Keywords
Pulmonary Embolism, Idiopathic, Thromboembolism
Pulmonary Embolism, Idiopathic, Thromboembolism
Venous thromboembolism (VTE) consists of pulmonary embolism (PE) and deep vein thrombosis (DVT). It is one of the leading causes of cardiovascular disability and impaired quality of life. It also causes major long-term complications, which include recurrent VTE, chronic thromboembolic pulmonary hypertension and post-thrombotic syndrome1.
PE is said to be the third leading cause for cardiovascular mortality (after myocardial infarction and stroke). It leads to 100 000 deaths annually. It is not only the leading preventable cause of death in admitted patients1 but also the leading cause of deaths in mothers during pregnancy in developed countries2.
Idiopathic or unprovoked VTE is defined as “any VTE in the absence of an identifiable predisposing factor”3. Taking into consideration that unprovoked VTE is very rare, especially in the young adults, we put forward a case report of VTE in a 24-year-old man.
A 24-year-old man was brought to the emergency department of a hospital, by his office-colleagues, complaining of sudden onset of chest pain and dyspnea at rest, for the last one hour. It was not associated with sweating, palpitations, cough, hemoptysis, syncope, giddiness, leg pain, pedal edema, fever, rash, or any bleeding manifestations.
History of calf pain, trauma, surgery, prolonged immobilization, long-haul air travel, bleeding diathesis or any other co-morbidity was not reported by the patient. The patient also denied any addiction history. Family history was found to be insignificant.
On admission, the patient’s heart rate was 114/min, and blood pressure was 106/90 mmHg. His respiratory rate was 22/min, and O2 saturation rate was 82% at room air. BMI was 20.76 kg/m2. There was no murmur or gallop on cardiovascular examination. Air entry was reduced in the left infra-axillary region. Electrocardiogram (ECG) showed tachycardia with S1Q3T3 pattern, and chest X-ray was suggestive of obliteration of left costo-phrenic angle. The D-Dimer (17.31 ug/ml) was elevated, 34 times above the normal upper limit (0.5 ug/ml).
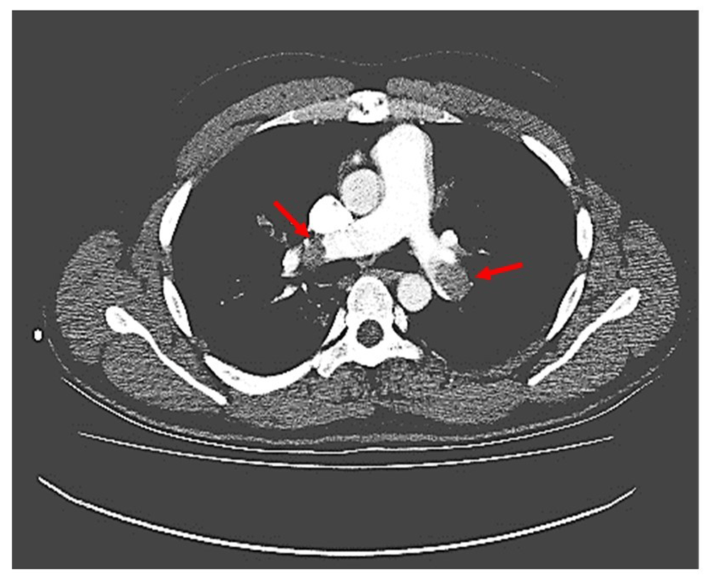
CT-Pulmonary Angiogram (Figure 1) was suggestive of a massive pulmonary thromboembolism. The pulmonary trunk was dilated to ~30 mm. There was a non-lumen occluding circumferential filling defect in the main pulmonary trunk, with maximum thickness of 4.5 mm. A large partial-lumen occluding filling defect was noted in the left main pulmonary artery, which was extending further into the hilar branch, occluding the lumen completely. Another larger complete lumen occluding filling defect was noted in the right main pulmonary artery. These filling defects were extending into the segmental and sub-segmental branches of the lateral segment of the right middle, lingual and bilateral lower lobe. The RV: LV ratio was 2:1. All four pulmonary veins were normal, and there was no evidence of mediastinal pathology.

