Keywords
dermoscopy, mucoscopy, lichen planus, oral, mucosal, leukoplakia, veil-like, speckled-pearly erosion, dotted, linear, curvilinear, vessels, clods, brown
dermoscopy, mucoscopy, lichen planus, oral, mucosal, leukoplakia, veil-like, speckled-pearly erosion, dotted, linear, curvilinear, vessels, clods, brown
Dermoscopy has unleashed opportunities of exploring structures and features of the skin invisible to the unaided eye. Inflammoscopy, i.e. dermoscopy of inflammatory dermatoses has sufficiently advanced to the point of facilitating dermoscopic differentiation between plaque psoriasis, eczema and pityriasis rosea1.
Wickham striae (WS) characterized by white crossing streaks are the dermoscopic hallmark of cutaneous LP1–4. A background of dull red color, and vessels of mixed morphology (dotted and linear) represent additional dermoscopic findings of LP1,5. There is paucity of data on dermoscopy of mucosal, especially oral lichen planus (OLP), which is encountered in more than one-third cases of cutaneous LP, with an estimated global prevalence of 0.5–2.2%6–8.
A 19-year-old Indian gentleman was evaluated for asymptomatic patchy pigmentation over multiple finger and toe nails, the tongue, and buccal cavity, noticed eighteen months back. There was no history of preceding trauma, drug intake, soreness of mouth, or dental procedures or amalgam filling. He denied addictions like smoking or chewing of betel nut or tobacco. Current and past medical history were unremarkable. There was no history of parental consanguinity, familial nail pigmentation or any familial pigmentary disorder. Examination of oral mucosa revealed poor oral hygiene. The dorsum of the tongue revealed violaceous to dark grey discoloration extending onto the ventral surface, interspersed with white reticular lesions and focal tiny bright red erosions (Figure 1). Buccal mucosae revealed brown colored macules with focal presence of white reticular lesions. Lingual papillae projections appeared blunted in the discolored central area. Although mild desquamative gingivitis with gingival hyperpigmentation were appreciable, the lips were spared with no visible freckling (Figure 2). Examination of nails revealed longitudinal melanonychia of multiple fingers and toe nails (Figure 3). Relevant hematological and biochemical investigations ruled out hepatitis, dyslipidemia, diabetes and thyroid disorder.

Video dermoscopy (EScope; polarized mode, ×20) of the dorsum of the tongue revealed blunting of papillae (Figure 4), in contrast to the preserved papillary pattern observed in the peripheral portion (Figure 5). The affected area displayed a tri-color pattern constituted by – 1) structureless veil-like grey-white to bluish-white areas, 2) bright red slightly depressed areas, and 3) interspersed violaceous-to-brown clods. A few foci of specked-pearly white structures were also observed (Figure 4). Dotted and linear to curvilinear vessels were visible at the junction of the white and red areas. Dermoscopy from the surrounding normal-appearing areas of the tongue dorsum revealed the typical fungiform lingual papillae (Figure 5). Dermoscopy from buccal mucosa only revealed diffusely spread violaceous clods. Onychoscopy revealed multiple 3–4 mm wide uniformly pigmented parallel linear bands of pigmentation with pseudo-Hutchinson sign (Figure 6).


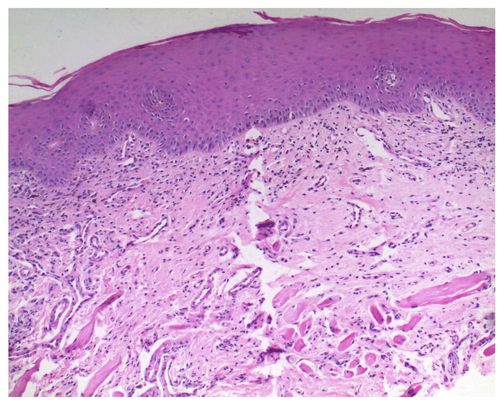
A 10% KOH smear from the oral mucosa was negative for candidiasis. Histopathology revealed irregular acanthosis, basal layer vacuolization, necrotic keratinocytes, moderately dense interface dermatitis .and pigment incontinence (Figure 7). A final diagnosis of erosive oral lichen planus was made.
The dermoscopic features of cutaneous LP are typified by the presence of a dull red background, white crossing streaks of WS (multiple patterns), and mixed pattern of dotted and linear vessels at the periphery of the lesions1–5. OLP may occur in isolation, or in association with cutaneous and/or nail LP. Buccal mucosa and tongue are most commonly affected, followed by gums and labial mucosa9. In contrast to the well documented dermoscopic features of cutaneous LP, lichen planus pigmentosus, nail lichen planus and lichen planopilaris10, the dermoscopic characterization of OLP is almost non-extant. To the best of our knowledge, there is a single case report of dermoscopy of LP involving the lower lip11. Drogoszewska et al. in their study, employed direct oral microscopy, a non-invasive diagnostic technique based on the principles of dermoscopy and colposcopy, to describe the in vivo picture of erosive OLP. The purpose of this study was to evaluate the role of the technique as a guide to selecting optimal biopsy site to reveal dysplastic changes12. In their study, Drogoszewska et al. described the typical ‘direct microscopic’ picture of erosive OLP as bi-colored consisting of planar to minimally elevated, dull white, hyperkeratotic leukoplakia-like areas (LLA) lesions, and well-demarcated, bright red and glossy erosions with a smooth moist surface, present adjacent to the LLAs12. Further, they reported subepithelial capillaries to be invisible within the lesions. In the current case, three different colors and patterns were observed by video dermoscopy of OLP – veil-like structureless greyish-white areas, bright red well-demarcated erosions, and interspersed violaceous-to-brown colored clods. The latter are suggestive of sub-epithelial pigment incontinence. Thus a tri-colored, pattern was observed.
