Keywords
Orthodontic tooth movement, vitamin E, tooth movement distance, osteoblast, osteoclast.
Orthodontic tooth movement, vitamin E, tooth movement distance, osteoblast, osteoclast.
Tooth movement is induced by the application of orthodontic force characterized by bone and periodontal tissue remodelling. Orthodontic force also alters periodontal tissue vascularity and blood flow, resulting in the local synthesis and release of various molecules such as neurotransmitters, cytokines, growth factors, colony-stimulating factors and arachidonic acid metabolites1.
Bone remodelling is a process that enables tooth movement. It involves bone-reabsorption by osteoclasts on the pressure site and bone-formation by osteoblasts on the tension site2,3. Osteoclasts are multinucleated cells, irregular in shape with a process originating from Howship’s lacunae4. They stimulate bone resorption by creating cavities in the bone known as lacunae that will be filled by osteoblast cells3. According to Mavragani et al., the cellular process of osteoclast proliferation has been used as important indicators in evaluating the level of tooth movement5. Osteoblasts are mononuclear cells that originate from mesenchymal stem cells in bone marrow. Mature osteoblasts form the osteoid by synthesizing collagen and non-collagen proteins6.
According to Burstone in Asiry’s citation, there are three phases of orthodontic tooth movement, which consists the initial, lag and postlag phases7. The initial stage of orthodontic tooth movement stimulates an inflammatory response involving cells and blood vessels in periodontal ligaments as well as chemical mediators. In response to mechanical stress caused by the application of orthodontic force, substances such as cytokines and enzymes are released2,8. Interleukin-1β is a pro-inflammatory cytokine that facilitates fusion and activation of osteoclasts, and encourages early bone resorption9.
Studies have shown that vitamin E has anti-inflammatory properties, which helps suppress damaging effects of oxygen free radicals in cells during bone formation10. Previous studies carried out by Esenlik et al. and Xu et al. suggest that vitamin E supplementation may alter cytokine production; vitamin E supplement maintains normal bone remodelling in young animals and increases bone mass by decreasing the concentration of free radicals which suppress bone formation11,12.
Since orthodontic tooth movement is facilitated by bone remodelling cells and chemical mediators, it is possible to hypothesize that vitamin E has a positive effect on bone remodelling cells, which is crucial to tooth movement. However, it is unknown if vitamin would accelerate the movement or inhibit tooth movement. The purpose of this study was to evaluate the effect of vitamin E supplementation on orthodontic tooth movement in Wistar rats. Mice and rats are mammals that have a reasonably comparable metabolism to humans, which can be used for biological-cellular mechanism analysis in orthodontic tooth movement13.
This article was reported in line with the ARRIVE guidelines. The study was an in-vivo quasi experiment, which was approved by the Animal Research Ethics Committee, Department of Biology - Faculty of Mathematics and Science, Universitas Sumatera Utara (No. 0128/KEPH-FMIPA/2019).
A total of 56 healthy male, four to five-months old, Wistar rats, weighing 150–250 grams, were used in this study. The Wistar Rats came from the same breeding farm (Deli Serdang, North Sumatera, Indonesia) in two cycles.
The rats were adapted to their environment for 7 days before the experiment start. They were nurtured at the Animal House at Faculty of Mathematics and Science, Universitas Sumatera Utara in polycarbonate cage, which measured 480 mm × 265 mm × 210 mm. Each cage had wood shavings on the floor, and contained 3 or 4 animals, which were marked for each subgroup. Rats were chosen for each group by simple random sampling.
Low light to dark cycle was maintained for a minimum 12 hours at 25–30°C for room temperature within the experiment period. The rats were given a standard pellet diet. All conditions served to produce the optimum condition of the rats’ habitat14. A rubber separator was inserted between maxillae’s incisors to produce non-invasive experiments. Anaesthetic was used to euthanize the rats at the end of the experimental procedure.
Wistar rats (n=56) were divided into two groups. Each group was then divided into four subgroups (n=7), corresponding to the number of the days orthodontic force lasted, i.e. 0, 1, 3, 7 days. The sample size of each subgroup was decided by Sastroasmoro and Ismael’s formula for hypothetical analysis between independent variables15.
