Keywords
Bodystuffing, bodypacking, prison, fufu/foofoo/foufou, radiology pitfalls
Bodystuffing, bodypacking, prison, fufu/foofoo/foufou, radiology pitfalls
Bodypacking is a technique used in drug trafficking that consists of deliberately ingesting many drug pellets. Bodypushing refers to the intrarectal or intravaginal insertion of pellets. These are in most cases mechanically manufactured and enclosed in multiple layers of wrapping to withstand breakage during long-distance drug smuggling routes (see Figure 1)1,2. At the end of the drug trafficking chain, street dealers or consumers who carry packets of illicit substances can resort to bodystuffing, which consists of hastily swallowing them for concealment from law-enforcement officers in anticipation of impending search or arrest2,3. Contrasting with the robustness of bodypacking pellets, bodystuffing packets are loosely wrapped in cellophane or condoms4.

Sample of mechanically prepared pellets (length of 4–5 cm, diameter of 1.5–2 cm) (Courtesy: NT Tran).
Although individuals who resort to bodypacking or bodystuffing are often conveniently identified as ‘bodypackers’ or ‘body-stuffers’ by law-enforcement, criminal justice, and health professionals, these shortcuts in terminology should be avoided as they carry the potential of dehumanizing individuals with suspected or confirmed bodypacking or bodystuffing. Instead, the use of person-centered language should be favored5.
People using bodypacking can swallow up to 1 kilogram of illicit substances divided into 50 to 100 pellets, each containing 10 to 20 grams of drugs (mostly cocaine or heroin)2,3,6. They generally consume constipating substances or spasmolytic medicine to reduce peristalsis and the risk of pellet evacuation during long travel journeys. Upon arrival, laxatives or prokinetics can be administered to accelerate the drug recovery process7,8. In Switzerland, a person arrested by law-enforcement authorities for suspected bodypacking or bodystuffing is brought to a medical facility, where an unenhanced low-dose abdominal computed tomography (CT) scan is performed to ascertain the presence of pellets3,9,10. The person has the right to refuse to undergo a CT scan and cannot be constrained to it, in which case the surveillance of pellet evacuation in a medical facility offers an alternative option11.
The rupture of drug pellets is associated with high mortality risks12. For this reason, if CT scan findings are positive, the person is transferred for medical observation to a hospital unit with ad-hoc security surveillance or, where available, to a secured hospital inpatient ward specifically dedicated to the care of people who are incarcerated. Clinical observation is ensured around the clock with vital signs and neurologic surveillance performed every 2 to 4 h (Glasgow Coma Scale and pupil reflexes). The content of the first expelled pellet is analyzed, and the nature of its substance communicated to the medical team, so that they can prepare for an adequate response in case of complications. After three bowel movements without pellets or after the evacuation of the reported number of pellets, another CT scan is performed to check for complete clearance.
In addition to the loose wrapping of the packets and the reasons for swallowing them, bodystuffing has a few other differences when compared to bodypacking. Individuals who resort to bodystuffing usually swallow a smaller number of packets, and their clinical management has been a matter of debate. Some recommend discharge after 6 h of unremarkable monitoring, while others propose a health facility-based surveillance until all packets are cleared by unaided bowel movements (no medication, such as prokinetics or laxatives)13–15. The use of mineral oil laxatives is strongly discouraged because it dissolves latex and can cause packet rupture with potentially dangerous and sometimes fatal outcomes12,15.
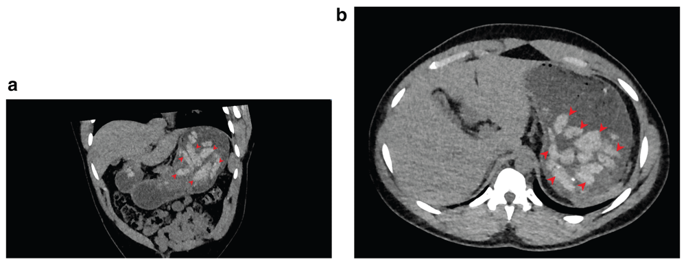
This case involved a young and healthy man from western Africa whom the police arrested for possession of cocaine in the street of Geneva, Switzerland. Police officers also suspected him of having swallowed cocaine pellets and brought him in November 2018 to our Emergency Department (ED) for investigation of bodystuffing. A low-dose abdominal CT scan was done, showing multiple foreign bodies of similar appearance in the stomach, which the on-call radiologist reported to be compatible with ingested drug packets (Figure 2a and 2b).

(a) Multiple intra-digestive foreign bodies (arrows) located in the stomach and the first part of the duodenum (oblique coronal view). (b) Multiple intra-digestive foreign bodies (arrows) in the stomach (axial view).
In the ED, relevant history included the fact that he was single and homeless, had no physical or mental health conditions, and was not on any medication. Past substance use history included tobacco and cannabis smoking, cocaine, and alcohol at the rate of 1 liter of whisky per day. Vital signs were normal, and the physical exam revealed no epigastric tenderness, no abdominal rigidity, guarding, rebound tenderness, nor evidence of a palpable mass. The remaining physical examination was unremarkable, showing a patient who was alert, oriented, calm, without any intention of self-harm, but uncooperative. The patient denied having resorted to bodystuffing, even after he was informed about the positive radiological findings in his stomach.
