Dowling CM, Walsh D, Coffey JC and Kiely PA. The importance of selecting the appropriate reference genes for quantitative real time PCR as illustrated using colon cancer cells and tissue [version 1; peer review: 2 approved]. F1000Research 2016, 5:99 (https://doi.org/10.12688/f1000research.7656.1)
NOTE: If applicable, it is important to ensure the information in square brackets after the title is included in all citations of this article.
1Department of Life Sciences, and Materials and Surface Science Institute, University of Limerick, Limerick, Ireland 2Health Research Institute, University of Limerick, Limerick, Ireland 3Graduate Entry Medical School, University of Limerick, Limerick, Ireland 44i Centre for Interventions in Infection, Inflammation and Immunity, Graduate Entry Medical School, University of Limerick, Limerick, Ireland
OPEN PEER REVIEW
REVIEWER STATUS
Abstract
Quantitative real-time reverse-transcription polymerase chain reaction (RT-qPCR) remains the most sensitive technique for nucleic acid quantification. Its popularity is reflected in the remarkable number of publications reporting RT-qPCR data. Careful normalisation within RT-qPCR studies is imperative to ensure accurate quantification of mRNA levels. This is commonly achieved through the use of reference genes as an internal control to normalise the mRNA levels between different samples. The selection of appropriate reference genes can be a challenge as transcript levels vary with physiology, pathology and development, making the information within the transcriptome flexible and variable. In this study, we examined the variation in expression of a panel of nine candidate reference genes in HCT116 and HT29 2-dimensional and 3-dimensional cultures, as well as in normal and cancerous colon tissue. Using normfinder we identified the top three most stable genes for all conditions. Further to this we compared the change in expression of a selection of PKC coding genes when the data was normalised to one reference gene and three reference genes. Here we demonstrated that there is a variation in the fold changes obtained dependent on the number of reference genes used. As well as this, we highlight important considerations namely; assay efficiency tests, inhibition tests and RNA assessment which should also be implemented into all RT-qPCR studies. All this data combined demonstrates the need for careful experimental design in RT-qPCR studies to help eliminate false interpretation and reporting of results.
Keywords
Quantitative real-time PCR, Normalisation, Reference Genes, NormFinder, Colon Cancer
Corresponding authors:
Catríona M. Dowling, Patrick A. Kiely
Competing interests:
The authors declare there is no conflict of interest.
Grant information:
This work was supported by grants received from the Irish Cancer Society Grant CRS12DOW (to CD), the Mid-Western Cancer Foundation and funding from Science Foundation Ireland grant 13/CDA/2228 (to PK).
Gene expression analysis is a critical and important tool in molecular diagnostics and medicine1–4. Quantification of RNA transcripts is carried out using one of four common methods; reverse transcription polymerase chain reaction (RT-PCR)5, RNase protection assays6, northern blotting and in situ hybridisation7, and less commonly now using cDNA arrays8. At present, the most popular and widely used method for gene expression is fluorescence based quantitative real time PCR (RT-qPCR)9. It is the most sensitive and flexible of the quantitative methods with a capacity to detect and measure minute amounts of nucleic acids10,11. There are two types of quantitative methods that can be applied within RT-qPCR; absolute quantification and relative quantification. Absolute quantification relates the PCR signal to a standard curve to determine the input copy number of the gene of interest. In contrast, relative quantification evaluates the change in expression of a target gene relative to a reference group, for example an untreated control12.
When employing RT-qPCR to compare mRNA levels between two different test conditions, it is imperative that reference genes are utilised carefully9,10. Normalisation of the data with these reference genes is essential for correcting results of different amounts of input RNA, uneven loading, reverse-transcription yield, efficiency of amplification and variation within experimental conditions9,13. The mRNA of reference genes should be stably expressed and their expression should not be affected by experimental condition or by any human disease14. Numerous studies have demonstrated that common reference genes, such as β-Actin and GAPDH, which are largely accepted as being stably expressed within cells, can in fact show large variations in expression15–18. Despite the awareness that validation of the stability of reference genes is an essential component for accurate RT-qPCR analysis, this consideration is still largely disregarded19–21.
Further to this, it is reported that over 90% of gene expression analysis published in high impact journals used only one reference gene22–24. It has since been widely documented that normalisation of data with a single reference gene can lead to inaccurate interruption of results10,25,26. Taken together, this highlights the importance of selecting the optimal number and type of reference genes for any RT-qPCR study. Other essential considerations such as; analysis of assay efficiency, testing for inhibition with biological samples and reporting the quality and integrity of input RNA are all highlighted in the ‘MIQE Guidelines: Minimum Information for Publication of Quantitative Real-Time PCR Experiments’10.
In this study, we sought to highlight the importance of carefully-designed RT-qPCR studies in order to avoid the reporting of inaccurate and misleading information. We test a panel of nine candidate reference genes and report their stability between 2-dimensional and 3-dimensional HCT116 and HT29 colon cancer cell lines, as well as between normal and cancerous tissue from colon cancer patients. We also demonstrate useful tests that should be implemented within RT-qPCR studies to ensure that studies comply with the MIQE guidelines.
Methods
Cell culture
HCT116 (ATCC® CCL-247™) and HT29 (ATCC® HTB-38™) cell lines were obtained from ATCC. These cell lines were cultured in complete Dulbecco's modified essential medium (DMEM) supplemented with 10% of foetal bovine serum, 1% of penicillin/streptomycin and 1% of L-glutamine. All cells were incubated at 37°C in a humidified 95% air/5% CO2 environment. Cellular suspensions were obtained by adding 0.5% trypsin to the cultures and incubating at 37°C at 5% CO2.
3-dimensional cell cultures
Individual wells of a 6-well plate were coated with MatrigelTM (BD Biosciences) and placed in an incubator at 37°C for 30 min. Cell lines were trypsinized and counted. 50,000 cells/ml were resuspended in DMEM supplemented with 2% MatrigelTM. Cells were placed in MatrigelTM coated wells for 30 min at 37°C, after which DMEM supplemented with 2% MatrigelTM was added to the cultures. Cells were maintained in culture for 6 days in an incubator at 37°C, 5% CO2 with fresh medium added every 2 days. On day 6, cultures were harvested using EDTA/PBS and either fixed with paraformaldehyde (PFA) for confocal analysis (Zeiss LSM 710) or used for RNA extraction.
Clinical samples
Following ethical approval from the University Hospital Limerick’s Ethics Committee (ethical approval number 73/11), tissue samples measuring approximately 0.5cm in diameter were collected from patients undergoing surgery in University Hospital Limerick. Normal tissue from the patients was also collected approximately 10 cm away from the cancer tissue. Specimens were immediately placed in Allprotect tissue reagent (Qiagen) and stored at -80°C.
RNA extraction and cDNA synthesis
2-dimensional and 3-dimensional cell cultures were trypsinised as described above and frozen tissue was immersed in liquid nitrogen and ground into powder. Lysis buffer was added to the cells and tissue and the samples transferred to tubes using a 21-gauge needle. Total RNA was extracted as per Qiagen RNeasy Mini Kit instructions. RNA was quantified using a Nanodrop Spectrophotometer (Thermo Scientific) and stored at -80 degrees. RNA purity was evaluated by the ratio of absorbance at 260/280 nm and RNA quality was evaluated through visualization of the 28S:18S ribosomal RNA ratio on a 1% agarose gel. Total RNA (1 μg) was synthesised into cDNA using Vilo cDNA synthesis kit (Invitrogen) and stored at -20 degrees.
Real-time PCR
Real-time PCR was conducted using the ABI 7900 HT instrument (Applied Biosystems) following supplier instructions. Taqman® Gene Expression Assay Kits (Applied Biosystems) were used to analyse the gene expression of PKC coding genes. Data was normalised to either one reference gene or three reference genes (see below).
Assay efficiency test
The efficiency of each assay was determined by means of a calibration curve with the logarithm of the initial template concentration plotted on the x axis and the Cq plotted on the y axis. The slope of the graph was obtained and the PCR efficiency was calculated using the equation: 10-1/slope-1.
Inhibition test
Real-time PCR was conducted on corn DNA using a corn gene assay with a known Cq value of 24–26. Samples of cDNA from 2D and 3D HCT116 and HT29 cultures and from patient tissue was added to the reaction to test for an inhibitory components that may be present in these biological samples.
Table 1. Description of the nine candidate housekeeper genes used in the study.
The accession numbers for each gene are taken from the National Center for Biotechnology Information.
Symbol
Name
Accession Number
Function
B2M
Beta 2 Microglobulin
NM_004048
Important cell surface structure
PMM1
Phosphomannomutase 1
NM_002676
Synthesis of the GDP-mannose and dolichol-phosphate-mannose
TBP
TATA Box Binding Protein
NM_001172085
Transcription factor
RPLPO
Large Ribosomal Protein
NM_053275
Ribosomal Protein
GUSB
Beta Glucuronidase
NM_000181
Glycoprotein
PGK1
Phosphoglycerate Kinase 1
NM_000291
Glycolytic enzyme
ACTB
Beta Actin
NM_001101
Cytoskeleton Protein
PPIA
Peptidylprolyl Isomerase A (Cyclophilin A)
NM_021130
Catalyses the cis-trans isomerization of proline imidic peptide bonds
Results
HCT116
HCT116
HCT116
HCT116
HCT116
HCT116
2D
2D
2D
3D
3D
3D
Gene Name
Cq Value
Cq Value
Cq Value
Cq Value
Cq Value
Cq Value
B2M
22.140234
22.14829
22.121712
22.453043
22.413383
22.370667
PMM1
29.401875
29.276693
28.975876
29.93717
29.792974
29.651934
TBP
26.86574
26.92273
26.812597
28.274324
28.138552
28.062511
HRPT1
25.185236
25.146278
25.177797
26.218302
26.32845
26.191511
RPLPO
19.656942
19.5121
19.687592
20.152937
20.15497
20.111223
GUSB
25.550941
25.290342
25.573963
26.344154
26.323486
26.43148
PGK1
23.27432
23.27432
22.972868
24.045338
24.098988
24.020983
ACTB
27.573587
27.37925
27.504204
26.934671
26.872478
26.94638
Dataset 1.Cq Values for reference genes in HCT116 cell lines.
