ALL Metrics
-
Views
-
Downloads
Get PDF
Get XML
Cite
Export
Track
Case Report

Case Report: Laparoscopic hepatectomy in an elderly patient with major comorbidities

[version 1; peer review: 1 approved, 1 approved with reservations]
PUBLISHED 31 Jul 2017
Author details Author details
OPEN PEER REVIEW
REVIEWER STATUS

Abstract

Surgeons have been hesitant to proceed to hepatectomy in elderly patients, due to the higher rate of comorbidities and the reduced reserves. An 81-year-old male with hepatocellular carcinoma in the segment VI of the liver and several major cardiovascular, pulmonary and metabolic comorbid illnesses was referred to our department for treatment. He underwent transarterial chemoembolization of the liver tumor and afterwards he underwent laparoscopic resection of the hepatic segment VI, with an uneventful postoperative course. This case indicates the safety and feasibility of laparoscopic liver resections in older patients, even when major comorbidities are present, provided that there is a careful planning of therapeutic strategy and operation.

Keywords

hepatectomy, liver resection, laparoscopic, elderly, geriatric, comorbidity,

Introduction

Liver resection is the treatment of choice for many liver tumors. However, liver resections, and especially major hepatectomies, have been associated with several complications and the presence of comorbid illnesses has been related to increased postoperative morbidity and mortality1. Surgeons have been hesitant to proceed to hepatectomy in elderly patients, due to the higher rate of comorbidities and the reduced hepatic, cardiac, pulmonary and renal reserve, which render them more susceptible to complications. However, there are several attempts towards the adaptation of liver resections for elderly patients that have been reported in the literature, with good outcomes2. We report the case of an 81-year-old male with hepatocellular carcinoma and several comorbid illnesses who underwent laparoscopic liver segmentectomy in our department.

Case report

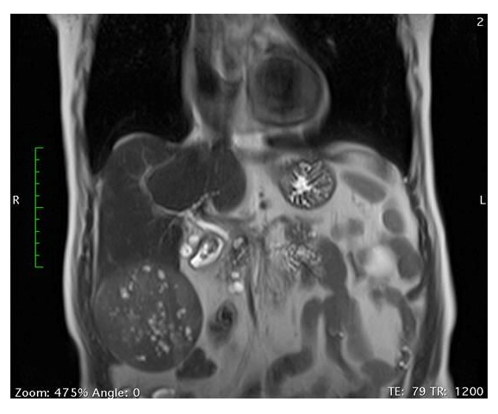
An 81-year-old male patient with deteriorating right subcostal pain and high values of serum gamma-glutamyl transpeptidase and alkaline phosphatase underwent an abdominal ultrasound scan, which revealed the presence of a heterogeneous tumor 10cm in diameter, located in the right hepatic lobe, along with mild steatosis of the liver. The patient underwent an abdominal and thoracic computed tomography and an abdominal magnetic resonance imaging. They showed a heterogeneous tumor in the hepatic segment VI, which presented intense arterial uptake of the intravenous contrast followed by quick venous washout, without any sites suspicious for metastases (Figure 1). Additionally, he underwent an ultrasound-guided biopsy of the mass, which revealed the presence of a moderately differentiated hepatocellular carcinoma (HCC). Serum levels of alpha-fetoprotein (AFP) were within normal range. The patient’s medical history included arterial hypertension, type 2 diabetes mellitus, atrial fibrillation and chronic obstructive pulmonary disease, rendering him a patient with an ASA (American Society of Anesthesiologists) score 3, but no viral hepatitis, cirrhosis or any other liver pathology, apart from mild liver steatosis. The patient’s body mass index (BMI) was 26.

c36d9fa9-8c26-4fc6-a354-f869c572ff31_figure1.gif

Figure 1. Magnetic resonance imaging of the giant liver lesion.

The patient was referred to our department for treatment. Blood gas analysis revealed the following parameters: pO2: 58mmHg, pCO2: 45mmHg, HCO3: 26mEq/L, pH: 7.38. The patient received both pulmonary and anesthesiological consultation, and he was treated with daily bronchodilations and respiratory physiotherapy. The patient initially underwent a transarterial chemoembolization of the HCC as a bridging treatment to operation. He was followed-up in an outpatient basis for about a month. His blood gas analysis showed a notable improvement: pO2: 75mmHg, pCO2: 39mmHg, HCO3: 24mEq/L, pH: 7.41. The patient was admitted to our hospital and he underwent laparoscopic resection of the hepatic segment VI, which contained the tumor, along with laparoscopic cholecystectomy. The postoperative course was uneventful and the patient was discharged on the 4th postoperative day.

