Keywords
Gestational Trophoblastic Disease, Placenta Diseases, Trophoblastic Tumor, Placental Site, pathology.
This article is included in the Oncology gateway.
We report an uncommon clinical presentation of a placental site trophoblastic tumor. The patient presented initially with abdominal pain with, fever, bleeding and pelvic mass on ultrasonography leading to the wrong diagnosis of a pelvic abscess. Dilation and curettage were performed and pathological examination confirmed the diagnosis. of placental site trophoblastic tumor. Therefore, she underwent abdominal hysterectomy. Four years after surgery, the patient is still disease free. Gestational trophoblastic diseases should be considered in every patient presenting abnormal uterine bleeding after delivery or pregnancy loss despite the associated symptoms being very unusual.
Gestational Trophoblastic Disease, Placenta Diseases, Trophoblastic Tumor, Placental Site, pathology.
This version of our article incorporates additional information as requested by one of our peer reviewers, particularly concerning the results of the CT scan performed prior to the abdominal hysterectomy, which revealed no secondary localization.
See the authors' detailed response to the review by Seetu Palo
See the authors' detailed response to the review by Guglielmo Stabile
See the authors' detailed response to the review by Antonio Braga
Placental site trophoblastic tumor (PSTT) is a rare tumor, representing 1% of gestational trophoblastic diseases.1,2 It mainly affects women of childbearing age after delivery or pregnancy loss.1–3 In this paper, we report a case of placental site trophoblastic tumor diagnosed by an array of pelvic abscess associated with bleeding occurring two months after delivery. The evolution, after surgical treatment by hysterectomy, was favorable.
We report the case of an unemployed 32-year-old Arabic woman, gravida 1 and para 1, without medical history, gave birth naturally and without complications to a full-term healthy newborn. Two months after her delivery, she consulted our department with persisting metrorrhagia associated with fever of 39°C. The patient’s examination revealed that the bleeding has been noted since the delivery day and it had increased two days earlier.
A physical examination revealed a fever of 39.5°C and abdominal tenderness. The blood pressure was 110/70 mm Hg and the heart rate was 82 beats/mn. Furthermore, there was no specific digestive or urinary symptom. Per speculum examination, the cervix was enlarged with purulent vaginal discharge. On digital pelvic examination, the uterus was increased in size accessed at 12 week gestation and its mobilization was painful. Blood tests showed an inflammatory syndrome with a C-reactive protein at 200 mg/l [≤ 6mg/l] and white blood cells at 17000/mm3 [4000-10000/mm3]. The beta-human chorionic gonadotropin (β-HCG) rate was positive at 674 U/l [< 5U/l]. The transvaginal sonography showed a large sized uterus containing an echogenic heterogeneous endometrial mass, vascularized on Doppler examination. This process seemed to invade the myometrium in part. In addition, ultrasound showed an average effusion in the Douglas' pouch (Figure 1) with a probable left adnexal abscess.

(A) Echogenic tumor occupying the uterine cavity (arrow) with infiltration of the myometrium; (B) appearance vascularized tumor at color Doppler.
Laparoscopic adnexal drainage and endometrial curettage were performed. The infectious episode resolved promptly with antibiotics; gentamicin 160 mg per day for 5 days metronidazole 500 mg three times a day for 15 days and cefotaxim 1g three times a day for 15 days. Pathological examination of the endometrial curettage specimen reported a proliferation of large tumor cell with eosinophilic cytoplasm and nuclear atypia, infiltrating the myometrium. These cells were positive for pro inflammatory cytokine (IL6) in the immunohistochemistry studies and the final diagnosis was a placental site trophoblastic tumor. A thoracoabdominopelvic CT scan was performed, and it did not reveal any secondary locations.