The three Cq values for each reference gene is displayed for the 2-dimensional and 3-dimensional HCT116 cell cultures.
PRKCA
PRKCE
PRKCH
PRKCQ
PRKCD
PRKCZ
PRKCI
B2M
PMM1
RPLPO
Cq Value
Cq Value
Cq Value
Cq Value
Cq Value
Cq Value
Cq Value
Cq Value
Cq Value
Cq Value
2D
25.534796
30.021826
25.597075
31.210854
25.402708
25.957802
27.508333
22.140234
29.401875
19.656942
2D
25.658108
30.022312
25.607742
31.494343
25.493034
25.923904
27.678555
22.14829
29.276693
19.5121
2D
25.603836
29.935234
25.512543
31.402763
25.434729
25.877272
27.758839
22.121712
28.975876
19.687592
3D
24.357988
29.413008
24.760405
30.881334
24.928722
25.328083
26.558174
22.453043
29.93717
20.152937
3D
24.507063
29.650784
24.613098
30.60151
24.62464
25.266247
26.582159
22.413383
29.792974
20.15497
Dataset 2.Cq Values for PKC coding genes and reference genes in HCT116 cell lines.
The three Cq values for each PKC coding gene and the appropriate reference genes is displayed for the 2-dimensional and 3-dimensional HCT116 cell cultures.
HT29
HT29
HT29
HT29
HT29
HT29
2D
2D
2D
3D
3D
3D
Gene Name
Cq Value
Cq Value
Cq Value
Cq Value
Cq Value
Cq Value
B2M
19.995264
19.941713
19.932129
20.5152
20.58984
20.54583
PMM1
28.314924
28.355637
28.461548
28.189844
28.30853
28.233744
TBP
28.270794
28.460411
28.63358
28.224007
28.180359
28.147839
HRPT1
24.838184
24.830402
24.850718
24.753094
24.739557
24.66608
RPLPO
20.078001
20.146059
20.157404
19.748852
19.750244
19.656834
GUSB
32.16
32.175552
32.375404
29.423485
25.490568
25.269575
PGK1
23.166931
22.694025
22.744116
23.64074
23.665525
24.008387
ACTB
27.918634
28.497961
28.53223
28.009066
28.469902
28.509188
Dataset 3.Cq Values for reference genes in HT29 cell lines.
The three Cq values for each reference gene is displayed for the 2-dimensional and 3-dimensional HT29 cell cultures.
PRKCA
PRKCE
PRKCH
PRKCQ
PRKCD
PRKCZ
PRKCI
PMM1
HRPTI
PP1A
Cq Value
Cq Value
Cq Value
Cq Value
Cq Value
Cq Value
Cq Value
Cq Value
Cq Value
Cq Value
2D
24.914957
29.6584
25.357733
31.513065
24.594269
25.449045
23.835823
28.314924
24.838184
19.944347
2D
24.909397
29.640919
25.753635
31.369968
24.608795
25.365513
23.684317
28.355637
24.830402
19.939817
2D
24.920877
29.644028
25.778276
31.865423
24.686342
25.353903
23.753626
28.461548
24.850718
19.802155
3D
24.550747
28.832785
25.575933
31.537374
24.415407
25.285128
23.698914
28.189844
24.753094
19.77429
3D
24.426785
28.671137
25.605938
31.450321
24.389038
25.178421
23.622116
28.30853
24.739557
19.735796
Dataset 4.Cq Values for PKC coding genes and reference genes in HT29 cell lines.
The three Cq values for each PKC coding gene and the appropriate reference genes is displayed for the 2-dimensional and 3-dimensional HT29 cell cultures.
Normal Tissue
Normal Tissue
Normal Tissue
Normal Tissue
Normal Tissue
Normal Tissue
Normal Tissue
Normal Tissue
Normal Tissue
Normal Tissue
Normal Tissue
Normal Tissue
Normal Tissue
Normal Tissue
Normal Tissue
Cancer Tissue
Cancer Tissue
Cancer Tissue
Cancer Tissue
Cancer Tissue
Cancer Tissue
Cancer Tissue
Cancer Tissue
Cancer Tissue
Cancer Tissue
Cancer Tissue
Cancer Tissue
Cancer Tissue
Cancer Tissue
Cancer Tissue
Gene Name
Cq Value
Cq Value
Cq Value
Cq Value
Cq Value
Cq Value
Cq Value
Cq Value
Cq Value
Cq Value
Cq Value
Cq Value
Cq Value
Cq Value
Cq Value
Cq Value
Cq Value
Cq Value
Cq Value
Cq Value
Cq Value
Cq Value
Cq Value
Cq Value
Cq Value
Cq Value
Cq Value
Cq Value
Cq Value
Cq Value
B2M
21.98113
21.850534
21.99432
18.038649
17.949036
17.990377
14.789495
14.828602
14.792412
17.32921
17.270624
17.323168
17.381886
17.441122
17.467344
23.723377
23.697445
23.658691
18.587828
18.595385
18.70989
16.555721
16.732103
16.588367
18.194603
18.29848
18.213009
18.579538
18.691301
18.687683
PMM1
28.53056
28.786118
28.690266
26.071491
26.191395
26.268726
24.515623
24.546156
24.633217
26.231129
26.43824
26.20202
25.677134
25.935898
25.802427
33.58537
32.027752
32.40754
26.654951
26.918457
26.795938
25.845676
25.76821
25.649302
26.397787
26.514364
26.45292
26.562393
26.53933
26.572369
TBP
33.221386
33.385227
33.04715
29.047216
28.974497
28.826145
27.272255
27.271406
27.311626
31.891273
32.30828
32.378384
31.385569
30.941263
31.03812
32.93733
32.26941
31.957968
28.783495
28.764465
28.789978
27.32893
27.33164
27.537949
29.042208
29.099407
29.258053
29.886724
30.011822
29.895754
HRPT1
29.57437
29.283163
29.189419
25.205402
25.120861
25.056072
24.165983
24.151625
24.092545
26.260126
26.163704
26.162664
25.669668
25.60374
25.74525
29.465761
29.233004
29.31552
24.500107
24.479053
24.414356
23.951374
23.972004
24.039198
23.916893
24.034954
23.964458
24.362982
24.307201
24.345879
RPLPO
26.823532
26.971888
26.785107
21.594738
21.436888
21.252054
19.99635
20.247051
20.06685
22.012901
22.18311
22.07718
21.28209
21.21257
21.092842
26.394762
26.646261
26.671122
20.488255
20.340343
20.298693
19.111185
19.338268
19.02917
19.585463
19.414583
19.39666
20.483
20.424988
20.36848
GUSB
29.286726
28.983395
28.705976
24.795391
24.742182
24.77057
23.587128
23.521717
23.381704
24.849981
24.912827
24.913845
24.231878
24.3129
24.164799
30.026484
29.78292
29.934828
24.21444
24.082321
23.976185
22.45809
22.495985
22.57583
22.657152
22.608946
22.45929
24.323378
24.356833
24.128782
PGK1
26.737339
26.67774
26.56105
23.005615
22.955582
22.965664
20.961098
20.888592
21.687435
22.797483
22.797483
22.898338
22.33636
22.2766
22.223423
27.091942
27.05272
27.19463
22.636938
22.625507
22.641762
21.09755
21.054913
21.044136
21.148397
21.152412
21.150139
22.343924
22.230673
22.338123
ACTB
29.78497
29.446009
29.521778
24.960758
25.038246
24.805677
21.596352
21.510618
22.028364
22.75773
22.685667
22.77989
22.121159
22.588894
21.976692
33.665276
31.914375
34.1236
24.719276
24.862366
24.527473
21.233946
21.202093
21.178251
22.162212
22.349028
22.078733
21.410093
21.476765
21.247252
Dataset 5.Cq Values for reference genes in normal and colon cancer tissue.
The three Cq values for each reference gene is displayed for the normal and colon cancer tissue.