In accordance with our guidance on the clinical management of bodystuffing, the patient was subsequently admitted to our secured hospital inpatient ward for observation. Upon his admission to the ward, he continued to deny the ingestion of drug packets and revealed that he had consumed ‘fufu’ the previous evening. Indeed, his eating habits included only one meal a day, and this was usually a heavy starchy dish from western and central Africa called ‘fufu’. Eating fufu left him feeling full for a whole day without the need of eating again. This critical information was passed onto the radiologist who carefully reviewed the images with the attending supervisor: the foreign bodies, which were previously read as compatible with images of drug pellets, were in the process of being digested! In fact, the CT scan showed images of foreign bodies with irregular borders and of different sizes (Figure 3a and 3b). Drug pellets have clearly defined and regular edges, and, if mechanically manufactured, they would have been of the same size and shape. The continuous denial of bodystuffing by the patient, his mention of fufu, the revised radiological reading, combined with the absence of acute signs of cocaine or heroin being released from dissolving bodystuffed packets were compatible with the patient’s history of fufu intake. We immediately informed the criminal justice authorities and the patient was rapidly discharged from our secured hospital inpatient ward.
This case study offered an example of a false positive CT scan reading of internally concealed illicit substances, which, to our knowledge, is the first report in the peer-reviewed literature. From this case, several points are useful to consider for the management of individuals investigated for bodystuffing.
First, the importance of a detailed patient history upon admission to the ED cannot be overstated, in particular with regard to different food types that were ingested in the past 24 h and that could influence radiological reading. A quick 24 h food intake history would have allowed our radiologist to analyze the images with relevant information that could bias the interpretation of results.
Second, foreign bodies of similar density, such as shaped food, especially if located in the stomach, can mimic images of drug pellets. The literature reported other swallowed foreign bodies that could be misread as drug pellets, including scybala (hardened masses of feces), grains, stones, apples, or other fruits4,16. In our case, it was fufu, which is also spelled ‘foofoo’ or ‘foufou’. It is a popular dish in western and central African countries, which consists of starch (e.g., from cassava, yam, or plantain) that is boiled, pounded, and rounded into balls. Fufu balls are then dipped into sauces or eaten with stews of meat, fish, or vegetable17,18. It is a common tradition to shape fufu balls with the right hand and, with the lubricating aid of diverse sauces, to swallow them without chewing to decrease the chance of feeling hungry over a whole day18,19. The CT scan measurement of Hounsfield Units, which reflect density, could help differentiate the nature of diverse ingesta. However, measuring density is not fully reliable as the nature of the substance, its purity, admixture, and compression all play a role in imaging results20.
Third, false-positive interpretation of internal concealment of illicit substances should be avoided at all costs, as it poses significant clinical and ethical issues due to an individual’s deprivation of freedom and hospitalization into a law-enforced inpatient unit. In addition, unnecessary detention results in direct and indirect costs to the health system, the criminal justice authorities, and most importantly to the person under investigation, who could be psychologically and physically impacted by the incarceration.
This case report showed that a careful history of food intake and sharing with the radiologist relevant information that could bias the interpretation of CT scan images are essential for the management of patients presenting with bodystuffing. If there are discrepancies between the CT scan results and the patient’s history, including the swallowing of unchewed fufu or other pellet mimicking ingesta, it is recommended that the initial image interpretation be reviewed. If needed, this could be done with the expertise of professionals who are used to read images of illicit substances that are internally concealed.
Informed written consent was obtained from the patient for publication of this case report and all accompanying images.
All data underlying the results are available as part of the article and no additional source data are required.
| Views | Downloads | |
|---|---|---|
| F1000Research | - | - |
|
PubMed Central
Data from PMC are received and updated monthly.
|
- | - |
Is the background of the case’s history and progression described in sufficient detail?
Yes
Are enough details provided of any physical examination and diagnostic tests, treatment given and outcomes?
Yes
Is sufficient discussion included of the importance of the findings and their relevance to future understanding of disease processes, diagnosis or treatment?
Yes
Is the case presented with sufficient detail to be useful for other practitioners?
Partly
Competing Interests: No competing interests were disclosed.
Reviewer Expertise: Medical Toxicology, Emergency Medicine.
Is the background of the case’s history and progression described in sufficient detail?
Yes
Are enough details provided of any physical examination and diagnostic tests, treatment given and outcomes?
Yes
Is sufficient discussion included of the importance of the findings and their relevance to future understanding of disease processes, diagnosis or treatment?
Partly
Is the case presented with sufficient detail to be useful for other practitioners?
Yes
Competing Interests: No competing interests were disclosed.
Reviewer Expertise: Surgery, oncology
Alongside their report, reviewers assign a status to the article:
| Invited Reviewers | ||
|---|---|---|
| 1 | 2 | |
|
Version 2 (revision) 29 Jan 21 |
read | |
|
Version 1 22 Jul 19 |
read | read |
Provide sufficient details of any financial or non-financial competing interests to enable users to assess whether your comments might lead a reasonable person to question your impartiality. Consider the following examples, but note that this is not an exhaustive list:
Sign up for content alerts and receive a weekly or monthly email with all newly published articles
Already registered? Sign in
The email address should be the one you originally registered with F1000.
You registered with F1000 via Google, so we cannot reset your password.
To sign in, please click here.
If you still need help with your Google account password, please click here.
You registered with F1000 via Facebook, so we cannot reset your password.
To sign in, please click here.
If you still need help with your Facebook account password, please click here.
If your email address is registered with us, we will email you instructions to reset your password.
If you think you should have received this email but it has not arrived, please check your spam filters and/or contact for further assistance.
Comments on this article Comments (0)