Keywords
freeze-thaw, porcine eyes, trabecular meshwork, canalography
This article is included in the Eye Health gateway.
freeze-thaw, porcine eyes, trabecular meshwork, canalography
The trabecular meshwork represents a location of great interest for glaucoma research, and non-invasive methods are needed to decellularize it and convert it into a scaffold for cellular transplantation. As porcine eyes share several important features with human eyes1–3, can be used to mimic surgical interventions4,5 and different glaucoma types, including secondary open angle6 and angle closure glaucomas7, they have been widely used as ex vivo models in glaucoma research. In contrast to human donor eyes, they are also ubiquitously available and remain responsive to stimuli and drugs when freshly harvested. This allows the exploration of anatomical functions3,8 and the effects of biologicals9, drugs10, and surgical interventions11. Corresponding outflow changes can be studied with high spatial and temporal resolution5,12,13.
Ab interno trabeculectomy of the nasal circumference increases outflow in whole porcine eyes as well as anterior segment cultures5. Outflow is changed mostly at the site of ablation but also enhanced circumferentially5. In contrast to ab interno trabeculectomy, freeze-thaw decellularization is a nonspecific and site-agnostic method to remove all living cells from eye cultures to ready them for the transplantation and study of cells of interest14,15. In perfused porcine anterior segments, this is accompanied by a significant reduction in intraocular pressure (IOP)16. Freeze-thawed scaffolds may be easier to generate than artificial three-dimensional trabecular meshwork structures17–19.
Here, we hypothesized that subjecting porcine eyes to freeze-thaw decellularization would result in faster outflow throughout the entire circumference and alter the outflow pattern due to a loss of endothelial integrity of the distal outflow tract.
Twenty-eight porcine eyes were assigned to one of four groups: anterior segment control (ACO, n = 6), and whole eyes control (WCO, n = 6), freeze-thaw anterior segment (AFT, n = 10), freeze-thaw whole eyes (WFT, n = 6). Eyes in the experimental group (AFT and WFT) underwent two cycles of freeze-thaw at -80°C. Reperfusion canalograms were carried out in the two control groups that did not undergo freeze-thaw (ACO and WCO), as well as before and after freeze-thawing in the experimental groups (AFT and WFT). No live vertebrate animals were used in this study. Pig eyes were obtained from a local abattoir. As a result, no ethics approval was required.
Freshly enucleated porcine eyes were obtained from a local abattoir (Landschlachterei Issing, Retzbach, Bavaria, Germany) and processed within three hours of death. All eyes were placed in a 5% povidone-iodine solution for three minutes, and rinsed twice with phosphate-buffered saline (PBS) (Dulbecco’s Phosphate Buffered Saline, Sigma-Aldrich, St. Louis, Missouri, USA). The laterality (left versus right eyes) was determined by examining the extraocular muscles and the shape of the cornea. The extraocular tissues were removed for all eyes. AFT and ACO eyes were then bisected at the equator. This was followed by the removal of the vitreous body, lens, and uvea. The eyes were then rinsed with PBS, mounted on perfusion dishes and infused with Dulbecco’s Modified Eagle Medium (DMEM) (Gibco/Life Technologies, Carlsbad, California, USA) at a constant pressure of 15 mmHg using a 20 ml syringe at a height of 20 cm above the perfusion chamber.
Whole eyes were mounted facing up using a specimen vial (Wheaton CryoElite Tissue Vial #W985100, Wheaton Science Products, New Jersey, USA). A 30G needle was subsequently inserted bevel-up into the anterior chamber through the temporal cornea. Perfusion was maintained for 20 minutes in both anterior segments and whole eyes.
Perfusion with fluorescein: After 10 minutes of perfusion with DMEM, an anterior chamber exchange was performed in AFT and ACO by opening the outflow and allowing the anterior chamber to empty before the infusion was switched to 0.017 mg/ml fluorescein (fluorescein solution 10%, Alcon, Freiburg, Switzerland). The outflow port was then closed and the canalogram images were captured at 30-second intervals. In whole eyes, a safe anterior chamber exchange could not be performed without injuring the lens capsule and was therefore omitted.
