Keywords
Hydtidosis, multi visceral, muscles
Hydatidosis is a pathology that is still common. Hydatid cysts commonly involves the liver and lung. Cases of multi visceral echinococcosis with atypical localization are rare. We, herein, report the case of a 53-year-old Maghrebi farmer with multiple organ hydatidosis including 13 hydatid cysts involving the lungs, the liver, the left heart ventricle, the left kidney, the abdomen cavity, the muscles (psoas, adductors), and the subcutaneous gluteal area. The majority of these cysts were already treated surgically, and some of them were due to be removed.
Hydtidosis, multi visceral, muscles
-A rephrasing of some sentences
-We added updated references
- We added the aim of reporting this case
See the authors' detailed response to the review by Faisal Elgasim Ahmed
Hydatidosis is an anthropozoonosis caused by the larval form of Echinococcus spp., which live in the gut of dogs, wild canines and other carnivorous animals1. Humans become the accidental intermediate hosts by ingesting Taenia spp. eggs. Echinococcus spp. are endemic in many countries where sheep, dogs and humans live in close contact.
All the organs in the human body may be affected by hydatid disease. Hydatid cysts resulting from Echinococcus granulosus commonly involve the liver and lungs2; however may also be found in other unusual organs, including the brain, the heart, and the bones.
If ruptured into the left-sided cardiac chambers, hydatid cysts may cause systemic emboli and when ruptured into the right -sided cardiac chambers, they may cause pulmonary emboli.2
Cases of multi visceral echinococcosis with atypical localization are rare.3 We report here the case of a male patient with 13 hydatid cysts, including the lungs, the heart, the muscles, the liver, the kidney, and the abdomen cavity. This case report aimed to highlight the difficulties of dealing with these multiple locations.
This is the case of a 53-year-old maghribi male farmer. This patient, with no personal or family history, was referred to the pulmonology department, for the management of a pulmonary Aspergilloma on a sequelary lung cavity following lung surgery.
At the time of the clinical encounter, the patient had no subjective complaints, expect for right lower limb paresthesia. The physical exam showed no abnormalities.
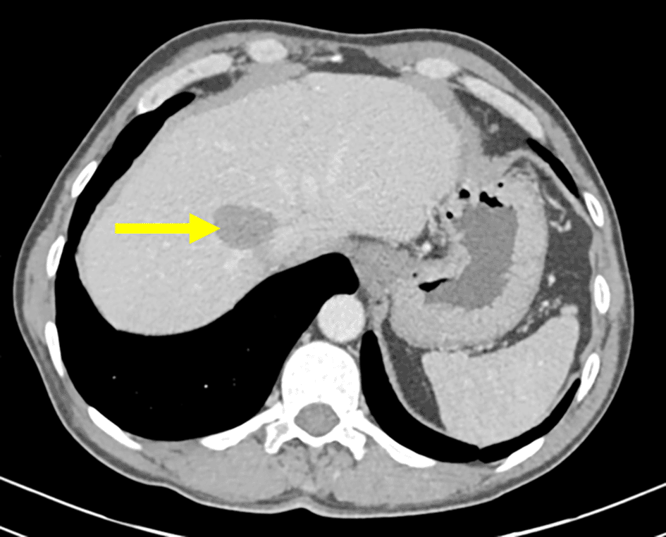
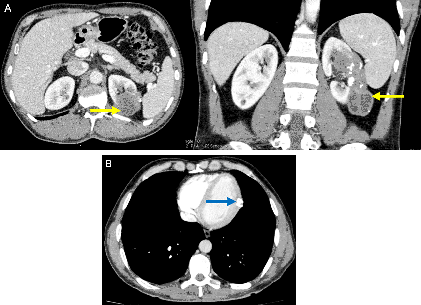
The patient was followed up at the department of abdominal surgery for a multiple organ hydatidosis including 13 hydatid cysts: the lungs, the liver ( Figure 1), the left heart ventricle, the left kidney (Figure 2), the abdomen cavity, the muscles (psoas, adductors), and the subcutaneous gluteal area. The majority of these cysts were already treated surgically and some of them are scheduled to be removed (Table 1). The patient has received oral Albendazole 400 mg twice-daily for 2 years.