PRKCA
PRKCE
PRKCH
PRKCQ
PRKCD
PRKCZ
PRKCI
PGK1
GUSB
PP1A
Cq Value
Cq Value
Cq Value
Cq Value
Cq Value
Cq Value
Cq Value
Cq Value
Cq Value
Cq Value
Normal Tissue
26.826273
31.691776
27.907349
30.447926
25.61785
27.598385
26.763906
26.737339
29.286726
25.230883
Normal Tissue
27.033642
31.492699
27.911686
30.502014
25.786276
27.599642
26.912115
26.67774
28.983395
25.126457
Normal Tissue
26.928278
31.48891
27.89602
30.39215
25.619972
27.534124
26.799273
26.56105
28.705976
25.074203
Normal Tissue
31.605017
35.67813
33.951115
35.13049
30.411615
33.090145
30.912416
23.005615
24.795391
20.968544
Normal Tissue
31.972548
35.425182
32.953266
36.22036
30.273382
32.43458
30.967752
22.955582
24.742182
21.130848
Normal Tissue
31.853167
35.66736
33.556107
34.576653
30.045954
32.864098
30.829912
22.965664
24.77057
21.146055
Normal Tissue
24.907621
30.073828
25.894007
29.92658
24.05947
25.32734
25.625097
20.961098
23.587128
19.425198
Normal Tissue
25.102226
29.866194
25.886625
29.96305
23.969402
25.504189
25.612385
20.888592
23.521717
19.42026
Normal Tissue
25.147572
29.915394
25.947433
30.139074
23.999794
25.579008
25.73322
21.687435
23.381704
19.48943
Normal Tissue
25.12442
28.160284
26.391348
28.698662
23.861832
25.894358
25.019562
22.797483
24.849981
21.279922
Normal Tissue
25.168959
28.172321
26.27547
28.88341
23.809612
25.917023
25.077377
22.797483
24.912827
21.340395
Normal Tissue
24.945477
28.151648
26.342752
28.771185
23.83124
25.775446
24.965754
22.898338
24.913845
21.253801
Normal Tissue
25.52529
29.781294
27.48865
31.040272
26.214884
28.045912
26.86764
22.33636
24.231878
20.708403
Normal Tissue
25.584505
29.916864
27.55666
30.5423
26.247488
27.982859
26.79942
22.2766
24.3129
20.777203
Normal Tissue
25.59815
29.726492
27.51894
30.485056
26.1867
27.907703
26.619463
22.223423
24.164799
20.506758
Cancer Tissue
29.167198
32.94326
29.609064
32.870667
27.355808
28.982594
28.312487
27.091942
30.026484
24.951777
Cancer Tissue
29.2124
32.839798
29.622272
32.366245
27.4469
29.264421
28.402538
27.05272
29.78292
24.978256
Cancer Tissue
29.181065
32.776802
29.794664
32.457645
27.460876
29.30861
28.533186
27.19463
29.934828
24.989716
Cancer Tissue
31.93043
37.249557
33.917767
36.742996
31.921152
36.238987
32.193905
22.636938
24.21444
20.300858
Cancer Tissue
32.89549
37.007244
35.36475
36.742996
32.133347
34.366913
32.565754
22.625507
24.082321
20.273832
Cancer Tissue
31.992569
35.329296
34.204224
35.86203
32.19985
34.95762
32.270382
22.641762
23.976185
20.300154
Cancer Tissue
26.0917
30.752289
26.907404
30.533802
25.367685
26.26222
26.969246
21.09755
22.45809
19.597858
Cancer Tissue
26.323101
30.503956
26.897982
30.315561
25.224253
26.24726
26.89805
21.054913
22.495985
19.55419
Cancer Tissue
24.388908
29.344852
26.363384
29.217674
24.98082
26.121204
25.94559
21.044136
22.57583
19.532415
Cancer Tissue
24.497084
29.551823
26.256807
29.38609
25.265318
25.956783
25.7713
21.148397
22.657152
19.893276
Cancer Tissue
24.481285
29.316376
26.304428
29.286608
25.269724
26.043455
25.807487
21.152412
22.608946
19.778872
Cancer Tissue
26.159094
30.334768
26.397358
28.697304
25.993107
27.349463
26.222569
21.150139
22.45929
19.908897
Cancer Tissue
26.212769
30.220987
26.75002
28.886946
25.948936
27.909105
26.155529
22.343924
24.323378
19.399368
Cancer Tissue
26.151516
30.183752
26.427574
28.871786
25.835844
27.36477
26.266312
22.230673
24.356833
19.487078
Dataset 6.Cq Values for PKC coding genes and reference genes in normal and colon cancer tissue.
The three Cq values for each PKC coding gene and the appropriate reference genes is displayed for the normal and colon cancer tissue.
Dilution Factor
Cq Value
Average Cq Value
10
21.453447
21.529772
21.615067
21.520802
1
24.033415
23.90450733
23.832119
23.847988
0.1
27.253004
27.26691967
27.365187
27.182568
0.01
31.277872
31.537185
32.356636
30.977047
0.001
34.58107
34.429821
Dataset 7.Cq values for sample assay efficiency test.
The Cq values obtained when HT29 cDNA was serial diluted and the gene PRKCA was amplified.
Sample Type
Cq Value
No sample
25.21
2D HCT116
25.2
3D HCT116
25.25
2D HT29
25.21
3D HT29
25.15
Normal Tissue Sample
25.2
Dataset 8.Cq values for inhibition assay test.
The Cq values obtained for the corn assay when each of the sample types indicated are added to the RT-qPCR.
Comparison of reference genes in HCT116 2-dimensional and 3-dimensional cultures
In this study, we wanted to compare and validate the stability of reference genes used in quantitative real time PCR (RT-qPCR). To do this, HCT116 cells were grown in 2-dimensional and 3-dimensional cultures (Figure 1A). Following this, RNA was extracted from the cultures and cDNA was synthesised. Quantitative real time PCR was utilised to measure the variability in RNA transcript levels of 9 reference genes (RG) (Table 1) in the 2-dimensional and 3-dimensional cultures. The expression levels of the candidate reference genes were determined using the raw Cq values and NormFinder was then utilised to verify the stability of the genes. Normfinder ranks the RGs according to their stability values under the tested conditions. The top three stable genes when comparing 2-Dimensional and 3-dimensional HCT116 cultures were B2M, PMM1 and RPLPO, with B2M and PMM1 showing identical stability levels (Figure 1B, Dataset 1). Next, we wanted to elucidate the benefit of normalising data to more than one RG. To do this, we compared the expression of seven PKC coding genes in 3-Dimensional HCT116 cultures compared to 2-dimensional HCT116 cultures. The data was normalised to either one RG, B2M, or normalised to three RGs, B2M, PMM1 and RPLPO (Figure 1C, Dataset 2). Results indicate that using one RG gives fold changes that are greater than the fold changes obtained using three RGs.
Figure 1. Reference genes in 2-dimensional and 3-dimensional HCT116 cultures.
The stability of the nine candidate reference genes between 2D and 3D HCT116 cultures was analysed using NormFinder. (A) Immunofluorescence images of HCT116 cells in 2D (100X) (left panel) and 3D (right panel) cell cultures (63X). (B) Table displaying the stability levels of the nine candidate reference genes between the 2D and 3D cultures. (C) Graph representing the fold change of PKC coding genes in 3D cultures compared to 2D cultures when using one reference gene (B2M) versus three reference genes (B2M, PMM1 and RPLPO).
Comparison of reference genes in HT29 2-dimensional and 3-dimensional cultures
Next, we compared the stability of the same 9 candidate reference genes in HT29 cultures. The cells were grown in 2-dimensional and 3-dimensional cultures (Figure 2A) before using RT-qPCR to determine the stability of the RGs between the two conditions. Normfinder revealed the most stable RGs were PMM1, HRPTI, PP1A and TBP (Figure 2B, Dataset 3) with PMM1 and HRPTI having a value of 0.001 and PP1A and TBP having a value of 0.002. Again, we examined the expression of the PKC coding genes in the cultures and normalised the data to one RG, PMM1, or three RGs, PMM1, HRPTI and PP1A (Figure 2C, Dataset 4). Our results indicate that there is variation in the fold changes obtained when using one RG versus three RGs. In some instances, genes that are found to be down-regulated when normalising with one RG are in fact up-regulated when normalising with three RGs.
Figure 2. Reference genes in 2-dimensional and 3-dimensional HT29 cultures.
The stability of the nine candidate reference genes between 2D and 3D HT29 cultures was analysed using NormFinder. (A) Immunofluorescence images of HT29 cells in 2D (100X) (left panel) and 3D (right panel) cell cultures (63X). (B) Table displaying the stability levels of the nine candidate reference genes between the 2D and 3D cultures. (C) Graph representing the fold change of PKC coding genes in 3D cultures compared to 2D cultures when using one reference gene (PMM1) versus three reference genes (PMM1, HRPT1 and PP1A).
Comparison of reference genes in normal colon tissue versus colon cancer tissue
Following this, we wanted to examine the stability of the nine candidate RGs in normal and colon cancer tissue. We used fresh tissue samples that were excised from both the cancer tissue and normal distant tissue of individual patients (Figure 3A). As above, the expression levels of the nine candidate RGs were determined and Normfinder was used to establish the stability of the genes. PGK1, GUSB and PP1A were ranked as the most stable genes between normal and cancerous tissue (Figure 3B, Dataset 5). Next, we examined the change in PKC coding genes in colon cancer tissue when the data was normalised to one RG, PGK1, and normalised to three RGs, PGK1, GUSB and PP1A (Figure 3C, Dataset 6). The results demonstrate that using one RG can present fold changes that are up to 2-fold greater than when using three RGs.
Figure 3. Reference genes in normal and colon cancer tissue.
The stability of the nine candidate reference genes between normal and cancer tissue was analysed using NormFinder. (A) Surgical image of specimen resected from a colon cancer patient. (B) Table displaying the stability levels of the nine candidate reference genes between the normal and cancer tissue. (C) Graph representing the fold change of PKC coding genes in cancer tissue compared to normal tissue (n=21) when using one reference gene (PGK1) versus three reference genes (PGK1, GUSB and PP1A).
