Keywords
C. neoformans, Brentuximab-vedotin, Hodgkin Lymphoma, Meningitis
C. neoformans, Brentuximab-vedotin, Hodgkin Lymphoma, Meningitis
Cryptococcal meningitis is a common opportunistic central nervous system (CNS) infection among HIV-positive patients. However, these fungi neuroinfection affects HIV seronegative patients.
Every immunocompromising condition must be assessed and considered a risk factor for an opportunistic fungal meningoencephalitis. A therapeutic agent affecting host immunity, such as with CD30-directed monoclonal antibody, may predispose to opportunistic infections.
Cryptococcal meningitis diagnosis may be challenging in cases presenting negative cerebral spinal fluid (CSF) cultures, but cryptococcal polysaccharide antigen titers in CSF correlate with fungal burden.
Cryptococcus species have a major predilection for the lungs with potential to spread further, mainly through continuity or through hematogenic and lymphoid pathways, with possible penetration into the blood-brain barrier and CNS involvement1–4.
Cryptococcus neoformans infections occur mostly in immunodeficient individuals, being the most common opportunistic CNS infection in HIV-positive patients, counting up to 1 million new infections annually worldwide3,4. It also occurs in transplant recipients, patients with hematological malignancies, as well as patients receiving immunosuppressive medications1,2,4.
This case reports an opportunistic CNS infection in a patient with Hodgkin Lymphoma under brentuximab-vedotin after multiple lines of treatment for over 20 years, including an allogenic stem cell transplantation. Despite being reported as a common fungal infection in HIV-patients, neuroinfections in patients under CD30-directed monoclonal antibody therapy or other drugs besides immunosuppressants are a rare occurrence.
A 48-year-old Caucasian male presented at the outpatient clinic in May 2019 with holocranial headache, more intense at occipital level, lasting for 6 days, with increasing intensity over the last couple hours, associated with photophobia and vomiting.
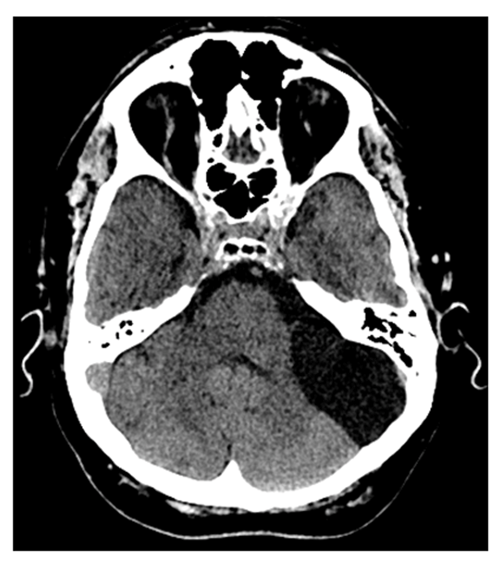
The patient was diagnosed in 1993 with Classic Hodgkin Lymphoma, nodular sclerosis subtype, stage IVB, achieving complete remission after first line chemotherapy. Since then, the patient suffered several relapses and underwent radiotherapy, one autologous bone marrow transplant in 1998, as well as an allogenic stem cell transplant in 2001, followed by several lines of chemotherapy. From October 2018 to the admission at the outpatient clinic, the patient was taking Brentuximab due to a hepatic hilar lesion. Throughout image assessments, a large left infratentorial arachnoid cystic lesion was being monitored. (Figure 1).

At first evaluation, the patient was conscious and aware, hemodynamic stable and subfebrile, presenting general tremors and limited cervical mobility.
Blood workup revealed elevated C-reactive protein with 73.2 mg/L (normal range under 5 mg/L), without other abnormalities.
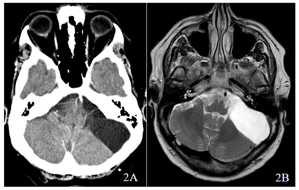
A head computed tomography (CT) scan showed the pre-existing cystic lesion in the left cerebellopontine angle with a slight right brainstem deviation, without associated edema (Figure 2A), confirmed by magnetic resonance imaging (Figure 2B). The case was discussed with the Neurosurgery Department and a lumbar puncture was postponed as it was considered a high-risk procedure. The patient started antibiotics with ceftriaxone (2 g q12h) and ampicillin. (2g q4h) At day 4, blood cultures came back positive for Cryptococcus neoformans sensitive to Posaconazole, Amphotericin B and Itraconazole, so that patient started Liposomal Amphotericin B (3mg/kg id) and Flucytosine (100 mg/kg per day orally in four divided doses) for 14 days and low dose corticotherapy (4 mg per day). There was a progressive improvement of the symptoms and patient was discharged after 19 days with prescription of Fluconazole (400mg per day).