Subgroups were chosen based on the rats’ social behaviours. Hyperactive rats were chosen to be in the same cage, separately to rats with a more passive behaviour. These conditions avoided any anxiety social-related behaviour between rats in the cage within the experiment. For each experiment, a researcher who was blind to the experiment chose a sample randomly from each cage.
Group 1 were the control group and were given water orally as a placebo. The rats’ tail was marked with black pen. Group 2 were the experimental group and were given vitamin E (dl-α-Tocopheryl Acetate; Sanbe, Indonesia) at a dosage of 60 mg/kg, orally using gavage needle. The group 2 rats’ tail marked with red pen.
Water and vitamin E were given every day at 8am, for 14 days before and continued after application of orthodontic force. After 14 days, orthodontic force was applied to each rat in both groups by addition of a rubber separator to one of the maxilla incisors (Figure 1A). This administration of orthodontic force applied were carried out before daily water and vitamin E feeding. This procedure counted as the baseline time of the experiment. At each of these four time points distance measurements and quantity of osteoblasts-osteoclasts were measured (see section below).

(A) Rat separator; (B) Distance measurement; (C) Microscopic of whole teeth at 40x magnification. Lines, Yellow=teeth; Green=periodontal ligament; Red=alveolar bone. Arrows, Blue=pressure side; Green=tension side.
At end of each experiment period, the dosage of ketamine® at 80mg/kg of body weight and xyla® (Interchemie, Holland) at 10mg/kg of body weight was used to euthanised each rat by cardiac puncture methods for further research with blood analysis.
Tooth movement was measured using a digital calliper (Mitutoyo, Japan) was used to measure the distance between maxilla incisors at mesial cervical (Moorrees method) immediately after removal of the rubber separator (Figure 1B)16.
The pre-maxillae were dissected and fixated in 10% formalin for 24h, and decalcified with rapid-decalsifier, Nitric acid 10% (Aurona Scientific, Singapore) for 10-14 days. The embedded blocks were trimmed using a Leica microtome (Leica, Germany) into 5µm sections. Histological sections were stained with haematoxylin-eosin and were examined using Olympus CX21 light microscope at 400x magnification to analyse the number of cells within five fields of view for each measurement. A pressured site exhibited as a narrow area between teeth and alveolar bone where the tooth tended to move, and this site was used for osteoclast analysis. A tension site exhibited as a wide area between teeth and alveolar bone where the tooth was left out, and this site was used for osteoblast analysis (Figure 1C).
IBM-SPSS (Statistical Package for Social Sciences), version 26.0, was used for statistical analysis. Independent t-test and Mann-Whitney test were used to analyse the difference between the two main groups. General Linear Model-Repeated Measures (ANOVA GLM-RM) and Friedman analysis were used to analyse the difference between time intervals. Significant differences were determined at p<0.05.
Tooth movement distances were greater in group 2 compared to group 1 at each time point (Table 1). This difference was only statistically significant on day 3 (p=0.001). For both groups, tooth movement was significantly different between each time interval in each group (p=0.041). After day 3, movement for group 1 reduced, while for group 2, this continued to increase until day 7.
Data are presented as mean±SD.