On admission, the patient also underwent a bilateral arteriovenous Doppler study, which was suggestive of a partially-lumen- occluding thrombus in the proximal part of left popliteal vein and a completely lumen-occluding thrombus at the left saphenopopliteal junction, approximately 14 cm long. The veins of both legs showed arterialized waveforms.
On 2D echocardiography, right atrium and right ventricle was mildly dilated with grade I, tricuspid regurgitation (TR) and pulmonary arterial systolic pressure by TR jet was 55 mmHg suggestive of moderate pulmonary artery hypertension. No regional wall motion abnormality was observed and left ventricular ejection fraction was 60%.
The coagulation profile was within normal limits. All other blood investigations i.e. hemogram, serum electrolytes, renal and liver function tests were within normal range. The patient had mild hyperuricemia with serum uric acid level being 7.4 mg/dL (Normal – 3.5 – 7.2 mg/dL). Cardiac enzymes (Creatine PhosphoKinase-MB and Troponin T) were mildly elevated.
Although it was a clear case of massive VTE, the underlying etiology of such an event could not be extrapolated. Since the patient was a 24-year-old man, without any risk factors or comorbidities, the final diagnosis of unprovoked VTE was made.
The patient was thrombolysed with Injection Alteplase infusion (100mg IV, over two hours) with Injection Enoxaparin 60 mg given subcutaneously every 12 hours. After which, the patient developed hypotension which was treated with inotropic support. Although he had tachycardia post-thrombolysis for the next two days, his blood pressure returned to normal on the third day. 48-hours after giving thrombolytic treatment, the left lower limb venous doppler was done which was suggestive of a partial-lumen occluding the thrombus in popliteal vein extending from saphenopopliteal junction to mid-leg approximately 10 cm long. The CT-pulmonary angiogram was not repeated (post-thrombolysis), due to financial constraints; however, the patient improved drastically. He was shifted to general ward on day 4 post admission. Tab Rivaroxaban 15 mg (12 hourly, orally) was prescribed for the next three weeks. The patient was discharged successfully on the 15th day of admission. One week after discharge, the patient was advised Tab. Rivaroxaban 20 mg, once daily.
VTE in a young male patient is life-threatening, especially if it is unprovoked. The most common and important ECG finding in a patient with PE is sinus tachycardia and the presence of S1Q3T3 pattern in the ECG. Presence of these findings shortened the time for diagnosis of acute PE in our patient and the management after that4.
Literature suggests that the risk of early death among patients with symptomatic PE is 18-fold higher when compared with the patients having DVT alone5. Had this patient presented with sinus tachycardia alone, he would have undergone a battery of investigations, and prompt thrombolysis would have been delayed. Furthermore, the incidence rate of VTE is about 1.5 per 1,000 person-years while appearance of DVT is twice as common6.
Since our patient did not have any clinical features suggestive of DVT, having a Doppler study suggestive of DVT, was more of an additional finding, confirming VTE in this patient. A young man with sudden chest pain and dyspnea without any leg pain and who is otherwise healthy, is likely to be mismanaged, as suspicion of pulmonary or venous thrombo-embolism is quite low.
Before attempting to use the Wells criteria, a point-score based on clinical features and the likelihood of diagnoses other than PE, the clinician must first have a suspicion of the diagnosis before attempting to apply the Wells criteria7. On admission, the Wells score for PE was 4.5 with a moderate probability of having a PE for the present patient based on the history and clinical features. The findings on CT Pulmonary Angiogram scan and ECG, increased the possibility of a PE, hence 3 points and 1.5 points were added for presence of tachycardia in our patient’s total score. The well’s score for DVT was 0, as there was no history of cancer, surgery, immobilization, calf swelling, superficial veins, lower limb swelling, tenderness, paralysis or previous history of DVT. Hence high clinical suspicion remains the key in diagnosing PE, especially in the absence of DVT.