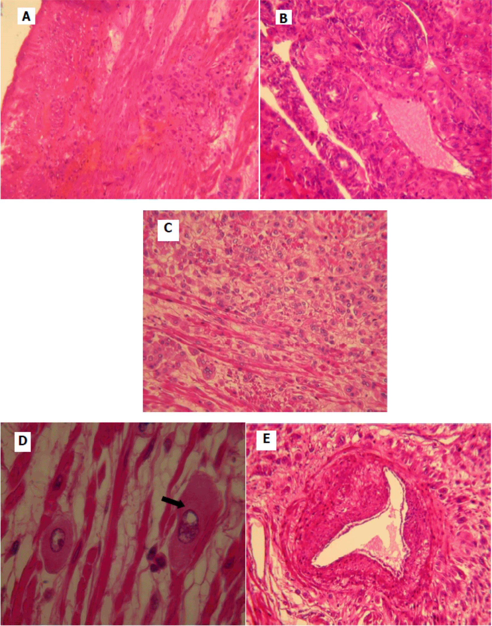
A laparotomic hysterectomy with preservation of ovaries was performed. On gross examination there was a mass of 6 cm localized to the myometrium of bluish appearance with areas of hemorrhage and necrosis. The tumors had ill-defined borders and invaded into the myometrium (Figure 2). Pathological examination was similar to that described in the curettage specimen, showing a proliferation of monomorphic intermediate trophoblasts (Figure 3A). The tumor cells demonstrated nuclear atypia, eosinophilic cytoplasm (Figure 3D) and myometrial invasion (Figure 3B,C). Extensive necrosis, hemorrhage and vascular invasion are observed (Figure 3E). The final pathology report confirmed the diagnosis of PSTT infiltrating the myometrium. The postoperative course was favorable. The patient had a regular follow-up every month for the first year combining a clinical examination and a serum level of β-HCG. She had a clinical check-up and pelvic ultrasound every year for two years, no sign of recurrence was noted. Four years after surgery, the patient is still disease free.

(A) Peri operative view showing increased uterine size, yellowish area seat (arrow); (B) appearance of the tumor to cut, yellowish tumor occupying the uterine cavity and infiltrating the myometrium.

(A) Monomorphic cell proliferation of intermediate trophoblast; (B, C) tumor cells infiltrate the myometrium form of clusters, dissociating smooth muscle bundles (B: low magnification, C: magnification); (D) proliferation of large cells with eosinophilic cytoplasm and lobulated nucleus; (E) home of tumor cells with the presence of vascular emboli.
In 1895, Marchand first described PSTT and named it atypical chorioepithelioma.4 In 1981, Scully and Young described the morphological details and recognized it as a neoplastic process, and named it PSTT.5 PSTTs are a rare subtype of gestational trophoblastic disease, accounting for less than 1% of all cases.1,2,6 It mainly affects women of childbearing age and it is seen in patients between 19-62 years, with an average age of 30 years.1–3,6,7 PSTT can occur after a normal pregnancy, abortion, term delivery, ectopic pregnancy or molar pregnancy.1–3,6–8 Here we reported a case of PSTT occurring after a normal pregnancy. This pathology may occur months to years after pregnancy with the average interval between the antecedent pregnancy and diagnosis being 16 to 18 months.1–3,6,9 Diagnosis of PSTT can be difficult due to the nonspecific clinical signs. Abnormal uterine bleeding is the most common presenting feature.1–3,6–9 Metrorrhagia can also be associated with amenorrhea.1,8 The peculiarity of our case lies in the fact that the tumor was manifested by an array of pelvic abscess associated with bleeding; such clinical presentation was rare in literature.8 On digital pelvic examination, the uterus can be enlarged or normal sized.2,8 A wide range of other rare symptoms have also been reported, including galactorrhea, virilization, nephrotic syndrome, and polycythemia.2,8 PSTT can also be revealed by metastasis.2,7 The serum levels of β-hCG are usually in the range of 1000-2000 mIU/mL.1–3,6,9 The origin of PSTT is the intermediate trophoblast cells which secrete little beta HCG and a lot of placental lactogenic hormone.6,9
On gross examination, the tumors are located primarily in the endomyometrium, presenting as polypoid or nodular masses, with a variable diameter up to 10 cm.1,6 The sectioned surfaces of the tumors are solid, often fleshy, and usually yellow with necrosis, and hemorrhage.1,2,6 The tumor may extend into the cervix or infiltrate the serous, the adnexa or the round ligaments.2 In our case, the tumor invaded the myometrium without reaching the serous. The diagnosis of PSTT is based on pathological examination.
On microscopic examination, we typically find a proliferation of intermediate trophoblastic cells without chorionic villi, which infiltrate muscle fibers.2 Vascular invasion, necrosis and hemorrhage are also often observed.2
The tumor is composed of a relatively monotonous population of polygonal cells with nuclear atypia and moderately abundant cytoplasm that can be amphophilic, eosinophilic or clear.1,2 The distinctive pattern of vascular invasion and deposition of fibrinoid material are the key diagnostic features.1–3 Usually, PSTTs have an unpredictable malignant potential and between 10 and 20% of patients have metastatic disease at the time of presentation.1,2,7,10 Metastasis site include peritoneum, vagina, lung, liver and brain.