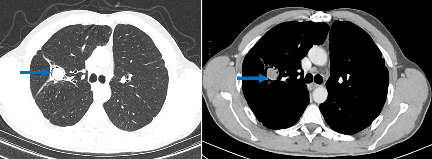
During regular post-surgical follow-up, a scannographic imaging revealed fluid-density endo-bronchial material in the right superior lobe (lung cavity sequelary to the previous cystectomy) separated from the cavity wall by airspace (“air crescent” sign). This image was typical of pulmonary aspergilloma (Figure 3). Although the Aspergillus serology showed doubtful results, the clinical context together with the CT scan findings were highly suggestive of a pulmonary aspergilloma. Blood tests showed high levels of IgE. A surgical resection of the cavity was scheduled but not yet performed.
Hydatid cysts remain an important health issue in Tunisia that affects both humans and animals, especially in rural areas.
The annual incidence of hydatidosis is 11.3 per 100000 inhabitants.1 Usually, hydatidosis presents as a single cyst involving the liver or the lungs, but multiple organs may be affected in some cases. In our case we are reporting multiple atypical locations including the heart, the kidney, the muscles, and the subcutaneous tissue. The simultaneous coexistence of cysts in these locations simultaneously has not been described in the literature. In the present paper, focus was not put on the liver and the lungs as they are the classic location of this parasitosis, and they are commonly reported in the literature. It was rather put on the other locations.
Heart involvement is uncommon and accounts for less than 0.5% of the cases, it is usually a part of disseminated infection.3 This localization is potentially fatal without surgical treatment but thanks to the improvement in surgical techniques, its morbidity has declined drastically. The patient underwent open heart surgery to remove a left ventricular wall cyst. Post-surgical echocardiography revealed no local recurrence and no abnormalities.
Invasion of the myocardium usually occurs hematogeniously through the coronary arteries and since the majority of the population have a left dominant circulation, the left ventricle is the most commonly involved part of the heart (60%),4 Another possible explanation is the dissemination from the lungs either following a pulmonary vein rupture and migration of the cysts5 or by a direct contact with hydatid cysts originating from the lung.6
Renal involvement is also rare (2–3%) and it is usually associated with disseminated disease, they are most commonly asymptomatic, as reported in the present case. The diagnosis was made by an abdominal CT scan which has a sensitivity of 98% in diagnosing hydatid disease.7
Psoas cysts are also uncommon.8 The patient presented with two psoas cysts, a finding that has never been reported in the literature.
The patient has also presented with a 30-mm gluteal subcutaneous cyst, this involvement was described in rare cases in the literature. Patients usually have a painless palpable mass of at least 3 months, and it is usually larger than 3 cm, as it is reported in the present case.9 Subcutaneous cysts tend to involve the trunk and the limb roots, possibly due to the rich vascularization and the relatively lower activity of the muscle in these areas.10
Another intriguing finding in this case report was the discovery of an aspergilloma, on the lung cavity. Pulmonary aspergilloma occurs as a colonizer of pre-existing pulmonary cavity of any etiology such as tuberculosis sequelae, cavitary neoplasia or operated hydatid cyst and it is a saprophytic infection.11 Aspergilloma has rarely been described in operated hydatid cyst cavities in immunocompetent patients.12 For this patient, the aspergilloma was discovered two years after the lung surgery. A very similar case of a 56-year-old patient, who presented with an aspergilloma of the upper right lobe following cystectomy, have been reported by M. El Hammoumi et al.12
During the follow-ups, the patient was doing well and he was asymptomatic.