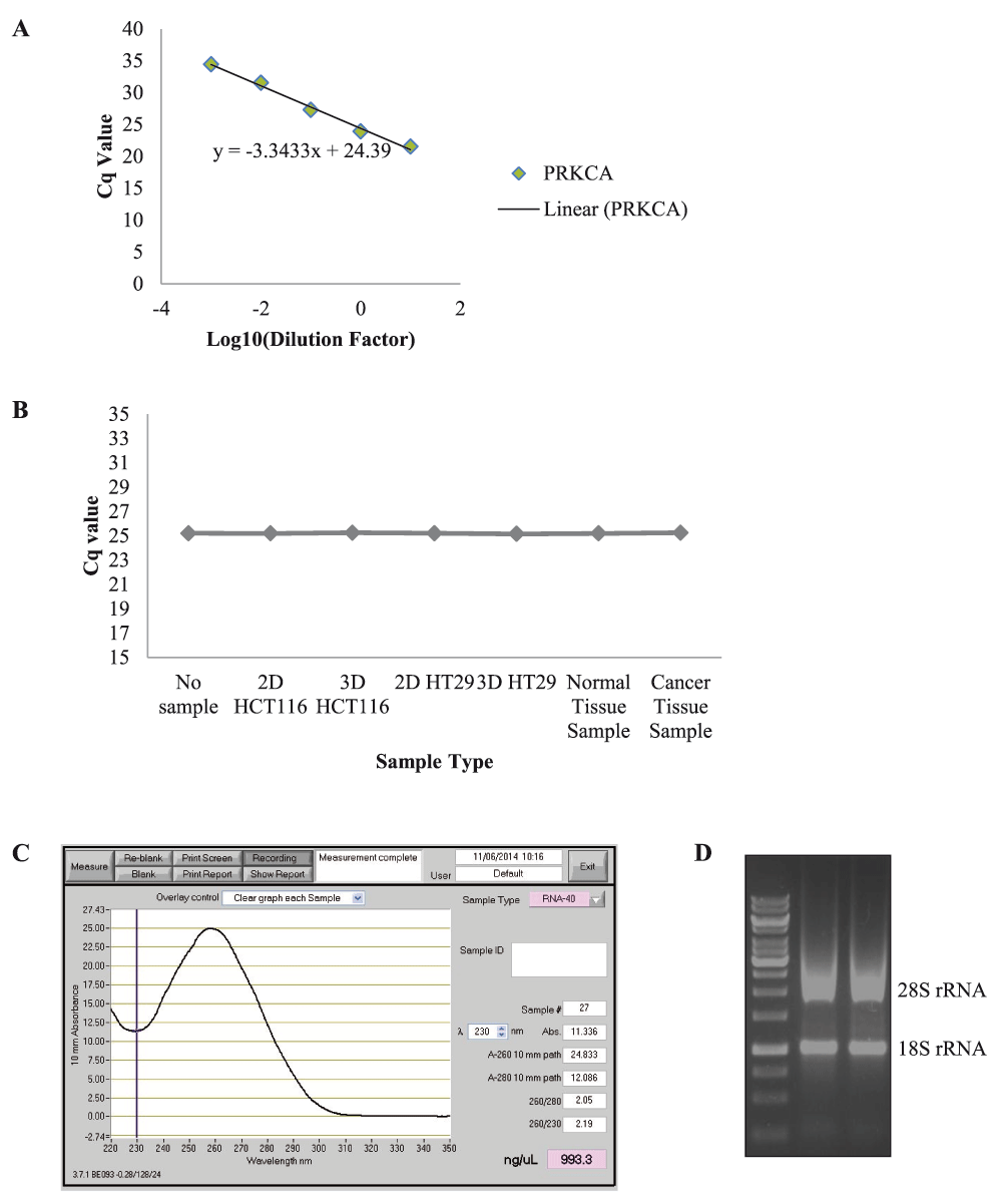
Figure 4. Considerations to comply with during RT-qPCR.
(A) Representative graph of assay efficiency check. (B) Graph representing the inhibition test for all biological samples. (C) Representative graph from Nanodrop Spectrophotometer displaying the quantity and purity of the RNA. (D) Representative image of agarose gel displaying the 28S:18S ribosomal RNA ratio for RNA samples.
Discussion
The first publications using fluorescence-based quantitative real time PCR (RT-qPCR)27–30 emerged almost a decade ago and since this time it has become the leading technique for gene expression analysis31,32. While RT-qPCR remains the most sensitive method for the detection of RNA transcripts33 there are also many challenges associated with the technique34,35. One of the major difficulties is the selection of appropriate reference genes for the normalisation of data. Hence the purpose of this study was to evaluate the stability in expression of nine candidate reference genes in two colon cancer cell lines as well as in normal and cancerous tissue from colon cancer patients. To help find the most suitable reference genes we selected genes which display a variation of functions within cells (Table 1).
Firstly, we examined the stability of the nine candidate reference genes between 2-dimensional and 3-dimensional HCT116 and HT29 cultures (Figure 1A, Figure 2A). The use of 3-dimensional cell cultures as cancer models is becoming increasingly popular36–38; making the availability of appropriate reference genes important to help reduce the reporting of misinformation. When we examined the variation in expression between 2-dimensional and 3-dimensional HCT116 cells we found B2M, RPLPO and PMM1 to be the most stable genes between these two conditions (Figure 1B). Many publications have highlighted the problems associated with normalisation of data using only one reference gene22,23, for this reason we wanted to investigate differences in fold changes associated with normalising data to one reference gene compared to three reference genes. To do this, we investigated the change in expression in a selection of protein kinase c (PKC) coding genes between 2-dimensional and 3-dimensional HCT116 cultures. We examined PKCs as they are a group of proteins that are extensively studied for their role in oncogenic signalling39. Interestingly, when normalising the data to the reference gene B2M alone we found the change in expression of PKC coding genes was greater compared to normalisation with the reference genes, B2M, RPLPO and PMM1 together (Figure 1C). This finding highlights the need for normalisation with more than one reference gene to help eliminate the misinterpretation of fold changes in target genes.
Next we wanted to establish the stability of these reference genes in 2-dimensional and 3-dimensional HT29 cultures (Figure 2A). Normfinder ranked PMM1, HRPTI, PP1A and TBP as the most stable genes between these cultures (Figure 2B). It is important to note that despite the fact the treatments here were the same; there was a difference in the selected reference genes for HCT116 and HT29 cultures. This again emphasises the need to conduct stability tests on a panel of reference genes prior to all RT-qPCR studies to ensure data is normalised correctly. Again, we examined the difference in fold changes of PKC coding genes when normalising with varying numbers of reference genes. Importantly, we found that some target genes showing a down regulation when normalised with PMM1 showed no change when normalised to PMM1, HRPT1 and PP1A (Figure 2C).
RT-qPCR is the most common method used for the quantification of individual genetic differences in normal versus cancerous tissue9,34. Recent publications demonstrated that 97% of RT-qPCR studies contained on colorectal cancer contained information that was unreliable21. Thus, when examining difference in mRNA levels between normal and diseased tissue it is imperative the correct reference genes are used to normalise the data to prevent the presence of misleading information in the literature. Using normal and cancer tissue from CRC patients (Figure 3A) we examined the stability of the nine candidate reference genes, finding PGK1, GUSB and PP1A to be the most stably expressed (Figure 3B). As before, we compared the expression of PKC coding genes in normal and cancer tissue with the data normalised to either PGK1 alone or PGK1, GUSB and PP1A together. Strikingly we found that using only one reference gene results in a fold change that is up to 2 fold greater than when using three reference genes. This is a very important observation as it clearly displays that the misuse of reference genes could lead to the incorrect reporting of a dysregulated genes in cancerous tissue.
Although the selection of the correct reference genes is a key challenge when conducting RT-qPCR studies there are other aspects of experimental design that also need to be considered10. In this study, we highlighted appropriate tests to comply with necessary measures for RT-qPCR studies (Table 2). When utilising relative quantification it is essential that the gene assay of the reference gene and the target gene are amplified with comparable efficiencies34. For this reason, we examined the efficiency of all gene assays using a calibration curve (Figure 4A) and we used this value when evaluating the fold change between conditions. Another important consideration in experimental design is establishing the presence or absence of biological contaminants in samples which may inhibit the RT-qPCR reaction40. We designed an inhibition assay test and displayed that there was no inhibitors present in any of the samples (Figure 4B). Finally, the documenting of the quality assessment of RNA templates is critical within RT-qPCR studies as it has been observed that there is a difference in gene expression stability between intact and degraded RNA samples from the same tissue and higher gene-specific variation in degraded samples34,41. In this study, we documented the RNA purity by the ratio of absorbance at 260/280 nm and RNA quality through visualization of the 28S:18S ribosomal RNA ratio on a 1% agarose gel (Figure 4C,D).
Table 2. Checklist of tests to conduct when designing RT-qPCR studies.
Checklist
Suggested Test
Correct reference genes
Test a panel of candidate reference genes using Normfinder
Efficiency of primer assays
Conduct a calibration curve and use the slope of the graph to calculate PCR efficiency with the following equation: 10-1/slope-1
Inhibition within samples
Add samples to a standard RT-qPCR reaction and look for changes in the Cq values
RNA purity
Measure the ratio of absorbance at 260/280 nm
RNA integrity
Visualization of the 28S:18S ribosomal RNA ratio on a 1% agarose gel
Our data clearly demonstrates that the variability in the expression of reference genes can lead to false interpretation of results; making the selection of the correct genes essential when normalizing RNA concentrations in RT-qPCR analyses. Further to this we have demonstrated appropriate tests to create studies which comply with the MIQE guidelines. The implementation of these guidelines10,42 should be employed by all reviewers when accepting gene expression studies for publication as it will help eliminate the reporting of inaccurate and misleading information.
Written informed consent for publication of their clinical details and clinical images was obtained from the patients.
(Ethical approval number 73/11, University Hospital Limerick, Limerick, Ireland).
Author contributions
CMD conducted experimental work and writing of the manuscript. DW provided surgical images of colon tissue. JCC provided normal and colon cancer tissue. PAK reviewed experimental design and writing of manuscript.
Competing interests
The authors declare there is no conflict of interest.