The histopathological examination of the surgical specimen showed that the tumor corresponded to a moderately differentiated hepatocellular carcinoma, grade II and III in the Edmondson-Steiner grading scale, with infiltration, but not disruption of Glisson’s capsule, and without infiltration of blood vessels (pT1 tumor) (Figure 2). The resection margins were tumor-free. The histopathological examination also confirmed the mild liver steatosis that the abdominal ultrasound had indicated. The patient remains in good general condition without evidence of tumor recurrence 30 months after the operation.

c36d9fa9-8c26-4fc6-a354-f869c572ff31_figure2.gif

Figure 2. Resected liver lesion.

Discussion

Elderly patients frequently have a fragile health, as a result of many kinds of comorbidities that present at their age that are associated with reduced reserves. The arising higher susceptibility of elderly patients to complications makes surgeons more reluctant to proceed to major operations in these patients3. Therefore, liver resections for old patients, and especially major hepatectomies, have been adopted with delay2.

However, several studies have addressed feasibility, efficacy and safety of liver resections in elderly patients. Although there are various cut-off points for the definition of elderly patients among these studies, most of them use 704 or 75 years57 of age as a threshold to define older patients. All types of liver resections have been reported for patients with advanced age, from wedge resections and segmentectomies up to hemihepatectomies. Many studies have reported that there is no actual advantage regarding morbidity and mortality of younger over older patients undergoing liver resection, if older patients are considered fit enough to undergo the procedure7. Nevertheless, there are also several studies reporting an increased rate of postoperative morbidity and/or mortality for older patients than younger ones46.

Apart from the age as an independent predictor of postoperative outcomes, the existence of comorbidities has been evaluated as an important factor of worse postoperative results. Several studies have shown that patients undergoing liver resection who suffer from arterial hypertension, diabetes mellitus, arrhythmias, coronary disease, heart failure, chronic obstructive pulmonary disease, renal disease, liver cirrhosis, stroke and/or other major comorbidities have increased postoperative morbidity and/or mortality in comparison with the patients with only minor or without any comorbid diseases. An ASA score of 3 or greater has been associated with higher rates of postoperative complications and worse outcomes in general4,5.

There are only a few series reporting laparoscopic liver resections in elderly patients. When older patients (older than 70 or 75 years of age) with liver pathology undergoing laparoscopic liver resection were compared to younger ones, no significant differences were detected with regards to postoperative morbidity and mortality8,9. Furthermore, when laparoscopic and open hepatectomies were compared in elderly patients, there was no agreement concerning postoperative complications, with some authors reporting decreased rates in the case of laparoscopic hepatectomies9, whereas other authors suggested that there is no actual difference between the two approaches10. However, it is accepted that laparoscopic procedures have the advantage of less blood loss and shorter hospital stay in elderly patients9,10.

Our patient aged 81 years and had some major comorbidities. However, the careful therapeutic planning with the optimization of his pulmonary status and the careful selection of the exact type of liver resection rendered the patient able to undergo the laparoscopic segmentecotmy with an uneventful postoperative course. In conclusion, laparoscopic liver resections are safe and feasible in older patients, even when major comorbidities are present, provided that there is a careful therapeutic planning.

Consent

Written informed consent for publication of clinical details and/or clinical images was obtained from the patient.

Comments on this article Comments (0)

Version 2
VERSION 2 PUBLISHED 31 Jul 2017
Comment
Author details Author details
Competing interests
Grant information
Copyright
Download
 
Export To
metrics
Views Downloads
F1000Research - -
PubMed Central
Data from PMC are received and updated monthly.
- -
Citations
CITE
how to cite this article
Sotiropoulos GC, Machairas N and Kostakis ID. Case Report: Laparoscopic hepatectomy in an elderly patient with major comorbidities [version 1; peer review: 1 approved, 1 approved with reservations]. F1000Research 2017, 6:1286 (https://doi.org/10.12688/f1000research.12078.1)
NOTE: If applicable, it is important to ensure the information in square brackets after the title is included in all citations of this article.
track
receive updates on this article
Track an article to receive email alerts on any updates to this article.

