Keywords
tongue cancer, cardiac metastasis, complete heart block, case report
tongue cancer, cardiac metastasis, complete heart block, case report
Cardiac metastasis is the least common presentation in malignant cancer. Primary cardiac tumors are also rare (on postmortem analysis commonly between 0.01% to 0.1%). However, the frequency of secondary metastatic tumors to the pericardium, myocardium, great vessels, and coronary arteries are between 0.7% to 3.5% in the general population and up to 9.1% in patients with a history of malignancies1.
Complete heart block (CHB) as the primary clinical presentation of heart metastasis is very unusual2. There are currently no guidelines for the management of CHB in terminal stage of cancer.
We report a case of CHB caused by cardiac metastasis and review the literature to further help the management of our patient.
A 24-year old Asian man was admitted the cardiology department with CHB and hypotension. The patient was a chef and had a history of tongue cancer for six months and had undergone 30 cycles of radiotherapy. A week before, the patient came to the emergency department (ED) because of oral bleeding and general weakness. The patient denied any history of cardiovascular disease.
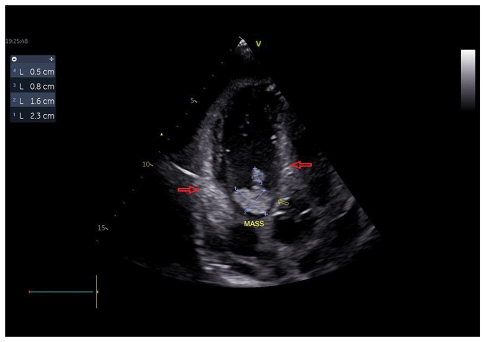
The patient was presented with chest discomfort and general weakness. He was hypotensive and bradycardic with blood pressure of 80/40 mmHg, regular heart rate of 44 beats per minute, respiratory rate of 18 breaths per minute, and oxygen saturation of 97% on room air. Chest auscultation was clear, and no murmurs heard. Electrocardiogram showed CHB with a junctional escape rhythm at 44 bpm (Figure 1). Echocardiography showed normal left ventricle kinetic, normal left ventricular ejection fraction (62%), and normal right ventricle systolic function. There were moderate pericardial effusion and intracardiac masses (2.1 × 0.9 cm and 1.8 × 0.8 cm) in the right atrial and septal leaflet of tricuspid. Hyperechoic areas in the annulus of tricuspid, lateral wall of right atrium and right ventricle, and interventricular septum were also found in an echocardiogram (Figure 2 and Figure 3). Laboratory finding revealed anemia (hemoglobin 8.5 g/dL; normal range 13.3-16.6 g/dL), leukocytosis (white blood count 18,470/mL; normal range 3,370-10,000/mL), hypoalbuminemia (albumin 2.6 g/dL; normal range 3.4-5.0 g/dL), hypokalemia (potassium 3.4 mmol/L; normal range 3.5-5.1 mmol/L), and hypercalcemia (calcium 16.2 mg/dL, corrected calcium 16.9 mg/dL; normal range 8.6-10.3 mg/dL).

Hyperechoic areas were found in the annulus of tricuspid, lateral wall of right atrium and right ventricle, and interventricular septum (red arrows).

Pericardial effusion was found in (A) anterior, posterior, (B) inferior, (C) base, and (D) left-lateral of the heart.
Previous magnetic resonance imaging (MRI) of head and neck, six months before this admission, revealed malignant tongue mass (staging AJCC 2010 of lip and oral cavity mass: T4N1Mx) and bilateral nasal cavity thickening. Multi-slice computed tomography (CT) scan of the head revealed an enhancing mass 1×1.3×1.5 cm at the base of the tongue and multiple lymph node enlargements subcentimeter in the upper and lower paratracheal. Histopathology examination of tongue biopsy confirmed poorly differentiated squamous cell carcinoma.
