Keywords
Fascin, SALL4, ameloblastoma, immunohistochemistry, cyst, odontogenic tumor
This article is included in the Manipal Academy of Higher Education gateway.
Fascin, SALL4, ameloblastoma, immunohistochemistry, cyst, odontogenic tumor
Odontogenic cysts and tumors are said to originate from odontogenic apparatus or oral epithelium. Ameloblastoma, the most common odontogenic tumor is known for its local but aggressive biological behaviour.1 The 2017 World Health Organisation (WHO) classification on ameloblastomas have reclassified them into ameloblastoma, unicystic and extraosseous/peripheral types.2 Adenomatoid odontogenic tumors (AOT) are benign with less recurrence.2,3 Among the odontogenic cysts, keratocysts arising from the dental lamina are said to have aggressive behavior, appearing as multilocular radiolucencies with cortical thinning, tooth displacement and root resorption radiographically and a postoperative recurrence rate ranging from 2.5 to 62%.4,5
Research to identify new markers to determine the biological behavior of odontogenic cysts and tumors is ongoing. Literature review reveals many preliminary observations with no concrete evidence of a single marker being specific to these tumors and hence there is a need to determine new markers.6 In this study, we have employed two markers: fascin and SALL4. Fascin, a 55-kDa is a cytoskeleton binding proteins that bundle actin filaments, assists the cell in forming stress fibres (or ruffled borders or micro spikes) and assists cell motility and migration hence it fascin can be used for predicting the aggressive clinical course of a tumor.7–10 Usually, in normal adult epithelial cells its fascin expression is low or absent.11 The gene encoding fascin-1 in humans is located on chromosome 7q22.12 SALL4 is a stem cell marker and a master zinc-finger transcriptional factor, as well as being a member of the spalt-like (SALL) gene family. SALL4 is mapped to chromosome 20q13.2 and plays its part in maintaining pluripotency and self-renewal of embryonic and hematopoietic stem cells by interacting with other molecules such as OCT4, SOX2 and NANOG.13–15 SALL4 incorporated along with OCT4, SOX2 and KLF4 (OSK) helps in forming stable induction of pluripotent cells (iPS) cells with a higher efficiency.16 Several studies noted the aberrant SALL4 expression in different types of malignant neoplasms and various autosomal dominant diseases such as Okihiro/Duane-radial ray syndrome, acro-renal-ocular syndrome, Instituto Venezolano de Investigaciones Cientificas syndrome (IVIC) and are suspected to cause thalidomide embryopathy.17–20 Literature review has no reports of combination of fascin and SALL4 in odontogenic cysts and tumors to address their biological behavior and thus taking into consideration the local aggressive behavior of ameloblastoma, we hypothesise that fascin might contribute for the local migratory behavior of these odontogenic cells and SALL4 may exhibit the stemness on odontogenic cells. Thus, the aim of the present study was to evaluate the expression of fascin and SALL4 in histopathological variants of ameloblastoma, AOT and various odontogenic cysts.
This study was approved (IEC approval number 360/2019, 14-05-2019; IEC 156/2014, 12-03-2014) by the Institutional Ethical Committee, Kasturba Medical College, Manipal Academy of Higher Education, Manipal, India. Participant consent was waived by the committee.
Formalin fixed paraffin embedded tissue (FFPE) was used for the study. Materials included a total of 40 cases of ameloblastoma (11 plexiform, 12 follicular, 12 unicystic, 5 desmoplastic) variants, 6 cases of AOT, 15 each of OKC, DC, RC and 5 of COC. Before the start of the study, statistician was consulted and based on the literature review, availability of the material in the archives of the department and the availability of the budget the sample was decided.
Samples were retrieved from the Department of Oral and Maxillofacial Pathology, Manipal College of Dental Sciences, Manipal, India after the approval from the Institutional Ethical Committee. This study used previously diagnosed samples of odontogenic cysts and tumors that were granted to us after obtaining written approval from the Head of the Department to use for this study. The samples were stored in the biobank of our department.
The diagnosis of the above said odontogenic cysts and tumors were done based on clinical and histological features (using H&E staining) according to WHO guidelines.2 Sample selection was done based on inclusion and exclusion criteria: only histopathologically diagnosed cases of odontogenic cysts and tumors from 2012-2017 were considered, all the samples taken for the current study were prior to the patient receiving any treatment, cases with recurrence were excluded.
