Keywords
Vanishing white matter, neuro-ovarian failure, leukodystrophy
Vanishing white matter, neuro-ovarian failure, leukodystrophy
Van der Knaap described a new clinical entity of neuro-ovarian failure in 1996 as vanishing white matter(VWM) disease1. This rare entity is also known as ovarioleukodystrophy and is caused by a mutation of the eukaryotic initiation factor 2B (EIF2B)2. It most commonly presents in infants or early childhood as a progressive central neuronal failure causing limb weakness, spasticity, cognitive decline, seizures, encephalopathy and ultimately death2,3. The onset in adults is very rare and in female patients, is frequently associated with premature ovarian failure3. In March 2017, we reported the first ever case of VWM affecting a 19 year old woman from Pakistan4. Herein, we report the case history of her elder sister diagnosed as VWM in January 2018.
A 30 year old Pakistani woman, presented in January 2018 with an eight month history of progressive left side weakness in pyramidal distribution. She had developed spasticity in the left lower limb and had partial contractures affecting both of her hands. Since the previous month, she felt clumsy in her right arm and leg. She had cerebellar signs and bilateral optic atrophy. However, the rest of her cranial nerves, the spine and the sensory system were normal. She was married for the last four years and had never conceived. She had secondary amenorrhea and underdeveloped secondary sexual characteristics. Her mental state examination was normal. There was no precedent history of any trauma, surgery, malignancy or infection.
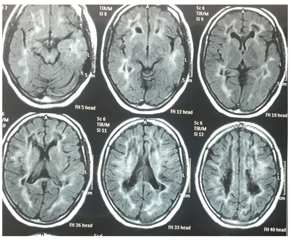
Her MRI brain scan was remarkable for diffuse leukodystrophy (Figure 1 and Figure 2). Her hormonal assays were consistent with premature menopause (Table 1). An ultrasound of her abdomen and pelvis was remarkable for small ovaries and uterus. Her lumbar puncture results were normal and there were no oligoclonal bands in her cerebrospinal fluid (CSF). She underwent genetic tests including sequence analysis and polymerase chain reaction (PCR), which demonstrated a point mutation in the EIF2B4 gene. Thus, she was diagnosed as a second case of VWM from the same family of 12 siblings and 2 parents. None of the family members were screened due to affordability issues.

| Test | Results | Normal Range |
|---|---|---|
| Follicular Stimulating Hormone (FSH) | 143 mIU/ml | 1.5–12.4 mIU/ml |
| Luteinizing Hormone (LH) | 57.21 mIU/ml | 1.7–8.6 mIU/ml |
| Total Estrogen | 5 pg/ml | 50–300 pg/ml |
She was counseled and vaccinated against the common pathogens. She was prescribed baclofen 20mg/day and clonazepam 0.5mg/day for her spasticity. She will be reviewed again in 6 months time. The follow-up plan includes a detailed physical assessment and a repeat MRI brain scan.
Ovarioleukodysptrophy or vanishing white matter disease (VWM) is a rare autosomal recessive disorder. It has central neuronal presentation in the form of progressive ataxia, spasticity, and variable optic atrophy in combination with endocrinopathy manifesting as premature ovarian failure3,4. This disease has protean spectrums of presentation ranging from the most severe prenatal and infantile forms to the relatively less severe adult onset varieties5. Our second patient had the adult onset disease, a phenotype similar to her younger sister.
The mildest of all, the adult onset variant of VWM presents with a combination of neurological features including pyramidal weakness, cerebellar signs and optic atrophy in association with premature ovarian failure4,5. The sensory system, the cognitive function and the rest of the cranial nerves are relatively spared, at-least initially4. Our patient presented with limb weakness, ataxia and visual loss in association with primary infertility due to ovarian failure. Her presentation was different from her younger sister in that, she did not have seizure or dementia4.
The diagnostic workup includes MR imaging of the central nervous system which demonstrates diffuse and cystic degenerative loss of the deep cortical white matter and U-fibers. The grey matter is preserved3,5,6. This is due to a mutation in EIF2B which causes impairment of protein synthesis under conditions of cellular stress like infection, trauma, intense emotions and surgery. The genetic tests confirm the diagnosis6. Those females who live into adulthood develop ovarian failure2,4,6. Interestingly, according to our literature search, primary testicular failure has not been described in any reported case of affected males .
Treatment is largely palliative and preventive. This may include avoidance of stressors, vaccination, anti epileptic drugs and hormonal replacement therapy in affected females4,5,7.
VWM is a rare but potentially serious disease. In adult females, premature ovarian failure is characteristic. There is no effective treatment.
Written informed consent for publication of her clinical details and/or clinical images was obtained from the patient.
| Views | Downloads | |
|---|---|---|
| F1000Research | - | - |
|
PubMed Central
Data from PMC are received and updated monthly.
|
- | - |
Is the background of the case’s history and progression described in sufficient detail?
No
Are enough details provided of any physical examination and diagnostic tests, treatment given and outcomes?
Partly
Is sufficient discussion included of the importance of the findings and their relevance to future understanding of disease processes, diagnosis or treatment?
No
Is the case presented with sufficient detail to be useful for other practitioners?
Partly
Competing Interests: No competing interests were disclosed.
Is the background of the case’s history and progression described in sufficient detail?
Yes
Are enough details provided of any physical examination and diagnostic tests, treatment given and outcomes?
Yes
Is sufficient discussion included of the importance of the findings and their relevance to future understanding of disease processes, diagnosis or treatment?
Yes
Is the case presented with sufficient detail to be useful for other practitioners?
Yes
References
1. Ahmed RM, Murphy E, Davagnanam I, Parton M, et al.: A practical approach to diagnosing adult onset leukodystrophies.J Neurol Neurosurg Psychiatry. 2014; 85 (7): 770-81 PubMed Abstract | Publisher Full TextCompeting Interests: No competing interests were disclosed.
Reviewer Expertise: Neurology - white matter disorders
Alongside their report, reviewers assign a status to the article:
| Invited Reviewers | ||
|---|---|---|
| 1 | 2 | |
|
Version 2 (revision) 23 Apr 18 |
read | |
|
Version 1 07 Feb 18 |
read | read |
Provide sufficient details of any financial or non-financial competing interests to enable users to assess whether your comments might lead a reasonable person to question your impartiality. Consider the following examples, but note that this is not an exhaustive list:
Sign up for content alerts and receive a weekly or monthly email with all newly published articles
Already registered? Sign in
The email address should be the one you originally registered with F1000.
You registered with F1000 via Google, so we cannot reset your password.
To sign in, please click here.
If you still need help with your Google account password, please click here.
You registered with F1000 via Facebook, so we cannot reset your password.
To sign in, please click here.
If you still need help with your Facebook account password, please click here.
If your email address is registered with us, we will email you instructions to reset your password.
If you think you should have received this email but it has not arrived, please check your spam filters and/or contact for further assistance.
Comments on this article Comments (0)