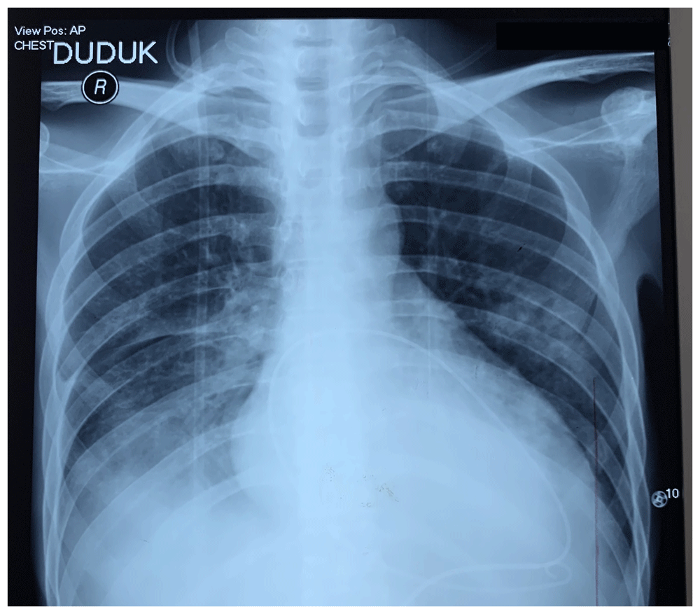
A temporary pacemaker was immediately implanted as the patient showed symptomatic heart block and cardiogenic shock. CHB persisted despite corrected electrolyte imbalance. On the 14th day of admission, the patient developed pleural effusion, and worsening pericardial effusion with echocardiogram showed massive pericardial effusion and sign of tamponade. Further chest X-ray evaluation on the 14th day of treatment (which includes electrolyte imbalance correction, supportive treatment of general weakness condition, anemia, hypoalbuminemia, and infection) showed left parahilar ground glass appearance with suspicions of lung metastasis and pleural effusion (Figure 4). Pericardiocentesis was then performed with pericardial fluid showing hemorrhagic typical for malignant disease.

Pericardial fluid pigtail was already inserted for drainage of pericardial effusion.
Because the patient showed general improvement after supportive treatment for seven days and no symptoms of CHB, it was decided that the temporary pacemaker would be extracted. Considering the poor prognosis of this cancer, risk of permanent pacemaker (PPM) implantation, and severe comorbidities, we decided not to implant a PPM after acquiring the patient’s and his family’s consent. The patient died due to respiratory failure and septic shock 20 days after showing the first symptoms of cardiac metastasis.
From the literature, we acquired a total of 14 articles regarding heart block as a manifestation of cardiac metastasis, as summarized in Table 12–15. Oral cavity, uterus, and thyroid are the most common primary cancers that metastasize to the heart. Squamous cell carcinoma was the primary histologic finding. Heart metastasize may be present with clinically silent symptoms to an alarming presentation of hemoptysis and syncope. Locations of metastasis were mostly in the right ventricle, supporting the hypothesis of the hematologic spread of cancer cells. PPM implantation was performed in 10 cases, yet only one case reported a significant lifespan after PPM implantation.