Grant information
This work was supported by grants received from the Irish Cancer Society Grant CRS12DOW (to CD), the Mid-Western Cancer Foundation and funding from Science Foundation Ireland grant 13/CDA/2228 (to PK).
Acknowledgments
We are grateful to our colleagues in the Laboratory of Cellular and Molecular Biology for helpful discussions and critical review.
Faculty Opinions recommended
References
1.
Kubista M, Andrade JM, Bengtsson M, et al.:
The real-time polymerase chain reaction.
Mol Aspects Med.
2006; 27(2–3): 95–125. PubMed Abstract
| Publisher Full Text
2.
Ramachandran C, Melnick SJ:
Multidrug resistance in human tumors—molecular diagnosis and clinical significance.
Mol Diagn.
1999; 4(2): 81–94. PubMed Abstract
| Publisher Full Text
3.
Bustin S, Dorudi S:
Molecular assessment of tumour stage and disease recurrence using PCR-based assays.
Mol Med Today.
1998; 4(9): 389–396. PubMed Abstract
| Publisher Full Text
4.
Calon A, Lonardo E, Berenguer-Llergo A, et al.:
Stromal gene expression defines poor-prognosis subtypes in colorectal cancer.
Nat Genet.
2015; 47(4): 320–9. PubMed Abstract
| Publisher Full Text
5.
Weis JH, Tan SS, Martin BK, et al.:
Detection of rare mRNAs via quantitative RT-PCR.
Trends Genet.
1992; 8(8): 263–264. PubMed Abstract
| Publisher Full Text
7.
Parker RM, Barnes NM:
mRNA: detection by in situ and northern hybridization.
Methods Mol Biol.
In Receptor Binding Techniques, Springer. 1999; 106: 247–283. PubMed Abstract
| Publisher Full Text
9.
Rubie C, Kempf K, Hans J, et al.:
Housekeeping gene variability in normal and cancerous colorectal, pancreatic, esophageal, gastric and hepatic tissues.
Mol Cell Probes.
2005; 19(2): 101–109. PubMed Abstract
| Publisher Full Text
10.
Bustin SA, Benes V, Garson JA, et al.:
The MIQE guidelines: Minimum Information for Publication of Quantitative Real-Time PCR Experiments.
Clin Chem.
2009; 55(4): 611–622. PubMed Abstract
| Publisher Full Text
11.
Wang T, Brown MJ:
mRNA quantification by real time TaqMan polymerase chain reaction: validation and comparison with RNase protection.
Anal Biochem.
1999; 269(1): 198–201. PubMed Abstract
| Publisher Full Text
12.
Livak KJ, Schmittgen TD:
Analysis of relative gene expression data using real-time quantitative PCR and the 2(-Delta Delta C(T)) method.
Methods.
2001; 25(4): 402–408. PubMed Abstract
| Publisher Full Text
14.
Radonić A, Thulke S, Mackay IM, et al.:
Guideline to reference gene selection for quantitative real-time PCR.
Biochem Biophys Res Commun.
2004; 313(4): 856–862. PubMed Abstract
| Publisher Full Text
15.
Glare EM, Divjak M, Bailey MJ, et al.:
beta-Actin and GAPDH housekeeping gene expression in asthmatic airways is variable and not suitable for normalising mRNA levels.
Thorax.
2002; 57(9): 765–770. PubMed Abstract
| Publisher Full Text
| Free Full Text
16.
Zhong H, Simons JW:
Direct comparison of GAPDH, beta-actin, cyclophilin, and 28S rRNA as internal standards for quantifying RNA levels under hypoxia.
Biochem Biophys Res Commun.
1999; 259(3): 523–526. PubMed Abstract
| Publisher Full Text
17.
Deindl E, Boengler K, van Royen N, et al.:
Differential expression of GAPDH and beta3-actin in growing collateral arteries.
Mol Cell Biochem.
2002; 236(1–2): 139–146. PubMed Abstract
18.
Hamalainen HK, Tubman JC, Vikman S, et al.:
Identification and validation of endogenous reference genes for expression profiling of T helper cell differentiation by quantitative real-time RT-PCR.
Anal Biochem.
2001; 299(1): 63–70. PubMed Abstract
| Publisher Full Text
19.
Gutierrez L, Mauriat M, Guénin S, et al.:
The lack of a systematic validation of reference genes: a serious pitfall undervalued in reverse transcription-polymerase chain reaction (RT-PCR) analysis in plants.
Plant Biotechnol J.
2008; 6(6): 609–618. PubMed Abstract
| Publisher Full Text
20.
Wu YY, Rees JL:
Variation in epidermal housekeeping gene expression in different pathological states.
Acta Derm Venereol.
2000; 80(1): 2–3. PubMed Abstract
| Publisher Full Text
21.
Dijkstra JR, van Kempen LC, Nagtegaal ID, et al.:
Critical appraisal of quantitative PCR results in colorectal cancer research: can we rely on published qPCR results?
Mol Oncol.
2014; 8(4): 813–818. PubMed Abstract
| Publisher Full Text
22.
Suzuki T, Higgins PJ, Crawford DR:
Control selection for RNA quantitation.
Biotechniques.
2000; 29(2): 332–337. PubMed Abstract
23.
Tong Z, Gao Z, Wang F, et al.:
Selection of reliable reference genes for gene expression studies in peach using real-time PCR.
BMC Mol Biol.
2009; 10(1): 71. PubMed Abstract
| Publisher Full Text
| Free Full Text
24.
Derveaux S, Vandesompele J, Hellemans J:
How to do successful gene expression analysis using real-time PCR.
Methods.
2010; 50(4): 227–230. PubMed Abstract
| Publisher Full Text
25.
Tricarico C, Pinzani P, Bianchi S, et al.:
Quantitative real-time reverse transcription polymerase chain reaction: normalization to rRNA or single housekeeping genes is inappropriate for human tissue biopsies.
Anal Biochem.
2002; 309(2): 293–300. PubMed Abstract
| Publisher Full Text
26.
Vandesompele J, De Preter K, Pattyn F, et al.:
Accurate normalization of real-time quantitative RT-PCR data by geometric averaging of multiple internal control genes.
Genome Biol.
2002; 3(7): RESEARCH0034. PubMed Abstract
| Publisher Full Text
| Free Full Text
27.
Chiang PW, Song WJ, Wu KY, et al.:
Use of a fluorescent-PCR reaction to detect genomic sequence copy number and transcriptional abundance.
Genome Res.
1996; 6(10): 1013–1026. PubMed Abstract
| Publisher Full Text
28.
Gibson UE, Heid CA, Williams PM:
A novel method for real time quantitative RT-PCR.
Genome Res.
1996; 6(10): 995–1001. PubMed Abstract
| Publisher Full Text
30.
Higuchi R, Fockler C, Dollinger G, et al.:
Kinetic PCR analysis: real-time monitoring of DNA amplification reactions.
Biotechnology (N Y).
1993; 11(9): 1026–1030. PubMed Abstract
| Publisher Full Text
31.
VanGuilder HD, Vrana KE, Freeman WM:
Twenty-five years of quantitative PCR for gene expression analysis.
Biotechniques.
2008; 44(5): 619–26. PubMed Abstract
| Publisher Full Text
32.
Bustin SA:
Absolute quantification of mRNA using real-time reverse transcription polymerase chain reaction assays.
J Mol Endocrinol.
2000; 25(2): 169–193. PubMed Abstract
| Publisher Full Text
33.
Nolan T, Hands RE, Bustin SA:
Quantification of mRNA using real-time RT-PCR.
Nat Protoc.
2006; 1(3): 1559–1582. PubMed Abstract
| Publisher Full Text
34.
Bustin SA:
Quantification of mRNA using real-time reverse transcription PCR (RT-PCR): trends and problems.
J Mol Endocrinol.
2002; 29(1): 23–39. PubMed Abstract
| Publisher Full Text
35.
Bustin SA, Nolan T:
Pitfalls of quantitative real-time reverse-transcription polymerase chain reaction.
J Biomol Tech.
2004; 15(3): 155–66. PubMed Abstract
| Free Full Text
36.
Debnath J, Brugge JS:
Modelling glandular epithelial cancers in three-dimensional cultures.
Nat Rev Cancer.
2005; 5(9): 675–688. PubMed Abstract
| Publisher Full Text
37.
Mullins SR, Sameni M, Blum G, et al.:
Three-dimensional cultures modeling premalignant progression of human breast epithelial cells: role of cysteine cathepsins.
Biol Chem.
2012; 393(12): 1405–1416. PubMed Abstract
| Publisher Full Text
| Free Full Text
38.
Deevi RK, Cox OT, O'Connor R:
Essential function for PDLIM2 in cell polarization in three-dimensional cultures by feedback regulation of the β1-integrin-RhoA signaling axis.
Neoplasia.
2014; 16(5): 422–431. PubMed Abstract
| Publisher Full Text
| Free Full Text
40.
Taylor S, Wakem M, Dijkman G, et al.:
A practical approach to RT-qPCR-Publishing data that conform to the MIQE guidelines.
Methods.
2010; 50(4): S1–S5. PubMed Abstract
| Publisher Full Text
41.
Fleige S, Pfaffl MW:
RNA integrity and the effect on the real-time qRT-PCR performance.
Mol Aspects Med.
2006; 27(2–3): 126–139. PubMed Abstract
| Publisher Full Text
42.
Bustin SA, Beaulieu JF, Huggett J, et al.:
MIQE précis: Practical implementation of minimum standard guidelines for fluorescence-based quantitative real-time PCR experiments.
BMC Mol Biol.
2010; 11(1): 74. PubMed Abstract
| Publisher Full Text
| Free Full Text
43.