Immunohistochemical staining of the tissue sections from each of the cases selected was done using the streptavidin-biotin method. In brief, 4 𝜇m sections were mounted on 3-aminopropyltriethoxysilane (APES) coated slides (Novolink Polymer Detection System, Novocastra). Sections were then deparaffinized in xylene, which is done in three grades for 10 minutes each as per standard immunohistochemical protocol. The document of the protocol has been uploaded in the repository (Open Science Framework protocol.io)26 and hydrated in different grades of alcohol (ranging from absolute alcohol (10 minutes), 95 % alcohol (10 minutes), 70% (10 minutes), 50% (10 minutes) each).26 Slides were then incubated with primary antibodies (rabbit monoclonal IgG for SALL4 and mouse monoclonal IgG1 for fascin)26 against fascin (clone SC-21743, Santa Cruz Biotechnology USA, Inc) diluted 1:200, SALL4 (clone EP-299, PathnSitu, Livermore, USA) at a dilution of 1:100 for one hour. The sections were subsequently washed in tris-buffered saline and incubated with secondary biotinylated antibody and streptavidin-biotin peroxidase complex (Novolink Polymer Detection System, Novocastra) for 30 minutes each. Diaminobenzidine (DAB) was used as the chromogen and the sections were counterstained with Mayer’s hematoxylin. Buccal mucosa tissue was used as positive control and endothelial cells were internal controls for fascin antibody (Figure 1), while