Freeze-thaw cycles: The treatment groups AFT and WFT underwent two cycles of freeze-thaw. These consisted of freezing at - 80°C for two hours, followed by thawing at room temperature for one hour16.
Perfusion with Texas red: Another full anterior chamber fluid exchange was performed in anterior segments after the freeze-thaw cycles by connecting a 20 ml reservoir containing 0.28 mg/ml Texas red (Sulforhodamine 101, 25 mg crystalline solid, Hycultec, Beutelsbach, Germany) to the anterior segments. Fluorescent images were acquired. In whole eyes, the same protocol was used but without an anterior chamber exchange.
Fluorescent images were captured using a stereomicroscope (Olympus SZX, Olympus K.K., Tokyo, Japan) equipped with a CoolLED pE-300 (CoolLED Limited, London, UK) white illumination unit and an 0.5x objective lens. Canalograms were processed with the Olympus cellSens Dimension 2.3 software (Olympus K.K., Tokyo, Japan). Images were recorded in a time-lapse every 30 seconds for 20 minutes with a resolution of 680 x 510 pixels in 8-bit grayscale. Exposure time was set to 57.14 ms for fluorescein and 344.80 ms for Texas red.
The canalograms were analyzed for filling times of each quadrant: nasal-superior (NS), nasal-inferior (NI), temporal-superior (TS) and temporal-inferior (TI). Filling time was defined as the time elapsed between the first visualization of the dye in the episcleral veins and their complete filling.
Sagittal specimen sections were obtained and fixed with 4% paraformaldehyde in PBS for 24 hours. After rinsing them three times in PBS, they were embedded in paraffin, sectioned at 6-micron thickness, and stained with hematoxylin and eosin.
Data was analyzed using SPSS Statistics (Version 26, IBM, New York, USA). Filling times were reported in seconds. We calculated means and standard deviations. A Shapiro-Wilk test was deployed to check for a normal distribution of acquired filling times. We used a paired, one-tailed t-test and Wilcoxon signed-rank test to compare the mean values of the filling times before and after freeze-thaw. The one-way analysis of variance (ANOVA) was run to compare filling times between quadrants. For all our statistical analyses, a p-value of 0.05 or less was considered statistically significant. A post-hoc power analysis was carried out using G*Power (Version 3.1.9.7., Heinrich Heine University, Düsseldorf, Germany).
A total of 28 eyes were included in the analysis consisting of 16 right eyes and 12 left eyes. There were six eyes in each of ACO, WCO, and WFT, and ten eyes in AFT. Within the control groups, ACO and WCO, there were no significant differences between the quadrant filling times (all p > 0.05)20. Additionally, both dyes showed similar filling times within each quadrant (Table 1, all p > 0.05).
Figure 1 shows the filling times of anterior segments pre- and post-freeze thaw (AFT). In these eyes, quadrant TS tended to have a faster average filling time than the other three quadrants, both pre (270 ± 136 s) and post freeze-thaw (441 ± 371 s), but without reaching statistical significance (p > 0.05). Moreover, freeze-thaw did not cause a significant change in the filling times of any quadrant (p > 0.05).

TS = temporal-superior, TI = temporal-inferior, NS = nasal-superior, NI = nasal-inferior.
Figure 2 depicts the filling times before and after freeze-thaw in WFT eyes. There was no significant difference in the filling times between quadrants (p = 0.401). TS showed the shortest filling time before freeze thaw with an average of 162 ± 101 s. The filling time of this quadrant significantly increased after freeze-thaw (355 ± 175 s, p = 0.002). None of the other WFT quadrants showed a significant change in filling times after freeze-thawing.

Comparison of filling times before and after freeze-thaw in whole eyes TS = temporal-superior, TI = temporal-inferior, NS = nasal-superior, NI = nasal-inferior, * = significant.
Figure 3 depicts the canalogram of an AFT eye. In this eye, the post-freeze-thaw canalogram demonstrated additional temporal outflow channels that were not visible before (TI) or only partially filling (TS).

