Keywords
Gubernacular canal, Compound Odontoma, Supernumerary teeth, Cone Beam CT, Impacted Canine
Gubernacular canal, Compound Odontoma, Supernumerary teeth, Cone Beam CT, Impacted Canine
Odontoma is defined as a benign odontogenic tumor containing enamel, dentin and cementum, and are classified by the World Health Organization into two main types: compound and mixed1,2. Compound odontoma consists of a tumorlike malformation (hamartoma) with varying numbers of tooth-like elements (odontoids). The complex odontoma consists of a tumour-like malformation (hamartoma) in which the enamel and dentin, and sometimes cementum, are present3. Pathogenesis of odontoma is still unclear, although some etiologic factors have been suggested such as trauma during primary dentition, genetic factors, and chronic inflammation4. They are usually small, asymptomatic and discovered through radiographic examination when patients present with a missing permanent tooth5,6.
Odontomas may cause disturbances in the eruption of teeth such as impaction, delayed eruption, or retention of deciduous or permanent teeth, despite these critical disturbances only a few patients have been described7
An impacted tooth is one that fails to fully erupt into the dental arch within the usual range of expected time. The tooth becomes impacted because abnormal tooth orientation, adjacent teeth, dense overlying bone, excessive soft tissue, or a genetic abnormality prevents eruption8. Exceptionally, it can be associated with the supernumerary teeth or an odontoma1.
The gubernacular cord is a structure composed of conjunctive tissue that connects the tooth follicle to the overlying gingiva, this cord guides or directs the course of the tooth eruption. A canal is formed within the bone by the osteoblastic activity to contain the gubernacular cord which is named gubernacular canal9–11
We present a case of an impacted upper canine with compound odontoma and a supernumerary tooth accompanied by gubernacular canal, where we utilised cone-beam computed tomography (CBCT) to diagnose the tumor prior to surgical treatment.
A 47-year old house wife – of African origin - presented to the dental clinic to treat multiple carious teeth, and to replace multiple missing teeth. On Intraoral clinical examination, both the maxillary canines were missing as well as the third molars, and there was a bulge on the buccal cortex of the missing maxillary left canine, which was asymptomatic (Figure 1a). The patient's medical history showed no previous incidence of dental/maxillofacial trauma or infections. She was referred to the Oral and Maxillofacial Surgery clinic for management. Panoramic radiograph revealed the presence of an impacted maxillary left canine and two small radiopaque masses distal to the impacted canine (Figure 1b) and the periapical radiograph showed that the apical mass is a supernumerary tooth and the coronal mass is a rounded denticle like mass (Figure 1c).

a) preoperative clinical intraoral photo showing buccal bulging opposite to the area of impacted left maxillary canine. b) preoperative panoramic radiograph showing impacted left maxillary canines and two radiopaque masses distal to it. c) preoperative periapical radiograph showing impacted canine, supernumerary tooth and radiopaque mass.
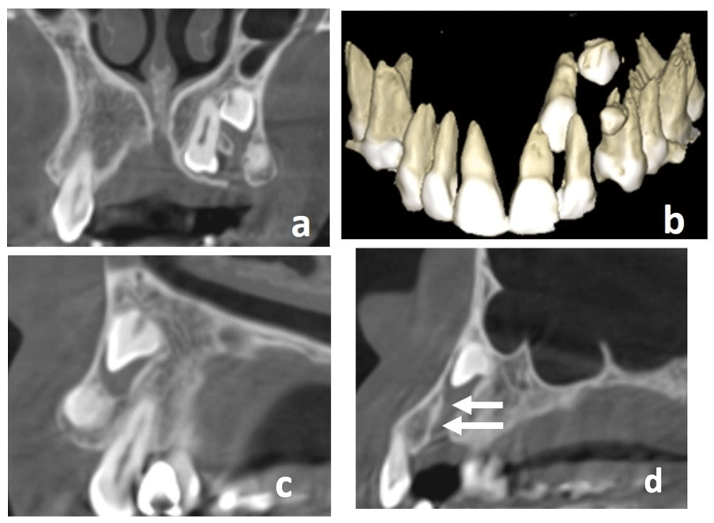
CBCT showed that tooth #23 was palatally impacted between teeth #21 and #22. There was a very small well defined rounded denticle like mass positioned distal to tooth #22 and coronal to the impacted supernumerary tooth (crown only), causing a small clinical buccal bulging and preventing its eruption. (Figure 2a, b, c).