Head computed tomography (CT) scan showed the pre-existing cystic lesion in the left cerebellopontine angle with a slight right brainstem deviation, without associated edema (2A), as confirmed by magnetic resonance imagining (MRI) (2B).
After one month of treatment, a ventricular puncture was performed and normal pressure cerebrospinal fluid (CSF) revealed glucose consumption and elevated levels of proteins (Table 1), as well as positivity for cryptococcal polysaccharide capsular antigen. Follow-up lumbar punctures were performed to assess CSF characteristics and cryptococcal antigen assessment. Patient was kept under consolidation therapy with Fluconazole for 10 weeks with a favorable clinical evolution, as well as decreasing levels of protein and nucleated cells count as seen in Table 1. Patient maintains close surveillance under regular appointments at the Onco-Haematology Clinic. However, headache complaints increased in intensity shortly after dexamethasone discontinuation with an intermittent pattern. Patient died in another hospital about 8 months after the meningitis diagnosis due to a cardiovascular event.
CSF – Cerebrospinal fluid. LP – Lumbar puncture. NV – Normal value.
Cryptococcal meningitis accounts for up to 1 million new infections annually, mainly affecting HIV-positive patients. Other immunocompromising conditions such as organ transplantation, hematologic malignancies and immunosuppressive drugs constitutes other relevant risk factors to these opportunistic fungi CNS infections1–4.
In a recent review of Cryptococcus neoformans infections in patients with cancer, 82% corresponded to patients with haematological malignancies and from these patients, approximately 54% had lymphoma5.
The patient presented several conditions affecting host immunity due to several previous lines of treatment for over 25 years. However, Cryptococcus species were not considered the etiological agent for a CNS infection, emphasizing the need for an initial lumbar puncture to exclude fungal agents when approaching opportunist neuroinfection. This was not possible at first evaluation in this case which delayed antifungal therapy.
Although there are many published case reports of Cryptococcosis in patients with lymphoma, this is the first reported case of Cryptococcal neuroinfection in a patient with Hodgkin’s Lymphoma under CD-30-directed monoclonal antibody therapy.
Written informed consent for publication of their clinical details and clinical images was obtained from the patient prior to their death.
| Views | Downloads | |
|---|---|---|
| F1000Research | - | - |
|
PubMed Central
Data from PMC are received and updated monthly.
|
- | - |
Is the background of the case’s history and progression described in sufficient detail?
Yes
Are enough details provided of any physical examination and diagnostic tests, treatment given and outcomes?
Yes
Is sufficient discussion included of the importance of the findings and their relevance to future understanding of disease processes, diagnosis or treatment?
Yes
Is the case presented with sufficient detail to be useful for other practitioners?
Yes
Competing Interests: No competing interests were disclosed.
Reviewer Expertise: Infectious disease, HIV, cryptococcosis, Group A Strep
Is the background of the case’s history and progression described in sufficient detail?
Partly
Are enough details provided of any physical examination and diagnostic tests, treatment given and outcomes?
Yes
Is sufficient discussion included of the importance of the findings and their relevance to future understanding of disease processes, diagnosis or treatment?
Yes
Is the case presented with sufficient detail to be useful for other practitioners?
Yes
Competing Interests: No competing interests were disclosed.
Reviewer Expertise: Hematology, Hematology-oncology
Alongside their report, reviewers assign a status to the article:
| Invited Reviewers | ||
|---|---|---|
| 1 | 2 | |
|
Version 2 (revision) 12 Aug 20 |
read | |
|
Version 1 08 Jul 20 |
read | read |
Provide sufficient details of any financial or non-financial competing interests to enable users to assess whether your comments might lead a reasonable person to question your impartiality. Consider the following examples, but note that this is not an exhaustive list:
Sign up for content alerts and receive a weekly or monthly email with all newly published articles
Already registered? Sign in
The email address should be the one you originally registered with F1000.
You registered with F1000 via Google, so we cannot reset your password.
To sign in, please click here.
If you still need help with your Google account password, please click here.
You registered with F1000 via Facebook, so we cannot reset your password.
To sign in, please click here.
If you still need help with your Facebook account password, please click here.
If your email address is registered with us, we will email you instructions to reset your password.
If you think you should have received this email but it has not arrived, please check your spam filters and/or contact for further assistance.
Comments on this article Comments (0)