Keywords
Pigment dispersion glaucoma, aqueous outflow, trabecular meshwork, intraocular pressure, phagocytosis
This article is included in the Eye Health gateway.
Pigment dispersion glaucoma, aqueous outflow, trabecular meshwork, intraocular pressure, phagocytosis
The conventional outflow is guarded by the trabecular meshwork (TM), a complex three dimensional, layered tissue that contains variable amounts of extracellular matrix (ECM)1. The aqueous passes into Schlemm's canal by paracytosis or giant vacuoles2. Failure to maintain a normal cytoskeleton and homeostasis of aqueous outflow can cause ocular hypertension1. For instance, pigment dispersion3 and corticosteroids can alter the actin cytoskeleton and cause TM cell contraction resulting in an elevation of intraocular pressure (IOP)3,4. Conversely, relaxing the cytoskeleton, for instance by using a Rho kinase inhibitor, can reverse these effects5,6.
Phagocytosis of debris is another key function of TM cells2. However, its direct and short-term effects on IOP regulation remain poorly understood1. Chronic exposure to pigment7, erythrocyte-derived ghost cells8, inflammatory cells9, photoreceptor outer segments10, lens and pseudoexfoliation material11,12 can lead to secondary glaucomas.
We recently developed an ex vivo pigmentary glaucoma (PG) model that recreates the IOP elevation, stress fiber formation, and phagocytosis reduction characteristics of human PG3. A gene expression analysis indicated an activation of the RhoA signaling pathway, and a downstream effect of tight junction formation negatively regulated by RhoA-mediated actin cytoskeletal reorganization3. In the current study, we hypothesized that ocular hypertension is the result of a reorganization of the actin cytoskeleton and occurs before phagocytosis declines.
This study was conducted in accordance with the Association for Research in Vision and Ophthalmology Statement for the Use of Animals in Ophthalmic and Vision Research. Because no live vertebrate animals were used and pig eyes were acquired from a local abattoir (Thoma Meat Market, Saxonburg, PA), no Institutional Animal Care and Use approval was required.
Thirty-two porcine eyes were cultured within 2 hours of enucleation. Extraocular tissues were removed, and the eyes were decontaminated with 5% povidone-iodine solution (CAT# 3955-16, United States Pharmacopeia, Rockville, MD) for two minutes and washed three times in phosphate buffered saline (PBS). Posterior segments, lenses, and irises were removed and the anterior segments with intact TM mounted in the perfusion system as previously described3,13,14. We used the same method to generate pigment granules as recently described in a model of pigmentary glaucoma (PG)3. Briefly, pigment granules were produced by subjecting the iris to freeze-thaw and resuspension washing before dilution of the stock to a final concentration of 1.67×107 particles/ml. Eyes in the pigment dispersion group were continuously perfused with pigment added to the culture medium for up to 180 hours (Pg) and compared to controls (C). The perfusate consisted of Dulbecco's modified Eagle media (DMEM, SH30284, HyClone, GE Healthcare, UK) supplemented with 1% FBS and 1% antibiotics (15240062, Thermo Fisher Scientific, Waltham, MA) at a constant rate of 3 µl/min using a microinfusion pump (PHD 22/2000; Harvard Apparatus, Holliston, MA). IOP was measured intracamerally by a pressure transducer (SP844; MEMSCAP, Skoppum, Norway) and recorded at two-minute intervals (LabChart, ADInstruments, Colorado Springs, CO). Baseline IOPs were obtained after IOP stabilization for 48 hours.
The in situ TM phagocytosis was measured using an epifluorescence microscope after microsphere perfusion. In brief, a suspension of 0.5 μm carboxylate-modified yellow-green fluorescent microspheres15 (CAT# F8813, Thermo Fisher, Waltham, MA) at 5×108 particles/ml was added to the perfusate at 48, 120, and 180 hours and perfused for 24 hours. The eyes were removed from their perfusion dishes, washed three times with pre-warmed PBS, secured again in the perfusion dishes, and placed upside down for imaging. The TM, visualized from the underside of the transparent perfusion dish, was photographed and measured by acquiring the images with a camera and epifluorescence equipped dissecting fluorescence microscope (SZX16, Olympus, Tokyo, Japan) at a 680×510 pixel resolution and a 200 ms exposure. The mean fluorescence intensity was quantified by ImageJ (Version 1.50i, NIH) as previously described16 at 48, 120, and 180 hours by measuring the fluorescence intensity in the TM.