a) Coronal cone-beam computed tomography (CBCT) scan showing impacted left maxillary canine, supernumerary tooth and odontoma with continuous follicular space b) Three-dimensional CBCT reconstruction showing palatal impacted maxillary left canine together with supernumerary tooth and odontoma c) Sagittal CBCT scan showing odontoma occlusal to supernumerary tooth d) Sagittal CBCT scan showing the proposed gubernacular canal (white arrow).
The sagittal CBCT slice showed radiographic evidence of continuity of the follicular space of the supernumerary tooth along the bone up to its most inferior part at the alveolar ridge. This was determined to most likely be the gubernacular canal as it followed its possible eruption pathway through the bone. However, the denticle like structure was located inside this pathway and prevented the eruption of the supernumerary tooth. (Figure 2d)
The most probable differential diagnosis would be a compound odontoma because of its denticle like density, organization, and coronal position.
Intraoral surgery was planned under local anaesthesia, based on the clinical, radiographic findings and multidisciplinary consultation diagnosis of the radiopaque mass as a compound odontoma.
Local infiltration of the area was performed, a full-thickness mucoperiosteal buccal flap was raised to expose both the mass and supernumerary tooth and soft tissue in between, a palatal flap was raised to expose the impacted canine. The cortical bone was removed utilizing rotary instruments accompanied by normal saline irrigation to minimize heat generation. The calcified mass was identified and ditched all around and then elevated with a Coupland elevator. The incompletely formed supernumerary tooth along with soft tissue attached to it was extracted using straight forceps, and for identification, the soft tissue was tagged with a black silk suture. By access from the palatal region, the impacted canine was sectioned horizontally and extracted (Figure 3 a, b, c), then the whole area was irrigated using normal saline and the flap was stitched back to its original position. A pre-surgical fabricated acrylic stent was placed to prevent falling of the palatal flap and to promote healing. Post-operative analgesia was prescribed in the form of acetaminophen 500mg every 6 hours. Clinical examination was performed 3 months post-surgical; patient was symptoms free and had uneventful recovery.

Intra-operative clinical picture showing surgical procedures to extract impacted maxillary left canine, supernumerary and odontoma a) Labial approach to expose the odontoma. b) Exposing the supernumerary tooth c) Palatal approach to extract the impacted maxillary left canine d&e) Measuring size of odontoma, supernumerary tooth and follicular tissue.
Macroscopically, the calcified mass measured 0.7 × 0.5 × 0.3 cm (Figure 3 d), while the soft tissue mass measured 1.9 × 0.4 × 0.3 cm (Figure 3e). Both specimens were placed in 10% buffered formalin for histopathological/histological examination and final diagnosis.
Histopathologic examination of the excised mass showed a tooth-like structure with dentin, dentinoid tissue, and some enamel matrix confirming the diagnosis of compound odontoma (Figure 4 a,b). Histological examination for the soft tissue mass showed epithelial lamina surrounded by collagenous connective tissue which confirms the diagnosis of gubernacular tissue (Figure 4 c).
Odontoma is a benign tumour that is usually asymptomatic, diagnosed clinically through routine radiographic examinations, or when investigating other events such as the delayed eruption of permanent teeth, or ectopic position of teeth12–14, as is the case in our findings.
Odontomas are mostly located at the anterior maxilla and associated primarily with permanent teeth, although they can also be associated with deciduous teeth15–18. Due to its rare recurrence, conservative surgical excision is the treatment of choice for odontomas8,19
Supernumerary teeth occur most frequently at the anterior midline, causing malposition of neighboring teeth or preventing their eruption1,6,20. In the present case, the supernumerary tooth was incompletely formed, and it was extracted along with the impacted canine and odontoma.
Panoramic and periapical radiographs are conventional two-dimensional radiographic techniques which are widely available and are frequently used for multiple diagnostic purposes like detection of impaction, odontoma, bone loss and various intraosseous lesions. Nevertheless, these radiographs have various limitations in revealing the buccolingual relationship, and presence of superimposition, also having geometric inaccuracy21. In the current case, we primarily detect the presence of impaction of a supernumerary tooth and odontoma through panoramic and periapical radiograph.
CBCT is an advanced 3D imaging modality that offers precise localization and detection of the spatial relationships of any dental structure with the surroundings, also it lessens the radiation dose in comparison with conventional CT and delivers high spatial resolution22. In our case, we used CBCT for 3D localization of the odontoma, impacted canine and supernumerary tooth before surgical removal22,23.