Freeze-thaw treated anterior segment cultures (AFT) canalogram before (A) and after (B) freeze-thawing. Example of perfused anterior segment culture, in which outflow channels that were not functional become visible after freeze thaw (white arrows). TS = temporal-superior, TI = temporal-inferior, NS = nasal-superior, NI = nasal-inferior.
Figure 4 shows canalograms of WFT eye pre- and post- freeze-thaw. Visually, both images show a similar filling pattern after 20 minutes of perfusion. In this case, fluorescence was captured mainly in the nasal episcleral veins.

Freeze-thaw treated whole eyes (WFT) canalogram before (A) and after (B) freeze-thawing. After a 20-minute infusion with fluorescein, a fluorescent signal was detected in the nasal-superior (NS) quadrant (A). This outflow pattern experienced only minor changes (white arrows). The shadow of the infusion needle (N) is visible on the right (temporal) side. TS = temporal-superior, TI = temporal-inferior, NS = nasal-superior, NI = nasal-inferior.
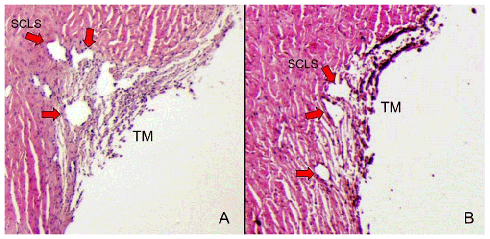
Histological analyses demonstrated unchanged trabecular beams but without intact trabecular meshwork cells (Figure 5). Compared to control eyes, there were no noticeable changes to the tissue surrounding the angular aqueous plexus. The lumina of this plexus, including larger, Schlemm’s canal like-segments remained intact.

Sagittal histology sections comparing the angular aqueous plexus in control (A) and freeze-thaw ablated eyes (B). The TM beams and SCLS remain intact after freeze-thaw. TM = trabecular meshwork, SCLS = Schlemm’s canal-like segments (red arrows).
The post-hoc power analysis of the filling times pre- and post- freeze-thaw for each group is presented in Table 2. In general, results revealed a low power for most of the quadrants. Within the experimental groups, the TS quadrant comparison had the highest power with values of 0.5 and 0.75 in AFT and WFT, respectively. All other quadrants in both groups had a power below 0.3.
We have developed a freeze-thaw protocol to decellularize anterior segments and to obtain a three-dimensional matrix to transplant modified trabecular meshwork (TM) cells or other cells under study16,21. This approach might generate ex vivo models for genetically altered, glaucomatous TM cells or primary cells harvested in excisional ab interno trabeculectomy21–23. Surprisingly, freeze-thawing did not alter the vascular drainage spaces qualitatively in a significant way. Rather, dyes remained mostly intravascularly within the time observed without any noticeable differences on average as detectable with these methods. Fluorescein has a molecular size of 376 Da and sulforhodamine 101 acid chloride a size of 625 Da, small enough to pass through the TM relatively quickly, yet large enough to be confined to the intravascular space for minutes24–26. Histologic analyses also revealed a conserved TM structure16,21. This preserved scaffold along with the unchanged outflow vessels suggests freeze-thawing as a technique to produce realistic seeding matrices for trabecular meshwork transplantation.
Because freeze-thaw had previously been shown to cause an IOP drop of about 30% in porcine eyes16, we expected to see faster outflow throughout the 360 degrees of angular aqueous plexus of both anterior segments and whole eyes. Surprisingly, this was also not the case. The only quadrant in which there was a statistically significant difference was the temporal superior quadrant of whole eyes, and we observed an increase rather than a decrease in filling time. It is possible that freeze-thawing causes relatively small changes per trabecular meshwork area and that our study missed those due to the large standard deviation. However, these small changes might have a large cumulative impact and lower IOP16 because they occur over the entire circumference. For instance, flow in TI and NS had a lower average flow time after freeze-thaw compared to before, but without reaching statistical significance. Moreover, due to their moderate molecular size, movement of fluorescein and sulforhodamine through an intact trabecular meshwork might not be fundamentally different from movement through remnants of disrupted trabecular meshwork cells or their debris27. Additionally, our methods might miss diffuse fluid movements directly through the sclera that is akin to uveoscleral outflow.