dysgerminoma was taken as a positive control, bud and bell stage of tooth development were also included for the expression of SALL4 (Figure 2). The primary antibody was omitted during IHC staining for the negative control.

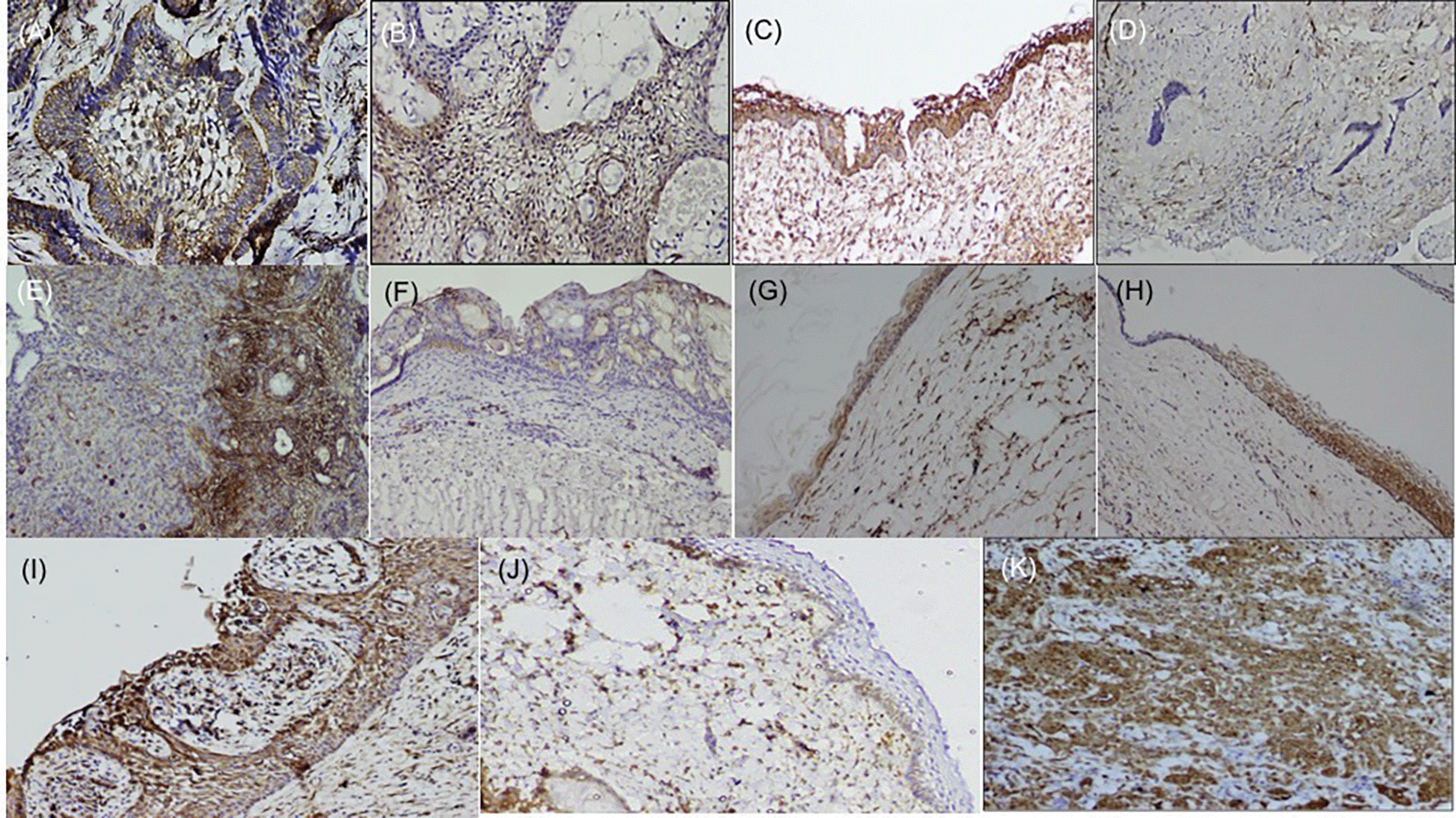
Histopathological variants of ameloblastoma: (A) Follicular (IHC, 10×), (B) Plexiform (IHC, 10×), (C) Unicystic (IHC, 10×), (D) Desmoplastic (IHC, 4×), (E) Focal immune-positivity for fascin in AOT (IHC, 10×), (F) COC (IHC, 10×), (G) OKC (IHC, 4×), (H) Dentigerous cyst (IHC, 10×), (I) Radicular cyst, (IHC, 10×), (J) Immuno-positivity for fascin in basal cells of the oral epithelium (IHC, 4×), (K) Oral squamous cell carcinoma used as positive control stained with fascin (IHC, 10×). IHC-Immunohistochemistry. The software used record images is Olympus-DP2BSW (ver 2.1).

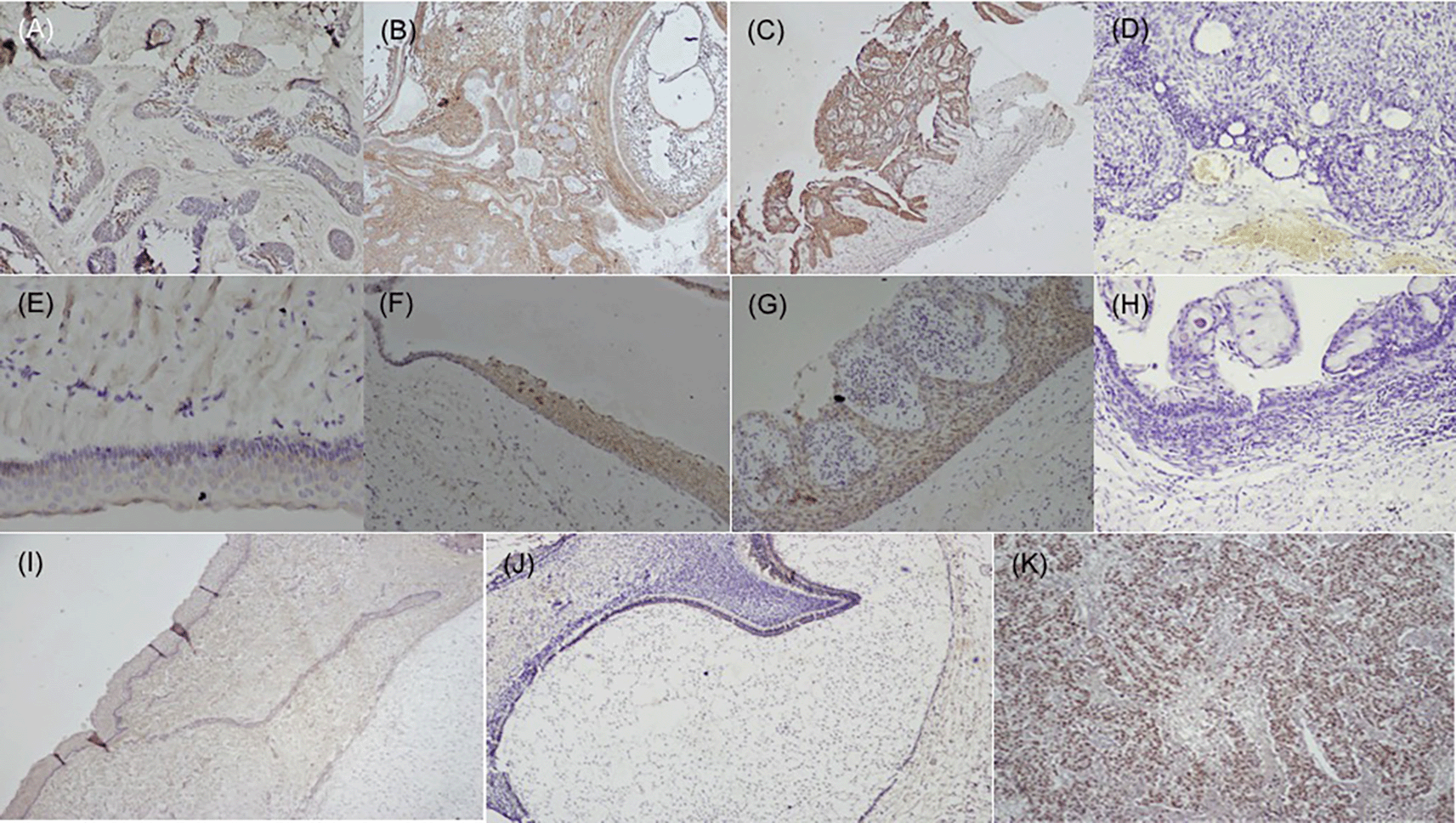
Variants of ameloblastoma (A) Follicular (IHC, 10×), (B) Combination of follicular & plexiform (IHC,10×), (C) Unicystic (IHC, 4×), D) Immuno-negative in AOT (IHC, 10×), (E) OKC (IHC, 20×), (F) Dentigerous cyst (IHC, 10×), (G) Radicular cyst (IHC, 20×), (H) Immuno-negative COC (IHC, 10×), (I) Epithelial cells & ectomesenchyme surrounding the bud stage (IHC, 10×), (J) Bell stage: Focal positive to SALL4 in inner enamel epithelium (IEE) and sporadic expression in dental papilla (DP) (IHC, 10×), (K) Strong expression of SALL4 in dysgerminoma (positive control 20×). IHC-Immunohistochemistry.