| Day | Tooth movement (mm) | P valuea | P valueb | |
|---|---|---|---|---|
| Group 1 | Group 2 | |||
| 0 | 0.00±0.00 | 0.00±000 | Baseline | 0.041 |
| 1 | 0.25±0.05 | 0.31±0.13 | 0.486 | |
| 3 | 0.22±0.12 | 0.50±0.11 | 0.001 | |
| 7 | 0.37±0.20 | 0.55±0.22 | 0.1373 | |
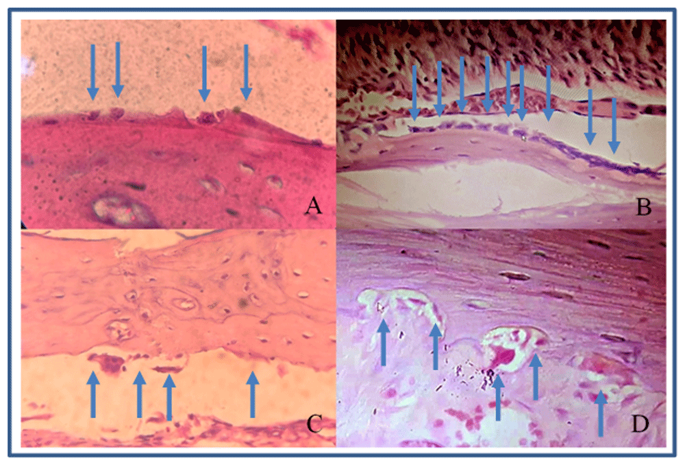
The number of osteoblasts in group 2 were higher compared with group 1 at each time point (Figure 2A and B; Table 2). These differences were statistically significant (p<0.05). Group 2 showed increased osteoblasts starting from day 0 to day 3, while group 1 had decreased osteoblast after day 3.

(A) osteoblasts in group 1 (control); (B) osteoblasts in group 2 (vitamin E treatment); (C) osteoclasts in group 1; (D) osteoclasts in a Howship’s lacuna in group 2.
Data are presented as mean±SD.
| Day | Number of osteoblasts (n) | P valuea | P valueb | |
|---|---|---|---|---|
| Group 1 | Group 2 | |||
| 0 | 5.14±1.34 | 9.21±3.21 | 0.012 | 0.001 |
| 1 | 5.29±1.71 | 9.36±2.38 | 0.003 | |
| 3 | 3.86±1.94 | 10.14±3.53 | 0.004 | |
| 7 | 5.04±0.95 | 8.43±1.02 | 0.002 | |
The number of osteoclasts in group 2 were higher than group 1 except on day 1, but the differences were not significant statistically (Figure 2C and D; Table 3).
Data are presented as mean±SD.
| Day | Number of osteoclasts (n) | P valuea | P valueb | |
|---|---|---|---|---|
| Group 1 | Group 2 | |||
| 0 | 0.89±0.48 | 1.18±0.47 | 0.393 | 0.016 |
| 1 | 1.86±0.93 | 1.79±0.77 | 0.797 | |
| 3 | 1.07±0.91 | 1.68±0.67 | 0.109 | |
| 7 | 1.82±1.01 | 2.18±0.93 | 0.172 | |
Orthodontic force causes gradual compression on the periodontal ligament, which leads to circulatory disorders, such as ischemia and hypoxia in the early stage of orthodontic tooth movement17. Hypoxia and compression caused by orthodontic force stimulate the production of reactive oxygen species and free radicals, which contribute to cellular and tissue damage, especially damaging lipid peroxidation chains18. Vitamin E is a strong biological antioxidant that has several functions: scavenges free radicals, which inhibit lipid peroxidation and inflammation; protects ischemic tissue and hypoxia; provides immunostimulation11,19. Norazlina et al. observed the effect of vitamin E supplementation on bone metabolism in mice treated with nicotine. Their study results suggested that vitamin E can increase trabecular bone formation and prevent bone calcium loss by reducing pro-inflammatory cytokines20.
In the present study, it can be seen that both groups showed increased tooth movement distance as well as increase in the number of osteoclast and osteoblast cells on day 1. This is due to the initial phase of tooth movement after application of orthodontic force21. This phase occurs 24 hours to 48 hours after application of orthodontic force on teeth3.
Our results showed that the number of osteoclasts is higher in group 2 compared to group 1 although the difference was not statistically significant. Miresmaeili et al., in their study on the effect of vitamin C to orthodontic tooth movement, found that osteoclast numbers were significantly higher in the vitamin C group, which hence accelerates tooth movement22. Kale et al., in their research on vitamin D injection, observed a significant amount of Howhip’s lacunae in resorption cavity as a result of osteoclast’s activity23. Future research is required to observe the comparison between Howship’s lacunae and osteoclasts numbers.