To validate that the microspheres were phagocytosed by TM cells, the TM was dissected and digested with collagenase type IA (C9891, Sigma Aldrich, St. Louis, MO) at 2mg/ml and 1% FBS for 30 min at room temperature. The cells were filtered with a 70-micron cell strainer and resuspended in 0.5 ml of PBS. The percentage of TM cells that had ingested fluorescent microspheres was determined using flow cytometry.
To get a more accurate visualization of the phagocytosed microbeads, we used confocal microscopy. TM cells were seeded into the wells of a six-well plate and fixed with 4% PFA. The cell membranes were labeled with Lycopersicon esculentum agglutinin (TL; Texas red-conjugated; #TL-1176, Vector Laboratories, Inc., Burlingame, CA) at room temperature for 1 hour. The cell nuclei were counterstained with DAPI (D1306, Thermo Fisher Scientific, Waltham, MA). Photos and 3D videos were taken using an upright laser scanning confocal at 400x magnification (BX61, Olympus, Tokyo, Japan).
After the TM phagocytosis assay, the anterior segments were fixed with 4% PFA for 24 hours, washed three times with PBS, dehydrated in 70% ethanol, and embedded in paraffin. Sections were cut to a thickness of 5 μm and stained with hematoxylin and eosin (H&E).
Data were presented as the mean ± standard error and analyzed by PASW Statistics 18 (SPSS Inc., Chicago, IL). The baseline IOP was compared to the other time points of the same eye using a paired t-test. Other quantitative data were analyzed by one-way ANOVA. A p value ≤ 0.05 was considered statistically significant.
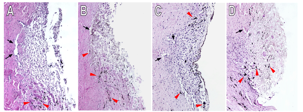
In H&E stained tissue sections, normal TM (Figure 1A) presented as a sparsely pigmented (red arrowheads), multilayered, porous tissue with Schlemm’s canal-like segments within the aqueous plexus at the outer layer (black arrows). Pigment granules were seen phagocytosed by trabecular meshwork cells, particularly in the uveal TM, at 48, 120, and 180 hours (Figure 1B, C and D) but were not dense enough to physically obstruct any part of the conventional outflow system.

Normal trabecular meshwork (TM) (A) was a multilayer, strainer-like structure with few pigment deposits (red arrowheads). Ex vivo perfusion with pigment granules at 1.67×107/ml caused significant TM pigmentation at 48 hours (B), 120 hours (C) and 180 hours (D). No apparent occlusion of the outflow tract was found.
Baseline IOP in Pg was comparable to C (12.2±0.9 mmHg vs. 11.9±0.9 mmHg, P=0.82). Pigment dispersion caused a significant IOP elevation at 48, 120, and 180 hours (19.5±1.4 mmHg, 20.2±1.4 mmHg and 22.8±0.8 mmHg, P=0.001, P<0.001 and P=0.002, compared to baseline) while IOPs in C remained steady (13.1±1.1 mmHg, 12.0±0.9 mmHg and 14.0±1.5 mmHg, all p values >0.05, compared to baseline) (Figure 2A).

Baseline IOPs in the pigment group (n=16) and the control (n=16) are comparable (12.2±0.9 mmHg vs. 11.9±0.9 mmHg, P=0.82). Pigment caused a significant IOP elevation at 48 hours and onward (all P<0.05) while the IOP in the control group showed no significant difference to baseline at any time point (all P>0.05) when compared to the baseline (A). TM phagocytosis was visualized in situ. The mean fluorescence intensity in the TM region was quantified by NIH ImageJ. TM phagocytosis in the pigment group was comparable to the control at 48 hours (P=0.723), (Bi–ii) but showed sharp decreases at 120 hours (Biii–iv) and 180 hours (P=0.001 and P=0.026, respectively) (Bv–vi).