The role of gubernacular cord (GC) and the canal in tooth eruption is not clear, although it has been suggested that it may have a central role in inducing normal tooth eruption as it constitutes a pathway from the dental follicle to the gingiva for the eruption of permanent teeth11. Oda M. et al.24 suggested that the presence of and contact with the gubernacular tract (GT) should be added as a characteristic CT finding of some types odontogenic masses including dentigerous cysts, calcifying odontogenic cysts (Gorlin Cyst), odontomas, Adenomatoid Odontogenic Tumor and perhaps others. Moreover, they concluded that dentists should pay more attention to the association between the GT and odontogenic masses24,25. Our case demonstrated an association between the GT and the odontoma where the odontoma was inside the GT of the supernumerary tooth with the same spatial relationship in agreement with Oda M. et al.24 which reports that the majority of odontoma cases (about 70%) detected with CBCT were inside the GT of the unerupted teeth (Figure 2d). Furthermore, during surgery, it was apparent that the GT was contiguous with the supernumerary follicle, suggesting that the GT was guiding the eruption of the supernumerary tooth, but the development of the odontoma prevented its eruption. Gaˆeta-Araujo H et al. reported that the most communal attachment site of GC was to the occlusal side of the dental sac of the unerupted tooth (93.2%) and was classified as a usual attachment. These findings were in agreement with our case, where we also found the GT to be attached to the occlusal aspect of the dental sac of the supernumerary tooth25.
The anterior maxilla is the most common site for the development of a compound odontoma, causing various disturbances in eruption and teeth position. Having distinctive clinical and radiographic features; an experienced clinician can accurately diagnose a compound odontoma. Thus, early detection and management of odontomas can help the correction of any dental irregularity and avoid further complications. The dentist should also be aware of the probability of a close relationship between the development of odontoma and presence of the gubernacular tract, which in future could be used as a radiographic diagnostic criterion of an odontoma.
Written informed consent for publication of their clinical details and clinical images was obtained from the patient.
| Views | Downloads | |
|---|---|---|
| F1000Research | - | - |
|
PubMed Central
Data from PMC are received and updated monthly.
|
- | - |
Is the background of the case’s history and progression described in sufficient detail?
Yes
Are enough details provided of any physical examination and diagnostic tests, treatment given and outcomes?
Yes
Is sufficient discussion included of the importance of the findings and their relevance to future understanding of disease processes, diagnosis or treatment?
Partly
Is the case presented with sufficient detail to be useful for other practitioners?
Partly
References
1. Chaudhry A, Sobti G: Imaging characteristics of Gubernacular Tract on CBCT- A pictorial review.Oral Radiol. 2020. PubMed Abstract | Publisher Full TextCompeting Interests: No competing interests were disclosed.
Reviewer Expertise: Oral Pathology, Histopathology,Oral Medicine
Is the background of the case’s history and progression described in sufficient detail?
Yes
Are enough details provided of any physical examination and diagnostic tests, treatment given and outcomes?
Yes
Is sufficient discussion included of the importance of the findings and their relevance to future understanding of disease processes, diagnosis or treatment?
Yes
Is the case presented with sufficient detail to be useful for other practitioners?
Yes
Competing Interests: No competing interests were disclosed.
Reviewer Expertise: Oral medicine and radiology.
Is the background of the case’s history and progression described in sufficient detail?
Yes
Are enough details provided of any physical examination and diagnostic tests, treatment given and outcomes?
Yes
Is sufficient discussion included of the importance of the findings and their relevance to future understanding of disease processes, diagnosis or treatment?
Yes
Is the case presented with sufficient detail to be useful for other practitioners?
Yes
Competing Interests: No competing interests were disclosed.
Reviewer Expertise: Oral and maxillofacial pathology
Alongside their report, reviewers assign a status to the article:
| Invited Reviewers | |||
|---|---|---|---|
| 1 | 2 | 3 | |
|
Version 2 (revision) 26 Feb 21 |
read | read | |
|
Version 1 06 Oct 20 |
read | read | read |
Provide sufficient details of any financial or non-financial competing interests to enable users to assess whether your comments might lead a reasonable person to question your impartiality. Consider the following examples, but note that this is not an exhaustive list:
Sign up for content alerts and receive a weekly or monthly email with all newly published articles
Already registered? Sign in
The email address should be the one you originally registered with F1000.
You registered with F1000 via Google, so we cannot reset your password.
To sign in, please click here.
If you still need help with your Google account password, please click here.
You registered with F1000 via Facebook, so we cannot reset your password.
To sign in, please click here.
If you still need help with your Facebook account password, please click here.
If your email address is registered with us, we will email you instructions to reset your password.
If you think you should have received this email but it has not arrived, please check your spam filters and/or contact for further assistance.
Comments on this article Comments (0)