In our study, there were statistically significant differences in the mean number of osteoblast cells between both groups at each time observed. Kawakami and Takano-Yamamoto demonstrated an increased osteoclast and osteoblast number with local injection of 1,25-dihydroxyvitamin D3 in the submucosal palatal area of rats subjected to tooth movement on day 7. Increased osteoblast counts were observed on day 1419,24. In another study, Feresin et al. reported that the formation rate and bone volume increased significantly by 65% in rat bone, who were given a vitamin E diet compared to the control group. Their result indicated that a vitamin E diet was able to increase the process of mineralization and bone formation mediated by osteoblast cells25. Diravidamani et al. stated that many drugs that are used to reduce pain had effects on orthodontic tooth movement. Further research should be done to observe vitamin E on pain regulation, because it has anti-inflammatory effect, which is assumed to reduce pain in orthodontic treatment10,26–28.
The force mechanism from the separator used in our study was static and the elasticity from the separator is easily lost due to saliva acidity (pH), food and chewing process; a the force of a rubber separator will be reduced by 50–55% within 24 hours29. This is a limitation of our study, as we wanted to analyse for a longer time and with a larger force. The aim of our study was to see the orthodontic tooth movement and not stabilization, so we decided to observe the orthodontic movement within the initial phase, and not all phases until the stabilization phase.
Our findings demonstrated that vitamin E accelerates tooth movement and stimulates bone formation. The number of osteoblast cells in the vitamin E supplemented group is significantly higher than those in the non-vitamin E group. Further studies are needed to evaluate the effect of different doses and types of vitamin E.
Open Science Framework: Methods, Figures, and Results from "Effect of Vitamin E Supplementation on Orthodontic Tooth Movement in Wistar Rats, https://doi.org/10.17605/OSF.IO/3S4QB30.
Open Science Framework: ARRIVE checklist for ‘Effect of vitamin E supplementation on orthodontic tooth movement in Wistar rats’, https://doi.org/10.17605/OSF.IO/3S4QB30.
Data are available under the terms of the Creative Commons Attribution 4.0 International license (CC-BY 4.0).
| Views | Downloads | |
|---|---|---|
| F1000Research | - | - |
|
PubMed Central
Data from PMC are received and updated monthly.
|
- | - |
Is the work clearly and accurately presented and does it cite the current literature?
No
Is the study design appropriate and is the work technically sound?
No
Are sufficient details of methods and analysis provided to allow replication by others?
No
If applicable, is the statistical analysis and its interpretation appropriate?
Partly
Are all the source data underlying the results available to ensure full reproducibility?
Partly
Are the conclusions drawn adequately supported by the results?
Partly
Competing Interests: No competing interests were disclosed.
Reviewer Expertise: bone biology
Is the work clearly and accurately presented and does it cite the current literature?
Yes
Is the study design appropriate and is the work technically sound?
Yes
Are sufficient details of methods and analysis provided to allow replication by others?
Yes
If applicable, is the statistical analysis and its interpretation appropriate?
Yes
Are all the source data underlying the results available to ensure full reproducibility?
Yes
Are the conclusions drawn adequately supported by the results?
Partly
Competing Interests: No competing interests were disclosed.
Reviewer Expertise: orthodontic biomaterials
Alongside their report, reviewers assign a status to the article:
| Invited Reviewers | ||
|---|---|---|
| 1 | 2 | |
|
Version 3 (revision) 07 Dec 20 |
||
|
Version 2 (revision) 15 Oct 20 |
read | |
|
Version 1 04 Sep 20 |
read | read |
Provide sufficient details of any financial or non-financial competing interests to enable users to assess whether your comments might lead a reasonable person to question your impartiality. Consider the following examples, but note that this is not an exhaustive list:
Sign up for content alerts and receive a weekly or monthly email with all newly published articles
Already registered? Sign in
The email address should be the one you originally registered with F1000.
You registered with F1000 via Google, so we cannot reset your password.
To sign in, please click here.
If you still need help with your Google account password, please click here.
You registered with F1000 via Facebook, so we cannot reset your password.
To sign in, please click here.
If you still need help with your Facebook account password, please click here.
If your email address is registered with us, we will email you instructions to reset your password.
If you think you should have received this email but it has not arrived, please check your spam filters and/or contact for further assistance.
Comments on this article Comments (0)