Keywords
flap-less crown lengthening, Erbium:YAG laser; smile line
flap-less crown lengthening, Erbium:YAG laser; smile line
According to the suggestions of the reviewer, minor changes have been made to case 1 presentation, case 2 presentation, and the discussion
See the authors' detailed response to the review by Nasim Chiniforush
Several clinical situations may require dental crown lengthening (CL) such as irregular smile line, gummy smile, decayed or fractured teeth, worn out teeth by parafunction habits (e.g. bruxism)1,2. Regardless of aesthetic or functional purpose, the conventional technique of CL involves scalpel incision, flap elevation and bone remodeling by burns, with or without adjunctive gingivectomy, the latter essentially related to the gingival biotype3,4. Despite the excellent clinical outcome, the conventional surgical technique may be more invasive depending on the severity of the clinical situation as well patient’s general health condition (e.g. medically compromised patients or in therapy with anticoagulant drugs). Many alternatives techniques for CL have been reported in literature but it is generally accepted that the least invasive are the laser-assisted techniques5,6. Of these, the erbium:YAG laser has the advantage to work on both hard (bone) and soft tissues (gingiva)7. We report on 2 cases treated by a mini-invasive erbium:YAG laser-assisted procedure (including gingiva and bone re-contouring) for CL in the anterior maxilla.
The patient was a 53 y.o. Caucasian woman with an no relevant medical history who was unemployed at the time of presentation (March, 2015). She presented an abundant gingiva covering tooth 1.2 which she wished to remove for aesthetical purposes (Figure 1a,b). Gingival remodeling and bone re-contouring by erbium:YAG laser was suggested. A small amount of anesthesia was injected locally (0.9 ml of mepivacaine cloridrate 2%, 1:100,000 epinephrine) after which the gingiva was remodeled by laser (Key Laser 3-Kavo s.r.l.) in de-focalized modality (not in contact free beam tip, 180 MJ/10 Hz, poor water emission) until the dental crown was sufficiently exposed according to the patient smile line (Figure 1c,d). After one week (Figure 2a), a second procedure was performed to re-contour the marginal bone by the same laser, using a surgical tip (optical prism scalpel-like tip of 01×10mm, 120 MJ/10 Hz, abundant water emission) in contact modality and through the gingival sulcus (flap-less); a light bleeding occurred during the procedure (Figure 2b). The gingival margin was completely healed, and the smile line appeared significantly improved 12 days after surgery (Figure 2c).

Alteration of the smile line related to the abundant gingiva of tooth 1.2 (a,b); gingival remodelling by erbium-doped yttrium aluminium garnet (erbium:YAG) laser and its immediate clinical appearance (c,d).
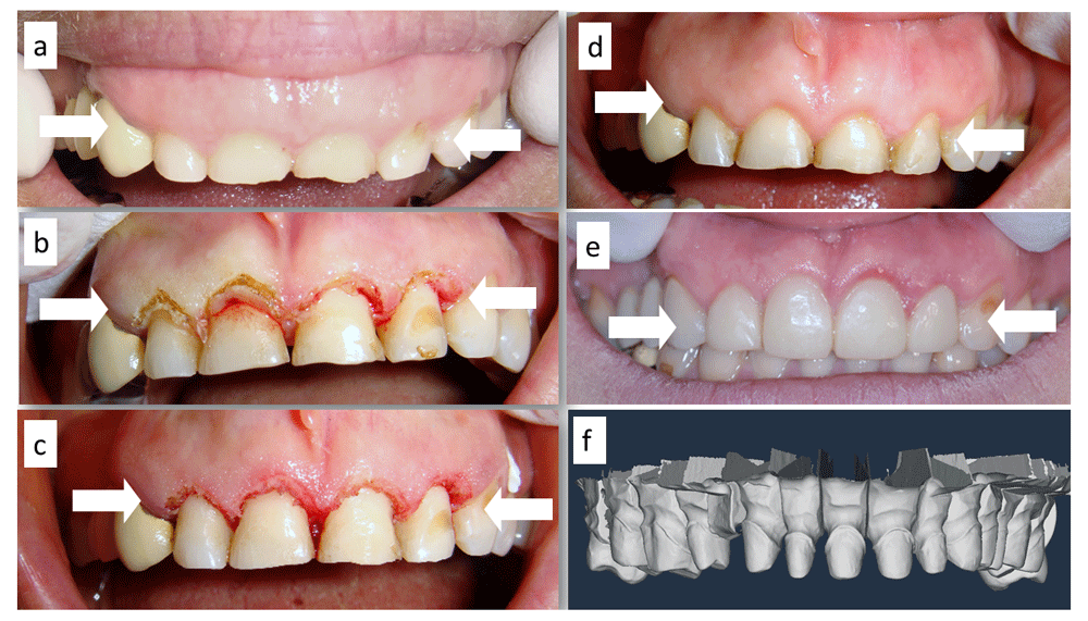
This 47 y.o. Caucasian housewife who presented in April 2016 with severe abrasion of the anterior teeth related to bruxism over a long duration (Figure 3a). Her medical history was un-remarkable. No pain and/or teeth hyper-sensibility were indicated by the patient, however, she was unhappy with her smile. A laser-assisted CL of the lateral and central incisors was planned to re-define a new marginal gingiva profile. After local injection of anesthesia, (1,8 ml of mepivacaine cloridrate 2%, 1:100,000 epinephrine), the marginal gingiva was careful recontoured by erbium:YAG laser (Key Laser 3-Kavo s.r.l.) (not in contact free beam tip, 180 MJ/10 Hz, poor water emission) till an adequate teeth exposure (Figure 3b,c); subsequently, the cortical bone was-remodeled by a surgical tip (optical prism scalpel-like tip of 01×10mm, 160 MJ/10 Hz, abundant water emission) on both aspects of the maxilla through the gingival sulcus without flap elevation (Figure 3d). After 14 days, gingival tissues appeared healed and teeth prepared for the following prosthetic restoration by cemented metal-ceramic crowns. (Figure 3e,f).