Presence of brown color at the end of staining was considered as positive reactivity. The slides were evaluated with a light microscope (Olympus BX41) attached with Olympus DP20 microscope camera (Olympus Singapore Pvt Ltd, Singapore) at 20× & 40× magnification. The distribution of antibodies were assessed in the cytoplasm and cell membrane of ameloblastic lining of the lesions for fascin while SALL4 staining was evaluated in nuclear and cytoplasmic areas. In each case, three fields were randomly selected and evaluated.
A semi-quantitative method was used to score the fascin and SALL4 expression in the epithelial odontogenic cells.
Based on intensity: (a) of the immunostaining in the epithelial odontogenic cells (0-1 = absent/weak, 2 = moderate, 3 = strong).
Degree of staining: (b) the percentage of positive odontogenic cells (1 ≤ 25% positive cells, 2 = 25-50% positive, 3 = 51-75% positive and 4 ≥ 75% positive cells).
Total staining: The final immunostaining score was determined by the sum of (a) + (b). Final scores ranged from 0 to 7 (0 = absent, 1-4 = weak and 5-7 = strong).
The data obtained was statistically analyzed with the statistical software program SPSS (version 17.0). The statistical significance of fascin and SALL4 in histopathological types of ameloblastoma was analysed using the chi-square test. P values less than 0.05 were considered to indicate statistical significance.