The pattern and appearance of WS was different in oral mucosal LP compared to the pattern typical of cutaneous LP. In cutaneous LP, WS most commonly present as white streaks in a reticular pattern, although other patterns have been reported including circular, radial streaming, linear, globular, veil-like, leaf venation, and starry sky/white dots10,13,14. In the current case, WS presented as – veil-like structureless grey-white to bluish white areas, and specked-pearly pattern in few foci. It is interesting to note, that such modified appearance of WS has also been reported at another mucosal site, the vulva. In the dermoscopic evaluation of 10 women with vulvar LP, Borghi et al. reported that WS in more than half the patients gave a similar veil-like structureless grey-white to blue-white appearance15. They also observed white homogenous areas in 50% patients15.
In our experience, LP involving the cutaneous aspect of the lip displays the typical WS, whereas the mucosal aspect shows WS resembling LLAs. Dotted and linear to curvilinear vessels were visible at the junction of the white and red areas, akin to the vascular pattern observed in dermoscopy of cutaneous LP. The fourth feature from the tongue lesion was blunting of lingual papillae. This feature may depend on the morphological sub-type of OLP.
The onychoscopic findings of uniform-colored 3–4 mm broad bands of longitudinal melanonychia and the pseudo-Hutchinson’s sign stemming from hyperpigmentation of the nail bed and matrix reflecting through the transparent nail folds may be seen in LP, with other common reported causes being racial pigmentation, Laugier-Hunziker syndrome (LHS), and drug-induced melanonychia16.
We suggest that a tri-colored pattern constituted by modified WS with a veil-like grey-white to bluish-white structureless morphology (or LLAs) and focal speckled-pearly appearance, red erosions, and violaceous-to-brown clods, in addition to dotted and linear to curved vessels along the junction of LLAs and erosions are characteristic of OLP. Last but not the least, akin to the evolution of other sub-specialties of dermoscopy (trichoscopy, inflammoscopy, entomodermoscopy, onychoscopy etc.), mucoscopy needs to be explored more to extend the versatility of dermoscopy for diagnosis of mucosal disorders.
No data is associated with this article.
Written informed consent for publication of the clinical details and clinical images was obtained from the patient himself.
| Views | Downloads | |
|---|---|---|
| F1000Research | - | - |
|
PubMed Central
Data from PMC are received and updated monthly.
|
- | - |
Is the background of the case’s history and progression described in sufficient detail?
Yes
Are enough details provided of any physical examination and diagnostic tests, treatment given and outcomes?
Yes
Is sufficient discussion included of the importance of the findings and their relevance to future understanding of disease processes, diagnosis or treatment?
Yes
Is the case presented with sufficient detail to be useful for other practitioners?
Yes
Competing Interests: No competing interests were disclosed.
Reviewer Expertise: Dermoscopy and trichoscopy
Is the background of the case’s history and progression described in sufficient detail?
Yes
Are enough details provided of any physical examination and diagnostic tests, treatment given and outcomes?
Yes
Is sufficient discussion included of the importance of the findings and their relevance to future understanding of disease processes, diagnosis or treatment?
Yes
Is the case presented with sufficient detail to be useful for other practitioners?
Yes
Competing Interests: No competing interests were disclosed.
Reviewer Expertise: Dermoscopy
Alongside their report, reviewers assign a status to the article:
| Invited Reviewers | ||
|---|---|---|
| 1 | 2 | |
|
Version 2 (revision) 27 Mar 18 |
read | |
|
Version 1 06 Mar 18 |
read | read |
Provide sufficient details of any financial or non-financial competing interests to enable users to assess whether your comments might lead a reasonable person to question your impartiality. Consider the following examples, but note that this is not an exhaustive list:
Sign up for content alerts and receive a weekly or monthly email with all newly published articles
Already registered? Sign in
The email address should be the one you originally registered with F1000.
You registered with F1000 via Google, so we cannot reset your password.
To sign in, please click here.
If you still need help with your Google account password, please click here.
You registered with F1000 via Facebook, so we cannot reset your password.
To sign in, please click here.
If you still need help with your Facebook account password, please click here.
If your email address is registered with us, we will email you instructions to reset your password.
If you think you should have received this email but it has not arrived, please check your spam filters and/or contact for further assistance.
Comments on this article Comments (0)