Dowling CM, Walsh D, Coffey JC, et al.:
Dataset 1 in: The importance of selecting the appropriate reference genes for quantitative real time PCR as illustrated using colon cancer cells and tissue.
F1000Research.
2016. Data Source
44.
Dowling CM, Walsh D, Coffey JC, et al.:
Dataset 2 in: The importance of selecting the appropriate reference genes for quantitative real time PCR as illustrated using colon cancer cells and tissue.
F1000Research.
2016. Data Source
45.
Dowling CM, Walsh D, Coffey JC, et al.:
Dataset 3 in: The importance of selecting the appropriate reference genes for quantitative real time PCR as illustrated using colon cancer cells and tissue.
F1000Research.
2016. Data Source
46.
Dowling CM, Walsh D, Coffey JC, et al.:
Dataset 4 in: The importance of selecting the appropriate reference genes for quantitative real time PCR as illustrated using colon cancer cells and tissue.
F1000Research.
2016. Data Source
47.
Dowling CM, Walsh D, Coffey JC, et al.:
Dataset 5 in: The importance of selecting the appropriate reference genes for quantitative real time PCR as illustrated using colon cancer cells and tissue.
F1000Research.
2016. Data Source
48.
Dowling CM, Walsh D, Coffey JC, et al.:
Dataset 6 in: The importance of selecting the appropriate reference genes for quantitative real time PCR as illustrated using colon cancer cells and tissue.
F1000Research.
2016. Data Source
49.
Dowling CM, Walsh D, Coffey JC, et al.:
Dataset 7 in: The importance of selecting the appropriate reference genes for quantitative real time PCR as illustrated using colon cancer cells and tissue.
F1000Research.
2016. Data Source
50.
Dowling CM, Walsh D, Coffey JC, et al.:
Dataset 8 in: The importance of selecting the appropriate reference genes for quantitative real time PCR as illustrated using colon cancer cells and tissue.
F1000Research.
2016. Data Source
1
Department of Life Sciences, and Materials and Surface Science Institute, University of Limerick, Limerick, Ireland 2
Health Research Institute, University of Limerick, Limerick, Ireland 3
Graduate Entry Medical School, University of Limerick, Limerick, Ireland 4
4i Centre for Interventions in Infection, Inflammation and Immunity, Graduate Entry Medical School, University of Limerick, Limerick, Ireland
This work was supported by grants received from the Irish Cancer Society Grant CRS12DOW (to CD), the Mid-Western Cancer Foundation and funding from Science Foundation Ireland grant 13/CDA/2228 (to PK).
Dowling CM, Walsh D, Coffey JC and Kiely PA. The importance of selecting the appropriate reference genes for quantitative real time PCR as illustrated using colon cancer cells and tissue [version 1; peer review: 2 approved]. F1000Research 2016, 5:99 (https://doi.org/10.12688/f1000research.7656.1)
NOTE: If applicable, it is important to ensure the information in square brackets after the title is included in all citations of this article.
track
receive updates on this article
Track an article to receive email alerts on any updates to this article.
Share
Open Peer Review
Current Reviewer Status:
?
Key to Reviewer Statuses
VIEWHIDE
ApprovedThe paper is scientifically sound in its current form and only minor, if any, improvements are suggested
Approved with reservations
A number of small changes, sometimes more significant revisions are required to address specific details and improve the papers academic merit.
Not approvedFundamental flaws in the paper seriously undermine the findings and conclusions
Ayllón Cases V. Reviewer Report For: The importance of selecting the appropriate reference genes for quantitative real time PCR as illustrated using colon cancer cells and tissue [version 1; peer review: 2 approved]. F1000Research 2016, 5:99 (https://doi.org/10.5256/f1000research.8245.r12476)
NOTE: it is important to ensure the information in square brackets after the title is included in this citation.
Reviewer Report24 Feb 2016
Verónica Ayllón Cases,
Gene Regulation, Stem Cells and Development Group, Department of Genomic Oncology, Centre for Genomics and Oncological Research (Genyo), Pfizer-University of Granada-Regional Government of Andalusia, Granada, Spain
This article by Dowling et al. demonstrates the importance of choosing the right reference genes (RG) when performing RT-qPCR experiments. They have compared the effect of using a single RG versus three RGs on the gene expression values of the
... Continue reading
This article by Dowling et al. demonstrates the importance of choosing the right reference genes (RG) when performing RT-qPCR experiments. They have compared the effect of using a single RG versus three RGs on the gene expression values of the interrogated genes on a given experiment. They present data that confirms that using a single RG usually gives greater changes in gene expression than when using a panel of three RGs. As a consequence, many published studies that present RT-qPCR results based on a single RG may have over-estimated gene expression changes and generated misleading results.
As a conclusion of their work, they present a very useful checklist for any researchers that want to perform gene expression analysis using RT-qPCR, which includes all the steps to follow when designing RT-qPCR experiments.
When reviewing this work, there are several minor points that have raised my concern, although they don’t affect the main conclusions of the work. These minor points are:
It is not clear to me whether the three Cq values given on the data sets correspond to three independent experiments (biological replicates) or they are three values obtained from the same sample (experimental replicates).
In Figure 2C the authors have presented their data in a way that I consider it magnifies their results and it can be slightly misleading. The authors have plotted the fold changes in PKC genes using what is known as “Fold Regulation”, in which the values of Fold Change below 1 are plotted as negative values. When the data is plotted in this way, the area of the graph between +1 and -1 it simply doesn’t exist; the values will always “jump” from >+1 to <-1.
If the data presented in Figure 2C was plotted without making this conversion to Fold Regulation we will be able to appreciate more clearly that the expression of several PKC genes does not change much – the values will probably oscillate between 1.2 and 0.8.
My recommendation for the authors is to change the way the present their data in this case where the Fold Regulation data oscillates between positive and negatives values, but they are all very close to 1 (that is, there is only a limited variation in expression relative to the control sample of 2D cultures). I suggest two alternatives:
- Remove the gap between +1 and -1 in your Y axis.
- Present your data as Fold Change, without converting it to Fold Regulation.
As a final comment, also please put your gene names in a way that they don’t overlap with the bars, as it is very difficult to read them. This also applies to Figure 3C.
Regarding the assessment of RNA purity and integrity, the authors have used spectrophotometry and running an agarose gel, respectively. This is correct, but if we want to compare RNA integrity across samples it would be better to perform this type of analysis using a Bioanalyzer (Agilent Technologies). With this assay we will be able to obtain a more quantitative measurement of RNA integrity in the form of the RIN value. My suggestion to the authors is, if possible, to complement the data they already have with a Bioanalyzer analysis and the corresponding RIN data. In this way they will confirm that the simpler strategy that they propose is a valid one.
Competing Interests: No competing interests were disclosed.
I confirm that I have read this submission and believe that I have an appropriate level of expertise to confirm that it is of an acceptable scientific standard.
Ayllón Cases V. Reviewer Report For: The importance of selecting the appropriate reference genes for quantitative real time PCR as illustrated using colon cancer cells and tissue [version 1; peer review: 2 approved]. F1000Research 2016, 5:99 (https://doi.org/10.5256/f1000research.8245.r12476)
Catríona Dowling, Department of Life Sciences, and Materials and Surface Science Institute, University of Limerick, Limerick, Ireland
09 Mar 2016
Author Response
We thank the reviewer for the suggestions. We have adjusted the manuscript accordingly and we agree that it is better presented now.
The values given on the datasets corresponds to three
...
Continue readingWe thank the reviewer for the suggestions. We have adjusted the manuscript accordingly and we agree that it is better presented now.
The values given on the datasets corresponds to three independent experiments i.e three biological replicates. We have now written a note within each dataset to clear any ambiguity.
We are grateful to the reviewer for making the observation on Figure 2C. We have now updated the figure and removed the area between 1 and -1. We have also changed the layout in our graphs to ensure the gene names don’t overlap with the bars.
We agree with the reviewer, using a Bioanalyzer is the preferable method for looking at RNA integrity and purity. Unfortunately, it is not possible for us to complement our data with a Bioanalyzer analysis as we don’t have access to this piece of equipment. We used non-denaturing agarose gels and a nanospectrometer for our work. There are many Universities that do not have access to a Bioanalyzer and for this reason we wanted to offer this alternative approach to encourage all researchers to carry out integrity and purity tests in the absence of such equipment.
We thank the reviewer for the suggestions. We have adjusted the manuscript accordingly and we agree that it is better presented now.
The values given on the datasets corresponds to three independent experiments i.e three biological replicates. We have now written a note within each dataset to clear any ambiguity.
We are grateful to the reviewer for making the observation on Figure 2C. We have now updated the figure and removed the area between 1 and -1. We have also changed the layout in our graphs to ensure the gene names don’t overlap with the bars.
We agree with the reviewer, using a Bioanalyzer is the preferable method for looking at RNA integrity and purity. Unfortunately, it is not possible for us to complement our data with a Bioanalyzer analysis as we don’t have access to this piece of equipment. We used non-denaturing agarose gels and a nanospectrometer for our work. There are many Universities that do not have access to a Bioanalyzer and for this reason we wanted to offer this alternative approach to encourage all researchers to carry out integrity and purity tests in the absence of such equipment.
Catríona Dowling, Department of Life Sciences, and Materials and Surface Science Institute, University of Limerick, Limerick, Ireland
09 Mar 2016
Author Response
We thank the reviewer for the suggestions. We have adjusted the manuscript accordingly and we agree that it is better presented now.
The values given on the datasets corresponds to three
...
Continue readingWe thank the reviewer for the suggestions. We have adjusted the manuscript accordingly and we agree that it is better presented now.