Hysterectomy without bilateral oophorectomy is the gold standard in PSTT management.2,10 In fact, this entity is particularly less responding to chemotherapy than hydatiforme mole, invasive mole and choriocarcinoma.2,10 When there is extension beyond the uterus, surgical treatment should be associated to chemotherapy.2,10
Nowadays we have, besides FIGO anatomical staging system as prognostic factor for PSTT surviving, the interval of last pregnancy and the initiating of treatment of 48 months.2,7,10,11 After surgical treatment, patients should be followed up during years to optimize the chance of detecting a relapse or metastasis.7,10‐12
This case report is interesting since it’s the first reporting PSTT simulating a pelvic abscess. However, PTTT are rare which prevents researchers from realizing large scale studies in order to develop valid management protocols.
Although PSTTs are extremely rare worldwide, the diagnosis should be considered during the post-partum and post-abortion periods if there is persistent metrorrhagia. After surgical treatment, the follow up is needed to be accurate, to help recognize a relapse or metastasis.
All data underlying the results are available as part of the article and no additional source data are required.
Written informed consent for publication of clinical details and clinical images was obtained from the patient.
| Views | Downloads | |
|---|---|---|
| F1000Research | - | - |
|
PubMed Central
Data from PMC are received and updated monthly.
|
- | - |
Is the background of the case’s history and progression described in sufficient detail?
Yes
Are enough details provided of any physical examination and diagnostic tests, treatment given and outcomes?
Partly
Is sufficient discussion included of the importance of the findings and their relevance to future understanding of disease processes, diagnosis or treatment?
Yes
Is the case presented with sufficient detail to be useful for other practitioners?
Yes
Competing Interests: No competing interests were disclosed.
Reviewer Expertise: Pathology
Is the background of the case’s history and progression described in sufficient detail?
Yes
Are enough details provided of any physical examination and diagnostic tests, treatment given and outcomes?
Yes
Is sufficient discussion included of the importance of the findings and their relevance to future understanding of disease processes, diagnosis or treatment?
No
Is the case presented with sufficient detail to be useful for other practitioners?
Yes
References
1. Stabile G, Gentile RM, Carlucci S, Stampalija T, et al.: Maternal and fetal outcomes of intraplacental choriocarcinoma complicated by fetomaternal hemorrhage: a systematic review.J Matern Fetal Neonatal Med. 2023; 36 (2): 2285238 PubMed Abstract | Publisher Full TextCompeting Interests: No competing interests were disclosed.
Reviewer Expertise: Expert in Placental Pathology
Is the background of the case’s history and progression described in sufficient detail?
Partly
Are enough details provided of any physical examination and diagnostic tests, treatment given and outcomes?
Partly
Is sufficient discussion included of the importance of the findings and their relevance to future understanding of disease processes, diagnosis or treatment?
Yes
Is the case presented with sufficient detail to be useful for other practitioners?
Partly
Competing Interests: No competing interests were disclosed.
Reviewer Expertise: oncological gynecology
Is the background of the case’s history and progression described in sufficient detail?
Partly
Are enough details provided of any physical examination and diagnostic tests, treatment given and outcomes?
Partly
Is sufficient discussion included of the importance of the findings and their relevance to future understanding of disease processes, diagnosis or treatment?
Yes
Is the case presented with sufficient detail to be useful for other practitioners?
Yes
References
1. Froeling FEM, Ramaswami R, Papanastasopoulos P, Kaur B, et al.: Intensified therapies improve survival and identification of novel prognostic factors for placental-site and epithelioid trophoblastic tumours.Br J Cancer. 120 (6): 587-594 PubMed Abstract | Publisher Full TextCompeting Interests: No competing interests were disclosed.
Reviewer Expertise: Gestational trophoblastic disease
Alongside their report, reviewers assign a status to the article:
| Invited Reviewers | ||||
|---|---|---|---|---|
| 1 | 2 | 3 | 4 | |
|
Version 3 (revision) 21 Oct 24 |
read | read | ||
|
Version 2 (revision) 27 Oct 23 |
read | read | ||
|
Version 1 01 Feb 22 |
read | read | ||
Provide sufficient details of any financial or non-financial competing interests to enable users to assess whether your comments might lead a reasonable person to question your impartiality. Consider the following examples, but note that this is not an exhaustive list:
Sign up for content alerts and receive a weekly or monthly email with all newly published articles
Already registered? Sign in
The email address should be the one you originally registered with F1000.
You registered with F1000 via Google, so we cannot reset your password.
To sign in, please click here.
If you still need help with your Google account password, please click here.
You registered with F1000 via Facebook, so we cannot reset your password.
To sign in, please click here.
If you still need help with your Facebook account password, please click here.
If your email address is registered with us, we will email you instructions to reset your password.
If you think you should have received this email but it has not arrived, please check your spam filters and/or contact for further assistance.
Comments on this article Comments (0)