Severe abrasion of incisors due to bruxism (a); erbium-doped yttrium aluminium garnet (erbium:YAG) laser-assisted gingivectomy (b) and contextual flapless bone remodelling (c); the clinical appearance after 14 days (d), the teeth preparation as appearing on computer-aided design and the following prosthetic rehabilitation (e,f).
Several medical devices have been proposed to make CL less invasive, including piezosurgery4,8. Several lasers such as diode, neodymium-doped yttrium aluminum garnet (Nd:YAG), potassium titanyl phosphate (KTP), CO2, Erbium, chromium-doped yttrium, scandium, gallium and garnet (Er,Cr:YSGG) and erbium:YAG are widely used for CL1,2,6,9. However, the main difference between these is their capability to work exclusively on soft or hard or both tissues3,9,10. Diode, Nd:YAG, KTP and CO2 lasers may be useful when only gingival remodeling alone is necessary and this is essentially related to their surgical capabilities, especially contextual cuts and coagulation2,9,11,12. In fact, they are generally suggested for many surgical and non-surgical procedures in the oral cavity (frenectomy/frenulotomy, vestibuloplasty, mucosal biopsy, treatment of tooth hyper-sensibility, benign, potentially malignant and malignant lesions removal, surgical and not-surgical periodontal treatments including drug-related gingival overgrowth, photocoagulation of venous malformations, etc), but not for bone treatments12–19. When both gingival and bone remodelling is required, instead, the choice necessarily must fall on Er;Cr:YSGG or erbium:YAG lasers thanks to their selectivity for water, resulting in the capability to work by ablation on hard tissues as tooth and bone10,11,20,21. Therefore, such lasers can be used for dental cavity preparation, periodontal treatments, dentinal hypersensitivity, benign lesion removal, treatment of viral lesion of the oral mucosa and lip, gingival and/or bone remodelling or cutting7,9,10,20. In the reported cases, authors used an erbium:YAG laser both for soft and hard tissue treatment but with different tips and output energy parameters. The excellent clinical outcomes we described in terms of minimal invasiveness, lack of intra- and post-operative complications and pain, fast and predictable healing, are essentially related to the intrinsic proprieties of the erbium:YAG laser light and to the generally recognized gentle laser-oral tissues interaction10,11,20–22.
The overall clinical benefits of the erbium:YAG laser allows flapless CL to be simplified, even in difficult cases. The total absence of laser-related thermal injuries to the oral hard and soft tissues leads to highly predictable clinical results, and this is important in the treatment of the anterior teeth for aesthetic purposes. However, a good knowledge of laser-tissue interaction principles, sufficient experience on laser use and, obviously, familiarity with the general and basic guidelines of oral/periodontal surgery are mandatory to achieve desirable clinical results.
Written informed consent for publication of their clinical details and clinical images was obtained from the patient.
| Views | Downloads | |
|---|---|---|
| F1000Research | - | - |
|
PubMed Central
Data from PMC are received and updated monthly.
|
- | - |
References
1. Fekrazad R, Moharrami M, Chiniforush N: The Esthetic Crown Lengthening by Er;Cr:YSGG laser: A Case Series. Journal of Lasers in Medical Sciences. 2018; 9 (4): 283-287 Publisher Full TextCompeting Interests: No competing interests were disclosed.
Reviewer Expertise: photodynamic therapy, laser surgery, photobiomodulation, hard tissue surgery, soft tissue surgery
Is the background of the cases’ history and progression described in sufficient detail?
Yes
Are enough details provided of any physical examination and diagnostic tests, treatment given and outcomes?
Yes
Is sufficient discussion included of the importance of the findings and their relevance to future understanding of disease processes, diagnosis or treatment?
Yes
Is the conclusion balanced and justified on the basis of the findings?
Yes
Competing Interests: No competing interests were disclosed.
Reviewer Expertise: photodynamic therapy, laser surgery, photobiomodulation, hard tissue surgery, soft tissue surgery
Is the background of the cases’ history and progression described in sufficient detail?
Yes
Are enough details provided of any physical examination and diagnostic tests, treatment given and outcomes?
Yes
Is sufficient discussion included of the importance of the findings and their relevance to future understanding of disease processes, diagnosis or treatment?
Yes
Is the conclusion balanced and justified on the basis of the findings?
Yes
Competing Interests: No competing interests were disclosed.
Reviewer Expertise: Laser dentistry
Alongside their report, reviewers assign a status to the article:
| Invited Reviewers | ||
|---|---|---|
| 1 | 2 | |
|
Version 3 (revision) 01 Mar 21 |
read | |
|
Version 2 (revision) 22 Jan 21 |
read | |
|
Version 1 30 Sep 20 |
read | read |
Provide sufficient details of any financial or non-financial competing interests to enable users to assess whether your comments might lead a reasonable person to question your impartiality. Consider the following examples, but note that this is not an exhaustive list:
Sign up for content alerts and receive a weekly or monthly email with all newly published articles
Already registered? Sign in
The email address should be the one you originally registered with F1000.
You registered with F1000 via Google, so we cannot reset your password.
To sign in, please click here.
If you still need help with your Google account password, please click here.
You registered with F1000 via Facebook, so we cannot reset your password.
To sign in, please click here.
If you still need help with your Facebook account password, please click here.
If your email address is registered with us, we will email you instructions to reset your password.
If you think you should have received this email but it has not arrived, please check your spam filters and/or contact for further assistance.
Comments on this article Comments (0)