ALL Metrics
-
Views
-
Downloads
Get PDF
Get XML
Cite
Export
Track
Case Report

Case Report: Pediatric pharmacobezoar with subacute intestinal obstruction

[version 1; peer review: 1 approved, 1 approved with reservations]
PUBLISHED 25 Aug 2020
Author details Author details
OPEN PEER REVIEW
REVIEWER STATUS

Abstract

Bezoars are an undigested mass causing an intraluminal obstruction in children.  Pharmacobezoars are formed from medicines or their vehicle, considered as a less frequent type observed in children. Our objective is to report a relatively rare entity as a potential cause of intestinal obstruction in children.  Here we report a case of 13-year-old girl with a history of herbal medicine intake who presented with persistent vomiting and abdominal distension. She was diagnosed with acute intestinal obstruction and managed conservatively without any complications. The patient became stable within two days so was discharged home. We found that ineffective history could lead to a delay in diagnosis and management. Clinicians should have a high index of suspicion for pica and psychiatric disorders, especially in adolescent children.

Keywords

bezoar, pharmacobezoar, intestinal obstruction, children.

Introduction

The word bezoar is derived from the Persian word, or Arabic word Badzehr, which both refer to antidote1. It is defined as the accumulation of undigested ingested material leading to the formation of a mass. Its most common site is the stomach followed by the intestines. The risk of bezoars is higher in children with altered gastrointestinal anatomy, altered motility, and psychiatric disorders. It is further classified by the composition of accumulated material into phytobezoar containing food particles from plant origin, trichobezoar made of hair, lactobezoar formed from milk concretion, and pharmacobezoar formed from medicines or their carrier material2. Phytobezoars are the most common among all. Pharmacobezoars are a rare cause of mechanical obstruction of the gastrointestinal tract, and are hence difficult to diagnose. Drugs commonly observed causing bezoar formation are antacids, such as aluminum hydroxide and sucralfate, but they may be caused by other medications, including nifedipine and cholestyramine. Here, we report a case of young girl presenting with intestinal obstruction secondary to excessive intake of herbal medicine. Her diagnosis was delayed for a week despite visiting multiple hospitals due to the paucity of proper history intake.

Case report

A 13-year-old girl presented to the emergency room of our hospital with a complaint of abdominal pain for six days. She had a history of eating 30 ayurvedic digestive tablets to relieve her indigestion 1 day prior to the onset of abdominal pain. The pain was moderate to severe in intensity, more in the umbilical region, non-radiating, associated with vomiting, and refusal to feed. The patient was taken to a local hospital where intravenous antiemetic dimenhydrinate 50mg stat was given, along with intravenous fluids. An X-ray of the abdomen was done at that time showing distended bowel loops with significant fecal impaction. The patient was given laxative sodium picosulfate 7.5mg stat and discharged after 4 hours.

Two days later, the patient developed persistent vomiting along with constipation. She was taken to another local hospital where an X-ray of the abdomen was performed showing multiple air-fluid levels. The patient was restricted to oral intake both solids and liquids, an intravenous line was maintained, intravenous fluids and antibiotic ceftriaxone (2 gram once daily) were given, and a nasogastric tube was passed. Surgical opinion was sought at this time and surgical exploration was planned; however, this was refused by the family and the patient was taken to our hospital next day.

At the time of presentation in our hospital, the patient was vitally stable, pale-looking with a nasogastric tube placed in the right nostril. Her abdomen was soft, distended with centrally placed umbilicus and gut sounded sluggish on auscultation. Otherwise, she had no visceromegaly. The patient’s drain attached to the nasogastric tube collected 850ml greenish aspirates over 8 hours. Visual assessment of the aspirated fluids showed particles of ingested medicine. Basic laboratory workups, including complete blood count, electrolytes, and creatinine, were performed (Table 1). X-ray of the abdomen done at our hospital showed a deeply placed nasogastric tube with distended bowel loops (Figure 1 and Figure 2). The nasogastric tube was removed and the patient was kept on intravenous ceftriaxone (1 gram twice daily) and metronidazole (250mg every 8 hours for 3 days). Surgical consultation was reviewed and after 6 hours she was allowed liquids and foods orally, initially for liquids then after 8 hours solid food was given.

Table 1. Laboratory results with normal ranges.