Open Peer Review

Current Reviewer Status: ?
Key to Reviewer Statuses VIEW
ApprovedThe paper is scientifically sound in its current form and only minor, if any, improvements are suggested
Approved with reservations A number of small changes, sometimes more significant revisions are required to address specific details and improve the papers academic merit.
Not approvedFundamental flaws in the paper seriously undermine the findings and conclusions
Version 1
VERSION 1
PUBLISHED 31 Jul 2017
Views
16
Cite
Reviewer Report 30 Nov 2017
Troy S. Wildes, Department of Anesthesia, Washington University School of Medicine (WUSM), St. Louis, MO, USA;  Center for Preoperative Assessment and Planning, Barnes-Jewish Hospital (BJH) and Washington University School of Medicine (WUSM), St. Louis, MO, USA 
Approved with Reservations
VIEWS 16
The authors provide an interesting case report of an aged individual with significant comorbidities undergoing an intermediate risk surgical procedure.

The operative and optimization pathway are discussed in appropriate detail. The authors are also to be commended for including ... Continue reading
CITE
CITE
HOW TO CITE THIS REPORT
Wildes TS. Reviewer Report For: Case Report: Laparoscopic hepatectomy in an elderly patient with major comorbidities [version 1; peer review: 1 approved, 1 approved with reservations]. F1000Research 2017, 6:1286 (https://doi.org/10.5256/f1000research.13067.r28236)
NOTE: it is important to ensure the information in square brackets after the title is included in all citations of this article.
  • Author Response 18 Dec 2017
    Ioannis Kostakis, Second Department of Propedeutic Surgery, Laiko General Hospital, National and Kapodistrian University of Athens, Medical School, Athens, Greece
    18 Dec 2017
    Author Response
    Comment 1
    The case presented does not justify the statement "In conclusion, laparoscopic liver resections are safe and feasible in older patients, even when major comorbidities are present, provided that there ... Continue reading
COMMENTS ON THIS REPORT
  • Author Response 18 Dec 2017
    Ioannis Kostakis, Second Department of Propedeutic Surgery, Laiko General Hospital, National and Kapodistrian University of Athens, Medical School, Athens, Greece
    18 Dec 2017
    Author Response
    Comment 1
    The case presented does not justify the statement "In conclusion, laparoscopic liver resections are safe and feasible in older patients, even when major comorbidities are present, provided that there ... Continue reading
Views
16
Cite
Reviewer Report 20 Nov 2017
Jun Li, Department of Hepatobiliary and Transplant Surgery, University Medical Center Hamburg-Eppendorf, Hamburg, Germany 
Approved
VIEWS 16
The case report by Sotiropoulos et al did show that combining the minimal invasive approach and preoperative  optimal management of the comorbidities could make liver resection in very elderly patient safe. The preoperative TACE not only served as a back-up ... Continue reading
CITE
CITE
HOW TO CITE THIS REPORT
Li J. Reviewer Report For: Case Report: Laparoscopic hepatectomy in an elderly patient with major comorbidities [version 1; peer review: 1 approved, 1 approved with reservations]. F1000Research 2017, 6:1286 (https://doi.org/10.5256/f1000research.13067.r27703)
NOTE: it is important to ensure the information in square brackets after the title is included in all citations of this article.
  • Author Response 15 Dec 2017
    Ioannis Kostakis, Second Department of Propedeutic Surgery, Laiko General Hospital, National and Kapodistrian University of Athens, Medical School, Athens, Greece
    15 Dec 2017
    Author Response
    We would like to thank the reviewer for his kind comments.
    Competing Interests: No competing interests.
COMMENTS ON THIS REPORT
  • Author Response 15 Dec 2017
    Ioannis Kostakis, Second Department of Propedeutic Surgery, Laiko General Hospital, National and Kapodistrian University of Athens, Medical School, Athens, Greece
    15 Dec 2017
    Author Response
    We would like to thank the reviewer for his kind comments.
    Competing Interests: No competing interests.

Comments on this article Comments (0)

Version 2
VERSION 2 PUBLISHED 31 Jul 2017
Comment
Alongside their report, reviewers assign a status to the article:
Approved - the paper is scientifically sound in its current form and only minor, if any, improvements are suggested
Approved with reservations - A number of small changes, sometimes more significant revisions are required to address specific details and improve the papers academic merit.
Not approved - fundamental flaws in the paper seriously undermine the findings and conclusions
Sign In
If you've forgotten your password, please enter your email address below and we'll send you instructions on how to reset your password.

The email address should be the one you originally registered with F1000.

Email address not valid, please try again

You registered with F1000 via Google, so we cannot reset your password.

To sign in, please click here.

If you still need help with your Google account password, please click here.

You registered with F1000 via Facebook, so we cannot reset your password.

To sign in, please click here.

If you still need help with your Facebook account password, please click here.

Code not correct, please try again
Email us for further assistance.
Server error, please try again.