ALL Metrics
-
Views
-
Downloads
Get PDF
Get XML
Cite
Export
Track
Case Report

Case Report: Sudden death related to unrecognized cardiac hydatid cyst

[version 1; peer review: 1 approved, 1 approved with reservations]
PUBLISHED 24 Apr 2020
Author details Author details
OPEN PEER REVIEW
REVIEWER STATUS

This article is included in the Neglected Tropical Diseases collection.

Abstract

Echinococcosis, also known as hydatid disease, is a common parasitic human infestation found in sheep-breeding areas. It is caused by the larvae stage of Echinococcus granulosus, and cysts develop mostly in the lungs and the liver. Cardiac involvement is unusual and silent until acute complications or a fatal outcome occurs. Herein, we report an autopsy case of a young healthy adult who died suddenly. The autopsy revealed an external bulging on the right heart ventricle outlet with a fluid-filled cystic cavity discovered on sectioning. Dissection of other organs did not reveal other cyst locations. Histological examination ascertained the diagnosis of hydatid cyst, and death was attributed to cardiac arrhythmias. Pathologists should keep in mind that hydatid cysts can develop anywhere in the body. Solitary cardiac cyst is rare and can simulate a “silent bomb”. Unfortunately, sudden death remains the frequent manner of revelation of this disease in endemic areas.

Keywords

sudden death, hydatid cyst, right ventricle, autopsy, pathology

Introduction

Echinococcosis, also known as hydatid disease, is a parasitic human infestation that commonly occurs in countries where sheep farming is widespread, such as Mediterranean countries1. In Tunisia, the prevalence and incidence of this contagion are estimated to be high (15/100000 individuals)2. It is attributed to the larval stage of a tapeworm, chiefly Echinococcus granulosus. The mature worm inhabits the intestines of the dog and humans are accidental hosts in their life cycle. Hydatid cysts can develop anywhere in the human body, predominantly in the lung and the liver3. Cardiac involvement is very scarce, even in endemic regions, and its clinical evolution is asymptomatic until acute complications or a fatal outcome occurs. Herein, we report an autopsy case of a young patient who died suddenly due to an unrecognized hydatid cyst located in the right heart ventricle.

Case report

A previously healthy 26-year-old man, without any relevant past medical family history, was discovered dead at home. A forensic medical examination and an autopsy were ordered by the judicial authorities. Information provided by the patient’s relatives revealed that the deceased was the owner of a large farm that he had been managing for the past 5 years. A few days ago, the patient had experienced mild chest pain with syncope but did not visit a cardiologist.

During external examination, the corpse was that of a young white male, medium-build, 183cm of tall. There was no external evidence of violence or trauma, and examination of the skin revealed no rash. At autopsy, there was multi-visceral congestion without any internal haemorrhage. Internal organs were unremarkable except for the heart, which was found to be enlarged, weighing 530g (normal range: 260–350g) with an external bulging on the right ventricle outlet (Figure 1). Sectioning of the heart revealed a fluid-filled cystic cavity, measuring 5×4cm, occupying half the volume of the right chamber and spreading to the septum. The cyst was enveloped by a thick fibrous tissue, and it featured germinative membranes, which infiltrated the myocardium. There was no hypertrophy of the myocardium. The left ventricle was 12mm of thick (Figure 2).

312853ce-d91f-4106-b6a2-d0b5d5ed4c8a_figure1.gif

Figure 1. Cyst found in the right ventricle of the heart.

312853ce-d91f-4106-b6a2-d0b5d5ed4c8a_figure2.gif

Figure 2. Right ventricle intra-cavitary cyst (after fixation in formalin).