Multiple hydatidosis is a rare condition that can endanger vital and functional prognosis. Imaging is essential for diagnosis and for the assessment of extension and the detection of asymptomatic localization to ensure early treatment. The recommended treatment for these numerous cysts comprises of both radical surgery and medical treatment; conservative surgery is discouraged in order to lower the risk of recurrence. Prevention remains the best strategy to avoid hydatid cysts.
NF, AM and AM actively involved in data collection and processing. RK and MJ were involved in manuscript preparation. HB, AB, SJ, SCH, NR, and FM were involved in manuscript reviewing. All authors have read and approved the manuscript.
All data underlying the results are available as part of the article and no additional source data are required.
| Views | Downloads | |
|---|---|---|
| F1000Research | - | - |
|
PubMed Central
Data from PMC are received and updated monthly.
|
- | - |
References
1. Cai X, Cai H, Gan Q, Chang W, et al.: Case Report: Rare Presentation of Multivisceral Echinococcosis.Am J Trop Med Hyg. 2019; 100 (5): 1204-1207 PubMed Abstract | Publisher Full TextCompeting Interests: No competing interests were disclosed.
Reviewer Expertise: the discussion and case report sections need more revision.
Is the background of the case’s history and progression described in sufficient detail?
Partly
Are enough details provided of any physical examination and diagnostic tests, treatment given and outcomes?
Yes
Is sufficient discussion included of the importance of the findings and their relevance to future understanding of disease processes, diagnosis or treatment?
Yes
Is the case presented with sufficient detail to be useful for other practitioners?
Yes
References
1. Chaouch M, Faidi B, Hdira M, Rebhi J, et al.: A case report of primary multiple hydatid cysts of psoas muscle: An exceptional location. IDCases. 2022; 30. Publisher Full TextCompeting Interests: No competing interests were disclosed.
Reviewer Expertise: I am a visceral and digestive surgeon in a pandemic country of hydatid cyst.
Is the background of the case’s history and progression described in sufficient detail?
Yes
Are enough details provided of any physical examination and diagnostic tests, treatment given and outcomes?
Partly
Is sufficient discussion included of the importance of the findings and their relevance to future understanding of disease processes, diagnosis or treatment?
Partly
Is the case presented with sufficient detail to be useful for other practitioners?
Yes
References
1. Cai X, Cai H, Gan Q, Chang W, et al.: Case Report: Rare Presentation of Multivisceral Echinococcosis.Am J Trop Med Hyg. 2019; 100 (5): 1204-1207 PubMed Abstract | Publisher Full TextCompeting Interests: No competing interests were disclosed.
Reviewer Expertise: the discussion and case report sections need more revision.
Alongside their report, reviewers assign a status to the article:
| Invited Reviewers | ||
|---|---|---|
| 1 | 2 | |
|
Version 5 (revision) 26 Sep 24 |
read | |
|
Version 4 (revision) 20 Aug 24 |
||
|
Version 3 (revision) 05 Jul 24 |
read | read |
|
Version 2 (revision) 24 Apr 24 |
read | |
|
Version 1 20 Feb 23 |
read | read |
Provide sufficient details of any financial or non-financial competing interests to enable users to assess whether your comments might lead a reasonable person to question your impartiality. Consider the following examples, but note that this is not an exhaustive list:
Sign up for content alerts and receive a weekly or monthly email with all newly published articles
Already registered? Sign in
The email address should be the one you originally registered with F1000.
You registered with F1000 via Google, so we cannot reset your password.
To sign in, please click here.
If you still need help with your Google account password, please click here.
You registered with F1000 via Facebook, so we cannot reset your password.
To sign in, please click here.
If you still need help with your Facebook account password, please click here.
If your email address is registered with us, we will email you instructions to reset your password.
If you think you should have received this email but it has not arrived, please check your spam filters and/or contact for further assistance.
Comments on this article Comments (0)