We observed a longer post freeze-thaw filling time in the temporal superior quadrant of whole eyes. It is likely that intraocular tissues that are present in whole eyes, but are missing in anterior segments28, were disrupted by the freeze-thawing cycles. Their debris might have caused the delayed filling27, in particular iris pigment6,29,30. Pigment can lead to a slow increase of IOP over hours to days6 while larger debris from cell death can have a more immediate effect on the trabecular meshwork27.
One limitation is that we did not measure IOP because a goal of this study was to assess freeze-thawing in anterior segment cultures in comparison to whole eyes; however, the latter cannot easily be connected to a pressure transducer. Another limitation is that the eyes were not incubated for three days as we have done previously13. Due to the compression mount, outflow in anterior segments perfusion cultures is initially impaired, but this effect vanishes within less than three days of culture16. Finally, the 28 eyes used in this study were only able to provide a moderately low testing power to detect an outflow difference, providing further evidence that any flow difference caused must not be large.
In conclusion, we found no major outflow differences caused by freeze-thaw treatment of anterior segments or whole eyes. These results validated freeze-thawing as a method to generate a three-dimensional seeding matrix without losing distal outflow tract vessels.
Figshare: RawData_FreezeThaw.csv, https://doi.org/10.6084/m9.figshare.14610579.v120
The project contains the following underlying data:
- RawData_FreezeThaw.csv (raw data of freeze-thaw in porcine eyes. filling times assessed using fluorescent canalography before and after freeze thaw)
Figshare: Original Images FT, https://doi.org/10.6084/m9.figshare.14769888.v131.
Data are available under the terms of the Creative Commons Attribution 4.0 International license (CC-BY 4.0).
| Views | Downloads | |
|---|---|---|
| F1000Research | - | - | 
| PubMed Central Data from PMC are received and updated monthly. | - | - | 
Is the work clearly and accurately presented and does it cite the current literature?
Yes
Is the study design appropriate and is the work technically sound?
Partly
Are sufficient details of methods and analysis provided to allow replication by others?
Yes
If applicable, is the statistical analysis and its interpretation appropriate?
Yes
Are all the source data underlying the results available to ensure full reproducibility?
Yes
Are the conclusions drawn adequately supported by the results?
Partly
Competing Interests: No competing interests were disclosed.
Reviewer Expertise: Trabecular meshwork mechanobiology
Is the work clearly and accurately presented and does it cite the current literature?
Yes
Is the study design appropriate and is the work technically sound?
Yes
Are sufficient details of methods and analysis provided to allow replication by others?
Yes
If applicable, is the statistical analysis and its interpretation appropriate?
Yes
Are all the source data underlying the results available to ensure full reproducibility?
Yes
Are the conclusions drawn adequately supported by the results?
Yes
Competing Interests: No competing interests were disclosed.
Reviewer Expertise: glaucoma, aqueous drainage
Alongside their report, reviewers assign a status to the article:
| Invited Reviewers | |||
|---|---|---|---|
| 1 | 2 | 3 | |
| Version 2 (revision) 09 Feb 22 | read | ||
| Version 1 01 Jul 21 | read | read | |
Provide sufficient details of any financial or non-financial competing interests to enable users to assess whether your comments might lead a reasonable person to question your impartiality. Consider the following examples, but note that this is not an exhaustive list:
Sign up for content alerts and receive a weekly or monthly email with all newly published articles
Already registered? Sign in
The email address should be the one you originally registered with F1000.
You registered with F1000 via Google, so we cannot reset your password.
To sign in, please click here.
If you still need help with your Google account password, please click here.
You registered with F1000 via Facebook, so we cannot reset your password.
To sign in, please click here.
If you still need help with your Facebook account password, please click here.
If your email address is registered with us, we will email you instructions to reset your password.
If you think you should have received this email but it has not arrived, please check your spam filters and/or contact for further assistance.
Comments on this article Comments (0)