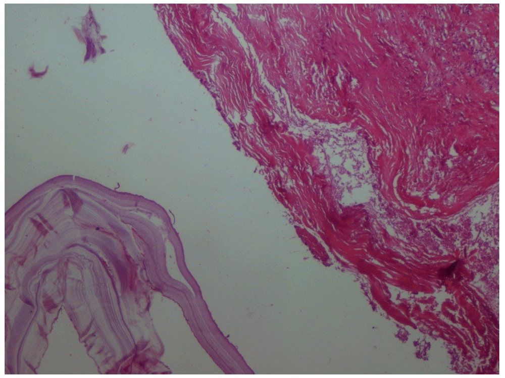
Microscopic examination using haematoxylin and eosin staining of paraffin sections of the cyst revealed classic layers of a hydatid cyst; pericyst (fibrous outer layer), ectocyst (laminated, hyaline and acellular middle layer) and endocyst (inner germinative layer) (Figure 3). This ascertained the diagnosis of hydatid disease.

312853ce-d91f-4106-b6a2-d0b5d5ed4c8a_figure3.gif

Figure 3. Microscopic appearance of the cyst wall.

Haematoxylin and eosin, x40 magnification.

Histological findings of the left ventricle and coronary arteries were unremarkable. Examination of the lungs and liver did not reveal any abnormality, and no cysts were detected at dissection of these organs. The pulmonary arteries also did not display morphological changes, notably there were no fragments of membranes or vesicles obstructing the vessels. Toxicological screening was negative. Death was attributed to cardiac arrhythmias.

Discussion

Hydatid disease is a parasitic infection most often induced by the larval form of the tapeworm E. granulosus, for which dogs are the definitive host4. In rural areas, dogs are common companions for sheep farmers. Typically, dogs become infected with E. granulosus from eating carcasses of infected sheep in endemic areas. Adult parasites colonize the intestinal tract and the faeces of infected dogs. Humans are intermediate hosts and may accidentally acquire infection by eating contaminated food such as water or salad or after close contact, e.g. hand-to-mouth transmission, with an infected dog. After ingestion, the larvae pass through the duodenal wall, reach the portal blood system and shelter in the liver, where they are found in ~60% of cases5. Some larvae may escape via the hepatic filter and cross into the pulmonary circulation, while others may continue to the systemic circulation, resulting in the generation of hydatid cysts in other organs, e.g. the lungs, muscles, bones or kidneys.

Secluded cardiac involvement by E. granulosus is very uncommon, and has not been described widely in the literature. Its incidence is estimated to be at about 0.4-3% of hydatid cyst cases6. This scarcity is attributed to the natural resistance of heart contraction. The first described case of cardiac hydatid cyst was reported in 18367. Most reports documented in the literature are of single cases, and a pervious literature review of the topic identified only 100 case presentations to date8.

The coronary circulation is the main pathway by which the parasitic larvae reach the heart. The second route of infestation is the pulmonary vein9. Due to their thickness and rich blood supply, the interventricular septum and the free wall of the left ventricular are the most common cardiac sites involved with hydatid cyst (55-60%). Pericardium, atria and right ventricle involvement have also been described; however, identification of an isolated right ventricle located hydatid cyst, like in our case, is atypical and quite rare10.

Cardiac hydatid cysts are often latent. They remain symptomless and silent for a considerable time and clinical manifestation of cardiac hydatid disease may vary and depends on the size and the location of the cysts11. The process of growth of cardiac cysts is slow because of the permanent traumatic action of myocardial contraction. After 2-7 years they can mimic the size of a chicken egg6. Unless it’s in a critical anatomic site, cardiac hydatid disease is usually diagnosed late, as patients can manifest non-specific symptoms such as cough, palpitations and chest pain. The cyst may affect cardiac function leading to conduction and rhythmic disturbances, chest pain or angina, acute myocardial infarction or valvular dysfunction and thus pulmonary hypertension may develop12. Cystic rupture is the most frequent complication (24-60%) and generally results in anaphylactic reaction with circulatory collapse. Other complications may occur leading to death, such as pericarditis, embolus, obstruction of cardiac chambers, cardiac tamponade and cardiac arrhythmias13.