Laboratory testObserved valuesReference range
Hemoglobin11.4 g/dl12-14g/dl
Total Leukocyte count13 ×109/L4-10×109/L
Neutrophil count62%54-62%
Lymphocyte count26%25-33%
Platelets362 ×109/L×109/L
Creatinine0.5 mg/dl0.5-1mg/dl
C reactive protein9.9 mg/dl0-0.5 mg/dl
SGPT (serum glutamic-
pyruvic transaminase)
36 IU/L12-45 IU/L
Sodium143 mmol/L136-145 mmol/L
Potassium3.3 mmol/L3.5-5.1 mmol/L
Chloride105 mmol/L98-107 mmol/L
Bicarbonate19.4 mmol/L20-31 mmol/L
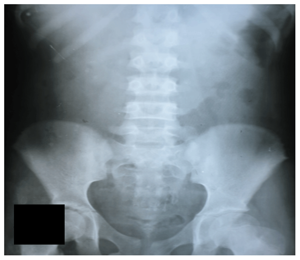
59a331d2-33e7-4187-a84d-9895a5395445_figure1.gif

Figure 1. X-ray of the abdomen showing diffuse fecal loading.

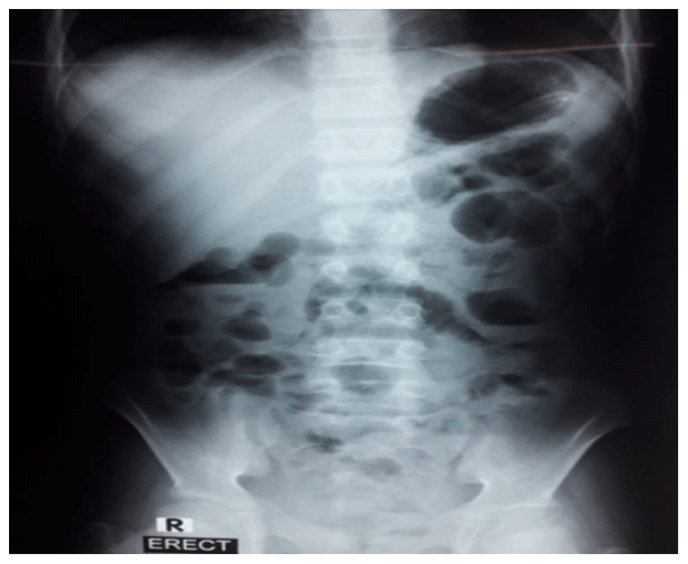
59a331d2-33e7-4187-a84d-9895a5395445_figure2.gif

Figure 2. X-ray of the abdomen multiple air fluid levels.

The patient passed stool and had no issues of vomiting, so she was discharged on the second day of admission after dietary counseling. X-ray abdomen showed normal gaseous shadows (Figure 3). Scheduled follow up after 10 days, showed that the patient was in good condition.

59a331d2-33e7-4187-a84d-9895a5395445_figure3.gif

Figure 3. X-ray of the abdomen showing normal gaseous shadows after treatment.

Discussion

Mechanical obstruction caused by pharmacobezoars accounts for 4% of all patients with intestinal obstruction, often subacute obstruction3. Mechanisms involved in formation of pharmacobezoars include dysmotility secondary to an anatomical defect or anticholinergic effects of the drug, a massive quantity of drug intake, or its hydrophobic nature4. Ingestion of medicine in huge quantities may be secondary to mental retardation, psychiatric disorders, or suicidal intentions. There is limited published data of pediatric pharmacobezoar internationally in this regard with no documented evidence in the local population in Pakistan.

Imaging modality used in diagnosis of pharmacobezoars includes plain radiographs and ultrasonography, and more advanced techniques, such as CT scan. Endoscopy may be considered as a diagnostic tool as well as a therapeutic option for an impacted bezoar. Visual assessment and biopsy of fragmented bezoar tissue are also helpful in diagnosis.

Treatment options vary from a non-surgical approach, including conservative management, to laparoscopic approach or open laparotomy in rare circumstances. Non-surgical options include dissolution of bezoar, fragmentation, gastric lavage, or endoscopic removal, which is considered as the first line in management5. Irrigation of normal saline along with the withdrawal of the causative medicine has been effective in some cases6. One study has showed that the dissolution of pharmacobezoars was performed with cellulose and diet coke along with multiple medications1.

Our patient had a history of intake of herbal medicine composed of tamarind, guava, mint, and other spices. There was an unintentional massive intake of tablets within a short time, leading to its concretion in the small intestine. She was diagnosed with X-ray of the abdomen and managed with normal saline irrigation and abstinence of the culprit medicine as we had a lack of availability of endoscopy for pediatrics in our city.