| Article | Age (years) | Primary site of cancer | Type of cancer cell | Location of cardiac metastasis | Sign / symptoms | ECG findings | Other cardiac manifestation | PPM implantation | Type of PPM | Reversibility of heart block | Treatment of cardiac metastasis | Diagnostic tools to detect cardiac metastasis | Lifespan after cardiac manifestation |
|---|---|---|---|---|---|---|---|---|---|---|---|---|---|
| Buckberg and Fowler, 19613 | 42 | bronchogenic carcinoma | adeno carcinoma | interventricular septum, anterior wall of left ventricle | shortness of breath, cough with blood | complete heart block | intracardiac mass | no | No | no | none | postmortem autopsy | 6 weeks |
| Clifford et al., 20038 | 64 | lymph | follicular small cell cleaved lymphoma | interventricular septum and RV anterior wall | nausea, diaphoresis, and dizziness | complete heart block with a ventricular escape | RV mass | yes | dual chamber | yes | chemotherapy | echocardiogram | 2 years, still alive |
| Mocini et al., 20059 | 44 | lung | malignant neoplasm | interventricular septum, left ventricular wall | syncope | complete heart block | mild pericardial effusion | yes | dual chamber | no | none | postmortem autopsy | 3 days |
| Ferraz et al., 200610 | 63 | uterus | squamous cell carcinoma | interventricular septum and RV | fatigue and dyspnea on mild exertion | complete heart block | pericardial effusion, RV mass | yes | permanent atrioventricular epimyocardial pacemaker | no | surgery for RV mass | echocardiogram, CT | 4 months |
| Ozyuncu et al., 200611 | 56 | right thigh | malignant melanoma | interventricular, interatrial septum | nausea, vomiting, presyncope | complete heart block | mitral regurgitation, pericardial effusion | yes | VDD | no | chemo-immunotherapy | CT thorax, echocardiogram | 2 months, still alive |
| Knowles et al., 200712 | 42 | right maxillary sinus | right maxillary sinus | not stated | syncope | complete heart block with a ventricular escape | pericardial effusion | no | no | yes | chemotherapy | echocardiogram, CT | 1 year |
| Rathi et al., 200813 | 67 | skin | malignant melanoma | all myocardial walls | asymptomatic | complete heart block, junctional escape | pericardial effusion | no | no | intermittent complete heart block | chemotherapy | echocardiogram, MRI | not stated |
| Lin et al., 201514 | 74 | thyroid | papillary thyroid carcinoma | RVOT | exertional dyspnea and palpitations | first-degree atrioventricular block and subsequently a new intermittent complete atrioventricular block | RVOT mass | yes | not stated | no | none | CTA, C MRI, PET Scan | not stated (not long after discharge) |
| Yoneda et al., 201615 | 53 | gingival | squamous cell carcinoma | atrial septum, left ventricle, AV node | cough, syncope | complete heart block, ventricular fibrillation | none | no | No | no | chemotherapy | postmortem autopsy | 4 weeks |
| Park et al., 20164 | 54 | right leg | leiomyosarcoma | interventricular septum | dizziness and dyspnea | complete heart block and idioventricular escaped rhythm of bifascicular block morphology | VT, intraventricular mass | yes | dual chamber | no | palliative chemotherapy | MRI | 3 months |
| Yoshihiro et al., 20175 | 57 | thyroid | squamous cell carcinoma | interventricular septum | cough and shortness of breath | complete heart block | RV mass | yes | not stated | no | chemoradiotherapy | FDG-PET | 25 days |
| Kansai et al., 20076 | 56 | lung | adenocarcinoma | interventricular septum | dull pain, presyncope | complete heart block | LV mass | yes | not stated | no | none | echocardiogram, CT, postmortem autopsy | 19 days |
| Kumar et al., 20182 | 28 | tongue | squamous cell carcinoma | interventricular septum | syncope | complete heart block | none | yes | not stated | no | none | PET Scan | 5 days |
| Cho et al., 20187 | 70 | oral cavity | squamous cell carcinoma | interventricular septum | dizziness | complete heart block with a ventricular escape | none | yes | DDD | no | palliative chemotherapy | FDG PET | not stated |
The prevalence of cardiac metastasis, in general, is arguably low. However, multiple studies reported a variable number of cardiac metastasis incidence ranging from 2.3% to 18.3%. The prevalence of malignancy originating from the oral cavity was 5.3%. The involvement of pericardium made up two-thirds of all cardiac metastasis. Myocardium and endocardium involvement each made up one-third of all cardiac metastasis. Only 5% involved the endocardium. The most common site of metastasis for squamous cell carcinomas is epicardium (41.4%)16.
Myocardial infiltration by cancer cells may present with arrhythmias, such as atrial flutter or fibrillation, premature beats, or ventricular arrhythmias. Conduction system involvement may induce various degree of atrioventricular blocks16.
The presence of right atrial mass in our patient supports the possibility of hematologic spreading of metastatic cancer cells into the endocardium. Pericardial effusion may represent metastasize or inflammatory reaction toward the malignancy. The presence of CHB suggests the infiltration of the heart conduction system.