Hydatid cysts located in the right cardiac chambers have special features, dissimilar from those of left sided cysts. In fact, right-sided cysts, such as in our case, have a tendency to extend subendocardially and intracavitarily14. In our case, the cyst seemed to extend to the septum. Cysts fissuration or rupture is more frequent, as this may trigger pulmonary embolic complication, anaphylaxis or sudden death. Chadly et al.1 reported a case of a 22-year old man who died of pulmonary artery emboli because of the rupture of right ventricle located hydatid cyst. Pansard et al.15 documented a case of progressive fissure of a hydatid cyst of the right ventricle, which led to a chronic pulmonary hypertension. The authors suggested that it was probably secondary to microemboli migration in the small vessels of the lung. Buris et al.16 reported a sudden death caused by hydatid embolism in a previously healthy man who died during a race, and at autopsy hydatid cysts in the right ventricle were detected. The necropsy revealed that the cysts had embolized into the pulmonary arteries.

In our case, ventricular arrhythmia seemed to be the fatal outcome of the cardiac cyst which was found macroscopically intact. Malamou-Mitsi et al.6 also have reported a case in which the cyst was found intact; they suggested that the death seemed to be due to fatal left ventricular arrhythmias. Singh et al.17 reported a case of a 57-year-old man who presented with syncope due to ventricular tachycardia, and imaging revealed a right ventricular hydatid cyst. In our case, although no allergic signs were observed, anaphylactic shock cannot be excluded from the scope of mechanisms of death beyond pulmonary embolism. This fact may be explained by the rapidity and unwitnessed death.

Pathologists should keep in mind that hydatid cysts can develop anywhere in the body. Solitary cardiac cyst is rare and can simulate a “silent bomb”. Unfortunately, sudden death remains the frequent manner of revelation of this disease in endemic areas.

Data availability

All data underlying the results are available as part of the article and no additional source data are required.

Consent

Written informed consent for publication was obtained from the legally authorized representative of the decedent.

Comments on this article Comments (0)

Version 3
VERSION 3 PUBLISHED 24 Apr 2020
Comment
Author details Author details
Competing interests
Grant information
Copyright
Download
 
Export To
metrics
Views Downloads
F1000Research - -
PubMed Central
Data from PMC are received and updated monthly.
- -
Citations
CITE
how to cite this article
Mesrati MA, Mahjoub Y, Ben Abdejlil N et al. Case Report: Sudden death related to unrecognized cardiac hydatid cyst [version 1; peer review: 1 approved, 1 approved with reservations]. F1000Research 2020, 9:286 (https://doi.org/10.12688/f1000research.23277.1)
NOTE: If applicable, it is important to ensure the information in square brackets after the title is included in all citations of this article.
track
receive updates on this article
Track an article to receive email alerts on any updates to this article.

Open Peer Review

Current Reviewer Status: ?
Key to Reviewer Statuses VIEW
ApprovedThe paper is scientifically sound in its current form and only minor, if any, improvements are suggested
Approved with reservations A number of small changes, sometimes more significant revisions are required to address specific details and improve the papers academic merit.
Not approvedFundamental flaws in the paper seriously undermine the findings and conclusions
Version 1
VERSION 1
PUBLISHED 24 Apr 2020
Views
30
Cite
Reviewer Report 28 Aug 2020
Omer Tanyeli, Department of Cardiovascular Surgery, Meram Medicine Faculty, Necmettin Erbakan University, Konya, Turkey 
Approved with Reservations
VIEWS 30
The cardiac hydatid disease is a relatively rare disease, especially causing symptoms in farmers. In this case report, the etiology of sudden death was attributed to possible arrhythmias caused by huge cyst in the right ventricle. 

In ... Continue reading
CITE
CITE
HOW TO CITE THIS REPORT
Tanyeli O. Reviewer Report For: Case Report: Sudden death related to unrecognized cardiac hydatid cyst [version 1; peer review: 1 approved, 1 approved with reservations]. F1000Research 2020, 9:286 (https://doi.org/10.5256/f1000research.25698.r69471)
NOTE: it is important to ensure the information in square brackets after the title is included in all citations of this article.
  • Author Response 03 Sep 2020
    med amin mesrati, Department of Forensic Medicine, University of Monastir, Mahdia, 5100, Tunisia
    03 Sep 2020
    Author Response
    Dear Tanyelli,

    Thank You very much for your comments. They are so pertinent and considered by all authors.
    It is true that many cases were reported in the literature about cardiac hydatid ... Continue reading
  • Author Response 18 Dec 2020
    med amin mesrati, Department of Forensic Medicine, University of Monastir, Mahdia, 5100, Tunisia
    18 Dec 2020
    Author Response
    Dear Dr. Tanyeli,

    Thank you very much for your comments. They are so pertinent and considered by all authors.