The values given on the datasets corresponds to three independent experiments i.e three biological replicates. We have now written a note within each dataset to clear any ambiguity.
We are grateful to the reviewer for making the observation on Figure 2C. We have now updated the figure and removed the area between 1 and -1. We have also changed the layout in our graphs to ensure the gene names don’t overlap with the bars.
We agree with the reviewer, using a Bioanalyzer is the preferable method for looking at RNA integrity and purity. Unfortunately, it is not possible for us to complement our data with a Bioanalyzer analysis as we don’t have access to this piece of equipment.
We used non-denaturing agarose gels and a nanospectrometer for our work. There are many Universities that do not have access to a Bioanalyzer and for this reason we wanted to offer this alternative approach to encourage all researchers to carry out integrity and purity tests in the absence of such equipment.
We thank the reviewer for the suggestions. We have adjusted the manuscript accordingly and we agree that it is better presented now.
The values given on the datasets corresponds to three independent experiments i.e three biological replicates. We have now written a note within each dataset to clear any ambiguity.
We are grateful to the reviewer for making the observation on Figure 2C. We have now updated the figure and removed the area between 1 and -1. We have also changed the layout in our graphs to ensure the gene names don’t overlap with the bars.
We agree with the reviewer, using a Bioanalyzer is the preferable method for looking at RNA integrity and purity. Unfortunately, it is not possible for us to complement our data with a Bioanalyzer analysis as we don’t have access to this piece of equipment.
We used non-denaturing agarose gels and a nanospectrometer for our work. There are many Universities that do not have access to a Bioanalyzer and for this reason we wanted to offer this alternative approach to encourage all researchers to carry out integrity and purity tests in the absence of such equipment.
Catríona Dowling, Department of Life Sciences, and Materials and Surface Science Institute, University of Limerick, Limerick, Ireland
09 Mar 2016
Author Response
We thank the reviewer for the suggestions. We have adjusted the manuscript accordingly and we agree that it is better presented now.
The values given on the datasets corresponds to three
...
Continue readingWe thank the reviewer for the suggestions. We have adjusted the manuscript accordingly and we agree that it is better presented now.
The values given on the datasets corresponds to three independent experiments i.e three biological replicates. We have now written a note within each dataset to clear any ambiguity.
We are grateful to the reviewer for making the observation on Figure 2C. We have now updated the figure and removed the area between 1 and -1. We have also changed the layout in our graphs to ensure the gene names don’t overlap with the bars.
We agree with the reviewer, using a Bioanalyzer is the preferable method for looking at RNA integrity and purity. Unfortunately, it is not possible for us to complement our data with a Bioanalyzer analysis as we don’t have access to this piece of equipment. We used non-denaturing agarose gels and a nanospectrometer for our work. There are many Universities that do not have access to a Bioanalyzer and for this reason we wanted to offer this alternative approach to encourage all researchers to carry out integrity and purity tests in the absence of such equipment.
We thank the reviewer for the suggestions. We have adjusted the manuscript accordingly and we agree that it is better presented now.
The values given on the datasets corresponds to three independent experiments i.e three biological replicates. We have now written a note within each dataset to clear any ambiguity.
We are grateful to the reviewer for making the observation on Figure 2C. We have now updated the figure and removed the area between 1 and -1. We have also changed the layout in our graphs to ensure the gene names don’t overlap with the bars.
We agree with the reviewer, using a Bioanalyzer is the preferable method for looking at RNA integrity and purity. Unfortunately, it is not possible for us to complement our data with a Bioanalyzer analysis as we don’t have access to this piece of equipment. We used non-denaturing agarose gels and a nanospectrometer for our work. There are many Universities that do not have access to a Bioanalyzer and for this reason we wanted to offer this alternative approach to encourage all researchers to carry out integrity and purity tests in the absence of such equipment.
Catríona Dowling, Department of Life Sciences, and Materials and Surface Science Institute, University of Limerick, Limerick, Ireland
09 Mar 2016
Author Response
We thank the reviewer for the suggestions. We have adjusted the manuscript accordingly and we agree that it is better presented now.
The values given on the datasets corresponds to three
...
Continue readingWe thank the reviewer for the suggestions. We have adjusted the manuscript accordingly and we agree that it is better presented now.
The values given on the datasets corresponds to three independent experiments i.e three biological replicates. We have now written a note within each dataset to clear any ambiguity.
We are grateful to the reviewer for making the observation on Figure 2C. We have now updated the figure and removed the area between 1 and -1. We have also changed the layout in our graphs to ensure the gene names don’t overlap with the bars.
We agree with the reviewer, using a Bioanalyzer is the preferable method for looking at RNA integrity and purity. Unfortunately, it is not possible for us to complement our data with a Bioanalyzer analysis as we don’t have access to this piece of equipment.
We used non-denaturing agarose gels and a nanospectrometer for our work. There are many Universities that do not have access to a Bioanalyzer and for this reason we wanted to offer this alternative approach to encourage all researchers to carry out integrity and purity tests in the absence of such equipment.
We thank the reviewer for the suggestions. We have adjusted the manuscript accordingly and we agree that it is better presented now.
The values given on the datasets corresponds to three independent experiments i.e three biological replicates. We have now written a note within each dataset to clear any ambiguity.
We are grateful to the reviewer for making the observation on Figure 2C. We have now updated the figure and removed the area between 1 and -1. We have also changed the layout in our graphs to ensure the gene names don’t overlap with the bars.
We agree with the reviewer, using a Bioanalyzer is the preferable method for looking at RNA integrity and purity. Unfortunately, it is not possible for us to complement our data with a Bioanalyzer analysis as we don’t have access to this piece of equipment.
We used non-denaturing agarose gels and a nanospectrometer for our work. There are many Universities that do not have access to a Bioanalyzer and for this reason we wanted to offer this alternative approach to encourage all researchers to carry out integrity and purity tests in the absence of such equipment.
Loughran G. Reviewer Report For: The importance of selecting the appropriate reference genes for quantitative real time PCR as illustrated using colon cancer cells and tissue [version 1; peer review: 2 approved]. F1000Research 2016, 5:99 (https://doi.org/10.5256/f1000research.8245.r12053)
Dowling et al. reinforce the necessity of using more than one reference gene (RG) for qRT-PCR. They show that not only should more than one RG be used for normalisation but that a panel of RGs should be tested at
... Continue reading
Dowling et al. reinforce the necessity of using more than one reference gene (RG) for qRT-PCR. They show that not only should more than one RG be used for normalisation but that a panel of RGs should be tested at an early stage to identify the most stable group. They demonstrate clearly how perilous choosing a single inappropriate RG can produce anomalous data.
While this study was well designed and well performed there are some omissions that would enhance the report by facilitating repetition by others. It would be nice to see a table listing the primer sequences used, expected amplicon size and whether any particular primer pairs are intron spanning. This would be especially useful for the RGs.
One other minor point. Presumably testing the integrity of RNA on a 1% agarose gel was under denaturing conditions (e.g. formaldehyde)?
Competing Interests: No competing interests were disclosed.
I confirm that I have read this submission and believe that I have an appropriate level of expertise to confirm that it is of an acceptable scientific standard.
Loughran G. Reviewer Report For: The importance of selecting the appropriate reference genes for quantitative real time PCR as illustrated using colon cancer cells and tissue [version 1; peer review: 2 approved]. F1000Research 2016, 5:99 (https://doi.org/10.5256/f1000research.8245.r12053)
Catríona Dowling, Department of Life Sciences, and Materials and Surface Science Institute, University of Limerick, Limerick, Ireland
05 Feb 2016
Author Response
We thank the reviewer for the suggestion.
The sequences of the primers and probes we used in our assays are pre-designed and are the proprietary of Life Technologies who are unable
...
Continue readingWe thank the reviewer for the suggestion.
The sequences of the primers and probes we used in our assays are pre-designed and are the proprietary of Life Technologies who are unable to release this information to us. However, as stated within the MIQE guidelines, it is acceptable to use the unique assay ID for each TaqMan assay in place of the primer and probe sequences. We are grateful to the reviewer for the suggestion to include such information and we will include a table which displays assay ID, exon boundary and amplicon size for all reference genes.
The agarose gels that we ran were non-denaturing gels. We will add this in to the text and to avoid any confusion.
We thank the reviewer for the suggestion.
The sequences of the primers and probes we used in our assays are pre-designed and are the proprietary of Life Technologies who are unable to release this information to us. However, as stated within the MIQE guidelines, it is acceptable to use the unique assay ID for each TaqMan assay in place of the primer and probe sequences. We are grateful to the reviewer for the suggestion to include such information and we will include a table which displays assay ID, exon boundary and amplicon size for all reference genes.
The agarose gels that we ran were non-denaturing gels. We will add this in to the text and to avoid any confusion.
Catríona Dowling, Department of Life Sciences, and Materials and Surface Science Institute, University of Limerick, Limerick, Ireland
05 Feb 2016
Author Response
We thank the reviewer for the suggestion.
The sequences of the primers and probes we used in our assays are pre-designed and are the proprietary of Life Technologies who are unable
...
Continue readingWe thank the reviewer for the suggestion.
The sequences of the primers and probes we used in our assays are pre-designed and are the proprietary of Life Technologies who are unable to release this information to us. However, as stated within the MIQE guidelines, it is acceptable to use the unique assay ID for each TaqMan assay in place of the primer and probe sequences. We are grateful to the reviewer for the suggestion to include such information and we will include a table which displays assay ID, exon boundary and amplicon size for all reference genes.
The agarose gels that we ran were non-denaturing gels. We will add this in to the text and to avoid any confusion.
We thank the reviewer for the suggestion.