Valves are an uncommon site for metastasis because of the absence of vessels in the physiological valvular stroma and the constant cusp motion. Bussani et al. reported, out of over a thousand of postmortem examination, there was only one case of valve involvement16. The mass in the septal leaflet of tricuspid valves appeared in echocardiography examination in this patient showed valve involvement of cardiac metastasis.
Asymptomatic in the early stages, cardiac metastasis could lead to a wide range of signs and symptoms, such as cardiac failure, conduction disturbances, angina, and pain as it progresses. Disruption of the cardiac conduction system by cardiac metastases can lead to lethal arrhythmias, including atrial fibrillation with a rapid ventricular response, CHB, or ventricular fibrillation1. From the literature, we acquired 14 cases reporting CHB as a manifestation of cardiac metastasis originating from various malignancies, three of which are from the oral cavity.
Cardiac masses in our case presented with features favoring tumor, such as echo density similar to myocardium, normal wall motion, valvular lesion, no history suggestive of coronary artery disease, and a clinical history of oral cancer as primary site suspected to metastasize to the heart.
Cardiac MRI is the best imaging modality and, along with positron emission tomography scanning, are mostly used in investigating the extent of infiltration by malignant cells2,17. Patients with specific cardiac devices, such as pacemaker and defibrillators, would be disqualified from undergoing MRI, an important consideration given the frequency at which arrhythmia complicates cardiac metastasis17. The temporary pacemaker implanted during the early stages of CHB made MRI impractical for our patient.
In our patient, CHB was initially thought to be the result of electrolyte imbalance. However, as the electrolyte was restored to its normal level without any improvement of CHB, it suggested that CHB was caused by infiltration of the metastatic cell to the conduction system of the heart. The presence of hemorrhagic pericardial effusion supports the suggestion of pericardial metastasis. Regardless of the lack of histological confirmation, we suggest that this case was cardiac metastasis diagnosed antemortem.
Predominantly, after a reversible or transient cause of bradycardia is excluded, cardiac pacing indication is decided by bradycardia severity, instead of its etiology. The European Society of Cardiology (ESC) guidelines state that some types of persistent bradycardia require permanent pacing. In acquired AV block, pacing is indicated in patients with second-degree type 2 or third-degree AV block regardless of symptoms (class I)18. Similar to the ESC guidelines, the American College of Cardiology/American Heart Association/Heart Rhythm Society guidelines also state that patients with transient or reversible causes of AV block should receive medical and supportive treatment if necessary, including temporary transvenous pacing, prior to confirmation of the need for permanent pacing (class of Recommendation/COR I). In addition, for patients with acquired CHB not associated with physiologic or reversible etiology, permanent pacing is recommended regardless of symptoms (COR I)19.
In our case, we assume that the CHB was persistent after trying to correct possible external causes, such as hypercalcemia and hypokalemia, and after a sufficient waiting period. Moreover, it is still also unknown whether CHB would resolve after cancer treatment2,20. Our literature review showed that there are only two cases of metastatic CHB that are reversible after undergoing chemotherapy for cardiac metastasis8,12, while several other cases showed that CHB is irreversible2–7,9–11,13–15. The short life expectancy in patients with metastatic CHB also makes it difficult to follow up on CHB reversibility. Our literature review showed only one metastatic CHB case reported a significant lifespan more than two years after PPM implantation8, while other cases reported a lifespan of no longer than one year2–7,9–15.
Our patient was expected to continue the radiotherapy cycle. Radiotherapy (RT) itself can induce pacemaker malfunction. Software impairments are the primary manifestation of malfunction during RT. This will perhaps lead to pacemaker reset, leaving only device basic function. Radiation dosage appears to contribute less to inducing pacemaker malfunctions than the beam energy of the RT21.