A case of unprovoked VTE, especially acute PE, needs to be extensively worked up, to prevent recurrence. Apart from history, family members need to be screened for coagulopathy or asymptomatic VTE, which was not done in this case. Although, coagulation profile, i.e. International Normalised Ratio (INR), prothrombin time, and activated partial thromboplastin time (APTT), was normal in our patient, it is advisable to do a thrombophilia profile. The thrombophilia profile will help to anticipate the tendency to develop pathological clotting or thrombotic disorders and consists of namely, factor V Leiden mutation, prothrombin gene mutation, protein C resistance, anti-beta 2 glycoprotein, anticardiolipin antibodies, protein S activity and serum homocysteine levels8. Due to the huge cost of these investigations, it becomes difficult to run such investigations while dealing with a case of acute PE in hospital. Thrombophilia profile is not indicated for the patients who are on anticoagulation therapy. Our patient gave a negative consent for doing a thrombophilia profile, hence the procedure was not done.
Inj. Alteplase is indicated as a fibrinolytic agent for the lysis of the clot seen in acute massive PE9. Massive PE is caused by obstruction (more than 50% of the cross-sectional area) of the pulmonary arterial tree, leading to an acute and subsequently severe cardiopulmonary failure due to right ventricular overload10.
Silent VTE can develop into PE which may be unrecognized for a long time before the clinical features develop. High clinical suspicion is the key, for the diagnosis of acute PE in young patients, especially in the absence of history suggestive of DVT. In the absence of hemodynamic instability, the decision of fibrinolysis, in acute massive PE, largely depends on CT-Pulmonary Angiogram.
Written informed consent was taken from the patient and hospital authority to publish this case.
All data underlying the results are available as part of the article and no additional source data are required.
| Views | Downloads | |
|---|---|---|
| F1000Research | - | - |
|
PubMed Central
Data from PMC are received and updated monthly.
|
- | - |
Is the background of the case’s history and progression described in sufficient detail?
Yes
Are enough details provided of any physical examination and diagnostic tests, treatment given and outcomes?
Partly
Is sufficient discussion included of the importance of the findings and their relevance to future understanding of disease processes, diagnosis or treatment?
Yes
Is the case presented with sufficient detail to be useful for other practitioners?
Yes
Competing Interests: No competing interests were disclosed.
Reviewer Expertise: Cardiovascular physiology, Exercise physiology, Public health, Medical education
Is the background of the case’s history and progression described in sufficient detail?
Yes
Are enough details provided of any physical examination and diagnostic tests, treatment given and outcomes?
Partly
Is sufficient discussion included of the importance of the findings and their relevance to future understanding of disease processes, diagnosis or treatment?
Yes
Is the case presented with sufficient detail to be useful for other practitioners?
Yes
References
1. Guo LW, Wang B, Goel SA, Little C, et al.: Halofuginone stimulates adaptive remodeling and preserves re-endothelialization in balloon-injured rat carotid arteries.Circ Cardiovasc Interv. 2014; 7 (4): 594-601 PubMed Abstract | Publisher Full TextCompeting Interests: No competing interests were disclosed.
Reviewer Expertise: Medicine, Surgery, Orthopaedics, Spine, Innovation, Technoinnovations
Alongside their report, reviewers assign a status to the article:
| Invited Reviewers | ||
|---|---|---|
| 1 | 2 | |
|
Version 2 (revision) 25 Mar 19 |
read | |
|
Version 1 14 Feb 19 |
read | read |
Provide sufficient details of any financial or non-financial competing interests to enable users to assess whether your comments might lead a reasonable person to question your impartiality. Consider the following examples, but note that this is not an exhaustive list:
Sign up for content alerts and receive a weekly or monthly email with all newly published articles
Already registered? Sign in
The email address should be the one you originally registered with F1000.
You registered with F1000 via Google, so we cannot reset your password.
To sign in, please click here.
If you still need help with your Google account password, please click here.
You registered with F1000 via Facebook, so we cannot reset your password.
To sign in, please click here.
If you still need help with your Facebook account password, please click here.
If your email address is registered with us, we will email you instructions to reset your password.
If you think you should have received this email but it has not arrived, please check your spam filters and/or contact for further assistance.
Comments on this article Comments (0)