By inverting the perfusion dishes and washing away the microspheres in the intertrabecular spaces, the TM phagocytosis was visualized and quantified under an upright dissecting fluorescence microscope. Pigment did not cause any change of phagocytosis during early ocular hypertension at 48 hours (Figure 2Bi-ii, 96.3±5.0% compared to the control, P=0.723), but did cause a reduction at the later phases of 120 hours (Figure 2Biii-iv, 58.3±2.3%, P=0.001) and 180 hours (Figure2Bv-vi, 62.5±5.1%, P=0.026). However, the declining phagocytosis did not result in further elevation of IOP at 120 and 180 hours compared to the initial IOP elevation at 48 hours (20.2±1.4 mmHg and 22.8±0.8 mmHg versus 19.5±1.4 mmHg, both P>0.05).
The microsphere ingestion by TM cells was further assessed by flow cytometry and confocal microscopy. 28.1% of TM cells had phagocytosed microbeads in a normal perfusion eye (Figure 3A) and the confocal microscopy confirmed them as being located within the cells (Figure 3B) aided by tomato lectin-stained cell membranes and DAPI-stained nuclei. Confocal imaging showed clusters of green fluorescent microspheres within the intracellular space with no microspheres in the intercellular space. The 3D video also suggested the microspheres were in fact phagocytized and not merely on top of or below them since the microbeads were in the same z plane as the cells (Supplementary Video 1).

To further confirm that microspheres were phagocytosed, we digested a normal sample TM tissue into single cell suspension and sent for flow cytometry. The results suggested that 28.1% of the TM cells were actively phagocytic (A). We then seeded these cells into a six well plate to form monolayer. After labeling them with tomato lectin, the confocal imaging showed that clusters of green fluorescent microspheres were located in the intracellular but not in the intercellular space (B).
Phagocytosis is a defining feature of TM cells17 and plays a central but poorly understood role in the pathogenesis of several types of secondary glaucoma that include pigment, erythrocytes and ghost cells, inflammatory cells, photoreceptor outer segments, lens and pseudoexfoliation material3,18,19. Although TM phagocytosis can remove particles from the aqueous humor20, the direct and short-term effects on outflow regulation remain insufficiently explained1. In this study, we measured IOP and TM phagocytic activity in the presence of pigment granules at different time points and found IOP was significantly elevated as early as 48 hours after exposure to pigment granules. This was contrasted by a phagocytic activity in Pg not different from C before the decrease at 120 and 180 hours. A worsening decline of TM phagocytosis at 120 and 180 hours did not result in a further increase of IOP. This suggests that reduction in phagocytosis is a downstream and secondary effect of actin cytoskeletal reorganization.
Pigment treatment has previously been shown to cause ocular hypertension in part by reorganizing the TM actin cytoskeleton and not by physical obstruction of the outflow tract7,21. We have recently reported that long, thick, and continuous TM actin bundles emerge as early as 24 hours after pigment exposure3 and replicate this observation in the present study. Histological characteristics of pigment dispersion in porcine eyes matched those seen in samples from pigmentary glaucoma patients21–23 showing that pigment particles were taken up by TM cells.
In summary, the results indicate the IOP elevation caused by pigment dispersion is not the direct result of a physical obstruction of outflow or a chronically overwhelmed phagocytosis. The reduction in phagocytosis considerably lags the evolving hypertension supporting the notion that these cytoskeletal changes occur early on and are separate from the impact of pigment on canonical phagocytosis pathways3.
All the raw data generated or analyzed in this study are included in following datasets.
Dataset 1. Raw unedited images of Figure 1. They are representative of 17 slides for histology. 10.5256/f1000research.13797.d19208824
Dataset 2. Raw unedited images of Figure 2B. They are representative of 31 pictures for phagocytosis measurement. 10.5256/f1000research.13797.d19208925
Dataset 3. Raw unedited images of Figure 3B. 10.5256/f1000research.13797.d19209026
Dataset 4. The FACS output file for Figure 3A. 10.5256/f1000research.13797.d19209127
Dataset 5. The raw IOP and phagocytosis measurements at all time points. 10.5256/f1000research.13797.d19209228
NIH CORE Grant P30 EY08098 to the Department of Ophthalmology, from the Eye and Ear Foundation of Pittsburgh, and from an unrestricted grant from Research to Prevent Blindness, New York, NY; National Eye Institute K08EY022737 (NAL); Initiative to Cure Glaucoma of the Eye and Ear Foundation of Pittsburgh (NAL); Research to Prevent Blindness, Departmental Grant (NAL); the Wiegand Fellowship of the Eye and Ear Foundation (YD); an unrestricted grant from the Third Xiangya Hospital of Central South University for studying at the University of Pittsburgh (CW).