Immunohistochemically stained sections of various odontogenic cysts and tumor tissue were evaluated for expression of SALL4 in the cytoplasm as well as nuclei of peripheral ameloblastic cells and stellate reticulum like cells while expression of fascin was observed in the cell membrane, between cell boundaries and cytoplasm of peripheral ameloblastic cells, stellate reticulum like cells and stromal cells of 40 cases of ameloblastoma variants from the year 2012 to 2017. The expression of fascin and SALL4 varied from case to case as well as in the same tissue section. Most of the variants of ameloblastoma were strongly positive for fascin but cases of desmoplastic ameloblastoma (5/5) were negative for fascin (Table 1A, Figure 1D). To eliminate bias, two observers independently evaluated the expression of these, selecting the most representative site separately under a light microscope at 200× and 400× magnification. The SALL4 positivity was heterogeneous with varied intensity and staining pattern with absence of expression in few follicles (Figure 2) but in most of the follicular, plexiform and unicystic ameloblastoma, the immunopositivity was observed diffuse in the cytoplasm and less localised to the nucleus (Figure 2A–C) but the stromal cells were devoid of its expression except in the endothelial cells. Fascin expression was found to be weak or absent in stellate reticulum like cells (Figure 1). In cases of unicystic ameloblastoma, positivity for fascin was observed in the basal as well as in the upper layers (Figure 1C). However intra-group comparison did not show any significant difference. The final scoring was obtained after combining the intensity and percentage scoring and was found to be strong in most of the cases (Table 1A).
AOT was immune-positive to fascin in few areas (< 25%) with mild to moderate intensity (Figure 1E), while immune-negative for SALL4 expression (Figure 2D). Fascin expression in odontogenic cysts (OKC, RC, DC) (Figure 1G–I) was strongly positive with greater than 75% cells, while intensity ranged from moderate to strong along the cystic lining. COC revealed immune-positivity ranging from 25-50% (Figure 1F). SALL4 expression in odontogenic cysts was strongly positive with greater than 75% cells stained, while intensity ranged from mild to moderate with a diffuse cytoplasmic staining, at places nuclear staining was evident (Table 1B), Figure 2E–G). COC was immune-negative (Figure 2H).
Researchers have worked on the molecular mechanism to understand the nature of local invasion of ameloblastomas into the surrounding tissues which include molecules degrading the extracellular matrix, those involved in bone remodelling, molecules associated with angiogenesis and molecules related to proliferation. Though the results are partially promising, the exact molecular mechanism of invasion in ameloblastomas is not completely understood.6 Cell motility is essential for tumor invasion and subsequent dissemination or metastases. This increase in motility occurs via the modulation of actin filaments to form finger-like plasma membrane protrusions termed invadopodia. Numerous actin-binding proteins, including fascin, regulate such dynamic rearrangement of the actin cytoskeleton. Fascin, being one of the actin cross-linking proteins, localizes to filopodia at the leading edge of migratory cells by organising f-actin into well-ordered, tightly packed parallel bundles observed in vitro studies.21
Fascin overexpression is observed in various precancerous lesions and oral squamous cell carcinoma (OSCC).9,12 In our study, we observed that a majority of our cases were strongly positive for fascin in the various subtypes of ameloblastoma. Various in vitro and in vivo studies have observed that fascin has a functional role in cell invasion and motility.13 This could account to the local aggressiveness of ameloblastoma clinically. Few of the ameloblastic follicles did not exhibit fascin, we speculate this could be attributed to loss of antigen during processing or reduced motility in these cells.
In various histopathological grades of ameloblastoma, SALL4 was expressed in the majority of cases. Studies have documented transcription activity of SALL4, which could be reflected by its positivity in the nucleus.15,22 We observed that the odontogenic epithelial cells were positive for SALL4 in the cytoplasm, stained diffusely, which we speculate could be in an inactive/dormant or mutant form which requires further investigation. Majority of OKC were devoid of SALL4 except in the basal cells. Radicular and dentigerous cysts, having marked infiltration of inflammatory cells had strong immune-positivity for SALL4 in the cytoplasm, an interesting finding of this study. Hence the role of cytokines in stimulating SALL4 needs to be ruled out. Odontogenic tumors, AOT and developmental odontogenic cysts, COC (simple type) were negative for SALL4. Studies have shown that OKCs expressed higher amount of PCNA and Ki-67 when compared to other jaw cysts, indicating its inherently increased proliferative potential of OKC.23 This speculates that various other molecular pathways could play an important role in the disease process. Further studies are required to explore this possibility, since this is a preliminary study.