For patients with indications for permanent pacing, but accompanied with significant comorbidities or who are anticipated having a shortened lifespan because of terminal progressive illness, the implantation of a PPM should not be performed if it is unlikely to deliver significant clinical benefits or if it hinders the main therapy for the patient’s goal of care. Even though pacemaker implantation risks are rather low, the risk-benefit ratio is not favorable if the possible benefit is also quite low19. Thus, after discussing with our patient and his family, we decided not to implant a PPM after acquiring the patient’s and his family’s consent.
CHB in a patient with oral cancer should increase the physician's suspicion of cardiac metastasis. It is rare for such malignancies to present with CHB. The decision to implant a permanent pacemaker is highly specific based on the risks and benefits of each patient. It needs to be tailored to the patient’s functional status, comorbid diseases, prognosis, and response to conservative management. Even though the pacemaker implantation risks are rather low, the risk-benefit ratio is not favorable if the possible benefit is also quite low. A permanent pacemaker was not implanted in our patient because of the poor prognosis, severe comorbidities, and low expected lifespan.
Written informed consent for publication of their clinical details and/or clinical images was obtained from the patient’s parent.
All data underlying the results are available as part of the article and no additional source data are required.
| Views | Downloads | |
|---|---|---|
| F1000Research | - | - |
|
PubMed Central
Data from PMC are received and updated monthly.
|
- | - |
Is the background of the case’s history and progression described in sufficient detail?
Yes
Are enough details provided of any physical examination and diagnostic tests, treatment given and outcomes?
Yes
Is sufficient discussion included of the importance of the findings and their relevance to future understanding of disease processes, diagnosis or treatment?
Partly
Is the case presented with sufficient detail to be useful for other practitioners?
Partly
Competing Interests: No competing interests were disclosed.
Reviewer Expertise: Pediatric Cardiology and Congenital Heart Disease
Alongside their report, reviewers assign a status to the article:
| Invited Reviewers | ||
|---|---|---|
| 1 | 2 | |
|
Version 2 (revision) 11 Nov 20 |
read | read |
|
Version 1 15 Oct 20 |
read | |
Provide sufficient details of any financial or non-financial competing interests to enable users to assess whether your comments might lead a reasonable person to question your impartiality. Consider the following examples, but note that this is not an exhaustive list:
Sign up for content alerts and receive a weekly or monthly email with all newly published articles
Already registered? Sign in
The email address should be the one you originally registered with F1000.
You registered with F1000 via Google, so we cannot reset your password.
To sign in, please click here.
If you still need help with your Google account password, please click here.
You registered with F1000 via Facebook, so we cannot reset your password.
To sign in, please click here.
If you still need help with your Facebook account password, please click here.
If your email address is registered with us, we will email you instructions to reset your password.
If you think you should have received this email but it has not arrived, please check your spam filters and/or contact for further assistance.
This is an extremely rare case of complete heart block which might related or not to tongue cancer metastatic. Since, no histopathology ... Continue reading Very interesting and might be considered to be indexed.
This is an extremely rare case of complete heart block which might related or not to tongue cancer metastatic. Since, no histopathology of biopsy available taken from intracardiac mass or myocardium post mortem. To confirm whether the same result as tongue biopsy showing poorly differentiated squamous cell carcinoma.
Pericardiocentesis showed a hemorrhagic typical for malignant disease, however the authors did not show the cytology analysis results taken from pericardiocentesis procedure. The bloody fluid of pericardial effusion might come from elsewhere metastatic organ other than the cardiac.
Therefore, it is pretty much convincing if the mass biopsy and pericardial fluid cytology are available.
This is an extremely rare case of complete heart block which might related or not to tongue cancer metastatic. Since, no histopathology of biopsy available taken from intracardiac mass or myocardium post mortem. To confirm whether the same result as tongue biopsy showing poorly differentiated squamous cell carcinoma.
Pericardiocentesis showed a hemorrhagic typical for malignant disease, however the authors did not show the cytology analysis results taken from pericardiocentesis procedure. The bloody fluid of pericardial effusion might come from elsewhere metastatic organ other than the cardiac.
Therefore, it is pretty much convincing if the mass biopsy and pericardial fluid cytology are available.