The funders had no role in study design, data collection and analysis, decision to publish, or preparation of the manuscript.
Supplementary Video 1. Visualization of microsphere ingestion by a 3D reconstruction with confocal microscopy. We took a series of z-stack confocal microscopy images to reconstruct a 3D video, showing that the fluorescent microspheres were neither on the top nor below, but phagocytized by the TM cells.
| Views | Downloads | |
|---|---|---|
| F1000Research | - | - |
|
PubMed Central
Data from PMC are received and updated monthly.
|
- | - |
Is the work clearly and accurately presented and does it cite the current literature?
No
Is the study design appropriate and is the work technically sound?
Yes
Are sufficient details of methods and analysis provided to allow replication by others?
Yes
If applicable, is the statistical analysis and its interpretation appropriate?
Yes
Are all the source data underlying the results available to ensure full reproducibility?
Yes
Are the conclusions drawn adequately supported by the results?
No
References
1. Saccà SC, Gandolfi S, Bagnis A, Manni G, et al.: The Outflow Pathway: A Tissue With Morphological and Functional Unity.J Cell Physiol. 2016; 231 (9): 1876-93 PubMed Abstract | Publisher Full TextCompeting Interests: No competing interests were disclosed.
Reviewer Expertise: Glaucoma pathogenesis and Molecular biology
Alongside their report, reviewers assign a status to the article:
| Invited Reviewers | ||
|---|---|---|
| 1 | 2 | |
|
Version 2 (revision) 09 Apr 18 |
read | read |
|
Version 1 12 Feb 18 |
read | |
Click here to access the data.
Spreadsheet data files may not format correctly if your computer is using different default delimiters (symbols used to separate values into separate cells) - a spreadsheet created in one region is sometimes misinterpreted by computers in other regions. You can change the regional settings on your computer so that the spreadsheet can be interpreted correctly.
Click here to access the data.
Spreadsheet data files may not format correctly if your computer is using different default delimiters (symbols used to separate values into separate cells) - a spreadsheet created in one region is sometimes misinterpreted by computers in other regions. You can change the regional settings on your computer so that the spreadsheet can be interpreted correctly.
Click here to access the data.
Spreadsheet data files may not format correctly if your computer is using different default delimiters (symbols used to separate values into separate cells) - a spreadsheet created in one region is sometimes misinterpreted by computers in other regions. You can change the regional settings on your computer so that the spreadsheet can be interpreted correctly.
Click here to access the data.
Spreadsheet data files may not format correctly if your computer is using different default delimiters (symbols used to separate values into separate cells) - a spreadsheet created in one region is sometimes misinterpreted by computers in other regions. You can change the regional settings on your computer so that the spreadsheet can be interpreted correctly.
Click here to access the data.
Spreadsheet data files may not format correctly if your computer is using different default delimiters (symbols used to separate values into separate cells) - a spreadsheet created in one region is sometimes misinterpreted by computers in other regions. You can change the regional settings on your computer so that the spreadsheet can be interpreted correctly.
Provide sufficient details of any financial or non-financial competing interests to enable users to assess whether your comments might lead a reasonable person to question your impartiality. Consider the following examples, but note that this is not an exhaustive list:
Sign up for content alerts and receive a weekly or monthly email with all newly published articles
Already registered? Sign in
The email address should be the one you originally registered with F1000.
You registered with F1000 via Google, so we cannot reset your password.
To sign in, please click here.
If you still need help with your Google account password, please click here.
You registered with F1000 via Facebook, so we cannot reset your password.
To sign in, please click here.
If you still need help with your Facebook account password, please click here.
If your email address is registered with us, we will email you instructions to reset your password.
If you think you should have received this email but it has not arrived, please check your spam filters and/or contact for further assistance.
Comments on this article Comments (0)