Normal connective tissue cells such as fibroblasts, vascular endothelial cells, neural and glial cells, brain and splenic tissue expressed fascin, which relates to its function, required to maintain normal homeostasis.9 In embryogenesis, various migratory cells express fascin, except in terminally differentiated squamous cells where its expression is low or absent.9,24 Our previous study on tooth buds showed fascin expression in various stages of tooth development was site and time specific, thus confirming its role in cell remodulation.3 SALL4 expression was not detected in tooth bud stage, however focal positivity was observed in the cytoplasm of the epithelial cells of bell stage, this could attribute to the cells to undergo more differentiated state of the cells.25 The papillary cells in various stages of tooth germ were positive (Figure 2J) and this could relate to stemness due to the pluripotency nature of dental papilla. Further studies are required to understand the crosstalk with other stem cell markers in maintaining the stemness or pluripotency state of the cells.
In conclusion, the findings of the present study on the expression of fascin elucidate their role in motility and localized invasion or in maintaining the cellular homeostasis, while the expression of SALL4 remains elusive.
Open Science Framework: Expression of fascin and SALL4 in odontogenic cysts and tumors: an immunohistochemical appraisal. https://doi.org/10.17605/OSF.IO/9ZFRS.26
Data are available under the terms of the Creative Commons Zero “No rights reserved” data waiver (CC0 1.0 Public domain dedication).
| Views | Downloads | |
|---|---|---|
| F1000Research | - | - |
|
PubMed Central
Data from PMC are received and updated monthly.
|
- | - |
Is the work clearly and accurately presented and does it cite the current literature?
No
Is the study design appropriate and is the work technically sound?
Yes
Are sufficient details of methods and analysis provided to allow replication by others?
Partly
If applicable, is the statistical analysis and its interpretation appropriate?
Partly
Are all the source data underlying the results available to ensure full reproducibility?
Partly
Are the conclusions drawn adequately supported by the results?
Partly
Competing Interests: No competing interests were disclosed.
Reviewer Expertise: Immunohistochemistry, RNA sequencing, Odontogenic tumors
Is the work clearly and accurately presented and does it cite the current literature?
Partly
Is the study design appropriate and is the work technically sound?
Partly
Are sufficient details of methods and analysis provided to allow replication by others?
Yes
If applicable, is the statistical analysis and its interpretation appropriate?
I cannot comment. A qualified statistician is required.
Are all the source data underlying the results available to ensure full reproducibility?
Yes
Are the conclusions drawn adequately supported by the results?
No
Competing Interests: No competing interests were disclosed.
Reviewer Expertise: Oral pathology
Is the work clearly and accurately presented and does it cite the current literature?
No
Is the study design appropriate and is the work technically sound?
No
Are sufficient details of methods and analysis provided to allow replication by others?
No
If applicable, is the statistical analysis and its interpretation appropriate?
No
Are all the source data underlying the results available to ensure full reproducibility?
Partly
Are the conclusions drawn adequately supported by the results?
Partly
Competing Interests: No competing interests were disclosed.
Reviewer Expertise: Statistical reporting and data presentation
Alongside their report, reviewers assign a status to the article:
| Invited Reviewers | |||||
|---|---|---|---|---|---|
| 1 | 2 | 3 | 4 | 5 | |
|
Version 5 (revision) 27 Jun 24 |
read | ||||
|
Version 4 (revision) 10 Jun 24 |
read | read | read | ||
|
Version 3 (revision) 14 Dec 23 |
read | ||||
|
Version 2 (revision) 01 Sep 23 |
read | ||||
|
Version 1 23 Dec 22 |
read | read | read | ||
Provide sufficient details of any financial or non-financial competing interests to enable users to assess whether your comments might lead a reasonable person to question your impartiality. Consider the following examples, but note that this is not an exhaustive list:
Sign up for content alerts and receive a weekly or monthly email with all newly published articles
Already registered? Sign in
The email address should be the one you originally registered with F1000.
You registered with F1000 via Google, so we cannot reset your password.
To sign in, please click here.
If you still need help with your Google account password, please click here.
You registered with F1000 via Facebook, so we cannot reset your password.
To sign in, please click here.
If you still need help with your Facebook account password, please click here.
If your email address is registered with us, we will email you instructions to reset your password.
If you think you should have received this email but it has not arrived, please check your spam filters and/or contact for further assistance.
Comments on this article Comments (0)