If left untreated, bezoar may lead to perforation, peritonitis, weight loss, ulcer, anorexia, and constipation7. Endoscopic removal of bezoar may lead to aspiration, particularly in the case of fragmentation. Timely management is key to avoid these complications. Risk factors attributing to the development of bezoars, such as gastrointestinal motility disorders, drug interactions and psychiatric illnesses, should be addressed appropriately to avoid recurrent bezoars.

Conclusion

Bezoars account for a sporadic number of patients with mechanical intestinal obstruction. History of pica should be evaluated in patients with bezoars. Proper dietary counseling, adequate chewing, and psychotherapy may prevent this condition.

Consent

Written informed consent to publish the case report along with images was obtained from the father of the patient.

Data availability

All data underlying the results are available as part of the article and no additional source data are required.

Comments on this article Comments (0)

Version 2
VERSION 2 PUBLISHED 25 Aug 2020
Comment
Author details Author details
Competing interests
Grant information
Copyright
Download
 
Export To
metrics
Views Downloads
F1000Research - -
PubMed Central
Data from PMC are received and updated monthly.
- -
Citations
CITE
how to cite this article
Hakeem M, Lohana H, Urooj S and Ahmed S. Case Report: Pediatric pharmacobezoar with subacute intestinal obstruction [version 1; peer review: 1 approved, 1 approved with reservations]. F1000Research 2020, 9:1037 (https://doi.org/10.12688/f1000research.25441.1)
NOTE: If applicable, it is important to ensure the information in square brackets after the title is included in all citations of this article.
track
receive updates on this article
Track an article to receive email alerts on any updates to this article.

Open Peer Review

Current Reviewer Status: ?
Key to Reviewer Statuses VIEW
ApprovedThe paper is scientifically sound in its current form and only minor, if any, improvements are suggested
Approved with reservations A number of small changes, sometimes more significant revisions are required to address specific details and improve the papers academic merit.
Not approvedFundamental flaws in the paper seriously undermine the findings and conclusions
Version 1
VERSION 1
PUBLISHED 25 Aug 2020
Views
18
Cite
Reviewer Report 30 Nov 2020
Ajay Bhandarwar, Department of General Surgery, Grant Medical College & Sir JJ Group of Hospitals, Mumbai, Maharashtra, India 
Approved with Reservations
VIEWS 18
  1. History and progression are detailed, however, the need for ayurvedk]ic tablet ingestion has not been mentioned in the first place. Indigestion associated 30 tablet intake seems unlikely.
     
  2. Does the patient have any
... Continue reading
CITE
CITE
HOW TO CITE THIS REPORT
Bhandarwar A. Reviewer Report For: Case Report: Pediatric pharmacobezoar with subacute intestinal obstruction [version 1; peer review: 1 approved, 1 approved with reservations]. F1000Research 2020, 9:1037 (https://doi.org/10.5256/f1000research.28074.r73868)
NOTE: it is important to ensure the information in square brackets after the title is included in all citations of this article.
Views
9
Cite
Reviewer Report 09 Oct 2020
Roberto De Giorgio, Department of Morphology, Surgery and Experimental Medicine, St. Anna University Hospital, University of Ferrara, Ferrara, Italy 
Approved
VIEWS 9
Very interesting, well detailed case.
  1. I suggest the Authors to improve the quality of the images presented in this case report.
     
  2. Please note that Fig. 1 does not match with the
... Continue reading
CITE
CITE
HOW TO CITE THIS REPORT
De Giorgio R. Reviewer Report For: Case Report: Pediatric pharmacobezoar with subacute intestinal obstruction [version 1; peer review: 1 approved, 1 approved with reservations]. F1000Research 2020, 9:1037 (https://doi.org/10.5256/f1000research.28074.r72257)
NOTE: it is important to ensure the information in square brackets after the title is included in all citations of this article.

Comments on this article Comments (0)

Version 2
VERSION 2 PUBLISHED 25 Aug 2020
Comment
Alongside their report, reviewers assign a status to the article:
Approved - the paper is scientifically sound in its current form and only minor, if any, improvements are suggested
Approved with reservations - A number of small changes, sometimes more significant revisions are required to address specific details and improve the papers academic merit.
Not approved - fundamental flaws in the paper seriously undermine the findings and conclusions
Sign In
If you've forgotten your password, please enter your email address below and we'll send you instructions on how to reset your password.

The email address should be the one you originally registered with F1000.

Email address not valid, please try again

You registered with F1000 via Google, so we cannot reset your password.

To sign in, please click here.

If you still need help with your Google account password, please click here.

You registered with F1000 via Facebook, so we cannot reset your password.

To sign in, please click here.

If you still need help with your Facebook account password, please click here.

Code not correct, please try again
Email us for further assistance.
Server error, please try again.