The sequences of the primers and probes we used in our assays are pre-designed and are the proprietary of Life Technologies who are unable to release this information to us. However, as stated within the MIQE guidelines, it is acceptable to use the unique assay ID for each TaqMan assay in place of the primer and probe sequences. We are grateful to the reviewer for the suggestion to include such information and we will include a table which displays assay ID, exon boundary and amplicon size for all reference genes.
The agarose gels that we ran were non-denaturing gels. We will add this in to the text and to avoid any confusion.
Alongside their report, reviewers assign a status to the article:
Approved - the paper is scientifically sound in its current form and only minor, if any, improvements are suggested
Approved with reservations -
A number of small changes, sometimes more significant revisions are required to address specific details and improve the papers academic merit.
Not approved - fundamental flaws in the paper seriously undermine the findings and conclusions
Spreadsheet data files may not format correctly if your computer is using different default delimiters (symbols used to separate values into separate cells) - a spreadsheet created in one region is sometimes misinterpreted by computers in other regions. You can change the regional settings on your computer so that the spreadsheet can be interpreted correctly.
How to fix it
Save downloaded CSV file
Open spreadsheet program (e.g. Excel)
Click the ‘Data’ tab at the top
Click the ‘From text’ icon (top left)
Browse for downloaded CSV file, click ‘Import’
Ensure ‘Delimited’ radio button is selected, click ‘Next’
Check one of the appropriate delimiter checkboxes (you can visualize the formatting by looking at the data preview below these options)
Dowling CM, Walsh D, Coffey JC and Kiely PA. Dataset 1 in: The importance of selecting the appropriate reference genes for quantitative real time PCR as illustrated using colon cancer cells and tissue. F1000Research 2016, 5:99 (https://doi.org/10.5256/f1000research.7656.d111803)
Spreadsheet data files may not format correctly if your computer is using different default delimiters (symbols used to separate values into separate cells) - a spreadsheet created in one region is sometimes misinterpreted by computers in other regions. You can change the regional settings on your computer so that the spreadsheet can be interpreted correctly.
How to fix it
Save downloaded CSV file
Open spreadsheet program (e.g. Excel)
Click the ‘Data’ tab at the top
Click the ‘From text’ icon (top left)
Browse for downloaded CSV file, click ‘Import’
Ensure ‘Delimited’ radio button is selected, click ‘Next’
Check one of the appropriate delimiter checkboxes (you can visualize the formatting by looking at the data preview below these options)
Dowling CM, Walsh D, Coffey JC and Kiely PA. Dataset 2 in: The importance of selecting the appropriate reference genes for quantitative real time PCR as illustrated using colon cancer cells and tissue. F1000Research 2016, 5:99 (https://doi.org/10.5256/f1000research.7656.d111804)
Spreadsheet data files may not format correctly if your computer is using different default delimiters (symbols used to separate values into separate cells) - a spreadsheet created in one region is sometimes misinterpreted by computers in other regions. You can change the regional settings on your computer so that the spreadsheet can be interpreted correctly.
How to fix it
Save downloaded CSV file
Open spreadsheet program (e.g. Excel)
Click the ‘Data’ tab at the top
Click the ‘From text’ icon (top left)
Browse for downloaded CSV file, click ‘Import’
Ensure ‘Delimited’ radio button is selected, click ‘Next’
Check one of the appropriate delimiter checkboxes (you can visualize the formatting by looking at the data preview below these options)
Dowling CM, Walsh D, Coffey JC and Kiely PA. Dataset 3 in: The importance of selecting the appropriate reference genes for quantitative real time PCR as illustrated using colon cancer cells and tissue. F1000Research 2016, 5:99 (https://doi.org/10.5256/f1000research.7656.d111805)
Spreadsheet data files may not format correctly if your computer is using different default delimiters (symbols used to separate values into separate cells) - a spreadsheet created in one region is sometimes misinterpreted by computers in other regions. You can change the regional settings on your computer so that the spreadsheet can be interpreted correctly.
How to fix it
Save downloaded CSV file
Open spreadsheet program (e.g. Excel)
Click the ‘Data’ tab at the top
Click the ‘From text’ icon (top left)
Browse for downloaded CSV file, click ‘Import’
Ensure ‘Delimited’ radio button is selected, click ‘Next’
Check one of the appropriate delimiter checkboxes (you can visualize the formatting by looking at the data preview below these options)
Dowling CM, Walsh D, Coffey JC and Kiely PA. Dataset 4 in: The importance of selecting the appropriate reference genes for quantitative real time PCR as illustrated using colon cancer cells and tissue. F1000Research 2016, 5:99 (https://doi.org/10.5256/f1000research.7656.d111807)
Spreadsheet data files may not format correctly if your computer is using different default delimiters (symbols used to separate values into separate cells) - a spreadsheet created in one region is sometimes misinterpreted by computers in other regions. You can change the regional settings on your computer so that the spreadsheet can be interpreted correctly.
How to fix it
Save downloaded CSV file
Open spreadsheet program (e.g. Excel)
Click the ‘Data’ tab at the top
Click the ‘From text’ icon (top left)
Browse for downloaded CSV file, click ‘Import’
Ensure ‘Delimited’ radio button is selected, click ‘Next’
Check one of the appropriate delimiter checkboxes (you can visualize the formatting by looking at the data preview below these options)
Dowling CM, Walsh D, Coffey JC and Kiely PA. Dataset 5 in: The importance of selecting the appropriate reference genes for quantitative real time PCR as illustrated using colon cancer cells and tissue. F1000Research 2016, 5:99 (https://doi.org/10.5256/f1000research.7656.d111808)
Spreadsheet data files may not format correctly if your computer is using different default delimiters (symbols used to separate values into separate cells) - a spreadsheet created in one region is sometimes misinterpreted by computers in other regions. You can change the regional settings on your computer so that the spreadsheet can be interpreted correctly.
How to fix it
Save downloaded CSV file
Open spreadsheet program (e.g. Excel)
Click the ‘Data’ tab at the top
Click the ‘From text’ icon (top left)
Browse for downloaded CSV file, click ‘Import’
Ensure ‘Delimited’ radio button is selected, click ‘Next’
Check one of the appropriate delimiter checkboxes (you can visualize the formatting by looking at the data preview below these options)
Dowling CM, Walsh D, Coffey JC and Kiely PA. Dataset 6 in: The importance of selecting the appropriate reference genes for quantitative real time PCR as illustrated using colon cancer cells and tissue. F1000Research 2016, 5:99 (https://doi.org/10.5256/f1000research.7656.d111809)
Spreadsheet data files may not format correctly if your computer is using different default delimiters (symbols used to separate values into separate cells) - a spreadsheet created in one region is sometimes misinterpreted by computers in other regions. You can change the regional settings on your computer so that the spreadsheet can be interpreted correctly.
How to fix it
Save downloaded CSV file
Open spreadsheet program (e.g. Excel)
Click the ‘Data’ tab at the top
Click the ‘From text’ icon (top left)
Browse for downloaded CSV file, click ‘Import’
Ensure ‘Delimited’ radio button is selected, click ‘Next’
Check one of the appropriate delimiter checkboxes (you can visualize the formatting by looking at the data preview below these options)
Dowling CM, Walsh D, Coffey JC and Kiely PA. Dataset 7 in: The importance of selecting the appropriate reference genes for quantitative real time PCR as illustrated using colon cancer cells and tissue. F1000Research 2016, 5:99 (https://doi.org/10.5256/f1000research.7656.d111810)
Spreadsheet data files may not format correctly if your computer is using different default delimiters (symbols used to separate values into separate cells) - a spreadsheet created in one region is sometimes misinterpreted by computers in other regions. You can change the regional settings on your computer so that the spreadsheet can be interpreted correctly.
How to fix it
Save downloaded CSV file
Open spreadsheet program (e.g. Excel)
Click the ‘Data’ tab at the top
Click the ‘From text’ icon (top left)
Browse for downloaded CSV file, click ‘Import’
Ensure ‘Delimited’ radio button is selected, click ‘Next’
Check one of the appropriate delimiter checkboxes (you can visualize the formatting by looking at the data preview below these options)
Dowling CM, Walsh D, Coffey JC and Kiely PA. Dataset 8 in: The importance of selecting the appropriate reference genes for quantitative real time PCR as illustrated using colon cancer cells and tissue. F1000Research 2016, 5:99 (https://doi.org/10.5256/f1000research.7656.d111811)
Adjust parameters to alter display
View on desktop for interactive features
Includes Interactive Elements
View on desktop for interactive features
Competing Interests Policy
Provide sufficient details of any financial or non-financial competing interests to enable users to assess whether your comments might lead a reasonable person to question your impartiality. Consider the following examples, but note that this is not an exhaustive list:
Examples of 'Non-Financial Competing Interests'
Within the past 4 years, you have held joint grants, published or collaborated with any of the authors of the selected paper.
You have a close personal relationship (e.g. parent, spouse, sibling, or domestic partner) with any of the authors.
You are a close professional associate of any of the authors (e.g. scientific mentor, recent student).
You work at the same institute as any of the authors.
You hope/expect to benefit (e.g. favour or employment) as a result of your submission.
You are an Editor for the journal in which the article is published.
Examples of 'Financial Competing Interests'
You expect to receive, or in the past 4 years have received, any of the following from any commercial organisation that may gain financially from your submission: a salary, fees, funding, reimbursements.
You expect to receive, or in the past 4 years have received, shared grant support or other funding with any of the authors.
You hold, or are currently applying for, any patents or significant stocks/shares relating to the subject matter of the paper you are commenting on.
Stay Updated
Sign up for content alerts and receive a weekly or monthly email with all newly published articles
Comments on this article Comments (0)