    It is true that many cases were reported in ... Continue reading
COMMENTS ON THIS REPORT
  • Author Response 03 Sep 2020
    med amin mesrati, Department of Forensic Medicine, University of Monastir, Mahdia, 5100, Tunisia
    03 Sep 2020
    Author Response
    Dear Tanyelli,

    Thank You very much for your comments. They are so pertinent and considered by all authors.
    It is true that many cases were reported in the literature about cardiac hydatid ... Continue reading
  • Author Response 18 Dec 2020
    med amin mesrati, Department of Forensic Medicine, University of Monastir, Mahdia, 5100, Tunisia
    18 Dec 2020
    Author Response
    Dear Dr. Tanyeli,

    Thank you very much for your comments. They are so pertinent and considered by all authors.

    It is true that many cases were reported in ... Continue reading
Views
51
Cite
Reviewer Report 02 Jun 2020
Mejdi Ben Messaoud, Cardiology A Department, Fattouma Bourguiba University Hospital, Monastir, Tunisia 
Approved
VIEWS 51
Editorial Note from F1000Research 7th September 2022 - This report has been updated to include a conflict of interest statement explaining the relationship between the reviewer and the author's institutional affiliations.

I read with great interest the report written by Med Amine Mesrati et al. about ... Continue reading
CITE
CITE
HOW TO CITE THIS REPORT
Ben Messaoud M. Reviewer Report For: Case Report: Sudden death related to unrecognized cardiac hydatid cyst [version 1; peer review: 1 approved, 1 approved with reservations]. F1000Research 2020, 9:286 (https://doi.org/10.5256/f1000research.25698.r63961)
NOTE: it is important to ensure the information in square brackets after the title is included in all citations of this article.
  • Author Response 05 Jun 2020
    med amin mesrati, Department of Forensic Medicine, University of Monastir, Mahdia, 5100, Tunisia
    05 Jun 2020
    Author Response
    Dear Reviewer,

    Thank you for your considerations.

    Response to question 1: the autopsy findings and histological tests which are always more accurate than pre-mortem imaging had excluded a pulmonary embolism or obstruction ... Continue reading
COMMENTS ON THIS REPORT
  • Author Response 05 Jun 2020
    med amin mesrati, Department of Forensic Medicine, University of Monastir, Mahdia, 5100, Tunisia
    05 Jun 2020
    Author Response
    Dear Reviewer,

    Thank you for your considerations.

    Response to question 1: the autopsy findings and histological tests which are always more accurate than pre-mortem imaging had excluded a pulmonary embolism or obstruction ... Continue reading

Comments on this article Comments (0)

Version 3
VERSION 3 PUBLISHED 24 Apr 2020
Comment
Alongside their report, reviewers assign a status to the article:
Approved - the paper is scientifically sound in its current form and only minor, if any, improvements are suggested
Approved with reservations - A number of small changes, sometimes more significant revisions are required to address specific details and improve the papers academic merit.
Not approved - fundamental flaws in the paper seriously undermine the findings and conclusions
Sign In
If you've forgotten your password, please enter your email address below and we'll send you instructions on how to reset your password.

The email address should be the one you originally registered with F1000.

Email address not valid, please try again

You registered with F1000 via Google, so we cannot reset your password.

To sign in, please click here.

If you still need help with your Google account password, please click here.

You registered with F1000 via Facebook, so we cannot reset your password.

To sign in, please click here.

If you still need help with your Facebook account password, please click here.

Code not correct, please try again
Email us for further assistance.
Server error, please try again.