a sign of rheumatic disease. MRI findings of articular effusion and inflammation (especially if bilateral) can alert the clinician to consider this condition.
Lumbar spinal stenosis (LSS) can be congenital67 or acquired (or both). It could be determined by inflammatory/scar tissue after spine surgery or, even in absence of previous surgery, by disc herniation, thickening of the ligaments, or hypertrophy of the articular processes68. The majority of cases of LSS are degenerative, related to changes in the spine with aging69. LSS is determined by a progressive narrowing of the central spinal canal and the lateral recesses and consequent compression of neurovascular structures70. Usually, the diameter of the normal lumbar spinal canal varies from 15 to 27 mm. We can define lumbar stenosis as a spinal canal diameter of less than 10 mm, even though a stenosis with diameter of 12 mm or less in some patients can be symptomatic. The normal foraminal height varies from 20 to 23 mm, with the indicator of potential foraminal stenosis as 15 mm or less71. Degenerative LSS is the most common indication for spinal surgery in people older than 65 years of age70. The most frequent symptoms of lumbar stenosis are midline back pain, radiculopathy with neurologic claudication, motor weakness, paresthesia, and impairment of sensory nerves72. Symptoms may have a different distribution depending on the type of LSS. If the LSS is central, there may be involvement of the area between the facet joints, and pain may be bilateral in a non-dermatomal distribution. With lateral recess stenosis, symptoms are usually found dermatomally because specific nerves are compressed, resembling unilateral radiculopathy73. Pain improves with trunk flexion, sitting, stooping, or lying and aggravates with prolonged standing or lumbar extension. As the condition becomes more advanced, sitting or lying down are less helpful in relieving the pain. In severe cases, rest pain or a neurogenic bladder can develop73. Neurogenic claudication pain is the classical symptom of LSS, caused by venous congestion and hypertension around nerve roots. Pain is exacerbated by standing erect and by downhill ambulation but alleviated with lying supine more than prone, sitting, squatting, and lumbar flexion74,75.
LSS is generally diagnosed based on a combination of history, physical examination, and imaging72. The most useful findings from the history are age, radiating leg pain that is exacerbated by standing up or walking, and the absence of pain when seated76. The gait and posture after walking may reveal a positive "stoop test"75,76, performed by asking the patient to walk briskly. As the pain intensifies, patients may complain of sensory symptoms followed by motor symptoms, and if they assume a stooped posture, symptoms may improve76. If patients sit in a chair bent forward, they may have the same relief77.
The recommended method for confirming the diagnosis of LSS is MRI, which facilitates the assessment of the spinal canal and the anatomic relationship between spinal and neural elements76. The natural course of untreated LSS is unclear. The North American Spine Society (NASS) clinical guidelines concluded that the natural course is favorable in a third to a half of patients with clinically mild to moderate LSS78. Other reviews suggest that the condition may deteriorate in some patients and improve in about a third of others, with most patients remaining unchanged for up to 8 years of follow-up79–81.
Disc degeneration (DD) has been estimated as the source of CLBP in 39% of cases82. Its symptoms are aspecific, axial, and without radicular radiation and they occur in the absence of spinal deformity or instability. DD is often a diagnosis of exclusion among other types of CLBP. Pathologically, it is characterized by the degradation, within the disc, of the NP matrix with accompanying radial and/or concentric fissures in the AF83.
Despite numerous recent advances, the main issue is how inflammation is initiated and sustained to lead to CLBP. A possible explanation could involve the growth of nerves capable of signaling pain deep into the annular structures84. Another hypothesis involves a class of molecules, called damage-associated molecular patterns (DAMPs), including hyaluronic acid and fibronectin fragments, able to stimulate sterile inflammation of the disc through the action of pro-inflammatory cytokines (IL-1beta, IL-6, and IL-8) and matrix degrading enzymes (MMP-1, MMP-3, and MMP-13)83. Also, subclinical anaerobic bacterial infection, encouraged by hypoxic conditions, could have a role in the development of discogenic pain84.
Imaging MRI can detect changes in the endplates and in the vertebral bone marrow, such as edema in the vertebral bodies (Modic type 1). Clinical trials have demonstrated that some patients suffering from LBP have improvement following amoxicillin-clavulanate84,85. Moreover, diabetes increases the risk of developing painful DD because advanced glycation end products (AGEs) induce catabolism and promote inflammation86.
MRI cannot definitively demonstrate whether a disc is painful87. Provocation discography aims at reproducing patients’ pain through contrast injection during live fluoroscopy plus CT imaging for clarifying associated morphological abnormalities of the disc88. The clinical utility of discography and its diagnostic accuracy is, however, a matter of controversy because of poor specificity. Beyond the reported complications as discitis, neurologic injury, visceral injury, and dye reactions89, it’s been demonstrated that the needle puncture of the lumbar disc may lead to accelerated MRI-documented DD. The mechanism is likely multifactorial: structural damage caused by the needle, pressurization, and toxicity of the contrast media90.

LBP is one of the most common symptoms and conditions motivating individuals to seek medical consultation. The effects of back pain on society are significant, both epidemiologically and economically, and this is likely to only further increase owing to a combination of shifting attitudes and expectations, medical management techniques, and social provision. Therapeutical approaches, including interventional modalities, for LBP are highly effective when used properly after a careful diagnostic work-up. Consensus guidelines for the management of LBP advise contemporary best practice for assessment and treatment and the use of a multimodal and multi-disciplinary approach to avoid mis-diagnosis and mis-management in chronic cases.
Massimo Allegri has received research funds and payment for speeches from the following companies (in the last 2 years): Grunenthal, Mundipharma, Angelini, CareFusion, and MSD.
This work has been supported by a FP7 Collaborative Project grant from the European Community (PainOmics – Multi-dimensional OMICS approach to stratification of patients with low back pain) grant agreement no: 6027366.
| Views | Downloads | |
|---|---|---|
| F1000Research | - | - |
|
PubMed Central
Data from PMC are received and updated monthly.
|
- | - |
Competing Interests: No competing interests were disclosed.
Competing Interests: No competing interests were disclosed.
Competing Interests: No competing interests were disclosed.
Alongside their report, reviewers assign a status to the article:
| Invited Reviewers | |||
|---|---|---|---|
| 1 | 2 | 3 | |
|
Version 2 (revision) 11 Oct 16 |
read | read | read |
|
Version 1 28 Jun 16 |
read | read | read |
Provide sufficient details of any financial or non-financial competing interests to enable users to assess whether your comments might lead a reasonable person to question your impartiality. Consider the following examples, but note that this is not an exhaustive list:
Sign up for content alerts and receive a weekly or monthly email with all newly published articles
Already registered? Sign in
The email address should be the one you originally registered with F1000.
You registered with F1000 via Google, so we cannot reset your password.
To sign in, please click here.
If you still need help with your Google account password, please click here.
You registered with F1000 via Facebook, so we cannot reset your password.
To sign in, please click here.
If you still need help with your Facebook account password, please click here.
If your email address is registered with us, we will email you instructions to reset your password.
If you think you should have received this email but it has not arrived, please check your spam filters and/or contact for further assistance.
Comments on this article Comments (0)